About   Help   FAQ
Gene Expression Data
Assay Details
Assay
Reference: J:153498 Diez-Roux G, et al., A high-resolution anatomical atlas of the transcriptome in the mouse embryo. PLoS Biol. 2011;9(1):e1000582
Assay type: RNA in situ
MGI Accession ID: MGI:4826017
Gene symbol: Lss
Gene name: lanosterol synthase
Probe: T31342
Probe preparation: Antisense labelled with digoxigenin RNA
Visualized with: Alkaline phosphatase
Assay notes: Cryosections of fresh frozen material were fixed in 4% paraformaldehyde for 20 min. before further processing. A tyramide-biotin/streptavidin amplification step was included in the in situ hybridization procedure.
Results
Specimen euxassay_012456_01: embryonic day 14.5 (more )
Structure Level Pattern Image Note
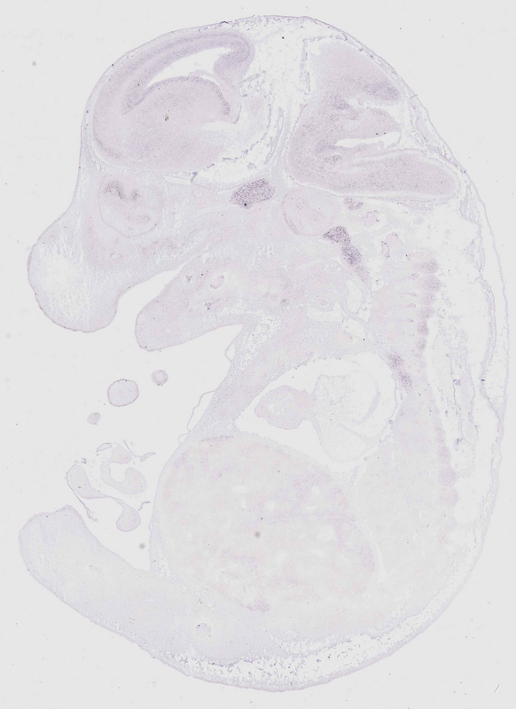
TS23: liver lobe Moderate Regionally restricted euxassay_012456_01

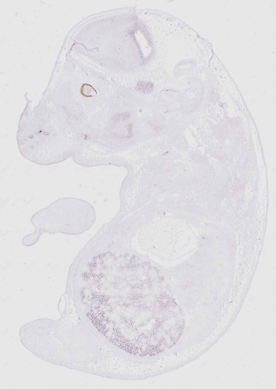
Specimen euxassay_012456_02: embryonic day 14.5 (more )
Structure Level Pattern Image Note
TS23: neural retina Moderate Regionally restricted euxassay_012456_02
TS23: liver lobe Moderate Regionally restricted euxassay_012456_02
TS23: telencephalon ventricular layer Weak Regionally restricted euxassay_012456_02

Specimen euxassay_012456_03: embryonic day 14.5 (more )
Structure Level Pattern Image Note
TS23: neural retina Moderate Regionally restricted euxassay_012456_03
TS23: trigeminal ganglion Weak Regionally restricted euxassay_012456_03
TS23: liver lobe Moderate Regionally restricted euxassay_012456_03
TS23: telencephalon ventricular layer Weak Regionally restricted euxassay_012456_03
TS23: cerebral cortex mantle layer Weak Regionally restricted euxassay_012456_03
TS23: mandible Weak Regionally restricted euxassay_012456_03

Specimen euxassay_012456_04: embryonic day 14.5 (more )
Structure Level Pattern Image Note
TS23: neural retina Moderate Regionally restricted euxassay_012456_04
TS23: trigeminal ganglion Weak Regionally restricted euxassay_012456_04
TS23: liver lobe Moderate Regionally restricted euxassay_012456_04
TS23: cerebral cortex mantle layer Weak Regionally restricted euxassay_012456_04
TS23: telencephalon ventricular layer Weak Regionally restricted euxassay_012456_04
TS23: mandible Weak Regionally restricted euxassay_012456_04

Specimen euxassay_012456_05: embryonic day 14.5 (more )
Structure Level Pattern Image Note
TS23: trigeminal ganglion Weak Regionally restricted euxassay_012456_05
TS23: liver lobe Moderate Regionally restricted euxassay_012456_05
TS23: telencephalon ventricular layer Weak Regionally restricted euxassay_012456_05
TS23: cerebral cortex mantle layer Weak Regionally restricted euxassay_012456_05
TS23: mandible Weak Regionally restricted euxassay_012456_05

Specimen euxassay_012456_06: embryonic day 14.5 (more )
Structure Level Pattern Image Note
TS23: trigeminal ganglion Weak Regionally restricted euxassay_012456_06
TS23: liver lobe Moderate Regionally restricted euxassay_012456_06
TS23: telencephalon ventricular layer Weak Regionally restricted euxassay_012456_06
TS23: cerebral cortex mantle layer Weak Regionally restricted euxassay_012456_06
TS23: midbrain ventricular layer Weak Regionally restricted euxassay_012456_06
TS23: vibrissa Weak Regionally restricted euxassay_012456_06

Specimen euxassay_012456_07: embryonic day 14.5 (more )
Structure Level Pattern Image Note
TS23: trigeminal ganglion Weak Regionally restricted euxassay_012456_07
TS23: liver lobe Moderate Regionally restricted euxassay_012456_07
TS23: telencephalon ventricular layer Weak Regionally restricted euxassay_012456_07
TS23: cerebral cortex mantle layer Weak Regionally restricted euxassay_012456_07
TS23: midbrain ventricular layer Weak Regionally restricted euxassay_012456_07
TS23: vibrissa Weak Regionally restricted euxassay_012456_07

Specimen euxassay_012456_08: embryonic day 14.5 (more )
Structure Level Pattern Image Note
TS23: trigeminal ganglion Weak Regionally restricted euxassay_012456_08
TS23: glossopharyngeal ganglion Weak Regionally restricted euxassay_012456_08
TS23: liver lobe Moderate Regionally restricted euxassay_012456_08
TS23: upper jaw molar Weak Regionally restricted euxassay_012456_08
TS23: lower jaw molar Weak Regionally restricted euxassay_012456_08
TS23: telencephalon ventricular layer Weak Regionally restricted euxassay_012456_08
TS23: cerebral cortex mantle layer Weak Regionally restricted euxassay_012456_08
TS23: midbrain ventricular layer Weak Regionally restricted euxassay_012456_08

Specimen euxassay_012456_09: embryonic day 14.5 (more )
Note: Additional information for this specimen was included in the Eurexpress data submission file.
Structure Level Pattern Image Note
TS23: trigeminal nerve Weak Regionally restricted euxassay_012456_09
TS23: liver lobe Moderate Regionally restricted euxassay_012456_09
TS23: dorsal root ganglion Weak Regionally restricted euxassay_012456_09
TS23: medulla oblongata basal plate mantle layer Weak Regionally restricted euxassay_012456_09 facial motor nucleus
TS23: olfactory cortex mantle layer Weak Regionally restricted euxassay_012456_09
TS23: diencephalon lateral wall ventricular layer Weak Regionally restricted euxassay_012456_09
TS23: midbrain ventricular layer Moderate Regionally restricted euxassay_012456_09
TS23: cervical ganglion Moderate Regionally restricted euxassay_012456_09

Specimen euxassay_012456_10: embryonic day 14.5 (more )
Structure Level Pattern Image Note
TS23: liver lobe Moderate Regionally restricted euxassay_012456_10
TS23: dorsal root ganglion Weak Regionally restricted euxassay_012456_10
TS23: lower jaw incisor Weak Regionally restricted euxassay_012456_10
TS23: upper jaw incisor Weak Regionally restricted euxassay_012456_10
TS23: olfactory cortex mantle layer Weak Regionally restricted euxassay_012456_10
TS23: midbrain ventricular layer Moderate Regionally restricted euxassay_012456_10
TS23: diencephalon lateral wall ventricular layer Moderate Regionally restricted euxassay_012456_10
TS23: cervico-thoracic ganglion Moderate Regionally restricted euxassay_012456_10
TS23: thoracic ganglion Moderate Regionally restricted euxassay_012456_10

Specimen euxassay_012456_11: embryonic day 14.5 (more )
Structure Level Pattern Image Note
TS23: liver lobe Moderate Regionally restricted euxassay_012456_11
TS23: dorsal root ganglion Weak Regionally restricted euxassay_012456_11
TS23: upper jaw incisor Weak Regionally restricted euxassay_012456_11
TS23: lower jaw incisor Weak Regionally restricted euxassay_012456_11
TS23: midbrain ventricular layer Moderate Regionally restricted euxassay_012456_11
TS23: diencephalon lateral wall ventricular layer Moderate Regionally restricted euxassay_012456_11
TS23: cervico-thoracic ganglion Weak Regionally restricted euxassay_012456_11
TS23: thoracic ganglion Weak Regionally restricted euxassay_012456_11
TS23: thymus primordium Weak Regionally restricted euxassay_012456_11

Specimen euxassay_012456_12: embryonic day 14.5 (more )
Structure Level Pattern Image Note
TS23: liver lobe Moderate Regionally restricted euxassay_012456_12
TS23: dorsal root ganglion Weak Regionally restricted euxassay_012456_12
TS23: midbrain ventricular layer Moderate Regionally restricted euxassay_012456_12
TS23: diencephalon lateral wall ventricular layer Moderate Regionally restricted euxassay_012456_12
TS23: thymus primordium Weak Regionally restricted euxassay_012456_12

Specimen euxassay_012456_13: embryonic day 14.5 (more )
Structure Level Pattern Image Note
TS23: liver lobe Moderate Regionally restricted euxassay_012456_13
TS23: dorsal root ganglion Weak Regionally restricted euxassay_012456_13
TS23: olfactory cortex mantle layer Weak Regionally restricted euxassay_012456_13
TS23: midbrain ventricular layer Moderate Regionally restricted euxassay_012456_13
TS23: diencephalon lateral wall ventricular layer Moderate Regionally restricted euxassay_012456_13

Specimen euxassay_012456_14: embryonic day 14.5 (more )
Structure Level Pattern Image Note
TS23: liver lobe Moderate Regionally restricted euxassay_012456_14
TS23: dorsal root ganglion Weak Regionally restricted euxassay_012456_14
TS23: lower jaw incisor Weak Regionally restricted euxassay_012456_14
TS23: olfactory cortex mantle layer Weak Regionally restricted euxassay_012456_14
TS23: midbrain ventricular layer Moderate Regionally restricted euxassay_012456_14
TS23: thymus primordium Weak Regionally restricted euxassay_012456_14

Specimen euxassay_012456_15: embryonic day 14.5 (more )
Note: Additional information for this specimen was included in the Eurexpress data submission file.
Structure Level Pattern Image Note
TS23: liver lobe Moderate Regionally restricted euxassay_012456_15
TS23: lower jaw incisor Weak Regionally restricted euxassay_012456_15
TS23: upper jaw incisor Weak Regionally restricted euxassay_012456_15
TS23: medulla oblongata basal plate mantle layer Weak Regionally restricted euxassay_012456_15 facial motor nucleus
TS23: olfactory cortex mantle layer Weak Regionally restricted euxassay_012456_15
TS23: midbrain ventricular layer Weak Regionally restricted euxassay_012456_15
TS23: thymus primordium Weak Regionally restricted euxassay_012456_15

Specimen euxassay_012456_16: embryonic day 14.5 (more )
Note: Additional information for this specimen was included in the Eurexpress data submission file.
Structure Level Pattern Image Note
TS23: trigeminal nerve Weak Regionally restricted euxassay_012456_16
TS23: trigeminal ganglion Weak Regionally restricted euxassay_012456_16
TS23: liver lobe Weak Regionally restricted euxassay_012456_16
TS23: medulla oblongata basal plate mantle layer Moderate Regionally restricted euxassay_012456_16 facial motor nucleus
TS23: cerebral cortex mantle layer Weak Regionally restricted euxassay_012456_16
TS23: telencephalon ventricular layer Weak Regionally restricted euxassay_012456_16
TS23: cervical ganglion Weak Regionally restricted euxassay_012456_16

Specimen euxassay_012456_17: embryonic day 14.5 (more )
Structure Level Pattern Image Note
TS23: trigeminal ganglion Weak Regionally restricted euxassay_012456_17
TS23: glossopharyngeal ganglion Weak Regionally restricted euxassay_012456_17
TS23: dorsal root ganglion Weak Regionally restricted euxassay_012456_17
TS23: telencephalon ventricular layer Weak Regionally restricted euxassay_012456_17
TS23: cerebral cortex mantle layer Weak Regionally restricted euxassay_012456_17
TS23: cervical ganglion Moderate Regionally restricted euxassay_012456_17
TS23: cervico-thoracic ganglion Moderate Regionally restricted euxassay_012456_17

Specimen euxassay_012456_18: embryonic day 14.5 (more )
Structure Level Pattern Image Note
TS23: trigeminal ganglion Weak Regionally restricted euxassay_012456_18
TS23: glossopharyngeal ganglion Weak Regionally restricted euxassay_012456_18
TS23: liver lobe Weak Regionally restricted euxassay_012456_18
TS23: dorsal root ganglion Weak Regionally restricted euxassay_012456_18
TS23: upper jaw molar Weak Regionally restricted euxassay_012456_18
TS23: lower jaw molar Weak Regionally restricted euxassay_012456_18
TS23: cerebral cortex mantle layer Weak Regionally restricted euxassay_012456_18
TS23: telencephalon ventricular layer Weak Regionally restricted euxassay_012456_18

Specimen euxassay_012456_19: embryonic day 14.5 (more )
Structure Level Pattern Image Note
TS23: trigeminal ganglion Weak Regionally restricted euxassay_012456_19
TS23: liver lobe Moderate Regionally restricted euxassay_012456_19
TS23: telencephalon ventricular layer Weak Regionally restricted euxassay_012456_19
TS23: cerebral cortex mantle layer Weak Regionally restricted euxassay_012456_19

Specimen euxassay_012456_20: embryonic day 14.5 (more )
Structure Level Pattern Image Note
TS23: trigeminal ganglion Weak Regionally restricted euxassay_012456_20
TS23: liver lobe Moderate Regionally restricted euxassay_012456_20
TS23: telencephalon ventricular layer Weak Regionally restricted euxassay_012456_20
TS23: vibrissa Weak Regionally restricted euxassay_012456_20

Specimen euxassay_012456_21: embryonic day 14.5 (more )
Structure Level Pattern Image Note
TS23: trigeminal ganglion Weak Regionally restricted euxassay_012456_21
TS23: liver lobe Moderate Regionally restricted euxassay_012456_21
TS23: telencephalon ventricular layer Weak Regionally restricted euxassay_012456_21
TS23: mandible Weak Regionally restricted euxassay_012456_21
TS23: vibrissa Weak Regionally restricted euxassay_012456_21

Specimen euxassay_012456_22: embryonic day 14.5 (more )
Structure Level Pattern Image Note
TS23: neural retina Moderate Regionally restricted euxassay_012456_22
TS23: liver lobe Moderate Regionally restricted euxassay_012456_22
TS23: mandible Weak Regionally restricted euxassay_012456_22

Specimen euxassay_012456_23: embryonic day 14.5 (more )
Structure Level Pattern Image Note
TS23: neural retina Moderate Regionally restricted euxassay_012456_23
TS23: liver lobe Weak Regionally restricted euxassay_012456_23


Contributing Projects:
Mouse Genome Database (MGD), Gene Expression Database (GXD), Mouse Models of Human Cancer database (MMHCdb) (formerly Mouse Tumor Biology (MTB)), Gene Ontology (GO)
Citing These Resources
Funding Information
Warranty Disclaimer, Privacy Notice, Licensing, & Copyright
Send questions and comments to User Support.
last database update
01/06/2026
MGI 6.24
The Jackson Laboratory