About   Help   FAQ
Gene Expression Data
Assay Details
Assay
Reference: J:153498 Diez-Roux G, et al., A high-resolution anatomical atlas of the transcriptome in the mouse embryo. PLoS Biol. 2011;9(1):e1000582
Assay type: RNA in situ
MGI Accession ID: MGI:4826006
Gene symbol: Lrrn3
Gene name: leucine rich repeat protein 3, neuronal
Probe: T63237
Probe preparation: Antisense labelled with digoxigenin RNA
Visualized with: Alkaline phosphatase
Assay notes: Cryosections of fresh frozen material were fixed in 4% paraformaldehyde for 20 min. before further processing. A tyramide-biotin/streptavidin amplification step was included in the in situ hybridization procedure.
Results
Specimen euxassay_015911_01: embryonic day 14.5 (more )
Structure Level Pattern Image Note
TS23: vibrissa Moderate Regionally restricted euxassay_015911_01
TS23: telencephalon mantle layer Moderate Regionally restricted euxassay_015911_01
TS23: inner ear vestibular component Weak Regionally restricted euxassay_015911_01
TS23: neural retina Weak Regionally restricted euxassay_015911_01

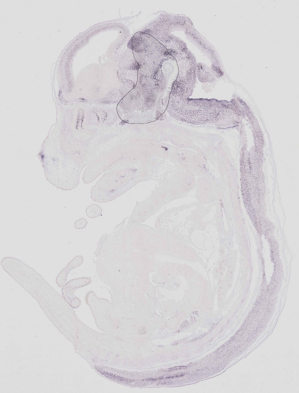
Specimen euxassay_015911_02: embryonic day 14.5 (more )
Structure Level Pattern Image Note
TS23: vibrissa Moderate Regionally restricted euxassay_015911_02
TS23: telencephalon mantle layer Moderate Regionally restricted euxassay_015911_02
TS23: trigeminal ganglion Weak Regionally restricted euxassay_015911_02
TS23: inner ear vestibular component Weak Regionally restricted euxassay_015911_02
TS23: stomach Weak Regionally restricted euxassay_015911_02
TS23: upper lip Moderate Regionally restricted euxassay_015911_02

Specimen euxassay_015911_03: embryonic day 14.5 (more )
Structure Level Pattern Image Note
TS23: vibrissa Moderate Regionally restricted euxassay_015911_03
TS23: telencephalon mantle layer Moderate Regionally restricted euxassay_015911_03
TS23: inner ear vestibular component Weak Regionally restricted euxassay_015911_03
TS23: stomach Weak Regionally restricted euxassay_015911_03
TS23: upper lip Moderate Regionally restricted euxassay_015911_03

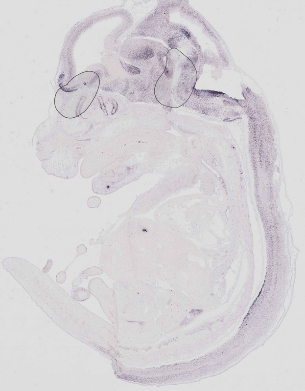
Specimen euxassay_015911_04: embryonic day 14.5 (more )
Structure Level Pattern Image Note
TS23: telencephalon mantle layer Moderate Regionally restricted euxassay_015911_04
TS23: rest of cerebellum mantle layer Strong Regionally restricted euxassay_015911_04
TS23: facial ganglion Moderate Regionally restricted euxassay_015911_04
TS23: stomach Weak Regionally restricted euxassay_015911_04

Specimen euxassay_015911_05: embryonic day 14.5 (more )
Structure Level Pattern Image Note
TS23: telencephalon mantle layer Moderate Regionally restricted euxassay_015911_05
TS23: diencephalon lateral wall mantle layer Moderate Regionally restricted euxassay_015911_05
TS23: rest of cerebellum mantle layer Strong Regionally restricted euxassay_015911_05
TS23: olfactory epithelium Moderate Regionally restricted euxassay_015911_05
TS23: facial ganglion Moderate Regionally restricted euxassay_015911_05
TS23: inner ear vestibular component Weak Regionally restricted euxassay_015911_05
TS23: stomach Weak Regionally restricted euxassay_015911_05

Specimen euxassay_015911_06: embryonic day 14.5 (more )
Structure Level Pattern Image Note
TS23: diencephalon lateral wall mantle layer Moderate Regionally restricted euxassay_015911_06
TS23: telencephalon mantle layer Moderate Regionally restricted euxassay_015911_06
TS23: olfactory cortex mantle layer Strong Regionally restricted euxassay_015911_06
TS23: rest of cerebellum mantle layer Moderate Regionally restricted euxassay_015911_06
TS23: pons mantle layer Moderate Regionally restricted euxassay_015911_06
TS23: midbrain mantle layer Moderate Regionally restricted euxassay_015911_06
TS23: olfactory epithelium Moderate Regionally restricted euxassay_015911_06
TS23: vestibulo-cochlear ganglion Weak Regionally restricted euxassay_015911_06
TS23: facial ganglion Moderate Regionally restricted euxassay_015911_06
TS23: inner ear vestibular component Weak Regionally restricted euxassay_015911_06
TS23: stomach Weak Regionally restricted euxassay_015911_06
TS23: lower lip Weak Regionally restricted euxassay_015911_06

Specimen euxassay_015911_07: embryonic day 14.5 (more )
Structure Level Pattern Image Note
TS23: olfactory cortex mantle layer Strong Regionally restricted euxassay_015911_07
TS23: diencephalon lateral wall mantle layer Moderate Regionally restricted euxassay_015911_07
TS23: telencephalon mantle layer Moderate Regionally restricted euxassay_015911_07
TS23: rest of cerebellum mantle layer Moderate Regionally restricted euxassay_015911_07
TS23: pons mantle layer Moderate Regionally restricted euxassay_015911_07
TS23: midbrain mantle layer Moderate Regionally restricted euxassay_015911_07
TS23: olfactory epithelium Moderate Regionally restricted euxassay_015911_07
TS23: trigeminal nerve Moderate Regionally restricted euxassay_015911_07
TS23: vestibulo-cochlear ganglion Weak Regionally restricted euxassay_015911_07
TS23: trigeminal ganglion Weak Regionally restricted euxassay_015911_07
TS23: glossopharyngeal ganglion Weak Regionally restricted euxassay_015911_07
TS23: stomach Weak Regionally restricted euxassay_015911_07

Specimen euxassay_015911_08: embryonic day 14.5 (more )
Structure Level Pattern Image Note
TS23: telencephalon mantle layer Moderate Regionally restricted euxassay_015911_08
TS23: diencephalon lateral wall mantle layer Moderate Regionally restricted euxassay_015911_08
TS23: olfactory cortex mantle layer Strong Regionally restricted euxassay_015911_08
TS23: pons mantle layer Moderate Regionally restricted euxassay_015911_08
TS23: rest of cerebellum mantle layer Moderate Regionally restricted euxassay_015911_08
TS23: medulla oblongata alar plate mantle layer Moderate Regionally restricted euxassay_015911_08
TS23: medulla oblongata basal plate mantle layer Moderate Regionally restricted euxassay_015911_08
TS23: midbrain mantle layer Moderate Regionally restricted euxassay_015911_08
TS23: olfactory epithelium Moderate Regionally restricted euxassay_015911_08
TS23: cervical ganglion Weak Regionally restricted euxassay_015911_08
TS23: vestibulo-cochlear ganglion Weak Regionally restricted euxassay_015911_08
TS23: stomach Weak Regionally restricted euxassay_015911_08

Specimen euxassay_015911_09: embryonic day 14.5 (more )
Structure Level Pattern Image Note
TS23: diencephalon lateral wall mantle layer Moderate Regionally restricted euxassay_015911_09
TS23: telencephalon mantle layer Moderate Regionally restricted euxassay_015911_09
TS23: medulla oblongata alar plate mantle layer Moderate Regionally restricted euxassay_015911_09
TS23: medulla oblongata basal plate mantle layer Moderate Regionally restricted euxassay_015911_09
TS23: rest of cerebellum mantle layer Moderate Regionally restricted euxassay_015911_09
TS23: pons mantle layer Moderate Regionally restricted euxassay_015911_09
TS23: midbrain mantle layer Moderate Regionally restricted euxassay_015911_09
TS23: olfactory epithelium Moderate Regionally restricted euxassay_015911_09
TS23: cervical ganglion Weak Regionally restricted euxassay_015911_09
TS23: adrenal medulla Weak Regionally restricted euxassay_015911_09

Specimen euxassay_015911_10: embryonic day 14.5 (more )
Structure Level Pattern Image Note
TS23: diencephalon lateral wall mantle layer Moderate Regionally restricted euxassay_015911_10
TS23: telencephalon mantle layer Moderate Regionally restricted euxassay_015911_10
TS23: pons mantle layer Moderate Regionally restricted euxassay_015911_10
TS23: rest of cerebellum mantle layer Moderate Regionally restricted euxassay_015911_10
TS23: medulla oblongata basal plate mantle layer Moderate Regionally restricted euxassay_015911_10
TS23: medulla oblongata alar plate mantle layer Moderate Regionally restricted euxassay_015911_10
TS23: midbrain mantle layer Moderate Regionally restricted euxassay_015911_10
TS23: cervico-thoracic ganglion Weak Regionally restricted euxassay_015911_10
TS23: adrenal medulla Weak Regionally restricted euxassay_015911_10
TS23: pituitary gland Weak Regionally restricted euxassay_015911_10

Specimen euxassay_015911_11: embryonic day 14.5 (more )
Structure Level Pattern Image Note
TS23: olfactory cortex mantle layer Strong Regionally restricted euxassay_015911_11
TS23: telencephalon mantle layer Moderate Regionally restricted euxassay_015911_11
TS23: diencephalon lateral wall mantle layer Moderate Regionally restricted euxassay_015911_11
TS23: pons mantle layer Moderate Regionally restricted euxassay_015911_11
TS23: rest of cerebellum mantle layer Moderate Regionally restricted euxassay_015911_11
TS23: medulla oblongata basal plate mantle layer Moderate Regionally restricted euxassay_015911_11
TS23: medulla oblongata alar plate mantle layer Moderate Regionally restricted euxassay_015911_11
TS23: ventral grey horn Moderate Regionally restricted euxassay_015911_11
TS23: midbrain mantle layer Moderate Regionally restricted euxassay_015911_11
TS23: adrenal medulla Weak Regionally restricted euxassay_015911_11
TS23: pituitary gland Weak Regionally restricted euxassay_015911_11

Specimen euxassay_015911_12: embryonic day 14.5 (more )
Structure Level Pattern Image Note
TS23: telencephalon mantle layer Moderate Regionally restricted euxassay_015911_12
TS23: diencephalon lateral wall mantle layer Moderate Regionally restricted euxassay_015911_12
TS23: olfactory cortex mantle layer Strong Regionally restricted euxassay_015911_12
TS23: pons mantle layer Moderate Regionally restricted euxassay_015911_12
TS23: rest of cerebellum mantle layer Moderate Regionally restricted euxassay_015911_12
TS23: medulla oblongata basal plate mantle layer Moderate Regionally restricted euxassay_015911_12
TS23: medulla oblongata alar plate mantle layer Moderate Regionally restricted euxassay_015911_12
TS23: ventral grey horn Moderate Regionally restricted euxassay_015911_12
TS23: midbrain mantle layer Moderate Regionally restricted euxassay_015911_12
TS23: olfactory epithelium Moderate Regionally restricted euxassay_015911_12
TS23: thoracic ganglion Weak Regionally restricted euxassay_015911_12
TS23: pituitary gland Weak Regionally restricted euxassay_015911_12
TS23: trachea Weak Regionally restricted euxassay_015911_12

Specimen euxassay_015911_13: embryonic day 14.5 (more )
Structure Level Pattern Image Note
TS23: diencephalon lateral wall mantle layer Moderate Regionally restricted euxassay_015911_13
TS23: telencephalon mantle layer Moderate Regionally restricted euxassay_015911_13
TS23: pons mantle layer Moderate Regionally restricted euxassay_015911_13
TS23: rest of cerebellum mantle layer Moderate Regionally restricted euxassay_015911_13
TS23: medulla oblongata basal plate mantle layer Moderate Regionally restricted euxassay_015911_13
TS23: medulla oblongata alar plate mantle layer Moderate Regionally restricted euxassay_015911_13
TS23: ventral grey horn Moderate Regionally restricted euxassay_015911_13
TS23: midbrain mantle layer Moderate Regionally restricted euxassay_015911_13
TS23: olfactory epithelium Moderate Regionally restricted euxassay_015911_13
TS23: thoracic ganglion Weak Regionally restricted euxassay_015911_13
TS23: pituitary gland Weak Regionally restricted euxassay_015911_13
TS23: trachea Weak Regionally restricted euxassay_015911_13

Specimen euxassay_015911_14: embryonic day 14.5 (more )
Structure Level Pattern Image Note
TS23: diencephalon lateral wall mantle layer Moderate Regionally restricted euxassay_015911_14
TS23: telencephalon mantle layer Moderate Regionally restricted euxassay_015911_14
TS23: pons mantle layer Moderate Regionally restricted euxassay_015911_14
TS23: rest of cerebellum mantle layer Moderate Regionally restricted euxassay_015911_14
TS23: medulla oblongata basal plate mantle layer Moderate Regionally restricted euxassay_015911_14
TS23: medulla oblongata alar plate mantle layer Moderate Regionally restricted euxassay_015911_14
TS23: ventral grey horn Moderate Regionally restricted euxassay_015911_14
TS23: midbrain mantle layer Moderate Regionally restricted euxassay_015911_14
TS23: olfactory epithelium Moderate Regionally restricted euxassay_015911_14
TS23: trigeminal nerve Moderate Regionally restricted euxassay_015911_14
TS23: pituitary gland Weak Regionally restricted euxassay_015911_14

Specimen euxassay_015911_15: embryonic day 14.5 (more )
Structure Level Pattern Image Note
TS23: vibrissa Weak Regionally restricted euxassay_015911_15
TS23: telencephalon mantle layer Moderate Regionally restricted euxassay_015911_15
TS23: diencephalon lateral wall mantle layer Moderate Regionally restricted euxassay_015911_15
TS23: pons mantle layer Moderate Regionally restricted euxassay_015911_15
TS23: rest of cerebellum mantle layer Moderate Regionally restricted euxassay_015911_15
TS23: medulla oblongata basal plate mantle layer Moderate Regionally restricted euxassay_015911_15
TS23: medulla oblongata alar plate mantle layer Moderate Regionally restricted euxassay_015911_15
TS23: ventral grey horn Moderate Regionally restricted euxassay_015911_15
TS23: midbrain mantle layer Moderate Regionally restricted euxassay_015911_15
TS23: cervico-thoracic ganglion Weak Regionally restricted euxassay_015911_15
TS23: cervical ganglion Weak Regionally restricted euxassay_015911_15
TS23: trigeminal ganglion Weak Regionally restricted euxassay_015911_15
TS23: lower lip Weak Regionally restricted euxassay_015911_15

Specimen euxassay_015911_16: embryonic day 14.5 (more )
Structure Level Pattern Image Note
TS23: vibrissa Moderate Regionally restricted euxassay_015911_16
TS23: telencephalon mantle layer Moderate Regionally restricted euxassay_015911_16
TS23: diencephalon lateral wall mantle layer Moderate Regionally restricted euxassay_015911_16
TS23: pons mantle layer Moderate Regionally restricted euxassay_015911_16
TS23: rest of cerebellum mantle layer Moderate Regionally restricted euxassay_015911_16
TS23: medulla oblongata basal plate mantle layer Moderate Regionally restricted euxassay_015911_16
TS23: medulla oblongata alar plate mantle layer Moderate Regionally restricted euxassay_015911_16
TS23: midbrain mantle layer Moderate Regionally restricted euxassay_015911_16
TS23: ventral grey horn Moderate Regionally restricted euxassay_015911_16
TS23: trigeminal ganglion Weak Regionally restricted euxassay_015911_16
TS23: vestibulo-cochlear ganglion Weak Regionally restricted euxassay_015911_16
TS23: adrenal medulla Weak Regionally restricted euxassay_015911_16
TS23: lower lip Weak Regionally restricted euxassay_015911_16

Specimen euxassay_015911_17: embryonic day 14.5 (more )
Structure Level Pattern Image Note
TS23: vibrissa Weak Regionally restricted euxassay_015911_17
TS23: telencephalon mantle layer Moderate Regionally restricted euxassay_015911_17
TS23: medulla oblongata basal plate marginal layer Moderate Regionally restricted euxassay_015911_17
TS23: medulla oblongata alar plate mantle layer Moderate Regionally restricted euxassay_015911_17
TS23: rest of cerebellum mantle layer Moderate Regionally restricted euxassay_015911_17
TS23: pons mantle layer Moderate Regionally restricted euxassay_015911_17
TS23: midbrain mantle layer Moderate Regionally restricted euxassay_015911_17
TS23: trigeminal ganglion Weak Regionally restricted euxassay_015911_17
TS23: glossopharyngeal ganglion Weak Regionally restricted euxassay_015911_17
TS23: vestibulo-cochlear ganglion Moderate Regionally restricted euxassay_015911_17
TS23: facial ganglion Moderate Regionally restricted euxassay_015911_17
TS23: adrenal medulla Weak Regionally restricted euxassay_015911_17
TS23: upper lip Moderate Regionally restricted euxassay_015911_17
TS23: lower lip Weak Regionally restricted euxassay_015911_17

Specimen euxassay_015911_18: embryonic day 14.5 (more )
Structure Level Pattern Image Note
TS23: vibrissa Moderate Regionally restricted euxassay_015911_18
TS23: telencephalon mantle layer Moderate Regionally restricted euxassay_015911_18
TS23: rest of cerebellum mantle layer Moderate Regionally restricted euxassay_015911_18
TS23: trigeminal ganglion Weak Regionally restricted euxassay_015911_18
TS23: vestibulo-cochlear ganglion Weak Regionally restricted euxassay_015911_18
TS23: inner ear vestibular component Weak Regionally restricted euxassay_015911_18
TS23: upper lip Moderate Regionally restricted euxassay_015911_18

Specimen euxassay_015911_19: embryonic day 14.5 (more )
Structure Level Pattern Image Note
TS23: vibrissa Weak Regionally restricted euxassay_015911_19
TS23: telencephalon mantle layer Moderate Regionally restricted euxassay_015911_19
TS23: rest of cerebellum mantle layer Strong Regionally restricted euxassay_015911_19
TS23: inner ear vestibular component Weak Regionally restricted euxassay_015911_19
TS23: neural retina Weak Regionally restricted euxassay_015911_19

Specimen euxassay_015911_20: embryonic day 14.5 (more )
Structure Level Pattern Image Note
TS23: telencephalon mantle layer Moderate Regionally restricted euxassay_015911_20
TS23: rest of cerebellum mantle layer Strong Regionally restricted euxassay_015911_20
TS23: inner ear vestibular component Weak Regionally restricted euxassay_015911_20
TS23: neural retina Weak Regionally restricted euxassay_015911_20

Specimen euxassay_015911_21: embryonic day 14.5 (more )
Structure Level Pattern Image Note
TS23: telencephalon mantle layer Moderate Regionally restricted euxassay_015911_21
TS23: inner ear vestibular component Weak Regionally restricted euxassay_015911_21
TS23: neural retina Weak Regionally restricted euxassay_015911_21

Specimen euxassay_015911_22: embryonic day 14.5 (more )
Structure Level Pattern Image Note
TS23: telencephalon mantle layer Moderate Regionally restricted euxassay_015911_22
TS23: ear Weak Regionally restricted euxassay_015911_22
TS23: neural retina Weak Regionally restricted euxassay_015911_22


Contributing Projects:
Mouse Genome Database (MGD), Gene Expression Database (GXD), Mouse Models of Human Cancer database (MMHCdb) (formerly Mouse Tumor Biology (MTB)), Gene Ontology (GO)
Citing These Resources
Funding Information
Warranty Disclaimer, Privacy Notice, Licensing, & Copyright
Send questions and comments to User Support.
last database update
12/30/2025
MGI 6.24
The Jackson Laboratory