About   Help   FAQ
Gene Expression Data
Assay Details
Assay
Reference: J:153498 Diez-Roux G, et al., A high-resolution anatomical atlas of the transcriptome in the mouse embryo. PLoS Biol. 2011;9(1):e1000582
Assay type: RNA in situ
MGI Accession ID: MGI:4825991
Gene symbol: Nrros
Gene name: negative regulator of reactive oxygen species
Probe: MGC clone 36838
Probe preparation: Antisense labelled with digoxigenin RNA
Visualized with: Alkaline phosphatase
Assay notes: Cryosections of fresh frozen material were fixed in 4% paraformaldehyde for 20 min. before further processing. A tyramide-biotin/streptavidin amplification step was included in the in situ hybridization procedure.
Results
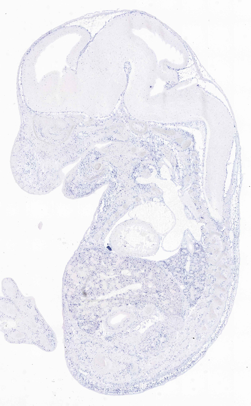
Specimen euxassay_006774_01: embryonic day 14.5 (more )
Structure Level Pattern Image Note
TS23: embryo Moderate Spotted euxassay_006774_01

Specimen euxassay_006774_02: embryonic day 14.5 (more )
Structure Level Pattern Image Note
TS23: embryo Moderate Spotted euxassay_006774_02

Specimen euxassay_006774_03: embryonic day 14.5 (more )
Structure Level Pattern Image Note
TS23: embryo Moderate Spotted euxassay_006774_03

Specimen euxassay_006774_04: embryonic day 14.5 (more )
Structure Level Pattern Image Note
TS23: embryo Moderate Spotted euxassay_006774_04

Specimen euxassay_006774_05: embryonic day 14.5 (more )
Structure Level Pattern Image Note
TS23: embryo Moderate Spotted euxassay_006774_05

Specimen euxassay_006774_06: embryonic day 14.5 (more )
Structure Level Pattern Image Note
TS23: embryo Moderate Spotted euxassay_006774_06

Specimen euxassay_006774_07: embryonic day 14.5 (more )
Structure Level Pattern Image Note
TS23: embryo Moderate Spotted euxassay_006774_07

Specimen euxassay_006774_08: embryonic day 14.5 (more )
Structure Level Pattern Image Note
TS23: embryo Moderate Spotted euxassay_006774_08

Specimen euxassay_006774_09: embryonic day 14.5 (more )
Structure Level Pattern Image Note
TS23: embryo Moderate Spotted euxassay_006774_09

Specimen euxassay_006774_10: embryonic day 14.5 (more )
Structure Level Pattern Image Note
TS23: embryo Moderate Spotted euxassay_006774_10

Specimen euxassay_006774_11: embryonic day 14.5 (more )
Structure Level Pattern Image Note
TS23: embryo Moderate Spotted euxassay_006774_11

Specimen euxassay_006774_12: embryonic day 14.5 (more )
Structure Level Pattern Image Note
TS23: embryo Moderate Spotted euxassay_006774_12

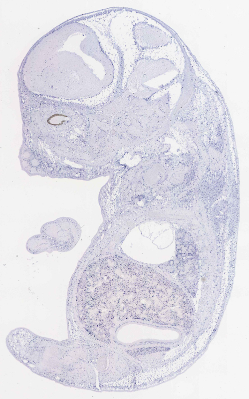
Specimen euxassay_006774_13: embryonic day 14.5 (more )
Structure Level Pattern Image Note
TS23: thymus primordium Strong Uniform euxassay_006774_13
TS23: embryo Moderate Spotted euxassay_006774_13

Specimen euxassay_006774_14: embryonic day 14.5 (more )
Structure Level Pattern Image Note
TS23: thymus primordium Strong Uniform euxassay_006774_14
TS23: embryo Moderate Spotted euxassay_006774_14

Specimen euxassay_006774_15: embryonic day 14.5 (more )
Structure Level Pattern Image Note
TS23: thymus primordium Strong Uniform euxassay_006774_15
TS23: embryo Moderate Spotted euxassay_006774_15

Specimen euxassay_006774_16: embryonic day 14.5 (more )
Structure Level Pattern Image Note
TS23: thymus primordium Strong Uniform euxassay_006774_16
TS23: embryo Moderate Spotted euxassay_006774_16

Specimen euxassay_006774_17: embryonic day 14.5 (more )
Structure Level Pattern Image Note
TS23: thymus primordium Strong Uniform euxassay_006774_17
TS23: embryo Moderate Spotted euxassay_006774_17

Specimen euxassay_006774_18: embryonic day 14.5 (more )
Structure Level Pattern Image Note
TS23: embryo Moderate Spotted euxassay_006774_18

Specimen euxassay_006774_19: embryonic day 14.5 (more )
Structure Level Pattern Image Note
TS23: embryo Moderate Spotted euxassay_006774_19

Specimen euxassay_006774_20: embryonic day 14.5 (more )
Structure Level Pattern Image Note
TS23: embryo Moderate Spotted euxassay_006774_20

Specimen euxassay_006774_21: embryonic day 14.5 (more )
Structure Level Pattern Image Note
TS23: embryo Moderate Spotted euxassay_006774_21

Specimen euxassay_006774_22: embryonic day 14.5 (more )
Structure Level Pattern Image Note
TS23: embryo Moderate Spotted euxassay_006774_22

Specimen euxassay_006774_23: embryonic day 14.5 (more )
Structure Level Pattern Image Note
TS23: embryo Moderate Spotted euxassay_006774_23

Specimen euxassay_006774_24: embryonic day 14.5 (more )
Structure Level Pattern Image Note
TS23: embryo Moderate Spotted euxassay_006774_24


Contributing Projects:
Mouse Genome Database (MGD), Gene Expression Database (GXD), Mouse Models of Human Cancer database (MMHCdb) (formerly Mouse Tumor Biology (MTB)), Gene Ontology (GO)
Citing These Resources
Funding Information
Warranty Disclaimer, Privacy Notice, Licensing, & Copyright
Send questions and comments to User Support.
last database update
01/20/2026
MGI 6.24
The Jackson Laboratory