About   Help   FAQ
Gene Expression Data
Assay Details
Assay
Reference: J:153498 Diez-Roux G, et al., A high-resolution anatomical atlas of the transcriptome in the mouse embryo. PLoS Biol. 2011;9(1):e1000582
Assay type: RNA in situ
MGI Accession ID: MGI:4825976
Gene symbol: Lrfn5
Gene name: leucine rich repeat and fibronectin type III domain containing 5
Probe: T30569
Probe preparation: Antisense labelled with digoxigenin RNA
Visualized with: Alkaline phosphatase
Assay notes: Cryosections of fresh frozen material were fixed in 4% paraformaldehyde for 20 min. before further processing. A tyramide-biotin/streptavidin amplification step was included in the in situ hybridization procedure.
Results
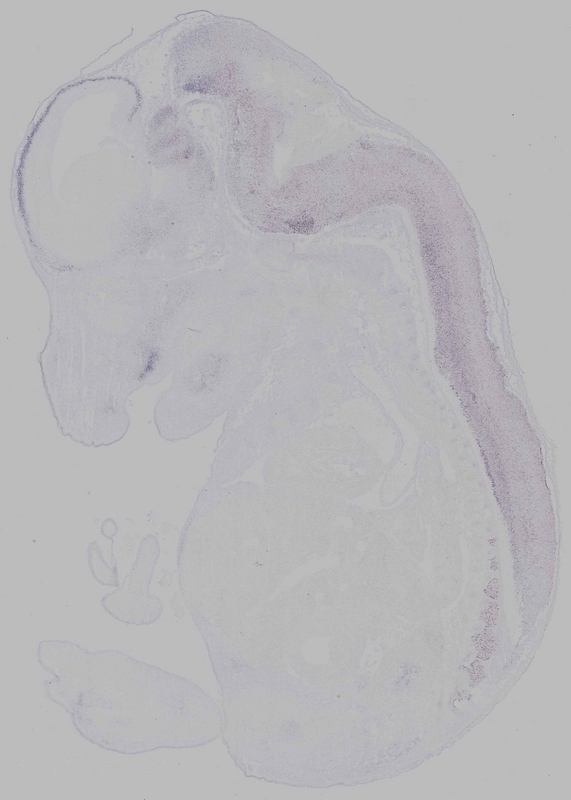
Specimen euxassay_010530_02: embryonic day 14.5 (more )
Structure Level Pattern Image Note
TS23: brain Moderate Regionally restricted euxassay_010530_02
TS23: cerebral cortex marginal layer Strong Regionally restricted euxassay_010530_02
TS23: trigeminal ganglion Moderate Regionally restricted euxassay_010530_02

Specimen euxassay_010530_03: embryonic day 14.5 (more )
Structure Level Pattern Image Note
TS23: brain Moderate Regionally restricted euxassay_010530_03
TS23: cerebral cortex marginal layer Strong Regionally restricted euxassay_010530_03
TS23: trigeminal ganglion Moderate Regionally restricted euxassay_010530_03
TS23: facial ganglion Moderate Regionally restricted euxassay_010530_03

Specimen euxassay_010530_04: embryonic day 14.5 (more )
Structure Level Pattern Image Note
TS23: brain Moderate Regionally restricted euxassay_010530_04
TS23: cerebral cortex marginal layer Strong Regionally restricted euxassay_010530_04
TS23: trigeminal ganglion Moderate Regionally restricted euxassay_010530_04
TS23: facial ganglion Moderate Regionally restricted euxassay_010530_04

Specimen euxassay_010530_05: embryonic day 14.5 (more )
Structure Level Pattern Image Note
TS23: brain Moderate Regionally restricted euxassay_010530_05
TS23: cerebral cortex marginal layer Strong Regionally restricted euxassay_010530_05
TS23: trigeminal ganglion Moderate Regionally restricted euxassay_010530_05
TS23: vestibulo-cochlear ganglion Moderate Regionally restricted euxassay_010530_05
TS23: facial ganglion Moderate Regionally restricted euxassay_010530_05
TS23: dorsal root ganglion Moderate Regionally restricted euxassay_010530_05

Specimen euxassay_010530_06: embryonic day 14.5 (more )
Structure Level Pattern Image Note
TS23: brain Moderate Regionally restricted euxassay_010530_06
TS23: cerebral cortex marginal layer Moderate Regionally restricted euxassay_010530_06
TS23: vagus ganglion Moderate Regionally restricted euxassay_010530_06
TS23: trigeminal ganglion Moderate Regionally restricted euxassay_010530_06
TS23: glossopharyngeal ganglion Moderate Regionally restricted euxassay_010530_06
TS23: facial ganglion Moderate Regionally restricted euxassay_010530_06
TS23: vestibulo-cochlear ganglion Moderate Regionally restricted euxassay_010530_06
TS23: dorsal root ganglion Moderate Regionally restricted euxassay_010530_06

Specimen euxassay_010530_07: embryonic day 14.5 (more )
Structure Level Pattern Image Note
TS23: brain Moderate Regionally restricted euxassay_010530_07
TS23: spinal cord Moderate Regionally restricted euxassay_010530_07
TS23: cerebral cortex marginal layer Moderate Regionally restricted euxassay_010530_07
TS23: vestibulo-cochlear ganglion Moderate Regionally restricted euxassay_010530_07
TS23: trigeminal ganglion Moderate Regionally restricted euxassay_010530_07
TS23: dorsal root ganglion Moderate Regionally restricted euxassay_010530_07

Specimen euxassay_010530_08: embryonic day 14.5 (more )
Structure Level Pattern Image Note
TS23: brain Moderate Regionally restricted euxassay_010530_08
TS23: spinal cord Moderate Regionally restricted euxassay_010530_08
TS23: cerebral cortex marginal layer Moderate Regionally restricted euxassay_010530_08
TS23: dorsal root ganglion Moderate Regionally restricted euxassay_010530_08

Specimen euxassay_010530_09: embryonic day 14.5 (more )
Structure Level Pattern Image Note
TS23: brain Moderate Regionally restricted euxassay_010530_09
TS23: spinal cord Moderate Regionally restricted euxassay_010530_09
TS23: cerebral cortex marginal layer Moderate Regionally restricted euxassay_010530_09
TS23: dorsal root ganglion Moderate Regionally restricted euxassay_010530_09

Specimen euxassay_010530_10: embryonic day 14.5 (more )
Structure Level Pattern Image Note
TS23: brain Moderate Regionally restricted euxassay_010530_10
TS23: spinal cord Moderate Regionally restricted euxassay_010530_10
TS23: cerebral cortex marginal layer Moderate Regionally restricted euxassay_010530_10
TS23: dorsal root ganglion Moderate Regionally restricted euxassay_010530_10

Specimen euxassay_010530_11: embryonic day 14.5 (more )
Structure Level Pattern Image Note
TS23: brain Moderate Regionally restricted euxassay_010530_11
TS23: spinal cord Moderate Regionally restricted euxassay_010530_11
TS23: cerebral cortex marginal layer Moderate Regionally restricted euxassay_010530_11
TS23: dorsal root ganglion Moderate Regionally restricted euxassay_010530_11

Specimen euxassay_010530_12: embryonic day 14.5 (more )
Structure Level Pattern Image Note
TS23: brain Moderate Regionally restricted euxassay_010530_12
TS23: spinal cord Moderate Regionally restricted euxassay_010530_12
TS23: cerebral cortex marginal layer Moderate Regionally restricted euxassay_010530_12
TS23: dorsal root ganglion Moderate Regionally restricted euxassay_010530_12

Specimen euxassay_010530_13: embryonic day 14.5 (more )
Structure Level Pattern Image Note
TS23: brain Moderate Regionally restricted euxassay_010530_13
TS23: spinal cord Moderate Regionally restricted euxassay_010530_13
TS23: cerebral cortex marginal layer Moderate Regionally restricted euxassay_010530_13
TS23: dorsal root ganglion Moderate Regionally restricted euxassay_010530_13

Specimen euxassay_010530_14: embryonic day 14.5 (more )
Structure Level Pattern Image Note
TS23: brain Moderate Regionally restricted euxassay_010530_14
TS23: spinal cord Moderate Regionally restricted euxassay_010530_14
TS23: cerebral cortex marginal layer Moderate Regionally restricted euxassay_010530_14
TS23: dorsal root ganglion Moderate Regionally restricted euxassay_010530_14

Specimen euxassay_010530_15: embryonic day 14.5 (more )
Structure Level Pattern Image Note
TS23: brain Moderate Regionally restricted euxassay_010530_15
TS23: spinal cord Moderate Regionally restricted euxassay_010530_15
TS23: cerebral cortex marginal layer Moderate Regionally restricted euxassay_010530_15
TS23: vagus ganglion Moderate Regionally restricted euxassay_010530_15
TS23: glossopharyngeal ganglion Moderate Regionally restricted euxassay_010530_15
TS23: vestibulo-cochlear ganglion Moderate Regionally restricted euxassay_010530_15
TS23: trigeminal ganglion Moderate Regionally restricted euxassay_010530_15
TS23: dorsal root ganglion Moderate Regionally restricted euxassay_010530_15

Specimen euxassay_010530_16: embryonic day 14.5 (more )
Structure Level Pattern Image Note
TS23: brain Moderate Regionally restricted euxassay_010530_16
TS23: spinal cord Moderate Regionally restricted euxassay_010530_16
TS23: cerebral cortex marginal layer Moderate Regionally restricted euxassay_010530_16
TS23: trigeminal ganglion Moderate Regionally restricted euxassay_010530_16
TS23: vestibulo-cochlear ganglion Moderate Regionally restricted euxassay_010530_16
TS23: dorsal root ganglion Moderate Regionally restricted euxassay_010530_16

Specimen euxassay_010530_17: embryonic day 14.5 (more )
Structure Level Pattern Image Note
TS23: brain Moderate Regionally restricted euxassay_010530_17
TS23: cerebral cortex marginal layer Moderate Regionally restricted euxassay_010530_17
TS23: trigeminal ganglion Moderate Regionally restricted euxassay_010530_17
TS23: facial ganglion Moderate Regionally restricted euxassay_010530_17
TS23: dorsal root ganglion Moderate Regionally restricted euxassay_010530_17

Specimen euxassay_010530_18: embryonic day 14.5 (more )
Structure Level Pattern Image Note
TS23: brain Moderate Regionally restricted euxassay_010530_18
TS23: cerebral cortex marginal layer Moderate Regionally restricted euxassay_010530_18
TS23: trigeminal ganglion Moderate Regionally restricted euxassay_010530_18
TS23: facial ganglion Moderate Regionally restricted euxassay_010530_18

Specimen euxassay_010530_19: embryonic day 14.5 (more )
Structure Level Pattern Image Note
TS23: brain Moderate Regionally restricted euxassay_010530_19
TS23: cerebral cortex marginal layer Moderate Regionally restricted euxassay_010530_19
TS23: trigeminal ganglion Moderate Regionally restricted euxassay_010530_19

Specimen euxassay_010530_20: embryonic day 14.5 (more )
Structure Level Pattern Image Note
TS23: brain Moderate Regionally restricted euxassay_010530_20
TS23: cerebral cortex marginal layer Moderate Regionally restricted euxassay_010530_20
TS23: trigeminal ganglion Moderate Regionally restricted euxassay_010530_20

Specimen euxassay_010530_21: embryonic day 14.5 (more )
Structure Level Pattern Image Note
TS23: brain Moderate Regionally restricted euxassay_010530_21
TS23: cerebral cortex marginal layer Moderate Regionally restricted euxassay_010530_21

Specimen euxassay_010530_22: embryonic day 14.5 (more )
Structure Level Pattern Image Note
TS23: brain Moderate Regionally restricted euxassay_010530_22
TS23: cerebral cortex marginal layer Moderate Regionally restricted euxassay_010530_22


Contributing Projects:
Mouse Genome Database (MGD), Gene Expression Database (GXD), Mouse Models of Human Cancer database (MMHCdb) (formerly Mouse Tumor Biology (MTB)), Gene Ontology (GO)
Citing These Resources
Funding Information
Warranty Disclaimer, Privacy Notice, Licensing, & Copyright
Send questions and comments to User Support.
last database update
03/24/2026
MGI 6.24
The Jackson Laboratory