About   Help   FAQ
Gene Expression Data
Assay Details
Assay
Reference: J:153498 Diez-Roux G, et al., A high-resolution anatomical atlas of the transcriptome in the mouse embryo. PLoS Biol. 2011;9(1):e1000582
Assay type: RNA in situ
MGI Accession ID: MGI:4825968
Gene symbol: Lpcat3
Gene name: lysophosphatidylcholine acyltransferase 3
Probe: T30818
Probe preparation: Antisense labelled with digoxigenin RNA
Visualized with: Alkaline phosphatase
Assay notes: Cryosections of fresh frozen material were fixed in 4% paraformaldehyde for 20 min. before further processing. A tyramide-biotin/streptavidin amplification step was included in the in situ hybridization procedure.
Results
Specimen euxassay_010556_01: embryonic day 14.5 (more )
Structure Level Pattern Image Note
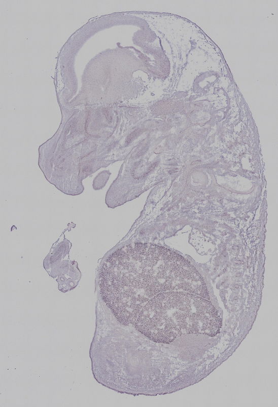
TS23: liver Moderate Regionally restricted euxassay_010556_01

Specimen euxassay_010556_02: embryonic day 14.5 (more )
Structure Level Pattern Image Note
TS23: liver Moderate Regionally restricted euxassay_010556_02

Specimen euxassay_010556_03: embryonic day 14.5 (more )
Structure Level Pattern Image Note
TS23: liver Moderate Regionally restricted euxassay_010556_03

Specimen euxassay_010556_04: embryonic day 14.5 (more )
Structure Level Pattern Image Note
TS23: liver Moderate Regionally restricted euxassay_010556_04
TS23: adrenal medulla Moderate Regionally restricted euxassay_010556_04

Specimen euxassay_010556_05: embryonic day 14.5 (more )
Structure Level Pattern Image Note
TS23: liver Moderate Regionally restricted euxassay_010556_05
TS23: adrenal medulla Moderate Regionally restricted euxassay_010556_05

Specimen euxassay_010556_06: embryonic day 14.5 (more )
Structure Level Pattern Image Note
TS23: liver Moderate Regionally restricted euxassay_010556_06
TS23: thymus primordium Moderate Regionally restricted euxassay_010556_06
TS23: thyroid gland Moderate Regionally restricted euxassay_010556_06
TS23: adrenal medulla Moderate Regionally restricted euxassay_010556_06

Specimen euxassay_010556_07: embryonic day 14.5 (more )
Structure Level Pattern Image Note
TS23: liver Moderate Regionally restricted euxassay_010556_07
TS23: thymus primordium Moderate Regionally restricted euxassay_010556_07

Specimen euxassay_010556_08: embryonic day 14.5 (more )
Structure Level Pattern Image Note
TS23: liver Moderate Regionally restricted euxassay_010556_08
TS23: thymus primordium Moderate Regionally restricted euxassay_010556_08
TS23: midgut Moderate Regionally restricted euxassay_010556_08

Specimen euxassay_010556_09: embryonic day 14.5 (more )
Structure Level Pattern Image Note
TS23: liver Moderate Regionally restricted euxassay_010556_09
TS23: thymus primordium Moderate Regionally restricted euxassay_010556_09
TS23: midgut Moderate Regionally restricted euxassay_010556_09

Specimen euxassay_010556_10: embryonic day 14.5 (more )
Structure Level Pattern Image Note
TS23: liver Moderate Regionally restricted euxassay_010556_10
TS23: thymus primordium Moderate Regionally restricted euxassay_010556_10
TS23: midgut Moderate Regionally restricted euxassay_010556_10

Specimen euxassay_010556_11: embryonic day 14.5 (more )
Structure Level Pattern Image Note
TS23: liver Moderate Regionally restricted euxassay_010556_11
TS23: midgut Moderate Regionally restricted euxassay_010556_11

Specimen euxassay_010556_12: embryonic day 14.5 (more )
Structure Level Pattern Image Note
TS23: liver Moderate Regionally restricted euxassay_010556_12
TS23: adrenal medulla Moderate Regionally restricted euxassay_010556_12
TS23: midgut Moderate Regionally restricted euxassay_010556_12

Specimen euxassay_010556_13: embryonic day 14.5 (more )
Structure Level Pattern Image Note
TS23: liver Moderate Regionally restricted euxassay_010556_13
TS23: adrenal medulla Moderate Regionally restricted euxassay_010556_13
TS23: midgut Moderate Regionally restricted euxassay_010556_13

Specimen euxassay_010556_14: embryonic day 14.5 (more )
Structure Level Pattern Image Note
TS23: liver Moderate Regionally restricted euxassay_010556_14
TS23: midgut Moderate Regionally restricted euxassay_010556_14

Specimen euxassay_010556_15: embryonic day 14.5 (more )
Structure Level Pattern Image Note
TS23: liver Moderate Regionally restricted euxassay_010556_15

Specimen euxassay_010556_16: embryonic day 14.5 (more )
Structure Level Pattern Image Note
TS23: liver Moderate Regionally restricted euxassay_010556_16

Specimen euxassay_010556_17: embryonic day 14.5 (more )
Structure Level Pattern Image Note
TS23: liver Moderate Regionally restricted euxassay_010556_17

Specimen euxassay_010556_18: embryonic day 14.5 (more )
Structure Level Pattern Image Note
TS23: liver Moderate Regionally restricted euxassay_010556_18

Specimen euxassay_010556_19: embryonic day 14.5 (more )
Structure Level Pattern Image Note
TS23: liver Moderate Regionally restricted euxassay_010556_19

Specimen euxassay_010556_20: embryonic day 14.5 (more )
Structure Level Pattern Image Note
TS23: liver Moderate Regionally restricted euxassay_010556_20

Specimen euxassay_010556_21: embryonic day 14.5 (more )
Structure Level Pattern Image Note
TS23: liver Moderate Regionally restricted euxassay_010556_21


Contributing Projects:
Mouse Genome Database (MGD), Gene Expression Database (GXD), Mouse Models of Human Cancer database (MMHCdb) (formerly Mouse Tumor Biology (MTB)), Gene Ontology (GO)
Citing These Resources
Funding Information
Warranty Disclaimer, Privacy Notice, Licensing, & Copyright
Send questions and comments to User Support.
last database update
01/20/2026
MGI 6.24
The Jackson Laboratory