About   Help   FAQ
Gene Expression Data
Assay Details
Assay
Reference: J:153498 Diez-Roux G, et al., A high-resolution anatomical atlas of the transcriptome in the mouse embryo. PLoS Biol. 2011;9(1):e1000582
Assay type: RNA in situ
MGI Accession ID: MGI:4825959
Gene symbol: Lonp1
Gene name: lon peptidase 1, mitochondrial
Probe: T36905
Probe preparation: Antisense labelled with digoxigenin RNA
Visualized with: Alkaline phosphatase
Assay notes: Cryosections of fresh frozen material were fixed in 4% paraformaldehyde for 20 min. before further processing. A tyramide-biotin/streptavidin amplification step was included in the in situ hybridization procedure.
Results
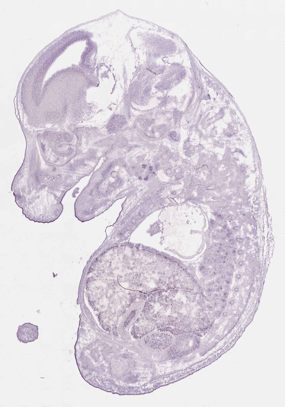
Specimen euxassay_009528_01: embryonic day 14.5 (more )
Structure Level Pattern Image Note
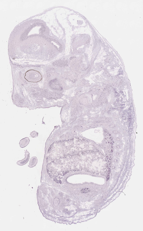
TS23: liver Moderate Regionally restricted euxassay_009528_01

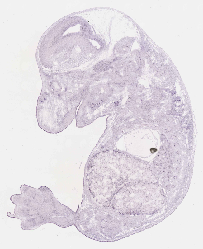
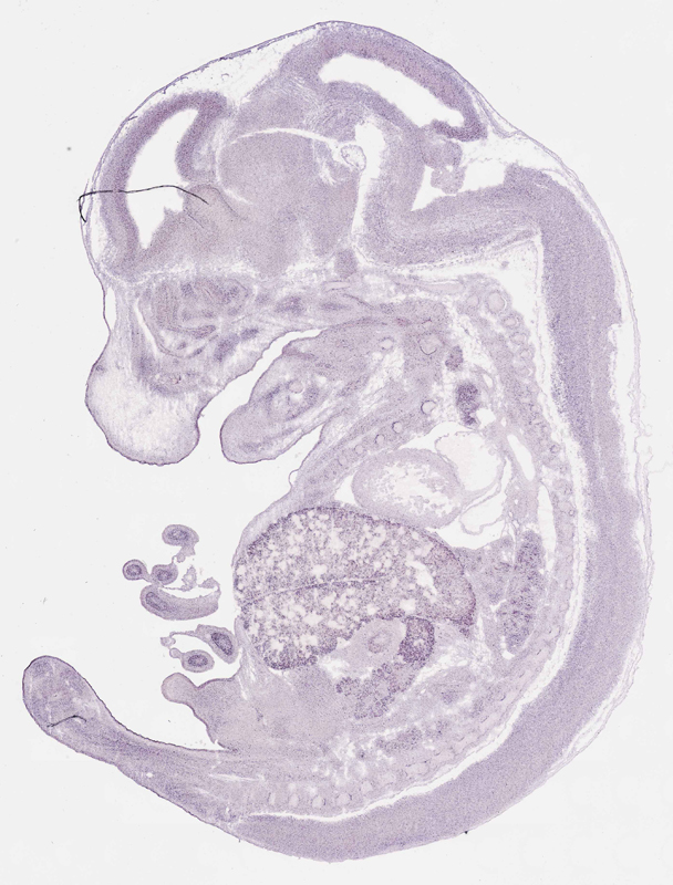
Specimen euxassay_009528_02: embryonic day 14.5 (more )
Structure Level Pattern Image Note
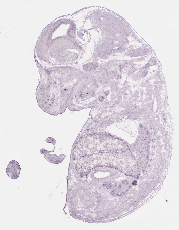
TS23: liver Moderate Regionally restricted euxassay_009528_02

Specimen euxassay_009528_03: embryonic day 14.5 (more )
Structure Level Pattern Image Note
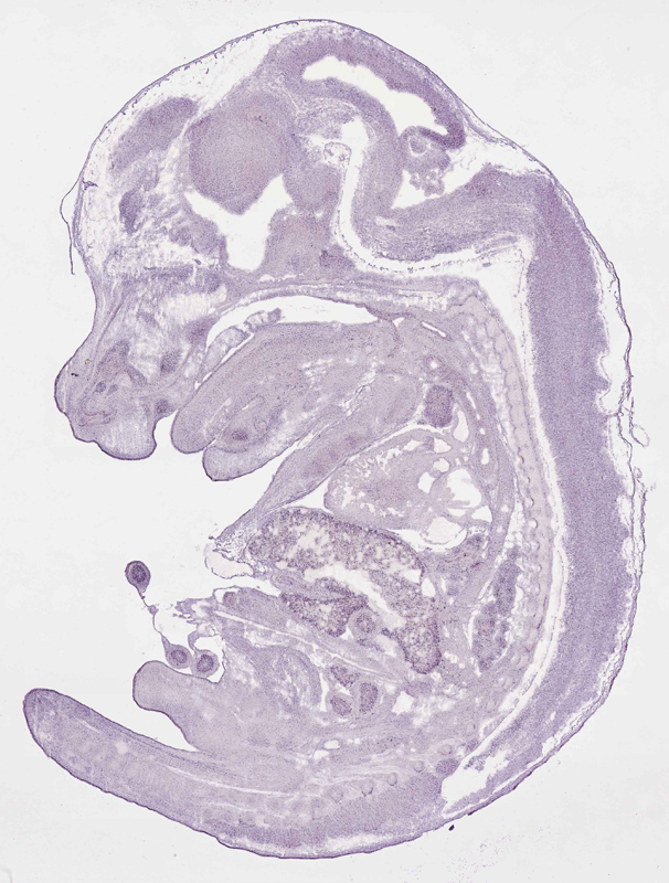
TS23: liver Moderate Regionally restricted euxassay_009528_03
TS23: left lung Moderate Regionally restricted euxassay_009528_03

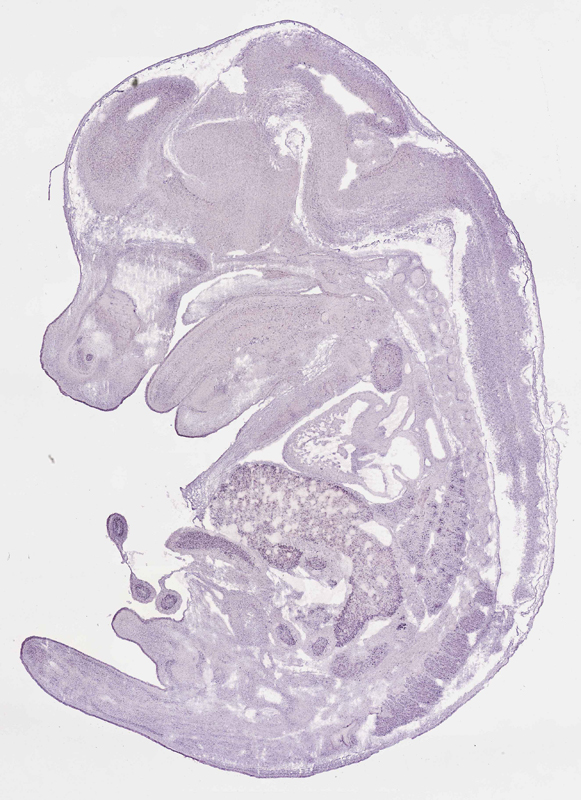
Specimen euxassay_009528_04: embryonic day 14.5 (more )
Structure Level Pattern Image Note
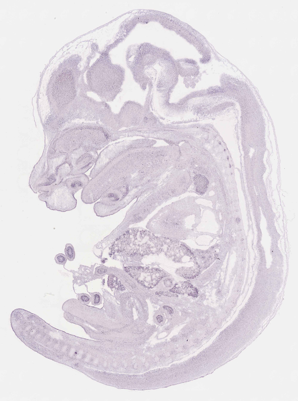
TS23: liver Moderate Regionally restricted euxassay_009528_04
TS23: left lung Moderate Regionally restricted euxassay_009528_04

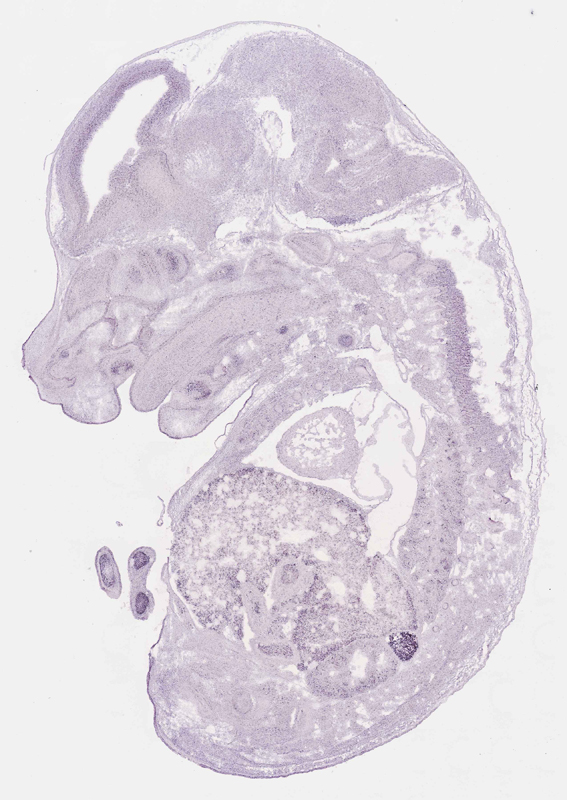
Specimen euxassay_009528_05: embryonic day 14.5 (more )
Structure Level Pattern Image Note
TS23: liver Moderate Regionally restricted euxassay_009528_05
TS23: left lung Moderate Regionally restricted euxassay_009528_05
TS23: metanephros Moderate Regionally restricted euxassay_009528_05
TS23: testis Moderate Regionally restricted euxassay_009528_05
TS23: stomach Moderate Regionally restricted euxassay_009528_05
TS23: adrenal medulla Moderate Regionally restricted euxassay_009528_05

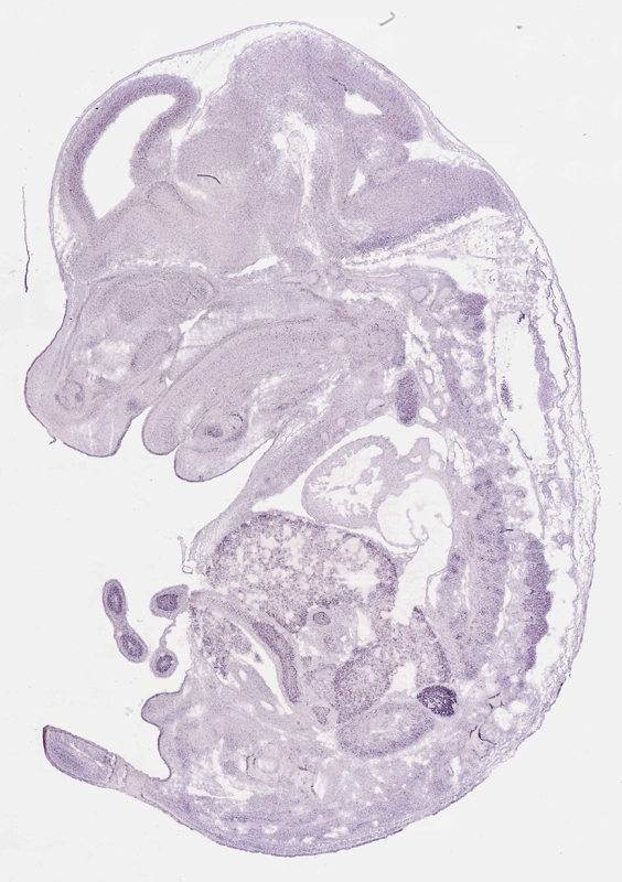
Specimen euxassay_009528_06: embryonic day 14.5 (more )
Structure Level Pattern Image Note
TS23: left lung Moderate Regionally restricted euxassay_009528_06
TS23: liver Moderate Regionally restricted euxassay_009528_06
TS23: metanephros Moderate Regionally restricted euxassay_009528_06
TS23: testis Moderate Regionally restricted euxassay_009528_06
TS23: stomach Moderate Regionally restricted euxassay_009528_06
TS23: midgut Moderate Regionally restricted euxassay_009528_06
TS23: adrenal medulla Strong Regionally restricted euxassay_009528_06
TS23: submandibular gland primordium Moderate Regionally restricted euxassay_009528_06

Specimen euxassay_009528_07: embryonic day 14.5 (more )
Structure Level Pattern Image Note
TS23: liver Moderate Regionally restricted euxassay_009528_07
TS23: metanephros Moderate Regionally restricted euxassay_009528_07
TS23: testis Moderate Regionally restricted euxassay_009528_07
TS23: left lung Moderate Regionally restricted euxassay_009528_07
TS23: midgut Moderate Regionally restricted euxassay_009528_07
TS23: stomach Moderate Regionally restricted euxassay_009528_07
TS23: adrenal medulla Strong Regionally restricted euxassay_009528_07
TS23: submandibular gland primordium Moderate Regionally restricted euxassay_009528_07

Specimen euxassay_009528_08: embryonic day 14.5 (more )
Structure Level Pattern Image Note
TS23: left lung Moderate Regionally restricted euxassay_009528_08
TS23: metanephros Moderate Regionally restricted euxassay_009528_08
TS23: liver Moderate Regionally restricted euxassay_009528_08
TS23: pancreas Moderate Regionally restricted euxassay_009528_08
TS23: stomach Moderate Regionally restricted euxassay_009528_08
TS23: midgut Moderate Regionally restricted euxassay_009528_08
TS23: adrenal medulla Strong Regionally restricted euxassay_009528_08
TS23: submandibular gland primordium Moderate Regionally restricted euxassay_009528_08

Specimen euxassay_009528_09: embryonic day 14.5 (more )
Structure Level Pattern Image Note
TS23: liver Moderate Regionally restricted euxassay_009528_09
TS23: metanephros Moderate Regionally restricted euxassay_009528_09
TS23: left lung Moderate Regionally restricted euxassay_009528_09
TS23: pancreas Moderate Regionally restricted euxassay_009528_09
TS23: stomach Moderate Regionally restricted euxassay_009528_09
TS23: midgut Moderate Regionally restricted euxassay_009528_09
TS23: adrenal medulla Strong Regionally restricted euxassay_009528_09
TS23: submandibular gland primordium Moderate Regionally restricted euxassay_009528_09

Specimen euxassay_009528_10: embryonic day 14.5 (more )
Structure Level Pattern Image Note
TS23: liver Moderate Regionally restricted euxassay_009528_10
TS23: left lung Moderate Regionally restricted euxassay_009528_10
TS23: pancreas Moderate Regionally restricted euxassay_009528_10
TS23: midgut Moderate Regionally restricted euxassay_009528_10
TS23: thymus primordium Moderate Regionally restricted euxassay_009528_10
TS23: thyroid gland Moderate Regionally restricted euxassay_009528_10

Specimen euxassay_009528_11: embryonic day 14.5 (more )
Structure Level Pattern Image Note
TS23: liver Moderate Regionally restricted euxassay_009528_11
TS23: left lung Moderate Regionally restricted euxassay_009528_11
TS23: right lung Moderate Regionally restricted euxassay_009528_11
TS23: pancreas Moderate Regionally restricted euxassay_009528_11
TS23: midgut Moderate Regionally restricted euxassay_009528_11
TS23: thymus primordium Moderate Regionally restricted euxassay_009528_11
TS23: thyroid gland Moderate Regionally restricted euxassay_009528_11

Specimen euxassay_009528_12: embryonic day 14.5 (more )
Structure Level Pattern Image Note
TS23: liver Moderate Regionally restricted euxassay_009528_12
TS23: right lung Moderate Regionally restricted euxassay_009528_12
TS23: pancreas Moderate Regionally restricted euxassay_009528_12
TS23: midgut Moderate Regionally restricted euxassay_009528_12
TS23: thymus primordium Moderate Regionally restricted euxassay_009528_12

Specimen euxassay_009528_13: embryonic day 14.5 (more )
Structure Level Pattern Image Note
TS23: right lung Moderate Regionally restricted euxassay_009528_13
TS23: liver Moderate Regionally restricted euxassay_009528_13
TS23: midgut Moderate Regionally restricted euxassay_009528_13
TS23: thymus primordium Moderate Regionally restricted euxassay_009528_13

Specimen euxassay_009528_14: embryonic day 14.5 (more )
Structure Level Pattern Image Note
TS23: liver Moderate Regionally restricted euxassay_009528_14
TS23: right lung Moderate Regionally restricted euxassay_009528_14
TS23: pancreas Moderate Regionally restricted euxassay_009528_14
TS23: midgut Moderate Regionally restricted euxassay_009528_14
TS23: adrenal medulla Strong Regionally restricted euxassay_009528_14
TS23: thymus primordium Moderate Regionally restricted euxassay_009528_14
TS23: thyroid gland Moderate Regionally restricted euxassay_009528_14

Specimen euxassay_009528_15: embryonic day 14.5 (more )
Structure Level Pattern Image Note
TS23: right lung Moderate Regionally restricted euxassay_009528_15
TS23: liver Moderate Regionally restricted euxassay_009528_15
TS23: metanephros Moderate Regionally restricted euxassay_009528_15
TS23: pancreas Moderate Regionally restricted euxassay_009528_15
TS23: midgut Moderate Regionally restricted euxassay_009528_15
TS23: adrenal medulla Strong Regionally restricted euxassay_009528_15
TS23: thymus primordium Moderate Regionally restricted euxassay_009528_15
TS23: thyroid gland Moderate Regionally restricted euxassay_009528_15

Specimen euxassay_009528_16: embryonic day 14.5 (more )
Structure Level Pattern Image Note
TS23: liver Moderate Regionally restricted euxassay_009528_16
TS23: metanephros Moderate Regionally restricted euxassay_009528_16
TS23: right lung Moderate Regionally restricted euxassay_009528_16
TS23: pancreas Moderate Regionally restricted euxassay_009528_16
TS23: midgut Moderate Regionally restricted euxassay_009528_16
TS23: adrenal medulla Strong Regionally restricted euxassay_009528_16
TS23: thymus primordium Moderate Regionally restricted euxassay_009528_16

Specimen euxassay_009528_17: embryonic day 14.5 (more )
Structure Level Pattern Image Note
TS23: liver Moderate Regionally restricted euxassay_009528_17
TS23: metanephros Moderate Regionally restricted euxassay_009528_17
TS23: right lung Moderate Regionally restricted euxassay_009528_17
TS23: midgut Moderate Regionally restricted euxassay_009528_17
TS23: adrenal medulla Strong Regionally restricted euxassay_009528_17
TS23: submandibular gland primordium Moderate Regionally restricted euxassay_009528_17

Specimen euxassay_009528_18: embryonic day 14.5 (more )
Structure Level Pattern Image Note
TS23: liver Moderate Regionally restricted euxassay_009528_18
TS23: right lung Moderate Regionally restricted euxassay_009528_18
TS23: metanephros Moderate Regionally restricted euxassay_009528_18
TS23: testis Moderate Regionally restricted euxassay_009528_18
TS23: submandibular gland primordium Moderate Regionally restricted euxassay_009528_18

Specimen euxassay_009528_19: embryonic day 14.5 (more )
Structure Level Pattern Image Note
TS23: liver Moderate Regionally restricted euxassay_009528_19
TS23: right lung Moderate Regionally restricted euxassay_009528_19
TS23: submandibular gland primordium Moderate Regionally restricted euxassay_009528_19

Specimen euxassay_009528_20: embryonic day 14.5 (more )
Structure Level Pattern Image Note
TS23: right lung Moderate Regionally restricted euxassay_009528_20
TS23: liver Moderate Regionally restricted euxassay_009528_20
TS23: submandibular gland primordium Moderate Regionally restricted euxassay_009528_20

Specimen euxassay_009528_21: embryonic day 14.5 (more )
Structure Level Pattern Image Note
TS23: liver Moderate Regionally restricted euxassay_009528_21
TS23: right lung Moderate Regionally restricted euxassay_009528_21

Specimen euxassay_009528_22: embryonic day 14.5 (more )
Structure Level Pattern Image Note
TS23: liver Moderate Regionally restricted euxassay_009528_22
TS23: right lung Moderate Regionally restricted euxassay_009528_22

Specimen euxassay_009528_23: embryonic day 14.5 (more )
Structure Level Pattern Image Note
TS23: liver Moderate Regionally restricted euxassay_009528_23
TS23: right lung Moderate Regionally restricted euxassay_009528_23


Contributing Projects:
Mouse Genome Database (MGD), Gene Expression Database (GXD), Mouse Models of Human Cancer database (MMHCdb) (formerly Mouse Tumor Biology (MTB)), Gene Ontology (GO)
Citing These Resources
Funding Information
Warranty Disclaimer, Privacy Notice, Licensing, & Copyright
Send questions and comments to User Support.
last database update
01/20/2026
MGI 6.24
The Jackson Laboratory