About   Help   FAQ
Gene Expression Data
Assay Details
Assay
Reference: J:153498 Diez-Roux G, et al., A high-resolution anatomical atlas of the transcriptome in the mouse embryo. PLoS Biol. 2011;9(1):e1000582
Assay type: RNA in situ
MGI Accession ID: MGI:4825953
Gene symbol: Lmod3
Gene name: leiomodin 3 (fetal)
Probe: T37783
Probe preparation: Antisense labelled with digoxigenin RNA
Visualized with: Alkaline phosphatase
Assay notes: Cryosections of fresh frozen material were fixed in 4% paraformaldehyde for 20 min. before further processing. A tyramide-biotin/streptavidin amplification step was included in the in situ hybridization procedure.
Results
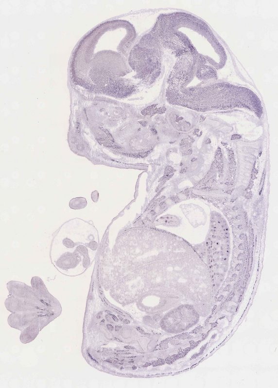
Specimen euxassay_013746_01: embryonic day 14.5 (more )
Structure Level Pattern Image Note
TS23: brain Strong Regionally restricted euxassay_013746_01
TS23: neural retina Strong Regionally restricted euxassay_013746_01
TS23: vertebral axis musculature Strong Regionally restricted euxassay_013746_01
TS23: diaphragm Strong Regionally restricted euxassay_013746_01
TS23: eye skeletal muscle Strong Regionally restricted euxassay_013746_01
TS23: upper arm muscle Strong Regionally restricted euxassay_013746_01
TS23: forearm rest of mesenchyme Strong Regionally restricted euxassay_013746_01
TS23: upper leg muscle Strong Regionally restricted euxassay_013746_01
TS23: lower leg rest of mesenchyme Strong Regionally restricted euxassay_013746_01

Specimen euxassay_013746_02: embryonic day 14.5 (more )
Structure Level Pattern Image Note
TS23: brain Strong Regionally restricted euxassay_013746_02
TS23: neural retina Strong Regionally restricted euxassay_013746_02
TS23: diaphragm Strong Regionally restricted euxassay_013746_02
TS23: vertebral axis musculature Strong Regionally restricted euxassay_013746_02
TS23: eye skeletal muscle Strong Regionally restricted euxassay_013746_02
TS23: upper arm muscle Strong Regionally restricted euxassay_013746_02
TS23: forearm rest of mesenchyme Strong Regionally restricted euxassay_013746_02
TS23: hand Strong Regionally restricted euxassay_013746_02
TS23: upper leg muscle Strong Regionally restricted euxassay_013746_02
TS23: lower leg rest of mesenchyme Strong Regionally restricted euxassay_013746_02

Specimen euxassay_013746_03: embryonic day 14.5 (more )
Structure Level Pattern Image Note
TS23: brain Strong Regionally restricted euxassay_013746_03
TS23: trigeminal ganglion Strong Regionally restricted euxassay_013746_03
TS23: neural retina Strong Regionally restricted euxassay_013746_03
TS23: diaphragm Strong Regionally restricted euxassay_013746_03
TS23: vertebral axis musculature Strong Regionally restricted euxassay_013746_03
TS23: eye skeletal muscle Strong Regionally restricted euxassay_013746_03
TS23: upper arm muscle Strong Regionally restricted euxassay_013746_03
TS23: hand Strong Regionally restricted euxassay_013746_03
TS23: upper leg muscle Strong Regionally restricted euxassay_013746_03
TS23: lower leg rest of mesenchyme Strong Regionally restricted euxassay_013746_03
TS23: left lung Moderate Regionally restricted euxassay_013746_03

Specimen euxassay_013746_04: embryonic day 14.5 (more )
Structure Level Pattern Image Note
TS23: brain Strong Regionally restricted euxassay_013746_04
TS23: trigeminal ganglion Strong Regionally restricted euxassay_013746_04
TS23: facial ganglion Strong Regionally restricted euxassay_013746_04
TS23: neural retina Strong Regionally restricted euxassay_013746_04
TS23: diaphragm Strong Regionally restricted euxassay_013746_04
TS23: vertebral axis musculature Strong Regionally restricted euxassay_013746_04
TS23: eye skeletal muscle Strong Regionally restricted euxassay_013746_04
TS23: upper arm muscle Strong Regionally restricted euxassay_013746_04
TS23: hand Strong Regionally restricted euxassay_013746_04
TS23: upper leg muscle Strong Regionally restricted euxassay_013746_04
TS23: foot Strong Regionally restricted euxassay_013746_04
TS23: left lung Strong Regionally restricted euxassay_013746_04

Specimen euxassay_013746_05: embryonic day 14.5 (more )
Structure Level Pattern Image Note
TS23: brain Strong Regionally restricted euxassay_013746_05
TS23: trigeminal ganglion Strong Regionally restricted euxassay_013746_05
TS23: facial ganglion Strong Regionally restricted euxassay_013746_05
TS23: neural retina Strong Regionally restricted euxassay_013746_05
TS23: diaphragm Strong Regionally restricted euxassay_013746_05
TS23: vertebral axis musculature Strong Regionally restricted euxassay_013746_05
TS23: eye skeletal muscle Strong Regionally restricted euxassay_013746_05
TS23: upper arm muscle Strong Regionally restricted euxassay_013746_05
TS23: hand Strong Regionally restricted euxassay_013746_05
TS23: upper leg muscle Strong Regionally restricted euxassay_013746_05
TS23: foot Strong Regionally restricted euxassay_013746_05
TS23: left lung Strong Regionally restricted euxassay_013746_05

Specimen euxassay_013746_06: embryonic day 14.5 (more )
Structure Level Pattern Image Note
TS23: brain Strong Regionally restricted euxassay_013746_06
TS23: trigeminal ganglion Strong Regionally restricted euxassay_013746_06
TS23: glossopharyngeal ganglion Strong Regionally restricted euxassay_013746_06
TS23: vestibulo-cochlear ganglion Strong Regionally restricted euxassay_013746_06
TS23: dorsal root ganglion Strong Regionally restricted euxassay_013746_06
TS23: diaphragm Strong Regionally restricted euxassay_013746_06
TS23: vertebral axis musculature Strong Regionally restricted euxassay_013746_06
TS23: eye skeletal muscle Strong Regionally restricted euxassay_013746_06
TS23: upper leg muscle Strong Regionally restricted euxassay_013746_06
TS23: foot Strong Regionally restricted euxassay_013746_06
TS23: left lung Strong Regionally restricted euxassay_013746_06

Specimen euxassay_013746_07: embryonic day 14.5 (more )
Structure Level Pattern Image Note
TS23: brain Strong Regionally restricted euxassay_013746_07
TS23: trigeminal ganglion Strong Regionally restricted euxassay_013746_07
TS23: glossopharyngeal ganglion Strong Regionally restricted euxassay_013746_07
TS23: vestibulo-cochlear ganglion Strong Regionally restricted euxassay_013746_07
TS23: dorsal root ganglion Strong Regionally restricted euxassay_013746_07
TS23: diaphragm Strong Regionally restricted euxassay_013746_07
TS23: vertebral axis musculature Strong Regionally restricted euxassay_013746_07
TS23: eye skeletal muscle Strong Regionally restricted euxassay_013746_07
TS23: upper leg muscle Strong Regionally restricted euxassay_013746_07
TS23: foot Strong Regionally restricted euxassay_013746_07
TS23: left lung Strong Regionally restricted euxassay_013746_07
TS23: heart ventricle Strong Spotted euxassay_013746_07

Specimen euxassay_013746_08: embryonic day 14.5 (more )
Structure Level Pattern Image Note
TS23: brain Strong Regionally restricted euxassay_013746_08
TS23: spinal cord Strong Regionally restricted euxassay_013746_08
TS23: trigeminal ganglion Strong Regionally restricted euxassay_013746_08
TS23: vagus ganglion Moderate Regionally restricted euxassay_013746_08
TS23: dorsal root ganglion Strong Regionally restricted euxassay_013746_08
TS23: diaphragm Strong Regionally restricted euxassay_013746_08
TS23: vertebral axis musculature Strong Regionally restricted euxassay_013746_08
TS23: eye skeletal muscle Strong Regionally restricted euxassay_013746_08
TS23: left lung Strong Regionally restricted euxassay_013746_08
TS23: heart ventricle Moderate Spotted euxassay_013746_08

Specimen euxassay_013746_09: embryonic day 14.5 (more )
Structure Level Pattern Image Note
TS23: brain Strong Regionally restricted euxassay_013746_09
TS23: spinal cord Strong Regionally restricted euxassay_013746_09
TS23: trigeminal ganglion Strong Regionally restricted euxassay_013746_09
TS23: cervical ganglion Moderate Regionally restricted euxassay_013746_09
TS23: dorsal root ganglion Strong Regionally restricted euxassay_013746_09
TS23: diaphragm Strong Regionally restricted euxassay_013746_09
TS23: vertebral axis musculature Strong Regionally restricted euxassay_013746_09
TS23: tail paraxial mesenchyme Strong Regionally restricted euxassay_013746_09
TS23: left lung Strong Regionally restricted euxassay_013746_09
TS23: submandibular gland primordium Strong Regionally restricted euxassay_013746_09
TS23: heart ventricle Moderate Spotted euxassay_013746_09

Specimen euxassay_013746_10: embryonic day 14.5 (more )
Structure Level Pattern Image Note
TS23: brain Strong Regionally restricted euxassay_013746_10
TS23: spinal cord Strong Regionally restricted euxassay_013746_10
TS23: trigeminal ganglion Strong Regionally restricted euxassay_013746_10
TS23: olfactory epithelium Weak Regionally restricted euxassay_013746_10
TS23: cervical ganglion Moderate Regionally restricted euxassay_013746_10
TS23: cervico-thoracic ganglion Moderate Regionally restricted euxassay_013746_10
TS23: dorsal root ganglion Strong Regionally restricted euxassay_013746_10
TS23: diaphragm Strong Regionally restricted euxassay_013746_10
TS23: vertebral axis musculature Strong Regionally restricted euxassay_013746_10
TS23: tail paraxial mesenchyme Strong Regionally restricted euxassay_013746_10
TS23: left lung Strong Regionally restricted euxassay_013746_10
TS23: submandibular gland primordium Strong Regionally restricted euxassay_013746_10
TS23: heart ventricle Moderate Spotted euxassay_013746_10

Specimen euxassay_013746_11: embryonic day 14.5 (more )
Structure Level Pattern Image Note
TS23: brain Strong Regionally restricted euxassay_013746_11
TS23: spinal cord Strong Regionally restricted euxassay_013746_11
TS23: olfactory epithelium Weak Regionally restricted euxassay_013746_11
TS23: thoracic ganglion Moderate Regionally restricted euxassay_013746_11
TS23: diaphragm Strong Regionally restricted euxassay_013746_11
TS23: vertebral axis musculature Strong Regionally restricted euxassay_013746_11
TS23: tail paraxial mesenchyme Strong Regionally restricted euxassay_013746_11
TS23: left lung Strong Regionally restricted euxassay_013746_11
TS23: submandibular gland primordium Strong Regionally restricted euxassay_013746_11
TS23: heart ventricle Moderate Spotted euxassay_013746_11

Specimen euxassay_013746_12: embryonic day 14.5 (more )
Structure Level Pattern Image Note
TS23: brain Strong Regionally restricted euxassay_013746_12
TS23: spinal cord Strong Regionally restricted euxassay_013746_12
TS23: olfactory epithelium Weak Regionally restricted euxassay_013746_12
TS23: thoracic ganglion Strong Regionally restricted euxassay_013746_12
TS23: cervico-thoracic ganglion Strong Regionally restricted euxassay_013746_12
TS23: diaphragm Strong Regionally restricted euxassay_013746_12
TS23: vertebral axis musculature Strong Regionally restricted euxassay_013746_12
TS23: tongue muscle Strong Regionally restricted euxassay_013746_12
TS23: tail paraxial mesenchyme Strong Regionally restricted euxassay_013746_12
TS23: left lung Strong Regionally restricted euxassay_013746_12
TS23: heart ventricle Moderate Spotted euxassay_013746_12

Specimen euxassay_013746_13: embryonic day 14.5 (more )
Structure Level Pattern Image Note
TS23: brain Strong Regionally restricted euxassay_013746_13
TS23: spinal cord Strong Regionally restricted euxassay_013746_13
TS23: olfactory epithelium Strong Regionally restricted euxassay_013746_13
TS23: thoracic ganglion Strong Regionally restricted euxassay_013746_13
TS23: dorsal root ganglion Strong Regionally restricted euxassay_013746_13
TS23: diaphragm Strong Regionally restricted euxassay_013746_13
TS23: vertebral axis musculature Strong Regionally restricted euxassay_013746_13
TS23: tongue muscle Strong Regionally restricted euxassay_013746_13
TS23: tail paraxial mesenchyme Strong Regionally restricted euxassay_013746_13
TS23: left lung Strong Regionally restricted euxassay_013746_13
TS23: heart ventricle Moderate Spotted euxassay_013746_13

Specimen euxassay_013746_14: embryonic day 14.5 (more )
Structure Level Pattern Image Note
TS23: brain Strong Regionally restricted euxassay_013746_14
TS23: spinal cord Strong Regionally restricted euxassay_013746_14
TS23: olfactory epithelium Strong Regionally restricted euxassay_013746_14
TS23: dorsal root ganglion Strong Regionally restricted euxassay_013746_14
TS23: diaphragm Strong Regionally restricted euxassay_013746_14
TS23: vertebral axis musculature Strong Regionally restricted euxassay_013746_14
TS23: tongue muscle Strong Regionally restricted euxassay_013746_14
TS23: tail paraxial mesenchyme Strong Regionally restricted euxassay_013746_14
TS23: right lung Strong Regionally restricted euxassay_013746_14
TS23: heart ventricle Strong Spotted euxassay_013746_14

Specimen euxassay_013746_15: embryonic day 14.5 (more )
Structure Level Pattern Image Note
TS23: brain Strong Regionally restricted euxassay_013746_15
TS23: spinal cord Strong Regionally restricted euxassay_013746_15
TS23: olfactory epithelium Strong Regionally restricted euxassay_013746_15
TS23: vomeronasal organ Strong Regionally restricted euxassay_013746_15
TS23: dorsal root ganglion Strong Regionally restricted euxassay_013746_15
TS23: diaphragm Strong Regionally restricted euxassay_013746_15
TS23: vertebral axis musculature Strong Regionally restricted euxassay_013746_15
TS23: tongue muscle Strong Regionally restricted euxassay_013746_15
TS23: tail paraxial mesenchyme Strong Regionally restricted euxassay_013746_15
TS23: right lung Strong Regionally restricted euxassay_013746_15
TS23: heart ventricle Strong Spotted euxassay_013746_15

Specimen euxassay_013746_16: embryonic day 14.5 (more )
Structure Level Pattern Image Note
TS23: brain Strong Regionally restricted euxassay_013746_16
TS23: spinal cord Strong Regionally restricted euxassay_013746_16
TS23: anterior naris epithelium Moderate Regionally restricted euxassay_013746_16
TS23: external naris epithelium Moderate Regionally restricted euxassay_013746_16
TS23: olfactory epithelium Moderate Regionally restricted euxassay_013746_16
TS23: diaphragm Strong Regionally restricted euxassay_013746_16
TS23: vertebral axis musculature Strong Regionally restricted euxassay_013746_16
TS23: tongue muscle Strong Regionally restricted euxassay_013746_16
TS23: tail paraxial mesenchyme Strong Regionally restricted euxassay_013746_16
TS23: right lung Strong Regionally restricted euxassay_013746_16
TS23: heart ventricle Strong Spotted euxassay_013746_16

Specimen euxassay_013746_17: embryonic day 14.5 (more )
Structure Level Pattern Image Note
TS23: brain Strong Regionally restricted euxassay_013746_17
TS23: olfactory epithelium Strong Regionally restricted euxassay_013746_17
TS23: vomeronasal organ Strong Regionally restricted euxassay_013746_17
TS23: external naris epithelium Strong Regionally restricted euxassay_013746_17
TS23: anterior naris epithelium Strong Regionally restricted euxassay_013746_17
TS23: cervico-thoracic ganglion Strong Regionally restricted euxassay_013746_17
TS23: cervical ganglion Strong Regionally restricted euxassay_013746_17
TS23: dorsal root ganglion Strong Regionally restricted euxassay_013746_17
TS23: diaphragm Strong Regionally restricted euxassay_013746_17
TS23: vertebral axis musculature Strong Regionally restricted euxassay_013746_17
TS23: tongue muscle Strong Regionally restricted euxassay_013746_17
TS23: tail paraxial mesenchyme Strong Regionally restricted euxassay_013746_17
TS23: upper leg muscle Strong Regionally restricted euxassay_013746_17
TS23: right lung Strong Regionally restricted euxassay_013746_17
TS23: heart ventricle Strong Spotted euxassay_013746_17

Specimen euxassay_013746_18: embryonic day 14.5 (more )
Structure Level Pattern Image Note
TS23: brain Strong Regionally restricted euxassay_013746_18
TS23: trigeminal ganglion Strong Regionally restricted euxassay_013746_18
TS23: vestibulo-cochlear ganglion Strong Regionally restricted euxassay_013746_18
TS23: vagus ganglion Strong Regionally restricted euxassay_013746_18
TS23: olfactory epithelium Strong Regionally restricted euxassay_013746_18
TS23: vomeronasal organ Strong Regionally restricted euxassay_013746_18
TS23: cervical ganglion Strong Regionally restricted euxassay_013746_18
TS23: dorsal root ganglion Strong Regionally restricted euxassay_013746_18
TS23: diaphragm Strong Regionally restricted euxassay_013746_18
TS23: vertebral axis musculature Strong Regionally restricted euxassay_013746_18
TS23: tongue muscle Strong Regionally restricted euxassay_013746_18
TS23: tail paraxial mesenchyme Strong Regionally restricted euxassay_013746_18
TS23: upper leg muscle Strong Regionally restricted euxassay_013746_18
TS23: right lung Strong Regionally restricted euxassay_013746_18
TS23: heart ventricle Strong Spotted euxassay_013746_18

Specimen euxassay_013746_19: embryonic day 14.5 (more )
Structure Level Pattern Image Note
TS23: brain Strong Regionally restricted euxassay_013746_19
TS23: glossopharyngeal ganglion Strong Regionally restricted euxassay_013746_19
TS23: trigeminal ganglion Strong Regionally restricted euxassay_013746_19
TS23: vestibulo-cochlear ganglion Strong Regionally restricted euxassay_013746_19
TS23: trigeminal nerve Strong Regionally restricted euxassay_013746_19
TS23: olfactory epithelium Strong Regionally restricted euxassay_013746_19
TS23: dorsal root ganglion Strong Regionally restricted euxassay_013746_19
TS23: diaphragm Strong Regionally restricted euxassay_013746_19
TS23: vertebral axis musculature Strong Regionally restricted euxassay_013746_19
TS23: tongue muscle Strong Regionally restricted euxassay_013746_19
TS23: tail paraxial mesenchyme Strong Regionally restricted euxassay_013746_19
TS23: upper leg muscle Strong Regionally restricted euxassay_013746_19
TS23: right lung Strong Regionally restricted euxassay_013746_19
TS23: submandibular gland primordium Strong Regionally restricted euxassay_013746_19

Specimen euxassay_013746_20: embryonic day 14.5 (more )
Structure Level Pattern Image Note
TS23: brain Strong Regionally restricted euxassay_013746_20
TS23: trigeminal ganglion Strong Regionally restricted euxassay_013746_20
TS23: facial ganglion Strong Regionally restricted euxassay_013746_20
TS23: anterior naris epithelium Strong Regionally restricted euxassay_013746_20
TS23: olfactory epithelium Strong Regionally restricted euxassay_013746_20
TS23: diaphragm Strong Regionally restricted euxassay_013746_20
TS23: vertebral axis musculature Strong Regionally restricted euxassay_013746_20
TS23: tongue muscle Strong Regionally restricted euxassay_013746_20
TS23: upper leg muscle Strong Regionally restricted euxassay_013746_20
TS23: right lung Strong Regionally restricted euxassay_013746_20
TS23: submandibular gland primordium Strong Regionally restricted euxassay_013746_20

Specimen euxassay_013746_21: embryonic day 14.5 (more )
Structure Level Pattern Image Note
TS23: brain Strong Regionally restricted euxassay_013746_21
TS23: trigeminal ganglion Strong Regionally restricted euxassay_013746_21
TS23: facial ganglion Strong Regionally restricted euxassay_013746_21
TS23: olfactory epithelium Strong Regionally restricted euxassay_013746_21
TS23: anterior naris epithelium Strong Regionally restricted euxassay_013746_21
TS23: diaphragm Strong Regionally restricted euxassay_013746_21
TS23: vertebral axis musculature Strong Regionally restricted euxassay_013746_21
TS23: foot Strong Regionally restricted euxassay_013746_21
TS23: upper leg muscle Strong Regionally restricted euxassay_013746_21
TS23: right lung Strong Regionally restricted euxassay_013746_21
TS23: submandibular gland primordium Strong Regionally restricted euxassay_013746_21

Specimen euxassay_013746_22: embryonic day 14.5 (more )
Structure Level Pattern Image Note
TS23: brain Strong Regionally restricted euxassay_013746_22
TS23: trigeminal ganglion Strong Regionally restricted euxassay_013746_22
TS23: olfactory epithelium Strong Regionally restricted euxassay_013746_22
TS23: diaphragm Strong Regionally restricted euxassay_013746_22
TS23: vertebral axis musculature Strong Regionally restricted euxassay_013746_22
TS23: upper arm muscle Strong Regionally restricted euxassay_013746_22
TS23: foot Strong Regionally restricted euxassay_013746_22
TS23: upper leg muscle Strong Regionally restricted euxassay_013746_22
TS23: right lung Strong Regionally restricted euxassay_013746_22

Specimen euxassay_013746_23: embryonic day 14.5 (more )
Structure Level Pattern Image Note
TS23: brain Strong Regionally restricted euxassay_013746_23
TS23: trigeminal ganglion Strong Regionally restricted euxassay_013746_23
TS23: diaphragm Strong Regionally restricted euxassay_013746_23
TS23: vertebral axis musculature Strong Regionally restricted euxassay_013746_23
TS23: upper arm muscle Strong Regionally restricted euxassay_013746_23
TS23: upper leg muscle Strong Regionally restricted euxassay_013746_23
TS23: lower leg rest of mesenchyme Strong Regionally restricted euxassay_013746_23
TS23: foot Strong Regionally restricted euxassay_013746_23
TS23: right lung Strong Regionally restricted euxassay_013746_23

Specimen euxassay_013746_24: embryonic day 14.5 (more )
Structure Level Pattern Image Note
TS23: brain Strong Regionally restricted euxassay_013746_24
TS23: diaphragm Strong Regionally restricted euxassay_013746_24
TS23: vertebral axis musculature Strong Regionally restricted euxassay_013746_24
TS23: eye skeletal muscle Strong Regionally restricted euxassay_013746_24
TS23: upper arm muscle Strong Regionally restricted euxassay_013746_24
TS23: upper leg muscle Strong Regionally restricted euxassay_013746_24
TS23: lower leg rest of mesenchyme Strong Regionally restricted euxassay_013746_24
TS23: right lung Strong Regionally restricted euxassay_013746_24


Contributing Projects:
Mouse Genome Database (MGD), Gene Expression Database (GXD), Mouse Models of Human Cancer database (MMHCdb) (formerly Mouse Tumor Biology (MTB)), Gene Ontology (GO)
Citing These Resources
Funding Information
Warranty Disclaimer, Privacy Notice, Licensing, & Copyright
Send questions and comments to User Support.
last database update
01/28/2026
MGI 6.24
The Jackson Laboratory