About   Help   FAQ
Gene Expression Data
Assay Details
Assay
Reference: J:153498 Diez-Roux G, et al., A high-resolution anatomical atlas of the transcriptome in the mouse embryo. PLoS Biol. 2011;9(1):e1000582
Assay type: RNA in situ
MGI Accession ID: MGI:4825950
Gene symbol: Lmo4
Gene name: LIM domain only 4
Probe: MGC clone 5732
Probe preparation: Antisense labelled with digoxigenin RNA
Visualized with: Alkaline phosphatase
Assay notes: Cryosections of fresh frozen material were fixed in 4% paraformaldehyde for 20 min. before further processing. A tyramide-biotin/streptavidin amplification step was included in the in situ hybridization procedure.
Results
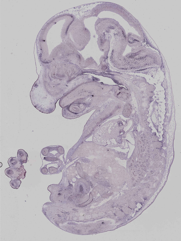
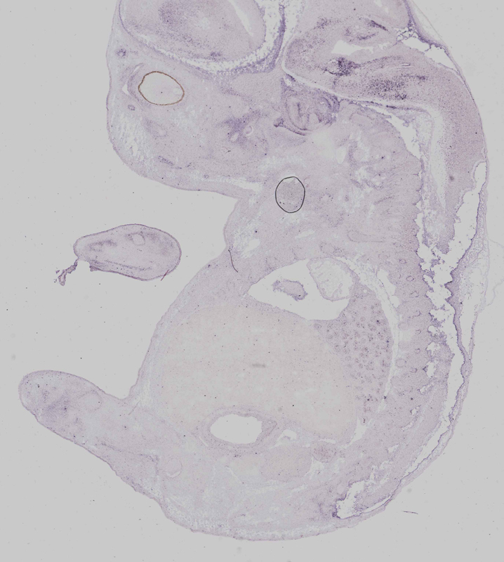
Specimen euxassay_004815_01: embryonic day 14.5 (more )
Structure Level Pattern Image Note
TS23: cerebral cortex marginal layer Moderate Regionally restricted euxassay_004815_01
TS23: rest of cerebellum mantle layer Moderate Regionally restricted euxassay_004815_01

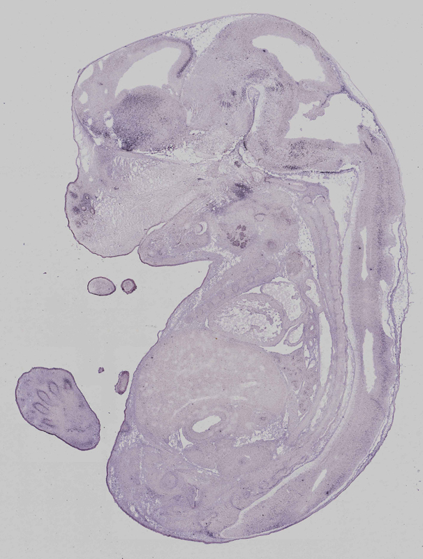
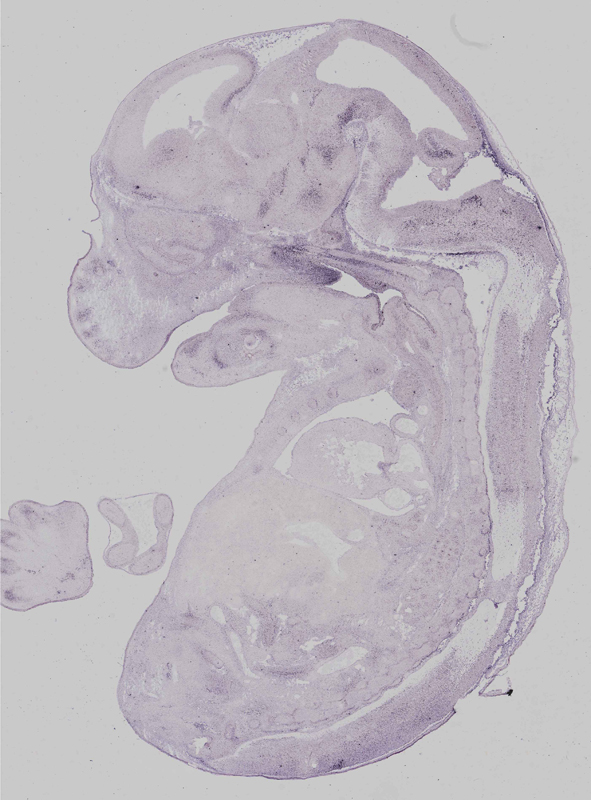
Specimen euxassay_004815_02: embryonic day 14.5 (more )
Structure Level Pattern Image Note
TS23: cerebral cortex marginal layer Moderate Regionally restricted euxassay_004815_02
TS23: telencephalon mantle layer Moderate Regionally restricted euxassay_004815_02
TS23: rest of cerebellum mantle layer Moderate Regionally restricted euxassay_004815_02

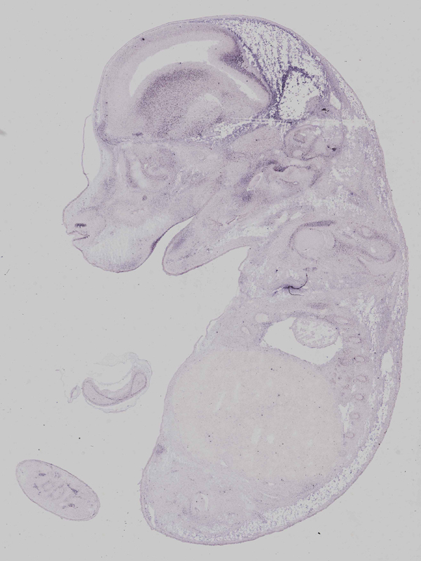
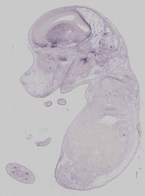
Specimen euxassay_004815_03: embryonic day 14.5 (more )
Structure Level Pattern Image Note
TS23: cerebral cortex marginal layer Moderate Regionally restricted euxassay_004815_03
TS23: telencephalon mantle layer Moderate Regionally restricted euxassay_004815_03
TS23: rest of cerebellum mantle layer Moderate Regionally restricted euxassay_004815_03

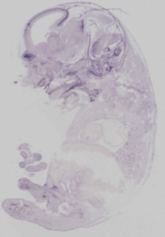
Specimen euxassay_004815_04: embryonic day 14.5 (more )
Structure Level Pattern Image Note
TS23: telencephalon mantle layer Moderate Regionally restricted euxassay_004815_04
TS23: rest of cerebellum mantle layer Moderate Regionally restricted euxassay_004815_04
TS23: medulla oblongata basal plate mantle layer Moderate Regionally restricted euxassay_004815_04

Specimen euxassay_004815_05: embryonic day 14.5 (more )
Structure Level Pattern Image Note
TS23: submandibular gland primordium Moderate Regionally restricted euxassay_004815_05
TS23: vibrissa Moderate Regionally restricted euxassay_004815_05
TS23: cerebral cortex marginal layer Moderate Regionally restricted euxassay_004815_05
TS23: telencephalon mantle layer Moderate Regionally restricted euxassay_004815_05
TS23: medulla oblongata basal plate mantle layer Moderate Regionally restricted euxassay_004815_05

Specimen euxassay_004815_06: embryonic day 14.5 (more )
Structure Level Pattern Image Note
TS23: submandibular gland primordium Moderate Regionally restricted euxassay_004815_06
TS23: vibrissa Moderate Regionally restricted euxassay_004815_06
TS23: telencephalon mantle layer Moderate Regionally restricted euxassay_004815_06
TS23: cerebral cortex marginal layer Moderate Regionally restricted euxassay_004815_06

Specimen euxassay_004815_07: embryonic day 14.5 (more )
Structure Level Pattern Image Note
TS23: vibrissa Weak Regionally restricted euxassay_004815_07
TS23: cerebral cortex marginal layer Weak Regionally restricted euxassay_004815_07
TS23: telencephalon mantle layer Weak Regionally restricted euxassay_004815_07

Specimen euxassay_004815_08: embryonic day 14.5 (more )
Structure Level Pattern Image Note
TS23: vibrissa Weak Regionally restricted euxassay_004815_08
TS23: cerebral cortex marginal layer Weak Regionally restricted euxassay_004815_08
TS23: rest of cerebellum mantle layer Moderate Regionally restricted euxassay_004815_08

Specimen euxassay_004815_09: embryonic day 14.5 (more )
Structure Level Pattern Image Note
TS23: cerebral cortex marginal layer Moderate Regionally restricted euxassay_004815_09
TS23: olfactory cortex marginal layer Moderate Regionally restricted euxassay_004815_09
TS23: rest of cerebellum mantle layer Moderate Regionally restricted euxassay_004815_09
TS23: medulla oblongata basal plate mantle layer Moderate Regionally restricted euxassay_004815_09

Specimen euxassay_004815_10: embryonic day 14.5 (more )
Structure Level Pattern Image Note
TS23: olfactory cortex marginal layer Moderate Regionally restricted euxassay_004815_10
TS23: cerebral cortex marginal layer Moderate Regionally restricted euxassay_004815_10
TS23: rest of cerebellum mantle layer Moderate Regionally restricted euxassay_004815_10
TS23: medulla oblongata basal plate mantle layer Moderate Regionally restricted euxassay_004815_10

Specimen euxassay_004815_11: embryonic day 14.5 (more )
Structure Level Pattern Image Note
TS23: naris Moderate Regionally restricted euxassay_004815_11
TS23: olfactory cortex marginal layer Moderate Regionally restricted euxassay_004815_11
TS23: cerebral cortex marginal layer Moderate Regionally restricted euxassay_004815_11
TS23: rest of cerebellum mantle layer Moderate Regionally restricted euxassay_004815_11
TS23: medulla oblongata basal plate mantle layer Moderate Regionally restricted euxassay_004815_11

Specimen euxassay_004815_12: embryonic day 14.5 (more )
Structure Level Pattern Image Note
TS23: submandibular gland primordium Moderate Regionally restricted euxassay_004815_12
TS23: naris Moderate Regionally restricted euxassay_004815_12
TS23: cerebral cortex marginal layer Moderate Regionally restricted euxassay_004815_12
TS23: rest of cerebellum mantle layer Moderate Regionally restricted euxassay_004815_12
TS23: medulla oblongata basal plate mantle layer Moderate Regionally restricted euxassay_004815_12

Specimen euxassay_004815_13: embryonic day 14.5 (more )
Structure Level Pattern Image Note
TS23: submandibular gland primordium Moderate Regionally restricted euxassay_004815_13
TS23: cerebral cortex marginal layer Moderate Regionally restricted euxassay_004815_13

Specimen euxassay_004815_14: embryonic day 14.5 (more )
Structure Level Pattern Image Note
TS23: submandibular gland primordium Moderate Regionally restricted euxassay_004815_14
TS23: naris Moderate Regionally restricted euxassay_004815_14
TS23: olfactory cortex marginal layer Moderate Regionally restricted euxassay_004815_14
TS23: cerebral cortex marginal layer Moderate Regionally restricted euxassay_004815_14

Specimen euxassay_004815_15: embryonic day 14.5 (more )
Structure Level Pattern Image Note
TS23: submandibular gland primordium Moderate Regionally restricted euxassay_004815_15
TS23: naris Moderate Regionally restricted euxassay_004815_15
TS23: cerebral cortex marginal layer Moderate Regionally restricted euxassay_004815_15
TS23: olfactory cortex marginal layer Moderate Regionally restricted euxassay_004815_15

Specimen euxassay_004815_16: embryonic day 14.5 (more )
Structure Level Pattern Image Note
TS23: cerebral cortex marginal layer Moderate Regionally restricted euxassay_004815_16
TS23: telencephalon mantle layer Moderate Regionally restricted euxassay_004815_16

Specimen euxassay_004815_17: embryonic day 14.5 (more )
Structure Level Pattern Image Note
TS23: cerebral cortex marginal layer Moderate Regionally restricted euxassay_004815_17
TS23: telencephalon mantle layer Moderate Regionally restricted euxassay_004815_17

Specimen euxassay_004815_18: embryonic day 14.5 (more )
Structure Level Pattern Image Note
TS23: cerebral cortex marginal layer Moderate Regionally restricted euxassay_004815_18
TS23: telencephalon mantle layer Moderate Regionally restricted euxassay_004815_18

Specimen euxassay_004815_19: embryonic day 14.5 (more )
Structure Level Pattern Image Note
TS23: vibrissa Weak Regionally restricted euxassay_004815_19
TS23: cerebral cortex marginal layer Moderate Regionally restricted euxassay_004815_19

Specimen euxassay_004815_20: embryonic day 14.5 (more )
Structure Level Pattern Image Note
TS23: vibrissa Moderate Regionally restricted euxassay_004815_20


Contributing Projects:
Mouse Genome Database (MGD), Gene Expression Database (GXD), Mouse Models of Human Cancer database (MMHCdb) (formerly Mouse Tumor Biology (MTB)), Gene Ontology (GO)
Citing These Resources
Funding Information
Warranty Disclaimer, Privacy Notice, Licensing, & Copyright
Send questions and comments to User Support.
last database update
12/30/2025
MGI 6.24
The Jackson Laboratory