About   Help   FAQ
Gene Expression Data
Assay Details
Assay
Reference: J:153498 Diez-Roux G, et al., A high-resolution anatomical atlas of the transcriptome in the mouse embryo. PLoS Biol. 2011;9(1):e1000582
Assay type: RNA in situ
MGI Accession ID: MGI:4825946
Gene symbol: Lmna
Gene name: lamin A
Probe: T2297
Probe preparation: Antisense labelled with digoxigenin RNA
Visualized with: Alkaline phosphatase
Assay notes: Cryosections of fresh frozen material were fixed in 4% paraformaldehyde for 20 min. before further processing. A tyramide-biotin/streptavidin amplification step was included in the in situ hybridization procedure.
Results
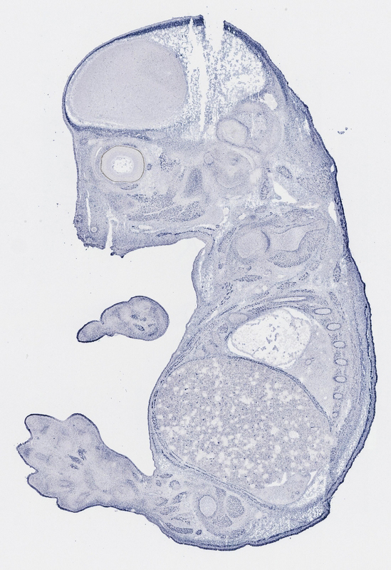
Specimen euxassay_000214_01: embryonic day 14.5 (more )
Structure Level Pattern Image Note
TS23: embryo mesenchyme Weak Uniform euxassay_000214_01
TS23: skin Weak Uniform euxassay_000214_01

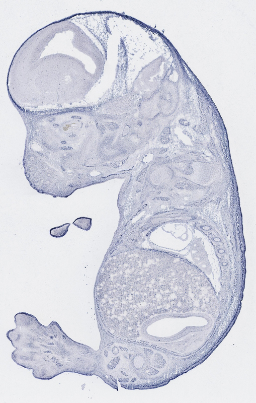
Specimen euxassay_000214_02: embryonic day 14.5 (more )
Structure Level Pattern Image Note
TS23: embryo mesenchyme Weak Uniform euxassay_000214_02
TS23: skin Weak Uniform euxassay_000214_02

Specimen euxassay_000214_03: embryonic day 14.5 (more )
Structure Level Pattern Image Note
TS23: embryo mesenchyme Weak Uniform euxassay_000214_03
TS23: skin Weak Uniform euxassay_000214_03

Specimen euxassay_000214_04: embryonic day 14.5 (more )
Structure Level Pattern Image Note
TS23: embryo mesenchyme Weak Uniform euxassay_000214_04
TS23: skin Weak Uniform euxassay_000214_04

Specimen euxassay_000214_05: embryonic day 14.5 (more )
Structure Level Pattern Image Note
TS23: skin Weak Uniform euxassay_000214_05
TS23: embryo mesenchyme Weak Uniform euxassay_000214_05

Specimen euxassay_000214_06: embryonic day 14.5 (more )
Structure Level Pattern Image Note
TS23: embryo mesenchyme Weak Uniform euxassay_000214_06
TS23: skin Weak Uniform euxassay_000214_06

Specimen euxassay_000214_07: embryonic day 14.5 (more )
Structure Level Pattern Image Note
TS23: embryo mesenchyme Weak Uniform euxassay_000214_07
TS23: skin Weak Uniform euxassay_000214_07

Specimen euxassay_000214_08: embryonic day 14.5 (more )
Structure Level Pattern Image Note
TS23: embryo mesenchyme Weak Uniform euxassay_000214_08
TS23: skin Weak Uniform euxassay_000214_08

Specimen euxassay_000214_09: embryonic day 14.5 (more )
Structure Level Pattern Image Note
TS23: embryo mesenchyme Weak Uniform euxassay_000214_09
TS23: skin Weak Uniform euxassay_000214_09

Specimen euxassay_000214_10: embryonic day 14.5 (more )
Structure Level Pattern Image Note
TS23: embryo mesenchyme Weak Uniform euxassay_000214_10
TS23: skin Weak Uniform euxassay_000214_10

Specimen euxassay_000214_11: embryonic day 14.5 (more )
Structure Level Pattern Image Note
TS23: embryo mesenchyme Weak Uniform euxassay_000214_11
TS23: skin Weak Uniform euxassay_000214_11
TS23: atrioventricular endocardial cushion Moderate Uniform euxassay_000214_11

Specimen euxassay_000214_12: embryonic day 14.5 (more )
Structure Level Pattern Image Note
TS23: embryo mesenchyme Weak Uniform euxassay_000214_12
TS23: skin Weak Uniform euxassay_000214_12
TS23: atrioventricular endocardial cushion Moderate Uniform euxassay_000214_12

Specimen euxassay_000214_13: embryonic day 14.5 (more )
Structure Level Pattern Image Note
TS23: skin Weak Uniform euxassay_000214_13
TS23: embryo mesenchyme Weak Uniform euxassay_000214_13
TS23: atrioventricular endocardial cushion Weak Uniform euxassay_000214_13

Specimen euxassay_000214_14: embryonic day 14.5 (more )
Structure Level Pattern Image Note
TS23: embryo mesenchyme Weak Uniform euxassay_000214_14
TS23: skin Weak Uniform euxassay_000214_14
TS23: atrioventricular endocardial cushion Weak Uniform euxassay_000214_14

Specimen euxassay_000214_15: embryonic day 14.5 (more )
Structure Level Pattern Image Note
TS23: skin Weak Uniform euxassay_000214_15
TS23: embryo mesenchyme Weak Uniform euxassay_000214_15

Specimen euxassay_000214_16: embryonic day 14.5 (more )
Structure Level Pattern Image Note
TS23: skin Weak Uniform euxassay_000214_16
TS23: embryo mesenchyme Weak Uniform euxassay_000214_16

Specimen euxassay_000214_17: embryonic day 14.5 (more )
Structure Level Pattern Image Note
TS23: skin Weak Uniform euxassay_000214_17
TS23: embryo mesenchyme Weak Uniform euxassay_000214_17

Specimen euxassay_000214_18: embryonic day 14.5 (more )
Structure Level Pattern Image Note
TS23: skin Weak Uniform euxassay_000214_18
TS23: embryo mesenchyme Weak Uniform euxassay_000214_18

Specimen euxassay_000214_19: embryonic day 14.5 (more )
Structure Level Pattern Image Note
TS23: skin Weak Uniform euxassay_000214_19
TS23: embryo mesenchyme Weak Uniform euxassay_000214_19

Specimen euxassay_000214_20: embryonic day 14.5 (more )
Structure Level Pattern Image Note
TS23: skin Weak Uniform euxassay_000214_20
TS23: embryo mesenchyme Weak Uniform euxassay_000214_20

Specimen euxassay_000214_21: embryonic day 14.5 (more )
Structure Level Pattern Image Note
TS23: skin Weak Uniform euxassay_000214_21
TS23: embryo mesenchyme Weak Uniform euxassay_000214_21

Specimen euxassay_000214_22: embryonic day 14.5 (more )
Structure Level Pattern Image Note
TS23: embryo mesenchyme Weak Uniform euxassay_000214_22
TS23: skin Weak Uniform euxassay_000214_22

Specimen euxassay_000214_23: embryonic day 14.5 (more )
Structure Level Pattern Image Note
TS23: skin Weak Uniform euxassay_000214_23
TS23: embryo mesenchyme Weak Uniform euxassay_000214_23

Specimen euxassay_000214_24: embryonic day 14.5 (more )
Structure Level Pattern Image Note
TS23: skin Weak Uniform euxassay_000214_24
TS23: embryo mesenchyme Weak Uniform euxassay_000214_24


Contributing Projects:
Mouse Genome Database (MGD), Gene Expression Database (GXD), Mouse Models of Human Cancer database (MMHCdb) (formerly Mouse Tumor Biology (MTB)), Gene Ontology (GO)
Citing These Resources
Funding Information
Warranty Disclaimer, Privacy Notice, Licensing, & Copyright
Send questions and comments to User Support.
last database update
01/20/2026
MGI 6.24
The Jackson Laboratory