About   Help   FAQ
Gene Expression Data
Assay Details
Assay
Reference: J:153498 Diez-Roux G, et al., A high-resolution anatomical atlas of the transcriptome in the mouse embryo. PLoS Biol. 2011;9(1):e1000582
Assay type: RNA in situ
MGI Accession ID: MGI:4825942
Gene symbol: Llgl2
Gene name: LLGL2 scribble cell polarity complex component
Probe: MGC clone 27928
Probe preparation: Antisense labelled with digoxigenin RNA
Visualized with: Alkaline phosphatase
Assay notes: Cryosections of fresh frozen material were fixed in 4% paraformaldehyde for 20 min. before further processing. A tyramide-biotin/streptavidin amplification step was included in the in situ hybridization procedure.
Results
Specimen euxassay_004409_01: embryonic day 14.5 (more )
Structure Level Pattern Image Note
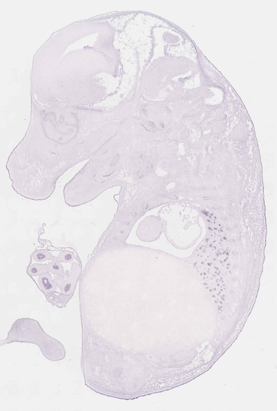
TS23: stomach Moderate Regionally restricted euxassay_004409_01

Specimen euxassay_004409_02: embryonic day 14.5 (more )
Structure Level Pattern Image Note
TS23: lung Moderate Regionally restricted euxassay_004409_02
TS23: stomach Moderate Regionally restricted euxassay_004409_02

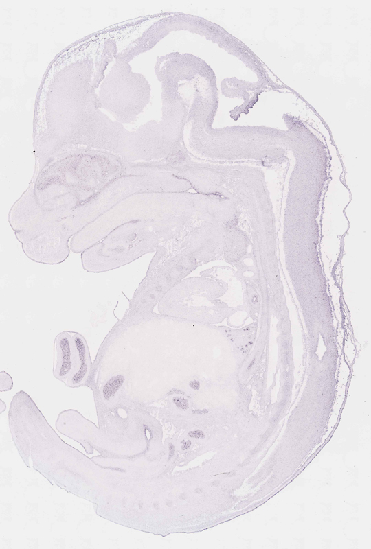
Specimen euxassay_004409_03: embryonic day 14.5 (more )
Structure Level Pattern Image Note
TS23: lung Moderate Regionally restricted euxassay_004409_03
TS23: stomach Moderate Regionally restricted euxassay_004409_03

Specimen euxassay_004409_04: embryonic day 14.5 (more )
Structure Level Pattern Image Note
TS23: lung Moderate Regionally restricted euxassay_004409_04
TS23: stomach Moderate Regionally restricted euxassay_004409_04

Specimen euxassay_004409_05: embryonic day 14.5 (more )
Structure Level Pattern Image Note
TS23: lung Moderate Regionally restricted euxassay_004409_05
TS23: stomach Moderate Regionally restricted euxassay_004409_05
TS23: metanephros Weak Regionally restricted euxassay_004409_05

Specimen euxassay_004409_06: embryonic day 14.5 (more )
Structure Level Pattern Image Note
TS23: lung Moderate Regionally restricted euxassay_004409_06
TS23: stomach Moderate Regionally restricted euxassay_004409_06
TS23: midgut Moderate Regionally restricted euxassay_004409_06
TS23: metanephros Moderate Spotted euxassay_004409_06
TS23: vibrissa Weak Regionally restricted euxassay_004409_06

Specimen euxassay_004409_07: embryonic day 14.5 (more )
Structure Level Pattern Image Note
TS23: lung Moderate Regionally restricted euxassay_004409_07
TS23: midgut Moderate Regionally restricted euxassay_004409_07
TS23: stomach Moderate Regionally restricted euxassay_004409_07
TS23: metanephros Weak Regionally restricted euxassay_004409_07

Specimen euxassay_004409_08: embryonic day 14.5 (more )
Structure Level Pattern Image Note
TS23: lung Moderate Regionally restricted euxassay_004409_08
TS23: midgut Moderate Regionally restricted euxassay_004409_08
TS23: olfactory epithelium Moderate Regionally restricted euxassay_004409_08
TS23: metanephros Moderate Spotted euxassay_004409_08
TS23: vibrissa Weak Regionally restricted euxassay_004409_08

Specimen euxassay_004409_09: embryonic day 14.5 (more )
Structure Level Pattern Image Note
TS23: lung Moderate Regionally restricted euxassay_004409_09
TS23: midgut Moderate Regionally restricted euxassay_004409_09
TS23: olfactory epithelium Moderate Regionally restricted euxassay_004409_09

Specimen euxassay_004409_10: embryonic day 14.5 (more )
Structure Level Pattern Image Note
TS23: lung Moderate Regionally restricted euxassay_004409_10
TS23: rectum Moderate Regionally restricted euxassay_004409_10
TS23: midgut Moderate Regionally restricted euxassay_004409_10
TS23: olfactory epithelium Moderate Regionally restricted euxassay_004409_10

Specimen euxassay_004409_11: embryonic day 14.5 (more )
Structure Level Pattern Image Note
TS23: lung Moderate Regionally restricted euxassay_004409_11
TS23: midgut Moderate Regionally restricted euxassay_004409_11
TS23: olfactory epithelium Moderate Regionally restricted euxassay_004409_11
TS23: pharynx Moderate Regionally restricted euxassay_004409_11
TS23: bladder Moderate Regionally restricted euxassay_004409_11

Specimen euxassay_004409_12: embryonic day 14.5 (more )
Structure Level Pattern Image Note
TS23: lung Moderate Regionally restricted euxassay_004409_12
TS23: midgut Moderate Regionally restricted euxassay_004409_12
TS23: olfactory epithelium Moderate Regionally restricted euxassay_004409_12
TS23: nasal cavity respiratory epithelium Moderate Regionally restricted euxassay_004409_12
TS23: esophagus Moderate Regionally restricted euxassay_004409_12
TS23: pharynx Moderate Regionally restricted euxassay_004409_12
TS23: bladder Moderate Regionally restricted euxassay_004409_12

Specimen euxassay_004409_13: embryonic day 14.5 (more )
Structure Level Pattern Image Note
TS23: lung Moderate Regionally restricted euxassay_004409_13
TS23: midgut Moderate Regionally restricted euxassay_004409_13
TS23: olfactory epithelium Moderate Regionally restricted euxassay_004409_13
TS23: nasal cavity respiratory epithelium Moderate Regionally restricted euxassay_004409_13
TS23: pharynx Moderate Regionally restricted euxassay_004409_13
TS23: trachea Moderate Regionally restricted euxassay_004409_13
TS23: metanephros Moderate Spotted euxassay_004409_13
TS23: bladder Moderate Regionally restricted euxassay_004409_13

Specimen euxassay_004409_14: embryonic day 14.5 (more )
Structure Level Pattern Image Note
TS23: lung Moderate Regionally restricted euxassay_004409_14
TS23: midgut Moderate Regionally restricted euxassay_004409_14
TS23: nasal cavity respiratory epithelium Moderate Regionally restricted euxassay_004409_14
TS23: olfactory epithelium Moderate Regionally restricted euxassay_004409_14
TS23: pharynx Moderate Regionally restricted euxassay_004409_14
TS23: metanephros Moderate Spotted euxassay_004409_14

Specimen euxassay_004409_15: embryonic day 14.5 (more )
Structure Level Pattern Image Note
TS23: lung Moderate Regionally restricted euxassay_004409_15
TS23: midgut Moderate Regionally restricted euxassay_004409_15
TS23: olfactory epithelium Moderate Regionally restricted euxassay_004409_15
TS23: nasal cavity respiratory epithelium Moderate Regionally restricted euxassay_004409_15
TS23: metanephros Moderate Spotted euxassay_004409_15

Specimen euxassay_004409_16: embryonic day 14.5 (more )
Structure Level Pattern Image Note
TS23: lung Moderate Regionally restricted euxassay_004409_16
TS23: midgut Moderate Regionally restricted euxassay_004409_16
TS23: olfactory epithelium Moderate Regionally restricted euxassay_004409_16
TS23: nasal cavity respiratory epithelium Moderate Regionally restricted euxassay_004409_16
TS23: metanephros Moderate Spotted euxassay_004409_16

Specimen euxassay_004409_17: embryonic day 14.5 (more )
Structure Level Pattern Image Note
TS23: lung Moderate Regionally restricted euxassay_004409_17
TS23: midgut Moderate Regionally restricted euxassay_004409_17
TS23: olfactory epithelium Moderate Regionally restricted euxassay_004409_17
TS23: metanephros Moderate Spotted euxassay_004409_17

Specimen euxassay_004409_18: embryonic day 14.5 (more )
Structure Level Pattern Image Note
TS23: lung Moderate Regionally restricted euxassay_004409_18
TS23: midgut Moderate Regionally restricted euxassay_004409_18
TS23: olfactory epithelium Moderate Regionally restricted euxassay_004409_18

Specimen euxassay_004409_19: embryonic day 14.5 (more )
Structure Level Pattern Image Note
TS23: lung Moderate Regionally restricted euxassay_004409_19
TS23: midgut Moderate Regionally restricted euxassay_004409_19

Specimen euxassay_004409_20: embryonic day 14.5 (more )
Structure Level Pattern Image Note
TS23: lung Moderate Regionally restricted euxassay_004409_20
TS23: midgut Moderate Regionally restricted euxassay_004409_20

Specimen euxassay_004409_21: embryonic day 14.5 (more )
Structure Level Pattern Image Note
TS23: lung Moderate Regionally restricted euxassay_004409_21
TS23: midgut Moderate Regionally restricted euxassay_004409_21
TS23: vibrissa Weak Regionally restricted euxassay_004409_21

Specimen euxassay_004409_22: embryonic day 14.5 (more )
Structure Level Pattern Image Note
TS23: lung Moderate Regionally restricted euxassay_004409_22
TS23: vibrissa Weak Regionally restricted euxassay_004409_22

Specimen euxassay_004409_23: embryonic day 14.5 (more )
Structure Level Pattern Image Note
TS23: lung Moderate Regionally restricted euxassay_004409_23
TS23: vibrissa Weak Regionally restricted euxassay_004409_23


Contributing Projects:
Mouse Genome Database (MGD), Gene Expression Database (GXD), Mouse Models of Human Cancer database (MMHCdb) (formerly Mouse Tumor Biology (MTB)), Gene Ontology (GO)
Citing These Resources
Funding Information
Warranty Disclaimer, Privacy Notice, Licensing, & Copyright
Send questions and comments to User Support.
last database update
01/20/2026
MGI 6.24
The Jackson Laboratory