About   Help   FAQ
Gene Expression Data
Assay Details
Assay
Reference: J:153498 Diez-Roux G, et al., A high-resolution anatomical atlas of the transcriptome in the mouse embryo. PLoS Biol. 2011;9(1):e1000582
Assay type: RNA in situ
MGI Accession ID: MGI:4825905
Gene symbol: Lgals1
Gene name: lectin, galactose binding, soluble 1
Probe: MGC clone 6129
Probe preparation: Antisense labelled with digoxigenin RNA
Visualized with: Alkaline phosphatase
Assay notes: Cryosections of fresh frozen material were fixed in 4% paraformaldehyde for 20 min. before further processing. A tyramide-biotin/streptavidin amplification step was included in the in situ hybridization procedure.
Results
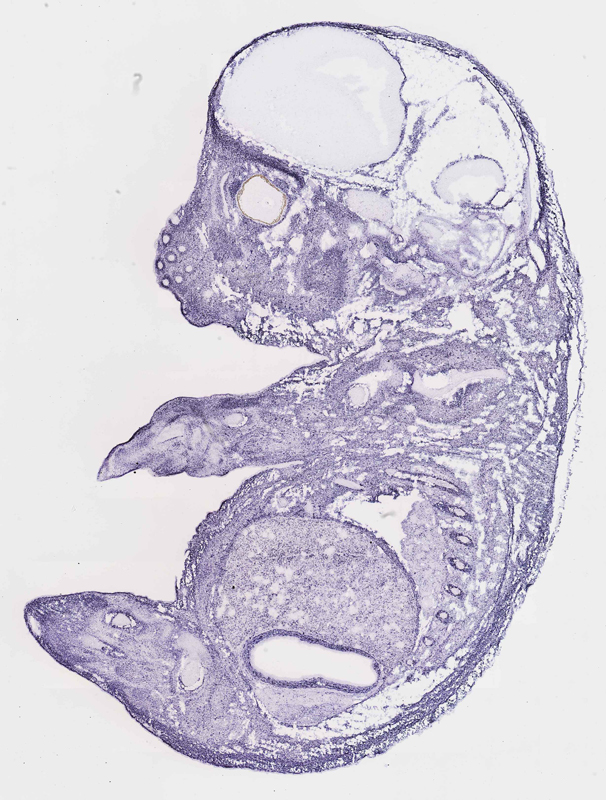
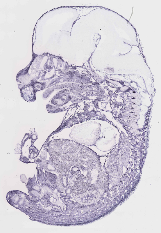
Specimen euxassay_004032_01: embryonic day 14.5 (more )
Structure Level Pattern Image Note
TS23: body cavity or lining Moderate Regionally restricted euxassay_004032_01
TS23: limb Moderate Regionally restricted euxassay_004032_01
TS23: embryo mesenchyme Moderate Regionally restricted euxassay_004032_01
TS23: cardiovascular system Moderate Regionally restricted euxassay_004032_01
TS23: gland Moderate Regionally restricted euxassay_004032_01
TS23: integumental system Moderate Regionally restricted euxassay_004032_01
TS23: visceral organ system Moderate Regionally restricted euxassay_004032_01
TS23: skeleton Moderate Regionally restricted euxassay_004032_01
TS23: vertebral axis musculature Moderate Regionally restricted euxassay_004032_01

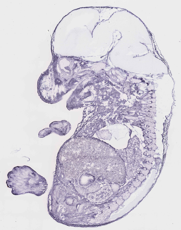
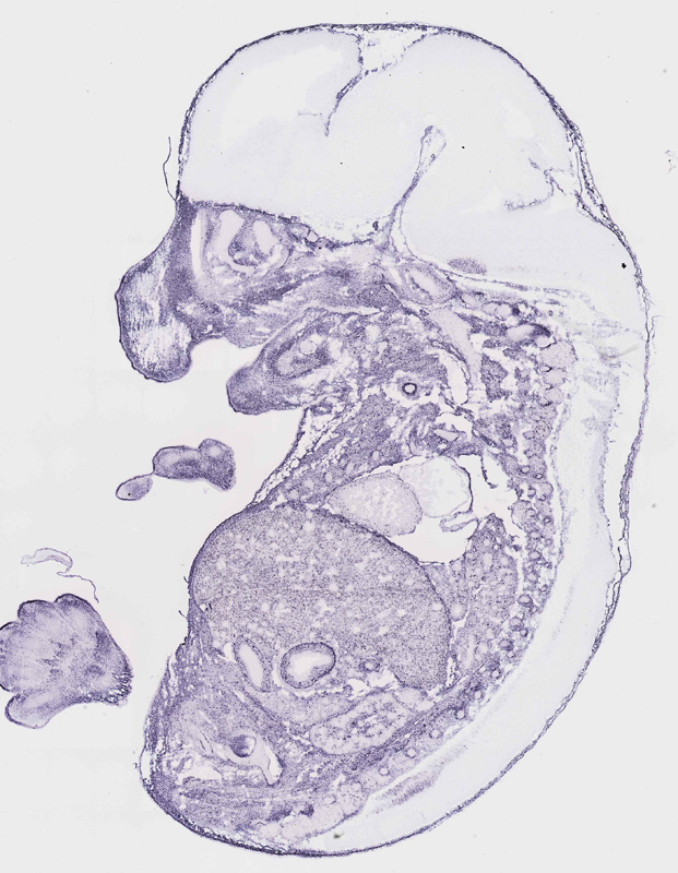
Specimen euxassay_004032_02: embryonic day 14.5 (more )
Structure Level Pattern Image Note
TS23: body cavity or lining Moderate Regionally restricted euxassay_004032_02
TS23: limb Moderate Regionally restricted euxassay_004032_02
TS23: embryo mesenchyme Moderate Regionally restricted euxassay_004032_02
TS23: cardiovascular system Moderate Regionally restricted euxassay_004032_02
TS23: gland Moderate Regionally restricted euxassay_004032_02
TS23: integumental system Moderate Regionally restricted euxassay_004032_02
TS23: visceral organ system Moderate Regionally restricted euxassay_004032_02
TS23: skeleton Moderate Regionally restricted euxassay_004032_02
TS23: vertebral axis musculature Moderate Regionally restricted euxassay_004032_02

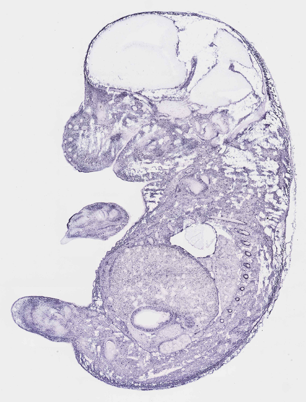
Specimen euxassay_004032_03: embryonic day 14.5 (more )
Structure Level Pattern Image Note
TS23: body cavity or lining Moderate Regionally restricted euxassay_004032_03
TS23: limb Moderate Regionally restricted euxassay_004032_03
TS23: embryo mesenchyme Moderate Regionally restricted euxassay_004032_03
TS23: cardiovascular system Moderate Regionally restricted euxassay_004032_03
TS23: gland Moderate Regionally restricted euxassay_004032_03
TS23: integumental system Moderate Regionally restricted euxassay_004032_03
TS23: visceral organ system Moderate Regionally restricted euxassay_004032_03
TS23: skeleton Moderate Regionally restricted euxassay_004032_03
TS23: vertebral axis musculature Moderate Regionally restricted euxassay_004032_03

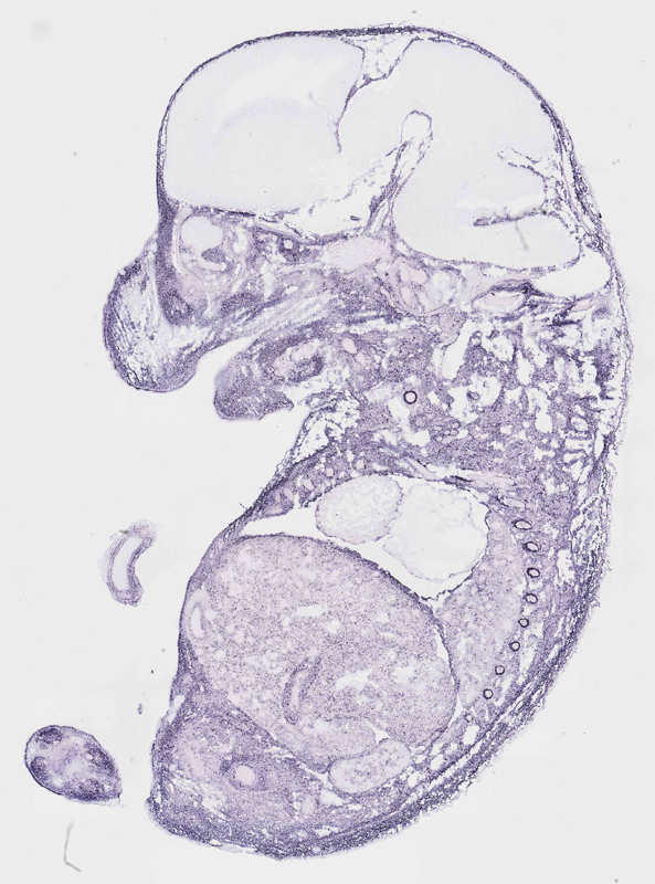
Specimen euxassay_004032_04: embryonic day 14.5 (more )
Structure Level Pattern Image Note
TS23: body cavity or lining Moderate Regionally restricted euxassay_004032_04
TS23: limb Moderate Regionally restricted euxassay_004032_04
TS23: embryo mesenchyme Moderate Regionally restricted euxassay_004032_04
TS23: cardiovascular system Moderate Regionally restricted euxassay_004032_04
TS23: gland Moderate Regionally restricted euxassay_004032_04
TS23: integumental system Moderate Regionally restricted euxassay_004032_04
TS23: visceral organ system Moderate Regionally restricted euxassay_004032_04
TS23: skeleton Moderate Regionally restricted euxassay_004032_04
TS23: vertebral axis musculature Moderate Regionally restricted euxassay_004032_04

Specimen euxassay_004032_05: embryonic day 14.5 (more )
Structure Level Pattern Image Note
TS23: body cavity or lining Moderate Regionally restricted euxassay_004032_05
TS23: limb Moderate Regionally restricted euxassay_004032_05
TS23: embryo mesenchyme Moderate Regionally restricted euxassay_004032_05
TS23: cardiovascular system Moderate Regionally restricted euxassay_004032_05
TS23: gland Moderate Regionally restricted euxassay_004032_05
TS23: integumental system Moderate Regionally restricted euxassay_004032_05
TS23: visceral organ system Moderate Regionally restricted euxassay_004032_05
TS23: skeleton Moderate Regionally restricted euxassay_004032_05
TS23: vertebral axis musculature Moderate Regionally restricted euxassay_004032_05

Specimen euxassay_004032_06: embryonic day 14.5 (more )
Structure Level Pattern Image Note
TS23: body cavity or lining Moderate Regionally restricted euxassay_004032_06
TS23: limb Moderate Regionally restricted euxassay_004032_06
TS23: embryo mesenchyme Moderate Regionally restricted euxassay_004032_06
TS23: cardiovascular system Moderate Regionally restricted euxassay_004032_06
TS23: gland Moderate Regionally restricted euxassay_004032_06
TS23: integumental system Moderate Regionally restricted euxassay_004032_06
TS23: visceral organ system Moderate Regionally restricted euxassay_004032_06
TS23: skeleton Moderate Regionally restricted euxassay_004032_06
TS23: vertebral axis musculature Moderate Regionally restricted euxassay_004032_06

Specimen euxassay_004032_07: embryonic day 14.5 (more )
Structure Level Pattern Image Note
TS23: body cavity or lining Moderate Regionally restricted euxassay_004032_07
TS23: limb Moderate Regionally restricted euxassay_004032_07
TS23: embryo mesenchyme Moderate Regionally restricted euxassay_004032_07
TS23: cardiovascular system Moderate Regionally restricted euxassay_004032_07
TS23: gland Moderate Regionally restricted euxassay_004032_07
TS23: integumental system Moderate Regionally restricted euxassay_004032_07
TS23: visceral organ system Moderate Regionally restricted euxassay_004032_07
TS23: skeleton Moderate Regionally restricted euxassay_004032_07
TS23: vertebral axis musculature Moderate Regionally restricted euxassay_004032_07

Specimen euxassay_004032_08: embryonic day 14.5 (more )
Structure Level Pattern Image Note
TS23: body cavity or lining Moderate Regionally restricted euxassay_004032_08
TS23: limb Moderate Regionally restricted euxassay_004032_08
TS23: embryo mesenchyme Moderate Regionally restricted euxassay_004032_08
TS23: cardiovascular system Moderate Regionally restricted euxassay_004032_08
TS23: gland Moderate Regionally restricted euxassay_004032_08
TS23: integumental system Moderate Regionally restricted euxassay_004032_08
TS23: visceral organ system Moderate Regionally restricted euxassay_004032_08
TS23: skeleton Moderate Regionally restricted euxassay_004032_08
TS23: vertebral axis musculature Moderate Regionally restricted euxassay_004032_08

Specimen euxassay_004032_09: embryonic day 14.5 (more )
Structure Level Pattern Image Note
TS23: body cavity or lining Moderate Regionally restricted euxassay_004032_09
TS23: limb Moderate Regionally restricted euxassay_004032_09
TS23: embryo mesenchyme Moderate Regionally restricted euxassay_004032_09
TS23: cardiovascular system Moderate Regionally restricted euxassay_004032_09
TS23: gland Moderate Regionally restricted euxassay_004032_09
TS23: integumental system Moderate Regionally restricted euxassay_004032_09
TS23: visceral organ system Moderate Regionally restricted euxassay_004032_09
TS23: skeleton Moderate Regionally restricted euxassay_004032_09
TS23: vertebral axis musculature Moderate Regionally restricted euxassay_004032_09

Specimen euxassay_004032_10: embryonic day 14.5 (more )
Structure Level Pattern Image Note
TS23: body cavity or lining Moderate Regionally restricted euxassay_004032_10
TS23: limb Moderate Regionally restricted euxassay_004032_10
TS23: embryo mesenchyme Moderate Regionally restricted euxassay_004032_10
TS23: cardiovascular system Moderate Regionally restricted euxassay_004032_10
TS23: gland Moderate Regionally restricted euxassay_004032_10
TS23: integumental system Moderate Regionally restricted euxassay_004032_10
TS23: visceral organ system Moderate Regionally restricted euxassay_004032_10
TS23: skeleton Moderate Regionally restricted euxassay_004032_10
TS23: vertebral axis musculature Moderate Regionally restricted euxassay_004032_10

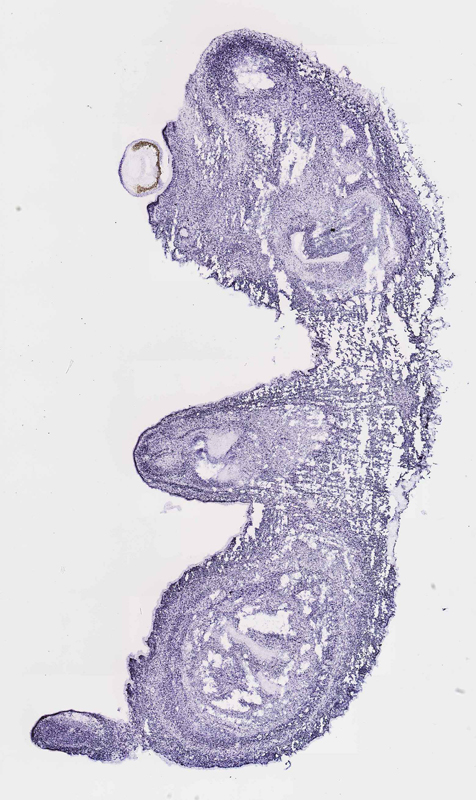
Specimen euxassay_004032_11: embryonic day 14.5 (more )
Structure Level Pattern Image Note
TS23: limb Moderate Regionally restricted euxassay_004032_11
TS23: embryo mesenchyme Moderate Regionally restricted euxassay_004032_11
TS23: cardiovascular system Moderate Regionally restricted euxassay_004032_11
TS23: integumental system Moderate Regionally restricted euxassay_004032_11
TS23: gland Moderate Regionally restricted euxassay_004032_11
TS23: visceral organ system Moderate Regionally restricted euxassay_004032_11
TS23: skeleton Moderate Regionally restricted euxassay_004032_11
TS23: vertebral axis musculature Moderate Regionally restricted euxassay_004032_11

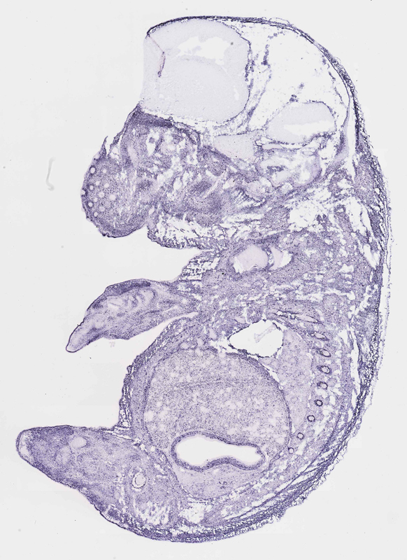
Specimen euxassay_004032_12: embryonic day 14.5 (more )
Structure Level Pattern Image Note
TS23: body cavity or lining Moderate Regionally restricted euxassay_004032_12
TS23: limb Moderate Regionally restricted euxassay_004032_12
TS23: embryo mesenchyme Moderate Regionally restricted euxassay_004032_12
TS23: cardiovascular system Moderate Regionally restricted euxassay_004032_12
TS23: gland Moderate Regionally restricted euxassay_004032_12
TS23: integumental system Moderate Regionally restricted euxassay_004032_12
TS23: visceral organ system Moderate Regionally restricted euxassay_004032_12
TS23: skeleton Moderate Regionally restricted euxassay_004032_12
TS23: tail Moderate Regionally restricted euxassay_004032_12
TS23: vertebral axis musculature Moderate Regionally restricted euxassay_004032_12

Specimen euxassay_004032_13: embryonic day 14.5 (more )
Structure Level Pattern Image Note
TS23: body cavity or lining Moderate Regionally restricted euxassay_004032_13
TS23: limb Moderate Regionally restricted euxassay_004032_13
TS23: embryo mesenchyme Moderate Regionally restricted euxassay_004032_13
TS23: cardiovascular system Moderate Regionally restricted euxassay_004032_13
TS23: gland Moderate Regionally restricted euxassay_004032_13
TS23: integumental system Moderate Regionally restricted euxassay_004032_13
TS23: visceral organ system Moderate Regionally restricted euxassay_004032_13
TS23: skeleton Moderate Regionally restricted euxassay_004032_13
TS23: tail Moderate Regionally restricted euxassay_004032_13
TS23: vertebral axis musculature Moderate Regionally restricted euxassay_004032_13

Specimen euxassay_004032_14: embryonic day 14.5 (more )
Structure Level Pattern Image Note
TS23: body cavity or lining Moderate Regionally restricted euxassay_004032_14
TS23: limb Moderate Regionally restricted euxassay_004032_14
TS23: embryo mesenchyme Moderate Regionally restricted euxassay_004032_14
TS23: cardiovascular system Moderate Regionally restricted euxassay_004032_14
TS23: gland Moderate Regionally restricted euxassay_004032_14
TS23: integumental system Moderate Regionally restricted euxassay_004032_14
TS23: visceral organ system Moderate Regionally restricted euxassay_004032_14
TS23: skeleton Moderate Regionally restricted euxassay_004032_14
TS23: tail Moderate Regionally restricted euxassay_004032_14
TS23: vertebral axis musculature Moderate Regionally restricted euxassay_004032_14

Specimen euxassay_004032_15: embryonic day 14.5 (more )
Structure Level Pattern Image Note
TS23: body cavity or lining Moderate Regionally restricted euxassay_004032_15
TS23: limb Moderate Regionally restricted euxassay_004032_15
TS23: embryo mesenchyme Moderate Regionally restricted euxassay_004032_15
TS23: cardiovascular system Moderate Regionally restricted euxassay_004032_15
TS23: gland Moderate Regionally restricted euxassay_004032_15
TS23: integumental system Moderate Regionally restricted euxassay_004032_15
TS23: visceral organ system Moderate Regionally restricted euxassay_004032_15
TS23: skeleton Moderate Regionally restricted euxassay_004032_15
TS23: tail Moderate Regionally restricted euxassay_004032_15
TS23: vertebral axis musculature Moderate Regionally restricted euxassay_004032_15

Specimen euxassay_004032_16: embryonic day 14.5 (more )
Structure Level Pattern Image Note
TS23: body cavity or lining Moderate Regionally restricted euxassay_004032_16
TS23: limb Moderate Regionally restricted euxassay_004032_16
TS23: embryo mesenchyme Moderate Regionally restricted euxassay_004032_16
TS23: cardiovascular system Moderate Regionally restricted euxassay_004032_16
TS23: gland Moderate Regionally restricted euxassay_004032_16
TS23: integumental system Moderate Regionally restricted euxassay_004032_16
TS23: visceral organ system Moderate Regionally restricted euxassay_004032_16
TS23: skeleton Moderate Regionally restricted euxassay_004032_16
TS23: tail Moderate Regionally restricted euxassay_004032_16
TS23: vertebral axis musculature Moderate Regionally restricted euxassay_004032_16

Specimen euxassay_004032_17: embryonic day 14.5 (more )
Structure Level Pattern Image Note
TS23: body cavity or lining Moderate Regionally restricted euxassay_004032_17
TS23: limb Moderate Regionally restricted euxassay_004032_17
TS23: embryo mesenchyme Moderate Regionally restricted euxassay_004032_17
TS23: cardiovascular system Moderate Regionally restricted euxassay_004032_17
TS23: gland Moderate Regionally restricted euxassay_004032_17
TS23: integumental system Moderate Regionally restricted euxassay_004032_17
TS23: visceral organ system Moderate Regionally restricted euxassay_004032_17
TS23: skeleton Moderate Regionally restricted euxassay_004032_17
TS23: tail Moderate Regionally restricted euxassay_004032_17
TS23: vertebral axis musculature Moderate Regionally restricted euxassay_004032_17

Specimen euxassay_004032_18: embryonic day 14.5 (more )
Structure Level Pattern Image Note
TS23: body cavity or lining Moderate Regionally restricted euxassay_004032_18
TS23: limb Moderate Regionally restricted euxassay_004032_18
TS23: embryo mesenchyme Moderate Regionally restricted euxassay_004032_18
TS23: cardiovascular system Moderate Regionally restricted euxassay_004032_18
TS23: gland Moderate Regionally restricted euxassay_004032_18
TS23: integumental system Moderate Regionally restricted euxassay_004032_18
TS23: visceral organ system Moderate Regionally restricted euxassay_004032_18
TS23: skeleton Moderate Regionally restricted euxassay_004032_18
TS23: tail Moderate Regionally restricted euxassay_004032_18
TS23: vertebral axis musculature Moderate Regionally restricted euxassay_004032_18

Specimen euxassay_004032_19: embryonic day 14.5 (more )
Structure Level Pattern Image Note
TS23: body cavity or lining Moderate Regionally restricted euxassay_004032_19
TS23: limb Moderate Regionally restricted euxassay_004032_19
TS23: embryo mesenchyme Moderate Regionally restricted euxassay_004032_19
TS23: cardiovascular system Moderate Regionally restricted euxassay_004032_19
TS23: gland Moderate Regionally restricted euxassay_004032_19
TS23: integumental system Moderate Regionally restricted euxassay_004032_19
TS23: visceral organ system Moderate Regionally restricted euxassay_004032_19
TS23: skeleton Moderate Regionally restricted euxassay_004032_19
TS23: tail Moderate Regionally restricted euxassay_004032_19
TS23: vertebral axis musculature Moderate Regionally restricted euxassay_004032_19

Specimen euxassay_004032_20: embryonic day 14.5 (more )
Structure Level Pattern Image Note
TS23: body cavity or lining Moderate Regionally restricted euxassay_004032_20
TS23: limb Moderate Regionally restricted euxassay_004032_20
TS23: embryo mesenchyme Moderate Regionally restricted euxassay_004032_20
TS23: cardiovascular system Moderate Regionally restricted euxassay_004032_20
TS23: gland Moderate Regionally restricted euxassay_004032_20
TS23: integumental system Moderate Regionally restricted euxassay_004032_20
TS23: visceral organ system Moderate Regionally restricted euxassay_004032_20
TS23: skeleton Moderate Regionally restricted euxassay_004032_20
TS23: tail Moderate Regionally restricted euxassay_004032_20
TS23: vertebral axis musculature Moderate Regionally restricted euxassay_004032_20

Specimen euxassay_004032_21: embryonic day 14.5 (more )
Structure Level Pattern Image Note
TS23: body cavity or lining Moderate Regionally restricted euxassay_004032_21
TS23: limb Moderate Regionally restricted euxassay_004032_21
TS23: embryo mesenchyme Moderate Regionally restricted euxassay_004032_21
TS23: cardiovascular system Moderate Regionally restricted euxassay_004032_21
TS23: gland Moderate Regionally restricted euxassay_004032_21
TS23: integumental system Moderate Regionally restricted euxassay_004032_21
TS23: visceral organ system Moderate Regionally restricted euxassay_004032_21
TS23: skeleton Moderate Regionally restricted euxassay_004032_21
TS23: tail Moderate Regionally restricted euxassay_004032_21
TS23: vertebral axis musculature Moderate Regionally restricted euxassay_004032_21


Contributing Projects:
Mouse Genome Database (MGD), Gene Expression Database (GXD), Mouse Models of Human Cancer database (MMHCdb) (formerly Mouse Tumor Biology (MTB)), Gene Ontology (GO)
Citing These Resources
Funding Information
Warranty Disclaimer, Privacy Notice, Licensing, & Copyright
Send questions and comments to User Support.
last database update
03/24/2026
MGI 6.24
The Jackson Laboratory