About   Help   FAQ
Gene Expression Data
Assay Details
Assay
Reference: J:153498 Diez-Roux G, et al., A high-resolution anatomical atlas of the transcriptome in the mouse embryo. PLoS Biol. 2011;9(1):e1000582
Assay type: RNA in situ
MGI Accession ID: MGI:4825899
Gene symbol: Lep
Gene name: leptin
Probe: IMAGE clone 849555
Probe preparation: Antisense labelled with digoxigenin RNA
Visualized with: Alkaline phosphatase
Assay notes: Cryosections of fresh frozen material were fixed in 4% paraformaldehyde for 20 min. before further processing. A tyramide-biotin/streptavidin amplification step was included in the in situ hybridization procedure.
Results
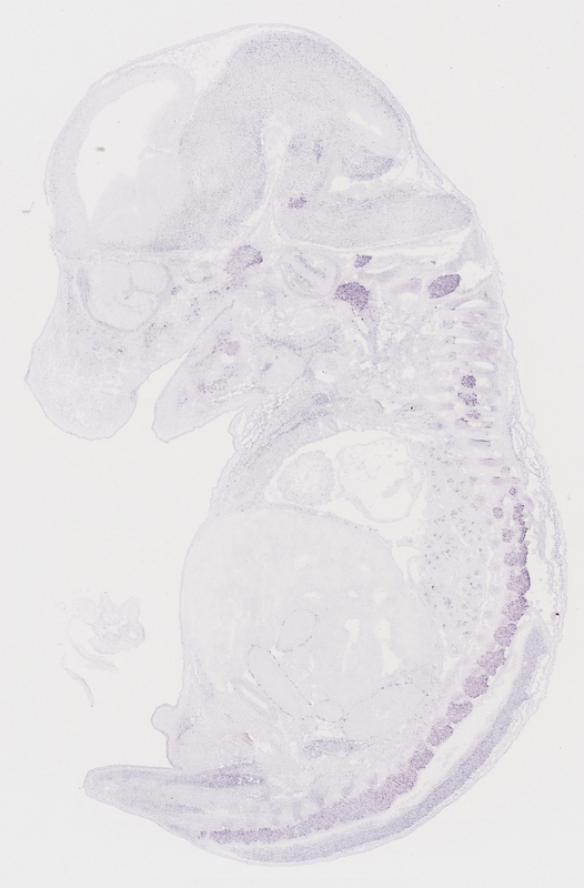
Specimen euxassay_002219_01: embryonic day 14.5 (more )
Structure Level Pattern Image Note
TS23: trigeminal ganglion Moderate Regionally restricted euxassay_002219_01
TS23: facial ganglion Moderate Regionally restricted euxassay_002219_01

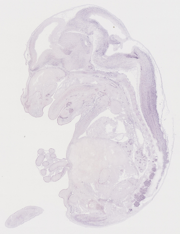
Specimen euxassay_002219_02: embryonic day 14.5 (more )
Structure Level Pattern Image Note
TS23: trigeminal ganglion Moderate Regionally restricted euxassay_002219_02

Specimen euxassay_002219_03: embryonic day 14.5 (more )
Structure Level Pattern Image Note
TS23: trigeminal ganglion Moderate Regionally restricted euxassay_002219_03

Specimen euxassay_002219_04: embryonic day 14.5 (more )
Structure Level Pattern Image Note
TS23: trigeminal ganglion Moderate Regionally restricted euxassay_002219_04
TS23: glossopharyngeal ganglion Moderate Regionally restricted euxassay_002219_04

Specimen euxassay_002219_05: embryonic day 14.5 (more )
Structure Level Pattern Image Note
TS23: vagus ganglion Moderate Regionally restricted euxassay_002219_05
TS23: trigeminal ganglion Moderate Regionally restricted euxassay_002219_05
TS23: glossopharyngeal ganglion Moderate Regionally restricted euxassay_002219_05
TS23: dorsal root ganglion Moderate Regionally restricted euxassay_002219_05

Specimen euxassay_002219_06: embryonic day 14.5 (more )
Structure Level Pattern Image Note
TS23: trigeminal ganglion Weak Regionally restricted euxassay_002219_06
TS23: dorsal root ganglion Moderate Regionally restricted euxassay_002219_06

Specimen euxassay_002219_07: embryonic day 14.5 (more )
Structure Level Pattern Image Note
TS23: dorsal root ganglion Moderate Regionally restricted euxassay_002219_07

Specimen euxassay_002219_08: embryonic day 14.5 (more )
Structure Level Pattern Image Note
TS23: dorsal root ganglion Moderate Regionally restricted euxassay_002219_08

Specimen euxassay_002219_09: embryonic day 14.5 (more )
Structure Level Pattern Image Note
TS23: dorsal root ganglion Moderate Regionally restricted euxassay_002219_09

Specimen euxassay_002219_13: embryonic day 14.5 (more )
Structure Level Pattern Image Note
TS23: dorsal root ganglion Moderate Regionally restricted euxassay_002219_13

Specimen euxassay_002219_14: embryonic day 14.5 (more )
Structure Level Pattern Image Note
TS23: dorsal root ganglion Moderate Regionally restricted euxassay_002219_14

Specimen euxassay_002219_15: embryonic day 14.5 (more )
Structure Level Pattern Image Note
TS23: glossopharyngeal ganglion Moderate Regionally restricted euxassay_002219_15
TS23: trigeminal ganglion Weak Regionally restricted euxassay_002219_15
TS23: dorsal root ganglion Moderate Regionally restricted euxassay_002219_15

Specimen euxassay_002219_16: embryonic day 14.5 (more )
Structure Level Pattern Image Note
TS23: glossopharyngeal ganglion Moderate Regionally restricted euxassay_002219_16
TS23: trigeminal ganglion Moderate Regionally restricted euxassay_002219_16
TS23: dorsal root ganglion Moderate Regionally restricted euxassay_002219_16

Specimen euxassay_002219_17: embryonic day 14.5 (more )
Structure Level Pattern Image Note
TS23: trigeminal ganglion Moderate Regionally restricted euxassay_002219_17

Specimen euxassay_002219_18: embryonic day 14.5 (more )
Structure Level Pattern Image Note
TS23: trigeminal ganglion Moderate Regionally restricted euxassay_002219_18
TS23: facial ganglion Moderate Regionally restricted euxassay_002219_18

Specimen euxassay_002219_19: embryonic day 14.5 (more )
Structure Level Pattern Image Note
TS23: trigeminal ganglion Moderate Regionally restricted euxassay_002219_19
TS23: facial ganglion Moderate Regionally restricted euxassay_002219_19


Contributing Projects:
Mouse Genome Database (MGD), Gene Expression Database (GXD), Mouse Models of Human Cancer database (MMHCdb) (formerly Mouse Tumor Biology (MTB)), Gene Ontology (GO)
Citing These Resources
Funding Information
Warranty Disclaimer, Privacy Notice, Licensing, & Copyright
Send questions and comments to User Support.
last database update
01/20/2026
MGI 6.24
The Jackson Laboratory