About   Help   FAQ
Gene Expression Data
Assay Details
Assay
Reference: J:153498 Diez-Roux G, et al., A high-resolution anatomical atlas of the transcriptome in the mouse embryo. PLoS Biol. 2011;9(1):e1000582
Assay type: RNA in situ
MGI Accession ID: MGI:4825897
Gene symbol: Lect2
Gene name: leukocyte cell-derived chemotaxin 2
Probe: MGC clone 29068
Probe preparation: Antisense labelled with digoxigenin RNA
Visualized with: Alkaline phosphatase
Assay notes: Cryosections of fresh frozen material were fixed in 4% paraformaldehyde for 20 min. before further processing. A tyramide-biotin/streptavidin amplification step was included in the in situ hybridization procedure.
Results
Specimen euxassay_001610_01: embryonic day 14.5 (more )
Structure Level Pattern Image Note
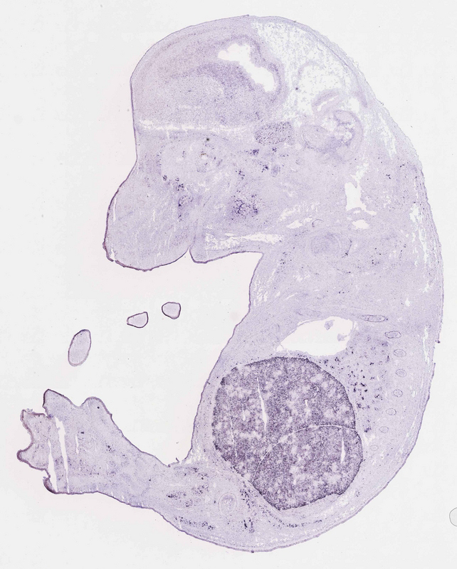
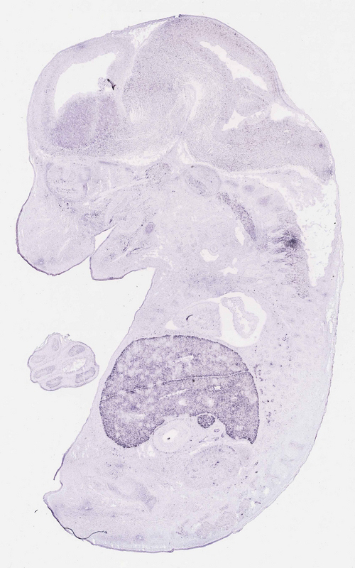
TS23: liver lobe Moderate Uniform euxassay_001610_01
TS23: neural retina Weak Regionally restricted euxassay_001610_01

Specimen euxassay_001610_02: embryonic day 14.5 (more )
Structure Level Pattern Image Note
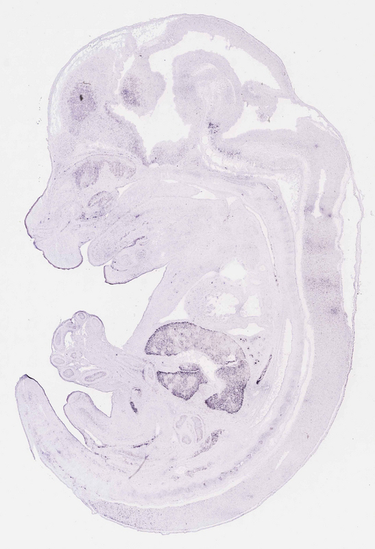
TS23: liver lobe Moderate Regionally restricted euxassay_001610_02
TS23: neural retina Weak Regionally restricted euxassay_001610_02

Specimen euxassay_001610_03: embryonic day 14.5 (more )
Structure Level Pattern Image Note
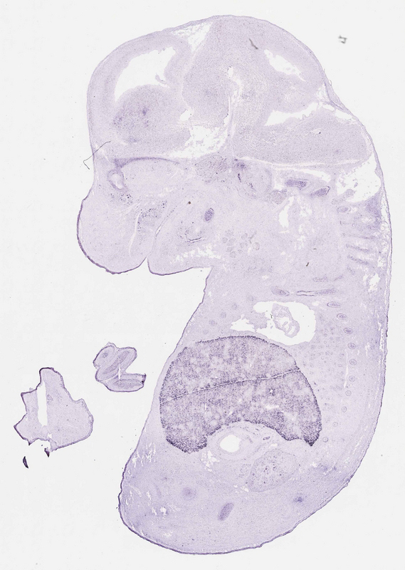
TS23: liver lobe Moderate Regionally restricted euxassay_001610_03
TS23: neural retina Weak Regionally restricted euxassay_001610_03

Specimen euxassay_001610_04: embryonic day 14.5 (more )
Structure Level Pattern Image Note
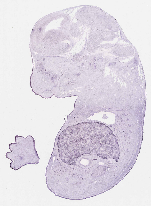
TS23: liver lobe Moderate Regionally restricted euxassay_001610_04
TS23: neural retina Weak Regionally restricted euxassay_001610_04
TS23: lung Moderate Regionally restricted euxassay_001610_04

Specimen euxassay_001610_05: embryonic day 14.5 (more )
Structure Level Pattern Image Note
TS23: liver lobe Moderate Regionally restricted euxassay_001610_05
TS23: lung Weak Regionally restricted euxassay_001610_05

Specimen euxassay_001610_06: embryonic day 14.5 (more )
Structure Level Pattern Image Note
TS23: liver lobe Moderate Regionally restricted euxassay_001610_06

Specimen euxassay_001610_07: embryonic day 14.5 (more )
Structure Level Pattern Image Note
TS23: liver lobe Moderate Regionally restricted euxassay_001610_07

Specimen euxassay_001610_08: embryonic day 14.5 (more )
Structure Level Pattern Image Note
TS23: liver lobe Moderate Regionally restricted euxassay_001610_08
TS23: lung Weak Regionally restricted euxassay_001610_08

Specimen euxassay_001610_09: embryonic day 14.5 (more )
Structure Level Pattern Image Note
TS23: liver lobe Moderate Regionally restricted euxassay_001610_09
TS23: lung Moderate Regionally restricted euxassay_001610_09

Specimen euxassay_001610_10: embryonic day 14.5 (more )
Structure Level Pattern Image Note
TS23: liver lobe Moderate Regionally restricted euxassay_001610_10

Specimen euxassay_001610_11: embryonic day 14.5 (more )
Structure Level Pattern Image Note
TS23: liver lobe Moderate Regionally restricted euxassay_001610_11

Specimen euxassay_001610_12: embryonic day 14.5 (more )
Structure Level Pattern Image Note
TS23: liver lobe Moderate Regionally restricted euxassay_001610_12
TS23: lung Moderate Regionally restricted euxassay_001610_12

Specimen euxassay_001610_13: embryonic day 14.5 (more )
Structure Level Pattern Image Note
TS23: liver lobe Moderate Regionally restricted euxassay_001610_13

Specimen euxassay_001610_14: embryonic day 14.5 (more )
Structure Level Pattern Image Note
TS23: liver lobe Moderate Regionally restricted euxassay_001610_14

Specimen euxassay_001610_15: embryonic day 14.5 (more )
Structure Level Pattern Image Note
TS23: liver lobe Moderate Regionally restricted euxassay_001610_15

Specimen euxassay_001610_16: embryonic day 14.5 (more )
Structure Level Pattern Image Note
TS23: liver lobe Moderate Regionally restricted euxassay_001610_16

Specimen euxassay_001610_17: embryonic day 14.5 (more )
Structure Level Pattern Image Note
TS23: liver lobe Moderate Regionally restricted euxassay_001610_17
TS23: lung Moderate Regionally restricted euxassay_001610_17

Specimen euxassay_001610_18: embryonic day 14.5 (more )
Structure Level Pattern Image Note
TS23: liver lobe Moderate Regionally restricted euxassay_001610_18
TS23: lung Moderate Regionally restricted euxassay_001610_18

Specimen euxassay_001610_19: embryonic day 14.5 (more )
Structure Level Pattern Image Note
TS23: liver lobe Moderate Regionally restricted euxassay_001610_19

Specimen euxassay_001610_20: embryonic day 14.5 (more )
Structure Level Pattern Image Note
TS23: liver lobe Moderate Regionally restricted euxassay_001610_20

Specimen euxassay_001610_21: embryonic day 14.5 (more )
Structure Level Pattern Image Note
TS23: liver lobe Moderate Regionally restricted euxassay_001610_21
TS23: lung Moderate Regionally restricted euxassay_001610_21

Specimen euxassay_001610_22: embryonic day 14.5 (more )
Structure Level Pattern Image Note
TS23: liver lobe Moderate Regionally restricted euxassay_001610_22
TS23: neural retina Weak Regionally restricted euxassay_001610_22

Specimen euxassay_001610_23: embryonic day 14.5 (more )
Structure Level Pattern Image Note
TS23: liver lobe Moderate Regionally restricted euxassay_001610_23


Contributing Projects:
Mouse Genome Database (MGD), Gene Expression Database (GXD), Mouse Models of Human Cancer database (MMHCdb) (formerly Mouse Tumor Biology (MTB)), Gene Ontology (GO)
Citing These Resources
Funding Information
Warranty Disclaimer, Privacy Notice, Licensing, & Copyright
Send questions and comments to User Support.
last database update
01/20/2026
MGI 6.24
The Jackson Laboratory