About   Help   FAQ
Gene Expression Data
Assay Details
Assay
Reference: J:153498 Diez-Roux G, et al., A high-resolution anatomical atlas of the transcriptome in the mouse embryo. PLoS Biol. 2011;9(1):e1000582
Assay type: RNA in situ
MGI Accession ID: MGI:4825875
Gene symbol: Lars1
Gene name: leucyl-tRNA synthetase 1
Probe: T30722
Probe preparation: Antisense labelled with digoxigenin RNA
Visualized with: Alkaline phosphatase
Assay notes: Cryosections of fresh frozen material were fixed in 4% paraformaldehyde for 20 min. before further processing. A tyramide-biotin/streptavidin amplification step was included in the in situ hybridization procedure.
Results
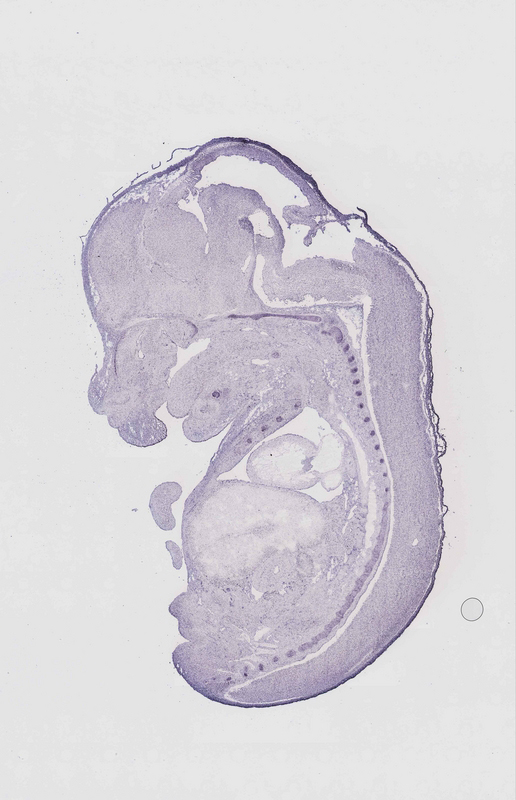
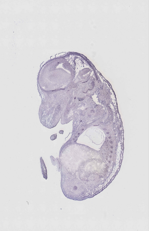
Specimen euxassay_012121_01: embryonic day 14.5 (more )
Structure Level Pattern Image Note
TS23: basioccipital bone Strong Regionally restricted euxassay_012121_01
TS23: orbito-sphenoid Strong Regionally restricted euxassay_012121_01
TS23: temporal bone petrous part Strong Regionally restricted euxassay_012121_01
TS23: rib Strong Regionally restricted euxassay_012121_01
TS23: fibula Strong Regionally restricted euxassay_012121_01
TS23: humerus Strong Regionally restricted euxassay_012121_01
TS23: radius Strong Regionally restricted euxassay_012121_01

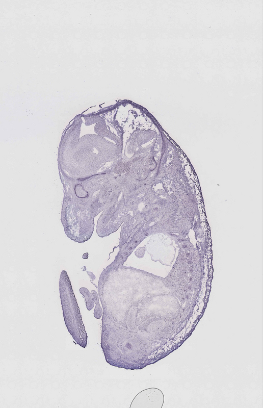
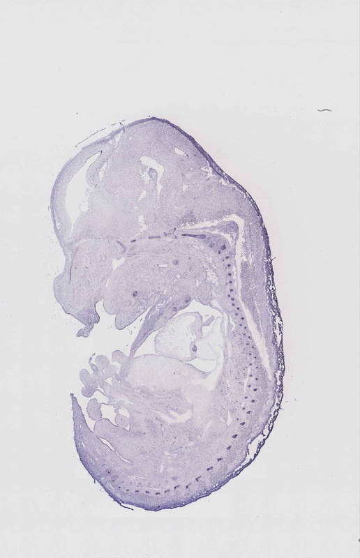
Specimen euxassay_012121_02: embryonic day 14.5 (more )
Structure Level Pattern Image Note
TS23: basioccipital bone Strong Regionally restricted euxassay_012121_02
TS23: orbito-sphenoid Strong Regionally restricted euxassay_012121_02
TS23: temporal bone petrous part Strong Regionally restricted euxassay_012121_02
TS23: rib Strong Regionally restricted euxassay_012121_02
TS23: tibia Strong Regionally restricted euxassay_012121_02
TS23: fibula Strong Regionally restricted euxassay_012121_02
TS23: femur Strong Regionally restricted euxassay_012121_02
TS23: humerus Strong Regionally restricted euxassay_012121_02
TS23: forelimb digit 1 phalanx Strong Regionally restricted euxassay_012121_02

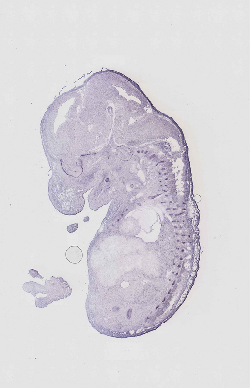
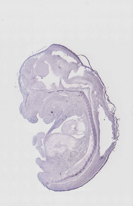
Specimen euxassay_012121_03: embryonic day 14.5 (more )
Structure Level Pattern Image Note
TS23: basioccipital bone Strong Regionally restricted euxassay_012121_03
TS23: orbito-sphenoid Strong Regionally restricted euxassay_012121_03
TS23: temporal bone petrous part Strong Regionally restricted euxassay_012121_03
TS23: Meckel's cartilage Strong Regionally restricted euxassay_012121_03
TS23: rib Strong Regionally restricted euxassay_012121_03
TS23: tibia Strong Regionally restricted euxassay_012121_03
TS23: femur Strong Regionally restricted euxassay_012121_03
TS23: humerus Strong Regionally restricted euxassay_012121_03
TS23: scapula Strong Regionally restricted euxassay_012121_03

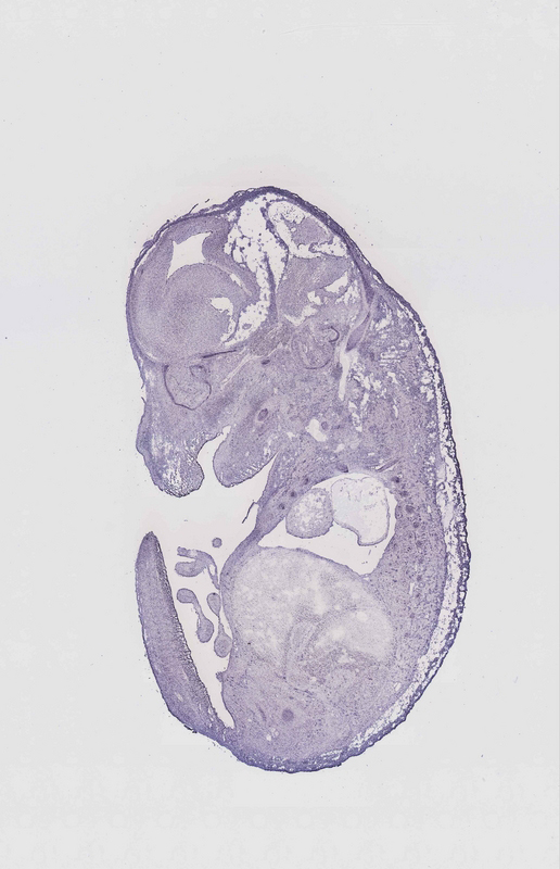
Specimen euxassay_012121_04: embryonic day 14.5 (more )
Structure Level Pattern Image Note
TS23: basioccipital bone Strong Regionally restricted euxassay_012121_04
TS23: temporal bone petrous part Strong Regionally restricted euxassay_012121_04
TS23: orbito-sphenoid Strong Regionally restricted euxassay_012121_04
TS23: Meckel's cartilage Strong Regionally restricted euxassay_012121_04
TS23: rib Strong Regionally restricted euxassay_012121_04
TS23: hindlimb digit 3 phalanx Strong Regionally restricted euxassay_012121_04
TS23: femur Strong Regionally restricted euxassay_012121_04
TS23: humerus Strong Regionally restricted euxassay_012121_04
TS23: scapula Strong Regionally restricted euxassay_012121_04

Specimen euxassay_012121_05: embryonic day 14.5 (more )
Structure Level Pattern Image Note
TS23: basioccipital bone Strong Regionally restricted euxassay_012121_05
TS23: temporal bone petrous part Strong Regionally restricted euxassay_012121_05
TS23: orbito-sphenoid Strong Regionally restricted euxassay_012121_05
TS23: Meckel's cartilage Strong Regionally restricted euxassay_012121_05
TS23: rib Strong Regionally restricted euxassay_012121_05
TS23: femur Strong Regionally restricted euxassay_012121_05
TS23: hindlimb digit 3 phalanx Strong Regionally restricted euxassay_012121_05
TS23: hindlimb digit 2 phalanx Strong Regionally restricted euxassay_012121_05
TS23: hindlimb digit 4 phalanx Strong Regionally restricted euxassay_012121_05
TS23: humerus Strong Regionally restricted euxassay_012121_05
TS23: scapula Strong Regionally restricted euxassay_012121_05

Specimen euxassay_012121_06: embryonic day 14.5 (more )
Structure Level Pattern Image Note
TS23: orbito-sphenoid Strong Regionally restricted euxassay_012121_06
TS23: basioccipital bone Strong Regionally restricted euxassay_012121_06
TS23: temporal bone petrous part Strong Regionally restricted euxassay_012121_06
TS23: Meckel's cartilage Strong Regionally restricted euxassay_012121_06
TS23: rib Strong Regionally restricted euxassay_012121_06
TS23: femur Strong Regionally restricted euxassay_012121_06
TS23: humerus Strong Regionally restricted euxassay_012121_06

Specimen euxassay_012121_07: embryonic day 14.5 (more )
Structure Level Pattern Image Note
TS23: basioccipital bone Strong Regionally restricted euxassay_012121_07
TS23: orbito-sphenoid Strong Regionally restricted euxassay_012121_07
TS23: Meckel's cartilage Strong Regionally restricted euxassay_012121_07
TS23: turbinate bone primordium Strong Regionally restricted euxassay_012121_07
TS23: rib Strong Regionally restricted euxassay_012121_07
TS23: femur Strong Regionally restricted euxassay_012121_07

Specimen euxassay_012121_08: embryonic day 14.5 (more )
Structure Level Pattern Image Note
TS23: basioccipital bone Strong Regionally restricted euxassay_012121_08
TS23: orbito-sphenoid Strong Regionally restricted euxassay_012121_08
TS23: Meckel's cartilage Strong Regionally restricted euxassay_012121_08
TS23: turbinate bone primordium Strong Regionally restricted euxassay_012121_08
TS23: rib Strong Regionally restricted euxassay_012121_08
TS23: axial skeleton Strong Regionally restricted euxassay_012121_08
TS23: femur Strong Regionally restricted euxassay_012121_08
TS23: pelvic girdle skeleton Strong Regionally restricted euxassay_012121_08
TS23: clavicle Strong Regionally restricted euxassay_012121_08

Specimen euxassay_012121_09: embryonic day 14.5 (more )
Structure Level Pattern Image Note
TS23: basioccipital bone Strong Regionally restricted euxassay_012121_09
TS23: basisphenoid bone Strong Regionally restricted euxassay_012121_09
TS23: otic capsule Strong Regionally restricted euxassay_012121_09
TS23: Meckel's cartilage Strong Regionally restricted euxassay_012121_09
TS23: turbinate bone primordium Strong Regionally restricted euxassay_012121_09
TS23: axial skeleton Strong Regionally restricted euxassay_012121_09
TS23: rib Strong Regionally restricted euxassay_012121_09
TS23: pelvic girdle skeleton Strong Regionally restricted euxassay_012121_09
TS23: clavicle Strong Regionally restricted euxassay_012121_09

Specimen euxassay_012121_10: embryonic day 14.5 (more )
Structure Level Pattern Image Note
TS23: basioccipital bone Strong Regionally restricted euxassay_012121_10
TS23: basisphenoid bone Strong Regionally restricted euxassay_012121_10
TS23: Meckel's cartilage Strong Regionally restricted euxassay_012121_10
TS23: naris Strong Regionally restricted euxassay_012121_10
TS23: hyoid Strong Regionally restricted euxassay_012121_10
TS23: axial skeleton Strong Regionally restricted euxassay_012121_10
TS23: rib Strong Regionally restricted euxassay_012121_10
TS23: clavicle Strong Regionally restricted euxassay_012121_10

Specimen euxassay_012121_11: embryonic day 14.5 (more )
Structure Level Pattern Image Note
TS23: basioccipital bone Strong Regionally restricted euxassay_012121_11
TS23: basisphenoid bone Strong Regionally restricted euxassay_012121_11
TS23: Meckel's cartilage Strong Regionally restricted euxassay_012121_11
TS23: naris Strong Regionally restricted euxassay_012121_11
TS23: axial skeleton Strong Regionally restricted euxassay_012121_11
TS23: rib Strong Regionally restricted euxassay_012121_11

Specimen euxassay_012121_12: embryonic day 14.5 (more )
Structure Level Pattern Image Note
TS23: basioccipital bone Strong Regionally restricted euxassay_012121_12
TS23: basisphenoid bone Strong Regionally restricted euxassay_012121_12
TS23: Meckel's cartilage Strong Regionally restricted euxassay_012121_12
TS23: naris Strong Regionally restricted euxassay_012121_12
TS23: axial skeleton Strong Regionally restricted euxassay_012121_12
TS23: rib Strong Regionally restricted euxassay_012121_12

Specimen euxassay_012121_13: embryonic day 14.5 (more )
Structure Level Pattern Image Note
TS23: basioccipital bone Strong Regionally restricted euxassay_012121_13
TS23: basisphenoid bone Strong Regionally restricted euxassay_012121_13
TS23: Meckel's cartilage Strong Regionally restricted euxassay_012121_13
TS23: naris Strong Regionally restricted euxassay_012121_13
TS23: nasal septum Strong Regionally restricted euxassay_012121_13
TS23: hyoid Strong Regionally restricted euxassay_012121_13
TS23: axial skeleton Strong Regionally restricted euxassay_012121_13

Specimen euxassay_012121_14: embryonic day 14.5 (more )
Structure Level Pattern Image Note
TS23: basioccipital bone Strong Regionally restricted euxassay_012121_14
TS23: basisphenoid bone Strong Regionally restricted euxassay_012121_14
TS23: Meckel's cartilage Strong Regionally restricted euxassay_012121_14
TS23: naris Strong Regionally restricted euxassay_012121_14
TS23: hyoid Strong Regionally restricted euxassay_012121_14
TS23: axial skeleton Strong Regionally restricted euxassay_012121_14

Specimen euxassay_012121_15: embryonic day 14.5 (more )
Structure Level Pattern Image Note
TS23: basioccipital bone Strong Regionally restricted euxassay_012121_15
TS23: basisphenoid bone Strong Regionally restricted euxassay_012121_15
TS23: Meckel's cartilage Strong Regionally restricted euxassay_012121_15
TS23: naris Strong Regionally restricted euxassay_012121_15
TS23: hyoid Moderate Regionally restricted euxassay_012121_15
TS23: axial skeleton Strong Regionally restricted euxassay_012121_15
TS23: rib Strong Regionally restricted euxassay_012121_15

Specimen euxassay_012121_16: embryonic day 14.5 (more )
Structure Level Pattern Image Note
TS23: basioccipital bone Strong Regionally restricted euxassay_012121_16
TS23: basisphenoid bone Strong Regionally restricted euxassay_012121_16
TS23: otic capsule Strong Regionally restricted euxassay_012121_16
TS23: Meckel's cartilage Strong Regionally restricted euxassay_012121_16
TS23: naris Strong Regionally restricted euxassay_012121_16
TS23: hyoid Moderate Regionally restricted euxassay_012121_16
TS23: rib Strong Regionally restricted euxassay_012121_16
TS23: axial skeleton Strong Regionally restricted euxassay_012121_16
TS23: pelvic girdle skeleton Strong Regionally restricted euxassay_012121_16
TS23: clavicle Strong Regionally restricted euxassay_012121_16

Specimen euxassay_012121_17: embryonic day 14.5 (more )
Structure Level Pattern Image Note
TS23: basioccipital bone Strong Regionally restricted euxassay_012121_17
TS23: temporal bone petrous part Strong Regionally restricted euxassay_012121_17
TS23: orbito-sphenoid Strong Regionally restricted euxassay_012121_17
TS23: Meckel's cartilage Strong Regionally restricted euxassay_012121_17
TS23: turbinate bone primordium Strong Regionally restricted euxassay_012121_17
TS23: axial skeleton Strong Regionally restricted euxassay_012121_17
TS23: rib Strong Regionally restricted euxassay_012121_17
TS23: pelvic girdle skeleton Strong Regionally restricted euxassay_012121_17
TS23: clavicle Strong Regionally restricted euxassay_012121_17

Specimen euxassay_012121_18: embryonic day 14.5 (more )
Structure Level Pattern Image Note
TS23: basioccipital bone Strong Regionally restricted euxassay_012121_18
TS23: orbito-sphenoid Strong Regionally restricted euxassay_012121_18
TS23: temporal bone petrous part Strong Regionally restricted euxassay_012121_18
TS23: Meckel's cartilage Strong Regionally restricted euxassay_012121_18
TS23: turbinate bone primordium Strong Regionally restricted euxassay_012121_18
TS23: rib Strong Regionally restricted euxassay_012121_18
TS23: femur Strong Regionally restricted euxassay_012121_18

Specimen euxassay_012121_19: embryonic day 14.5 (more )
Structure Level Pattern Image Note
TS23: basioccipital bone Strong Regionally restricted euxassay_012121_19
TS23: temporal bone petrous part Strong Regionally restricted euxassay_012121_19
TS23: orbito-sphenoid Strong Regionally restricted euxassay_012121_19
TS23: turbinate bone primordium Strong Regionally restricted euxassay_012121_19
TS23: rib Strong Regionally restricted euxassay_012121_19
TS23: femur Strong Regionally restricted euxassay_012121_19

Specimen euxassay_012121_20: embryonic day 14.5 (more )
Structure Level Pattern Image Note
TS23: basioccipital bone Strong Regionally restricted euxassay_012121_20
TS23: temporal bone petrous part Strong Regionally restricted euxassay_012121_20
TS23: orbito-sphenoid Strong Regionally restricted euxassay_012121_20
TS23: Meckel's cartilage Strong Regionally restricted euxassay_012121_20
TS23: rib Strong Regionally restricted euxassay_012121_20
TS23: femur Strong Regionally restricted euxassay_012121_20

Specimen euxassay_012121_21: embryonic day 14.5 (more )
Structure Level Pattern Image Note
TS23: basioccipital bone Strong Regionally restricted euxassay_012121_21
TS23: temporal bone petrous part Strong Regionally restricted euxassay_012121_21
TS23: orbito-sphenoid Strong Regionally restricted euxassay_012121_21
TS23: Meckel's cartilage Strong Regionally restricted euxassay_012121_21
TS23: rib Strong Regionally restricted euxassay_012121_21
TS23: femur Strong Regionally restricted euxassay_012121_21
TS23: scapula Strong Regionally restricted euxassay_012121_21
TS23: humerus Strong Regionally restricted euxassay_012121_21

Specimen euxassay_012121_22: embryonic day 14.5 (more )
Structure Level Pattern Image Note
TS23: basioccipital bone Strong Regionally restricted euxassay_012121_22
TS23: temporal bone petrous part Strong Regionally restricted euxassay_012121_22
TS23: orbito-sphenoid Strong Regionally restricted euxassay_012121_22
TS23: Meckel's cartilage Strong Regionally restricted euxassay_012121_22
TS23: rib Strong Regionally restricted euxassay_012121_22
TS23: femur Strong Regionally restricted euxassay_012121_22
TS23: humerus Strong Regionally restricted euxassay_012121_22
TS23: scapula Strong Regionally restricted euxassay_012121_22

Specimen euxassay_012121_23: embryonic day 14.5 (more )
Structure Level Pattern Image Note
TS23: basioccipital bone Strong Regionally restricted euxassay_012121_23
TS23: temporal bone petrous part Strong Regionally restricted euxassay_012121_23
TS23: orbito-sphenoid Strong Regionally restricted euxassay_012121_23
TS23: rib Strong Regionally restricted euxassay_012121_23
TS23: femur Strong Regionally restricted euxassay_012121_23
TS23: humerus Strong Regionally restricted euxassay_012121_23
TS23: scapula Strong Regionally restricted euxassay_012121_23

Specimen euxassay_012121_24: embryonic day 14.5 (more )
Structure Level Pattern Image Note
TS23: temporal bone petrous part Strong Regionally restricted euxassay_012121_24
TS23: rib Strong Regionally restricted euxassay_012121_24
TS23: humerus Strong Regionally restricted euxassay_012121_24
TS23: forelimb digit 1 phalanx Strong Regionally restricted euxassay_012121_24


Contributing Projects:
Mouse Genome Database (MGD), Gene Expression Database (GXD), Mouse Models of Human Cancer database (MMHCdb) (formerly Mouse Tumor Biology (MTB)), Gene Ontology (GO)
Citing These Resources
Funding Information
Warranty Disclaimer, Privacy Notice, Licensing, & Copyright
Send questions and comments to User Support.
last database update
12/30/2025
MGI 6.24
The Jackson Laboratory