About   Help   FAQ
Gene Expression Data
Assay Details
Assay
Reference: J:153498 Diez-Roux G, et al., A high-resolution anatomical atlas of the transcriptome in the mouse embryo. PLoS Biol. 2011;9(1):e1000582
Assay type: RNA in situ
MGI Accession ID: MGI:4825857
Gene symbol: Lama1
Gene name: laminin, alpha 1
Probe: T36576
Probe preparation: Antisense labelled with digoxigenin RNA
Visualized with: Alkaline phosphatase
Assay notes: Cryosections of fresh frozen material were fixed in 4% paraformaldehyde for 20 min. before further processing. A tyramide-biotin/streptavidin amplification step was included in the in situ hybridization procedure.
Results
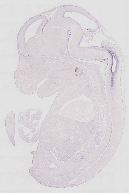
Specimen euxassay_011017_01: embryonic day 14.5 (more )
Structure Level Pattern Image Note
TS23: hindbrain meninges Moderate Regionally restricted euxassay_011017_01
TS23: telencephalon meninges Moderate Regionally restricted euxassay_011017_01
TS23: lens Moderate Regionally restricted euxassay_011017_01

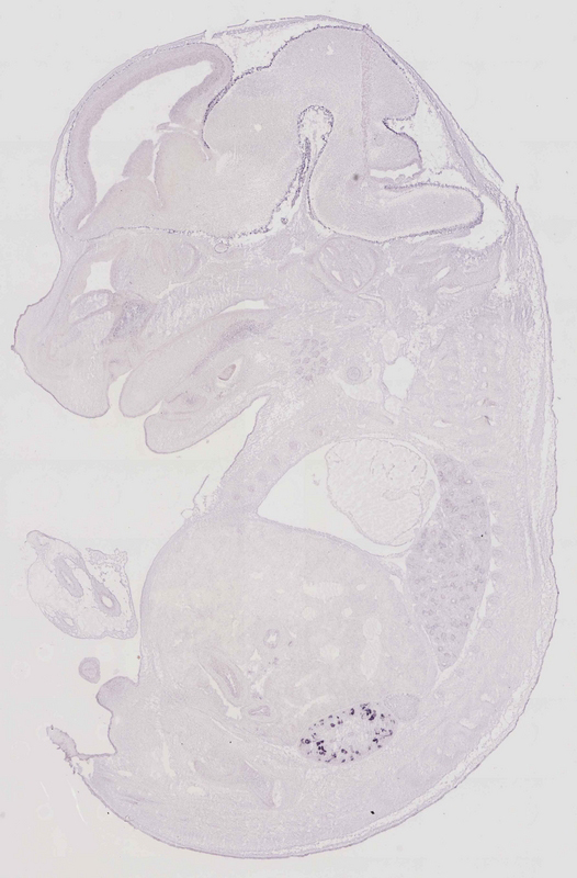
Specimen euxassay_011017_02: embryonic day 14.5 (more )
Structure Level Pattern Image Note
TS23: hindbrain meninges Moderate Regionally restricted euxassay_011017_02
TS23: telencephalon meninges Moderate Regionally restricted euxassay_011017_02

Specimen euxassay_011017_03: embryonic day 14.5 (more )
Note: Additional information for this specimen was included in the Eurexpress data submission file.
Structure Level Pattern Image Note
TS23: urinary system Moderate Regionally restricted euxassay_011017_03
TS23: mesonephros Present euxassay_011017_03
TS23: midbrain meninges Moderate Regionally restricted euxassay_011017_03
TS23: hindbrain meninges Moderate Regionally restricted euxassay_011017_03
TS23: telencephalon meninges Moderate Regionally restricted euxassay_011017_03

Specimen euxassay_011017_04: embryonic day 14.5 (more )
Note: Additional information for this specimen was included in the Eurexpress data submission file.
Structure Level Pattern Image Note
TS23: urinary system Moderate Regionally restricted euxassay_011017_04
TS23: mesonephros Present euxassay_011017_04
TS23: midbrain meninges Moderate Regionally restricted euxassay_011017_04
TS23: hindbrain meninges Moderate Regionally restricted euxassay_011017_04
TS23: telencephalon meninges Moderate Regionally restricted euxassay_011017_04

Specimen euxassay_011017_05: embryonic day 14.5 (more )
Structure Level Pattern Image Note
TS23: maturing glomerular tuft Strong Regionally restricted euxassay_011017_05
TS23: midbrain meninges Moderate Regionally restricted euxassay_011017_05
TS23: hindbrain meninges Moderate Regionally restricted euxassay_011017_05
TS23: telencephalon meninges Moderate Regionally restricted euxassay_011017_05
TS23: cornea epithelium Moderate Regionally restricted euxassay_011017_05

Specimen euxassay_011017_06: embryonic day 14.5 (more )
Structure Level Pattern Image Note
TS23: maturing glomerular tuft Strong Regionally restricted euxassay_011017_06
TS23: spinal cord meninges Moderate Regionally restricted euxassay_011017_06
TS23: midbrain meninges Moderate Regionally restricted euxassay_011017_06
TS23: hindbrain meninges Moderate Regionally restricted euxassay_011017_06
TS23: telencephalon meninges Moderate Regionally restricted euxassay_011017_06
TS23: diencephalon meninges Moderate Regionally restricted euxassay_011017_06

Specimen euxassay_011017_07: embryonic day 14.5 (more )
Structure Level Pattern Image Note
TS23: maturing glomerular tuft Strong Regionally restricted euxassay_011017_07
TS23: spinal cord meninges Moderate Regionally restricted euxassay_011017_07
TS23: midbrain meninges Moderate Regionally restricted euxassay_011017_07
TS23: hindbrain meninges Moderate Regionally restricted euxassay_011017_07
TS23: telencephalon meninges Moderate Regionally restricted euxassay_011017_07
TS23: diencephalon meninges Moderate Regionally restricted euxassay_011017_07

Specimen euxassay_011017_08: embryonic day 14.5 (more )
Structure Level Pattern Image Note
TS23: maturing glomerular tuft Strong Regionally restricted euxassay_011017_08
TS23: spinal cord meninges Moderate Regionally restricted euxassay_011017_08
TS23: midbrain meninges Moderate Regionally restricted euxassay_011017_08
TS23: hindbrain meninges Moderate Regionally restricted euxassay_011017_08
TS23: telencephalon meninges Moderate Regionally restricted euxassay_011017_08
TS23: diencephalon meninges Moderate Regionally restricted euxassay_011017_08

Specimen euxassay_011017_09: embryonic day 14.5 (more )
Structure Level Pattern Image Note
TS23: maturing glomerular tuft Strong Regionally restricted euxassay_011017_09
TS23: spinal cord meninges Moderate Regionally restricted euxassay_011017_09
TS23: midbrain meninges Moderate Regionally restricted euxassay_011017_09
TS23: hindbrain meninges Moderate Regionally restricted euxassay_011017_09
TS23: telencephalon meninges Moderate Regionally restricted euxassay_011017_09
TS23: diencephalon meninges Moderate Regionally restricted euxassay_011017_09

Specimen euxassay_011017_10: embryonic day 14.5 (more )
Structure Level Pattern Image Note
TS23: diencephalon meninges Moderate Regionally restricted euxassay_011017_10
TS23: telencephalon meninges Moderate Regionally restricted euxassay_011017_10
TS23: midbrain meninges Moderate Regionally restricted euxassay_011017_10
TS23: hindbrain meninges Moderate Regionally restricted euxassay_011017_10
TS23: spinal cord meninges Moderate Regionally restricted euxassay_011017_10
TS23: spinal cord ventricular layer Moderate Regionally restricted euxassay_011017_10

Specimen euxassay_011017_11: embryonic day 14.5 (more )
Structure Level Pattern Image Note
TS23: diencephalon meninges Moderate Regionally restricted euxassay_011017_11
TS23: telencephalon meninges Moderate Regionally restricted euxassay_011017_11
TS23: hindbrain meninges Moderate Regionally restricted euxassay_011017_11
TS23: midbrain meninges Moderate Regionally restricted euxassay_011017_11
TS23: spinal cord meninges Moderate Regionally restricted euxassay_011017_11
TS23: spinal cord ventricular layer Moderate Regionally restricted euxassay_011017_11
TS23: diencephalon lateral wall ventricular layer Moderate Regionally restricted euxassay_011017_11
TS23: hypothalamus ventricular layer Moderate Regionally restricted euxassay_011017_11

Specimen euxassay_011017_12: embryonic day 14.5 (more )
Structure Level Pattern Image Note
TS23: diencephalon meninges Moderate Regionally restricted euxassay_011017_12
TS23: telencephalon meninges Moderate Regionally restricted euxassay_011017_12
TS23: hindbrain meninges Moderate Regionally restricted euxassay_011017_12
TS23: midbrain meninges Moderate Regionally restricted euxassay_011017_12
TS23: spinal cord meninges Moderate Regionally restricted euxassay_011017_12
TS23: diencephalon lateral wall ventricular layer Moderate Regionally restricted euxassay_011017_12
TS23: hypothalamus ventricular layer Moderate Regionally restricted euxassay_011017_12
TS23: spinal cord ventricular layer Moderate Regionally restricted euxassay_011017_12

Specimen euxassay_011017_13: embryonic day 14.5 (more )
Structure Level Pattern Image Note
TS23: spinal cord meninges Moderate Regionally restricted euxassay_011017_13
TS23: midbrain meninges Moderate Regionally restricted euxassay_011017_13
TS23: hindbrain meninges Moderate Regionally restricted euxassay_011017_13
TS23: telencephalon meninges Moderate Regionally restricted euxassay_011017_13
TS23: diencephalon meninges Moderate Regionally restricted euxassay_011017_13
TS23: spinal cord ventricular layer Moderate Regionally restricted euxassay_011017_13
TS23: diencephalon lateral wall ventricular layer Moderate Regionally restricted euxassay_011017_13

Specimen euxassay_011017_14: embryonic day 14.5 (more )
Structure Level Pattern Image Note
TS23: diencephalon meninges Moderate Regionally restricted euxassay_011017_14
TS23: telencephalon meninges Moderate Regionally restricted euxassay_011017_14
TS23: hindbrain meninges Moderate Regionally restricted euxassay_011017_14
TS23: midbrain meninges Moderate Regionally restricted euxassay_011017_14
TS23: spinal cord meninges Moderate Regionally restricted euxassay_011017_14

Specimen euxassay_011017_15: embryonic day 14.5 (more )
Structure Level Pattern Image Note
TS23: maturing glomerular tuft Strong Regionally restricted euxassay_011017_15
TS23: diencephalon meninges Moderate Regionally restricted euxassay_011017_15
TS23: telencephalon meninges Moderate Regionally restricted euxassay_011017_15
TS23: midbrain meninges Moderate Regionally restricted euxassay_011017_15
TS23: hindbrain meninges Moderate Regionally restricted euxassay_011017_15

Specimen euxassay_011017_16: embryonic day 14.5 (more )
Structure Level Pattern Image Note
TS23: maturing glomerular tuft Strong Regionally restricted euxassay_011017_16
TS23: midbrain meninges Moderate Regionally restricted euxassay_011017_16
TS23: hindbrain meninges Moderate Regionally restricted euxassay_011017_16
TS23: telencephalon meninges Moderate Regionally restricted euxassay_011017_16
TS23: diencephalon meninges Moderate Regionally restricted euxassay_011017_16

Specimen euxassay_011017_17: embryonic day 14.5 (more )
Structure Level Pattern Image Note
TS23: maturing glomerular tuft Strong Regionally restricted euxassay_011017_17
TS23: diencephalon meninges Moderate Regionally restricted euxassay_011017_17
TS23: telencephalon meninges Moderate Regionally restricted euxassay_011017_17
TS23: hindbrain meninges Moderate Regionally restricted euxassay_011017_17
TS23: midbrain meninges Moderate Regionally restricted euxassay_011017_17

Specimen euxassay_011017_18: embryonic day 14.5 (more )
Structure Level Pattern Image Note
TS23: maturing glomerular tuft Strong Regionally restricted euxassay_011017_18
TS23: midbrain meninges Moderate Regionally restricted euxassay_011017_18
TS23: hindbrain meninges Moderate Regionally restricted euxassay_011017_18
TS23: diencephalon meninges Moderate Regionally restricted euxassay_011017_18
TS23: telencephalon meninges Moderate Regionally restricted euxassay_011017_18

Specimen euxassay_011017_19: embryonic day 14.5 (more )
Structure Level Pattern Image Note
TS23: maturing glomerular tuft Strong Regionally restricted euxassay_011017_19
TS23: telencephalon meninges Moderate Regionally restricted euxassay_011017_19
TS23: hindbrain meninges Moderate Regionally restricted euxassay_011017_19
TS23: midbrain meninges Moderate Regionally restricted euxassay_011017_19

Specimen euxassay_011017_20: embryonic day 14.5 (more )
Structure Level Pattern Image Note
TS23: maturing glomerular tuft Strong Regionally restricted euxassay_011017_20
TS23: telencephalon meninges Moderate Regionally restricted euxassay_011017_20
TS23: hindbrain meninges Moderate Regionally restricted euxassay_011017_20

Specimen euxassay_011017_21: embryonic day 14.5 (more )
Note: Additional information for this specimen was included in the Eurexpress data submission file.
Structure Level Pattern Image Note
TS23: urinary system Moderate Regionally restricted euxassay_011017_21
TS23: mesonephros Present euxassay_011017_21
TS23: hindbrain meninges Moderate Regionally restricted euxassay_011017_21
TS23: telencephalon meninges Moderate Regionally restricted euxassay_011017_21

Specimen euxassay_011017_22: embryonic day 14.5 (more )
Structure Level Pattern Image Note
TS23: telencephalon meninges Moderate Regionally restricted euxassay_011017_22

Specimen euxassay_011017_23: embryonic day 14.5 (more )
Structure Level Pattern Image Note
TS23: telencephalon meninges Moderate Regionally restricted euxassay_011017_23
TS23: cornea epithelium Weak Regionally restricted euxassay_011017_23


Contributing Projects:
Mouse Genome Database (MGD), Gene Expression Database (GXD), Mouse Models of Human Cancer database (MMHCdb) (formerly Mouse Tumor Biology (MTB)), Gene Ontology (GO)
Citing These Resources
Funding Information
Warranty Disclaimer, Privacy Notice, Licensing, & Copyright
Send questions and comments to User Support.
last database update
01/20/2026
MGI 6.24
The Jackson Laboratory