About   Help   FAQ
Gene Expression Data
Assay Details
Assay
Reference: J:153498 Diez-Roux G, et al., A high-resolution anatomical atlas of the transcriptome in the mouse embryo. PLoS Biol. 2011;9(1):e1000582
Assay type: RNA in situ
MGI Accession ID: MGI:4825819
Gene symbol: Kpna1
Gene name: karyopherin subunit alpha 1
Probe: MGC clone 6726
Probe preparation: Antisense labelled with digoxigenin RNA
Visualized with: Alkaline phosphatase
Assay notes: Cryosections of fresh frozen material were fixed in 4% paraformaldehyde for 20 min. before further processing. A tyramide-biotin/streptavidin amplification step was included in the in situ hybridization procedure.
Results
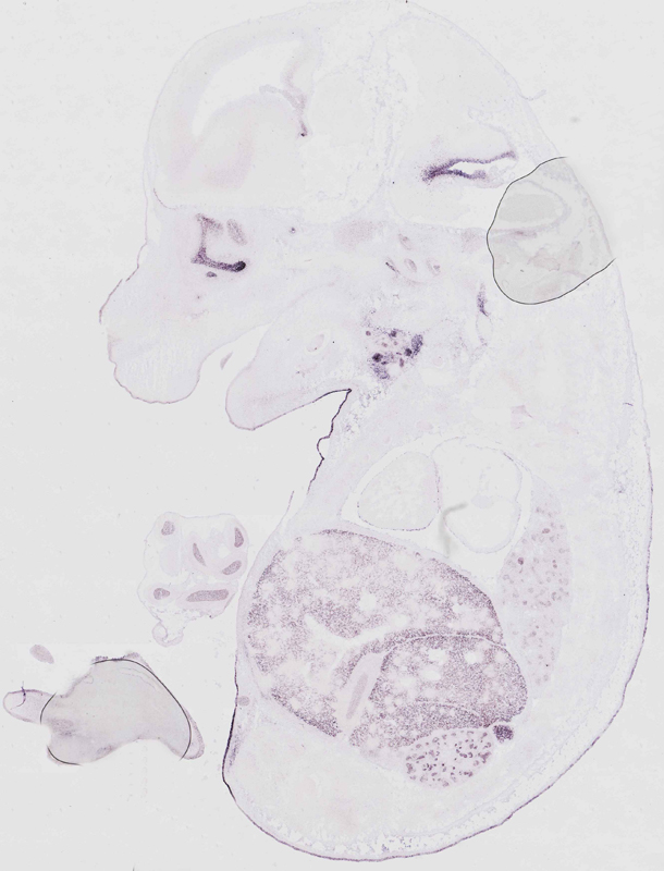
Specimen euxassay_004798_01: embryonic day 14.5 (more )
Structure Level Pattern Image Note
TS23: liver Moderate Regionally restricted euxassay_004798_01
TS23: vertebral axis musculature Strong Regionally restricted euxassay_004798_01
TS23: epidermis Strong Regionally restricted euxassay_004798_01
TS23: lung Weak Regionally restricted euxassay_004798_01
TS23: stomach Moderate Regionally restricted euxassay_004798_01
TS23: inner ear Moderate Regionally restricted euxassay_004798_01
TS23: conjunctival sac Weak Regionally restricted euxassay_004798_01

Specimen euxassay_004798_02: embryonic day 14.5 (more )
Structure Level Pattern Image Note
TS23: liver Moderate Regionally restricted euxassay_004798_02
TS23: vertebral axis musculature Strong Regionally restricted euxassay_004798_02
TS23: epidermis Strong Regionally restricted euxassay_004798_02
TS23: lung Weak Regionally restricted euxassay_004798_02
TS23: stomach Moderate Regionally restricted euxassay_004798_02
TS23: telencephalon ventricular layer Weak Regionally restricted euxassay_004798_02
TS23: inner ear Moderate Regionally restricted euxassay_004798_02
TS23: naso-lacrimal duct Strong Regionally restricted euxassay_004798_02
TS23: conjunctival sac Weak Regionally restricted euxassay_004798_02
TS23: trigeminal ganglion Weak Regionally restricted euxassay_004798_02

Specimen euxassay_004798_03: embryonic day 14.5 (more )
Structure Level Pattern Image Note
TS23: liver Moderate Regionally restricted euxassay_004798_03
TS23: vertebral axis musculature Strong Regionally restricted euxassay_004798_03
TS23: epidermis Strong Regionally restricted euxassay_004798_03
TS23: lung Weak Regionally restricted euxassay_004798_03
TS23: stomach Moderate Regionally restricted euxassay_004798_03
TS23: vibrissa Moderate Regionally restricted euxassay_004798_03
TS23: telencephalon ventricular layer Weak Regionally restricted euxassay_004798_03
TS23: inner ear Moderate Regionally restricted euxassay_004798_03
TS23: naso-lacrimal duct Strong Regionally restricted euxassay_004798_03
TS23: conjunctival sac Moderate Regionally restricted euxassay_004798_03
TS23: trigeminal ganglion Weak Regionally restricted euxassay_004798_03

Specimen euxassay_004798_04: embryonic day 14.5 (more )
Structure Level Pattern Image Note
TS23: liver Moderate Regionally restricted euxassay_004798_04
TS23: vertebral axis musculature Moderate Regionally restricted euxassay_004798_04
TS23: epidermis Strong Regionally restricted euxassay_004798_04
TS23: lung Weak Regionally restricted euxassay_004798_04
TS23: stomach Weak Regionally restricted euxassay_004798_04
TS23: vibrissa Moderate Regionally restricted euxassay_004798_04
TS23: metanephros Moderate Spotted euxassay_004798_04
TS23: adrenal gland Strong Regionally restricted euxassay_004798_04
TS23: telencephalon ventricular layer Weak Regionally restricted euxassay_004798_04
TS23: metencephalon rest of alar plate ventricular layer Strong Regionally restricted euxassay_004798_04
TS23: pons ventricular layer Strong Regionally restricted euxassay_004798_04
TS23: inner ear Weak Regionally restricted euxassay_004798_04
TS23: naso-lacrimal duct Strong Regionally restricted euxassay_004798_04
TS23: conjunctival sac Moderate Regionally restricted euxassay_004798_04
TS23: trigeminal ganglion Weak Regionally restricted euxassay_004798_04

Specimen euxassay_004798_05: embryonic day 14.5 (more )
Structure Level Pattern Image Note
TS23: liver Moderate Regionally restricted euxassay_004798_05
TS23: vertebral axis musculature Moderate Regionally restricted euxassay_004798_05
TS23: epidermis Strong Regionally restricted euxassay_004798_05
TS23: lung Weak Regionally restricted euxassay_004798_05
TS23: stomach Weak Regionally restricted euxassay_004798_05
TS23: pancreas Strong Regionally restricted euxassay_004798_05
TS23: vibrissa Strong Spotted euxassay_004798_05
TS23: submandibular gland primordium Strong Regionally restricted euxassay_004798_05
TS23: pericardium Moderate Regionally restricted euxassay_004798_05
TS23: metanephros Moderate Spotted euxassay_004798_05
TS23: adrenal gland Strong Regionally restricted euxassay_004798_05
TS23: telencephalon ventricular layer Weak Regionally restricted euxassay_004798_05
TS23: midbrain ventricular layer Moderate Regionally restricted euxassay_004798_05
TS23: pons ventricular layer Strong Regionally restricted euxassay_004798_05
TS23: metencephalon rest of alar plate ventricular layer Strong Regionally restricted euxassay_004798_05
TS23: inner ear Moderate Regionally restricted euxassay_004798_05
TS23: naso-lacrimal duct Strong Regionally restricted euxassay_004798_05
TS23: trigeminal ganglion Weak Regionally restricted euxassay_004798_05

Specimen euxassay_004798_06: embryonic day 14.5 (more )
Structure Level Pattern Image Note
TS23: liver Moderate Regionally restricted euxassay_004798_06
TS23: vertebral axis musculature Moderate Regionally restricted euxassay_004798_06
TS23: epidermis Strong Regionally restricted euxassay_004798_06
TS23: lung Weak Regionally restricted euxassay_004798_06
TS23: stomach Weak Regionally restricted euxassay_004798_06
TS23: pancreas Strong Regionally restricted euxassay_004798_06
TS23: vibrissa Moderate Regionally restricted euxassay_004798_06
TS23: submandibular gland primordium Strong Regionally restricted euxassay_004798_06
TS23: pericardium Moderate Regionally restricted euxassay_004798_06
TS23: metanephros Moderate Spotted euxassay_004798_06
TS23: adrenal gland Strong Regionally restricted euxassay_004798_06
TS23: telencephalon ventricular layer Weak Regionally restricted euxassay_004798_06
TS23: choroid invagination Weak Regionally restricted euxassay_004798_06
TS23: midbrain ventricular layer Strong Regionally restricted euxassay_004798_06
TS23: pons ventricular layer Strong Regionally restricted euxassay_004798_06
TS23: metencephalon rest of alar plate ventricular layer Strong Regionally restricted euxassay_004798_06
TS23: inner ear Moderate Regionally restricted euxassay_004798_06
TS23: naso-lacrimal duct Strong Regionally restricted euxassay_004798_06
TS23: trigeminal ganglion Weak Regionally restricted euxassay_004798_06

Specimen euxassay_004798_07: embryonic day 14.5 (more )
Structure Level Pattern Image Note
TS23: liver Moderate Regionally restricted euxassay_004798_07
TS23: vertebral axis musculature Moderate Regionally restricted euxassay_004798_07
TS23: epidermis Strong Regionally restricted euxassay_004798_07
TS23: lung Weak Regionally restricted euxassay_004798_07
TS23: stomach Moderate Regionally restricted euxassay_004798_07
TS23: midgut Moderate Regionally restricted euxassay_004798_07
TS23: pancreas Strong Regionally restricted euxassay_004798_07
TS23: submandibular gland primordium Strong Regionally restricted euxassay_004798_07
TS23: pericardium Moderate Regionally restricted euxassay_004798_07
TS23: olfactory epithelium Strong Regionally restricted euxassay_004798_07
TS23: metanephros Moderate Spotted euxassay_004798_07
TS23: telencephalon ventricular layer Weak Regionally restricted euxassay_004798_07
TS23: choroid invagination Weak Regionally restricted euxassay_004798_07
TS23: diencephalon lateral wall ventricular layer Strong Regionally restricted euxassay_004798_07
TS23: midbrain ventricular layer Strong Regionally restricted euxassay_004798_07
TS23: pons ventricular layer Strong Regionally restricted euxassay_004798_07
TS23: metencephalon rest of alar plate ventricular layer Strong Regionally restricted euxassay_004798_07
TS23: medulla oblongata basal plate ventricular layer Strong Regionally restricted euxassay_004798_07
TS23: inner ear Moderate Regionally restricted euxassay_004798_07
TS23: naso-lacrimal duct Strong Regionally restricted euxassay_004798_07

Specimen euxassay_004798_08: embryonic day 14.5 (more )
Structure Level Pattern Image Note
TS23: liver Moderate Regionally restricted euxassay_004798_08
TS23: vertebral axis musculature Moderate Regionally restricted euxassay_004798_08
TS23: epidermis Strong Regionally restricted euxassay_004798_08
TS23: lung Weak Regionally restricted euxassay_004798_08
TS23: midgut Moderate Regionally restricted euxassay_004798_08
TS23: stomach Moderate Regionally restricted euxassay_004798_08
TS23: pancreas Strong Regionally restricted euxassay_004798_08
TS23: urethra Strong Regionally restricted euxassay_004798_08 Originally this result was annotated to a male-specific term, but as the specimen was not sexed, it is likely the data annotator intended to use a non-sex specific term.
TS23: rectum Moderate Regionally restricted euxassay_004798_08
TS23: pericardium Moderate Regionally restricted euxassay_004798_08
TS23: pharynx epithelium Strong Regionally restricted euxassay_004798_08
TS23: olfactory epithelium Strong Regionally restricted euxassay_004798_08
TS23: telencephalon ventricular layer Weak Regionally restricted euxassay_004798_08
TS23: choroid invagination Weak Regionally restricted euxassay_004798_08
TS23: diencephalon lateral wall ventricular layer Strong Regionally restricted euxassay_004798_08
TS23: midbrain ventricular layer Strong Regionally restricted euxassay_004798_08
TS23: medulla oblongata basal plate ventricular layer Strong Regionally restricted euxassay_004798_08
TS23: metencephalon rest of alar plate ventricular layer Strong Regionally restricted euxassay_004798_08
TS23: pons ventricular layer Strong Regionally restricted euxassay_004798_08
TS23: adenohypophysis Moderate Regionally restricted euxassay_004798_08

Specimen euxassay_004798_09: embryonic day 14.5 (more )
Structure Level Pattern Image Note
TS23: liver Moderate Regionally restricted euxassay_004798_09
TS23: vertebral axis musculature Moderate Regionally restricted euxassay_004798_09
TS23: epidermis Strong Regionally restricted euxassay_004798_09
TS23: lung Moderate Regionally restricted euxassay_004798_09
TS23: midgut Moderate Regionally restricted euxassay_004798_09
TS23: pancreas Strong Regionally restricted euxassay_004798_09
TS23: bladder Strong Regionally restricted euxassay_004798_09
TS23: urethra Strong Regionally restricted euxassay_004798_09 Originally this result was annotated to a male-specific term, but as the specimen was not sexed, it is likely the data annotator intended to use a non-sex specific term.
TS23: rectum Strong Regionally restricted euxassay_004798_09
TS23: pericardium Moderate Regionally restricted euxassay_004798_09
TS23: pharynx epithelium Strong Regionally restricted euxassay_004798_09
TS23: olfactory epithelium Strong Regionally restricted euxassay_004798_09
TS23: telencephalon ventricular layer Weak Regionally restricted euxassay_004798_09
TS23: diencephalon lateral wall ventricular layer Strong Regionally restricted euxassay_004798_09
TS23: midbrain ventricular layer Strong Regionally restricted euxassay_004798_09
TS23: pons ventricular layer Strong Regionally restricted euxassay_004798_09
TS23: metencephalon rest of alar plate ventricular layer Strong Regionally restricted euxassay_004798_09
TS23: medulla oblongata alar plate ventricular layer Strong Regionally restricted euxassay_004798_09
TS23: spinal cord ventricular layer Strong Regionally restricted euxassay_004798_09
TS23: adenohypophysis Moderate Regionally restricted euxassay_004798_09

Specimen euxassay_004798_10: embryonic day 14.5 (more )
Structure Level Pattern Image Note
TS23: liver Moderate Regionally restricted euxassay_004798_10
TS23: vertebral axis musculature Moderate Regionally restricted euxassay_004798_10
TS23: physiological umbilical hernia epidermis Strong Regionally restricted euxassay_004798_10
TS23: lung Moderate Regionally restricted euxassay_004798_10
TS23: midgut Moderate Regionally restricted euxassay_004798_10
TS23: pancreas Strong Regionally restricted euxassay_004798_10
TS23: bladder Strong Regionally restricted euxassay_004798_10
TS23: pericardium Moderate Regionally restricted euxassay_004798_10
TS23: pharynx epithelium Strong Regionally restricted euxassay_004798_10
TS23: trachea Strong Regionally restricted euxassay_004798_10
TS23: nasal cavity respiratory epithelium Strong Regionally restricted euxassay_004798_10
TS23: telencephalon ventricular layer Moderate Regionally restricted euxassay_004798_10
TS23: diencephalon lateral wall ventricular layer Strong Regionally restricted euxassay_004798_10
TS23: midbrain ventricular layer Strong Regionally restricted euxassay_004798_10
TS23: medulla oblongata basal plate ventricular layer Strong Regionally restricted euxassay_004798_10
TS23: metencephalon rest of alar plate ventricular layer Strong Regionally restricted euxassay_004798_10
TS23: pons ventricular layer Strong Regionally restricted euxassay_004798_10
TS23: spinal cord ventricular layer Strong Regionally restricted euxassay_004798_10
TS23: adenohypophysis Moderate Regionally restricted euxassay_004798_10

Specimen euxassay_004798_11: embryonic day 14.5 (more )
Structure Level Pattern Image Note
TS23: liver Moderate Regionally restricted euxassay_004798_11
TS23: vertebral axis musculature Moderate Regionally restricted euxassay_004798_11
TS23: epidermis Strong Regionally restricted euxassay_004798_11
TS23: lung Moderate Regionally restricted euxassay_004798_11
TS23: midgut Moderate Regionally restricted euxassay_004798_11
TS23: pancreas Strong Regionally restricted euxassay_004798_11
TS23: bladder Moderate Regionally restricted euxassay_004798_11
TS23: pericardium Moderate Regionally restricted euxassay_004798_11
TS23: pharynx epithelium Strong Regionally restricted euxassay_004798_11
TS23: trachea Strong Regionally restricted euxassay_004798_11
TS23: nasal cavity respiratory epithelium Strong Regionally restricted euxassay_004798_11
TS23: telencephalon ventricular layer Weak Regionally restricted euxassay_004798_11
TS23: diencephalon lateral wall ventricular layer Strong Regionally restricted euxassay_004798_11
TS23: midbrain ventricular layer Strong Regionally restricted euxassay_004798_11
TS23: pons ventricular layer Strong Regionally restricted euxassay_004798_11
TS23: metencephalon rest of alar plate ventricular layer Strong Regionally restricted euxassay_004798_11
TS23: medulla oblongata basal plate ventricular layer Strong Regionally restricted euxassay_004798_11
TS23: adenohypophysis Moderate Regionally restricted euxassay_004798_11
TS23: thyroid gland Moderate Regionally restricted euxassay_004798_11

Specimen euxassay_004798_12: embryonic day 14.5 (more )
Structure Level Pattern Image Note
TS23: liver Moderate Regionally restricted euxassay_004798_12
TS23: vertebral axis musculature Moderate Regionally restricted euxassay_004798_12
TS23: epidermis Strong Regionally restricted euxassay_004798_12
TS23: lung Moderate Regionally restricted euxassay_004798_12
TS23: midgut Moderate Regionally restricted euxassay_004798_12
TS23: pancreas Strong Regionally restricted euxassay_004798_12
TS23: bladder Moderate Regionally restricted euxassay_004798_12
TS23: pericardium Moderate Regionally restricted euxassay_004798_12
TS23: pharynx epithelium Strong Regionally restricted euxassay_004798_12
TS23: trachea Moderate Regionally restricted euxassay_004798_12
TS23: nasal cavity respiratory epithelium Strong Regionally restricted euxassay_004798_12
TS23: olfactory epithelium Strong Regionally restricted euxassay_004798_12
TS23: metanephros Moderate Spotted euxassay_004798_12
TS23: adrenal gland Strong Regionally restricted euxassay_004798_12
TS23: telencephalon ventricular layer Weak Regionally restricted euxassay_004798_12
TS23: diencephalon lateral wall ventricular layer Strong Regionally restricted euxassay_004798_12
TS23: midbrain ventricular layer Strong Regionally restricted euxassay_004798_12
TS23: pons ventricular layer Strong Regionally restricted euxassay_004798_12
TS23: metencephalon rest of alar plate ventricular layer Strong Regionally restricted euxassay_004798_12
TS23: medulla oblongata basal plate ventricular layer Strong Regionally restricted euxassay_004798_12
TS23: adenohypophysis Moderate Regionally restricted euxassay_004798_12
TS23: thyroid gland Moderate Regionally restricted euxassay_004798_12

Specimen euxassay_004798_13: embryonic day 14.5 (more )
Structure Level Pattern Image Note
TS23: liver Moderate Regionally restricted euxassay_004798_13
TS23: vertebral axis musculature Moderate Regionally restricted euxassay_004798_13
TS23: epidermis Strong Regionally restricted euxassay_004798_13
TS23: lung Moderate Regionally restricted euxassay_004798_13
TS23: midgut Moderate Regionally restricted euxassay_004798_13
TS23: pancreas Strong Regionally restricted euxassay_004798_13
TS23: submandibular gland primordium Strong Regionally restricted euxassay_004798_13
TS23: pericardium Moderate Regionally restricted euxassay_004798_13
TS23: nasal cavity respiratory epithelium Strong Regionally restricted euxassay_004798_13
TS23: olfactory epithelium Strong Regionally restricted euxassay_004798_13
TS23: metanephros Moderate Spotted euxassay_004798_13
TS23: adrenal gland Strong Regionally restricted euxassay_004798_13
TS23: telencephalon ventricular layer Weak Regionally restricted euxassay_004798_13
TS23: choroid invagination Weak Regionally restricted euxassay_004798_13
TS23: diencephalon lateral wall ventricular layer Strong Regionally restricted euxassay_004798_13
TS23: midbrain ventricular layer Strong Regionally restricted euxassay_004798_13
TS23: pons ventricular layer Strong Regionally restricted euxassay_004798_13
TS23: metencephalon rest of alar plate ventricular layer Strong Regionally restricted euxassay_004798_13
TS23: medulla oblongata basal plate ventricular layer Strong Regionally restricted euxassay_004798_13
TS23: adenohypophysis Moderate Regionally restricted euxassay_004798_13
TS23: inner ear Weak Regionally restricted euxassay_004798_13
TS23: thyroid gland Moderate Regionally restricted euxassay_004798_13

Specimen euxassay_004798_14: embryonic day 14.5 (more )
Structure Level Pattern Image Note
TS23: liver Moderate Regionally restricted euxassay_004798_14
TS23: vertebral axis musculature Moderate Regionally restricted euxassay_004798_14
TS23: epidermis Strong Regionally restricted euxassay_004798_14
TS23: lung Weak Regionally restricted euxassay_004798_14
TS23: midgut Moderate Regionally restricted euxassay_004798_14
TS23: submandibular gland primordium Strong Regionally restricted euxassay_004798_14
TS23: pericardium Moderate Regionally restricted euxassay_004798_14
TS23: nasal cavity respiratory epithelium Strong Regionally restricted euxassay_004798_14
TS23: olfactory epithelium Strong Regionally restricted euxassay_004798_14
TS23: metanephros Moderate Spotted euxassay_004798_14
TS23: adrenal gland Strong Regionally restricted euxassay_004798_14
TS23: telencephalon ventricular layer Weak Regionally restricted euxassay_004798_14
TS23: choroid invagination Weak Regionally restricted euxassay_004798_14
TS23: diencephalon lateral wall ventricular layer Strong Regionally restricted euxassay_004798_14
TS23: pons ventricular layer Strong Regionally restricted euxassay_004798_14
TS23: metencephalon rest of alar plate ventricular layer Strong Regionally restricted euxassay_004798_14
TS23: medulla oblongata basal plate ventricular layer Strong Regionally restricted euxassay_004798_14
TS23: inner ear Moderate Regionally restricted euxassay_004798_14

Specimen euxassay_004798_15: embryonic day 14.5 (more )
Structure Level Pattern Image Note
TS23: liver Moderate Regionally restricted euxassay_004798_15
TS23: vertebral axis musculature Moderate Regionally restricted euxassay_004798_15
TS23: epidermis Strong Regionally restricted euxassay_004798_15
TS23: lung Weak Regionally restricted euxassay_004798_15
TS23: midgut Moderate Regionally restricted euxassay_004798_15
TS23: submandibular gland primordium Strong Regionally restricted euxassay_004798_15
TS23: pericardium Moderate Regionally restricted euxassay_004798_15
TS23: olfactory epithelium Strong Regionally restricted euxassay_004798_15
TS23: metanephros Moderate Spotted euxassay_004798_15
TS23: adrenal gland Strong Regionally restricted euxassay_004798_15
TS23: telencephalon ventricular layer Weak Regionally restricted euxassay_004798_15
TS23: choroid invagination Weak Regionally restricted euxassay_004798_15
TS23: pons ventricular layer Strong Regionally restricted euxassay_004798_15
TS23: metencephalon rest of alar plate ventricular layer Strong Regionally restricted euxassay_004798_15
TS23: medulla oblongata basal plate ventricular layer Strong Regionally restricted euxassay_004798_15
TS23: inner ear Moderate Regionally restricted euxassay_004798_15
TS23: naso-lacrimal duct Strong Regionally restricted euxassay_004798_15
TS23: trigeminal ganglion Weak Regionally restricted euxassay_004798_15

Specimen euxassay_004798_16: embryonic day 14.5 (more )
Structure Level Pattern Image Note
TS23: liver Moderate Regionally restricted euxassay_004798_16
TS23: vertebral axis musculature Moderate Regionally restricted euxassay_004798_16
TS23: epidermis Strong Regionally restricted euxassay_004798_16
TS23: lung Weak Regionally restricted euxassay_004798_16
TS23: midgut Moderate Regionally restricted euxassay_004798_16
TS23: submandibular gland primordium Strong Regionally restricted euxassay_004798_16
TS23: pericardium Moderate Regionally restricted euxassay_004798_16
TS23: olfactory epithelium Strong Regionally restricted euxassay_004798_16
TS23: metanephros Moderate Spotted euxassay_004798_16
TS23: telencephalon ventricular layer Weak Regionally restricted euxassay_004798_16
TS23: choroid invagination Weak Regionally restricted euxassay_004798_16
TS23: pons ventricular layer Strong Regionally restricted euxassay_004798_16
TS23: metencephalon rest of alar plate ventricular layer Strong Regionally restricted euxassay_004798_16
TS23: medulla oblongata basal plate ventricular layer Strong Regionally restricted euxassay_004798_16
TS23: inner ear Weak Regionally restricted euxassay_004798_16
TS23: naso-lacrimal duct Moderate Regionally restricted euxassay_004798_16
TS23: trigeminal ganglion Weak Regionally restricted euxassay_004798_16

Specimen euxassay_004798_17: embryonic day 14.5 (more )
Structure Level Pattern Image Note
TS23: liver Moderate Regionally restricted euxassay_004798_17
TS23: vertebral axis musculature Strong Regionally restricted euxassay_004798_17
TS23: epidermis Strong Regionally restricted euxassay_004798_17
TS23: lung Weak Regionally restricted euxassay_004798_17
TS23: midgut Moderate Regionally restricted euxassay_004798_17
TS23: vibrissa Moderate Regionally restricted euxassay_004798_17
TS23: telencephalon ventricular layer Weak Regionally restricted euxassay_004798_17
TS23: pons ventricular layer Strong Regionally restricted euxassay_004798_17
TS23: metencephalon rest of alar plate ventricular layer Strong Regionally restricted euxassay_004798_17
TS23: inner ear Moderate Regionally restricted euxassay_004798_17
TS23: naso-lacrimal duct Moderate Regionally restricted euxassay_004798_17
TS23: trigeminal ganglion Weak Regionally restricted euxassay_004798_17

Specimen euxassay_004798_18: embryonic day 14.5 (more )
Structure Level Pattern Image Note
TS23: liver Moderate Regionally restricted euxassay_004798_18
TS23: vertebral axis musculature Moderate Regionally restricted euxassay_004798_18
TS23: epidermis Strong Regionally restricted euxassay_004798_18
TS23: lung Weak Regionally restricted euxassay_004798_18
TS23: vibrissa Moderate Regionally restricted euxassay_004798_18
TS23: telencephalon ventricular layer Weak Regionally restricted euxassay_004798_18
TS23: pons ventricular layer Strong Regionally restricted euxassay_004798_18
TS23: metencephalon rest of alar plate ventricular layer Strong Regionally restricted euxassay_004798_18
TS23: inner ear Moderate Regionally restricted euxassay_004798_18
TS23: naso-lacrimal duct Moderate Regionally restricted euxassay_004798_18
TS23: trigeminal ganglion Weak Regionally restricted euxassay_004798_18

Specimen euxassay_004798_19: embryonic day 14.5 (more )
Structure Level Pattern Image Note
TS23: liver Moderate Regionally restricted euxassay_004798_19
TS23: vertebral axis musculature Moderate Regionally restricted euxassay_004798_19
TS23: epidermis Strong Regionally restricted euxassay_004798_19
TS23: lung Weak Regionally restricted euxassay_004798_19
TS23: vibrissa Weak Regionally restricted euxassay_004798_19
TS23: inner ear Moderate Regionally restricted euxassay_004798_19
TS23: naso-lacrimal duct Moderate Regionally restricted euxassay_004798_19
TS23: trigeminal ganglion Weak Regionally restricted euxassay_004798_19

Specimen euxassay_004798_20: embryonic day 14.5 (more )
Structure Level Pattern Image Note
TS23: liver Moderate Regionally restricted euxassay_004798_20
TS23: vertebral axis musculature Moderate Regionally restricted euxassay_004798_20
TS23: epidermis Strong Regionally restricted euxassay_004798_20
TS23: lung Weak Regionally restricted euxassay_004798_20
TS23: vibrissa Weak Regionally restricted euxassay_004798_20
TS23: conjunctival sac Moderate Regionally restricted euxassay_004798_20

Specimen euxassay_004798_21: embryonic day 14.5 (more )
Structure Level Pattern Image Note
TS23: liver Moderate Regionally restricted euxassay_004798_21
TS23: vertebral axis musculature Moderate Regionally restricted euxassay_004798_21
TS23: epidermis Strong Regionally restricted euxassay_004798_21
TS23: lung Weak Regionally restricted euxassay_004798_21

Specimen euxassay_004798_22: embryonic day 14.5 (more )
Structure Level Pattern Image Note
TS23: liver Moderate Regionally restricted euxassay_004798_22
TS23: vertebral axis musculature Moderate Regionally restricted euxassay_004798_22
TS23: epidermis Strong Regionally restricted euxassay_004798_22
TS23: pharyngo-tympanic tube Moderate Regionally restricted euxassay_004798_22

Specimen euxassay_004798_23: embryonic day 14.5 (more )
Structure Level Pattern Image Note
TS23: liver Moderate Regionally restricted euxassay_004798_23
TS23: vertebral axis musculature Moderate Regionally restricted euxassay_004798_23
TS23: epidermis Strong Regionally restricted euxassay_004798_23
TS23: pharyngo-tympanic tube Moderate Regionally restricted euxassay_004798_23


Contributing Projects:
Mouse Genome Database (MGD), Gene Expression Database (GXD), Mouse Models of Human Cancer database (MMHCdb) (formerly Mouse Tumor Biology (MTB)), Gene Ontology (GO)
Citing These Resources
Funding Information
Warranty Disclaimer, Privacy Notice, Licensing, & Copyright
Send questions and comments to User Support.
last database update
01/06/2026
MGI 6.24
The Jackson Laboratory