About   Help   FAQ
Gene Expression Data
Assay Details
Assay
Reference: J:153498 Diez-Roux G, et al., A high-resolution anatomical atlas of the transcriptome in the mouse embryo. PLoS Biol. 2011;9(1):e1000582
Assay type: RNA in situ
MGI Accession ID: MGI:4825793
Gene symbol: Klhl13
Gene name: kelch-like 13
Probe: T36557
Probe preparation: Antisense labelled with digoxigenin RNA
Visualized with: Alkaline phosphatase
Assay notes: Cryosections of fresh frozen material were fixed in 4% paraformaldehyde for 20 min. before further processing. A tyramide-biotin/streptavidin amplification step was included in the in situ hybridization procedure.
Results
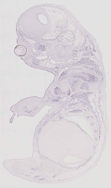
Specimen euxassay_010975_01: embryonic day 14.5 (more )
Structure Level Pattern Image Note
TS23: vertebral axis musculature Moderate Regionally restricted euxassay_010975_01
TS23: diaphragm Moderate Regionally restricted euxassay_010975_01
TS23: lower leg rest of mesenchyme Moderate Regionally restricted euxassay_010975_01
TS23: upper arm muscle Moderate Regionally restricted euxassay_010975_01
TS23: forearm rest of mesenchyme Moderate Regionally restricted euxassay_010975_01

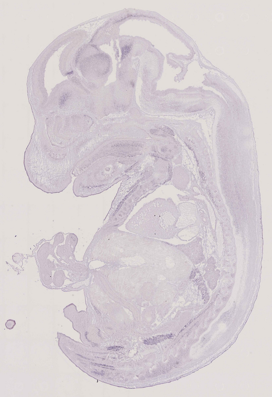
Specimen euxassay_010975_02: embryonic day 14.5 (more )
Structure Level Pattern Image Note
TS23: diaphragm Moderate Regionally restricted euxassay_010975_02
TS23: vertebral axis musculature Moderate Regionally restricted euxassay_010975_02
TS23: lower leg rest of mesenchyme Moderate Regionally restricted euxassay_010975_02
TS23: forearm rest of mesenchyme Moderate Regionally restricted euxassay_010975_02
TS23: upper arm muscle Moderate Regionally restricted euxassay_010975_02
TS23: hand Moderate Regionally restricted euxassay_010975_02

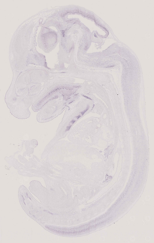
Specimen euxassay_010975_03: embryonic day 14.5 (more )
Structure Level Pattern Image Note
TS23: diaphragm Moderate Regionally restricted euxassay_010975_03
TS23: vertebral axis musculature Moderate Regionally restricted euxassay_010975_03
TS23: lower leg rest of mesenchyme Moderate Regionally restricted euxassay_010975_03
TS23: upper leg muscle Moderate Regionally restricted euxassay_010975_03
TS23: forearm rest of mesenchyme Moderate Regionally restricted euxassay_010975_03
TS23: upper arm muscle Moderate Regionally restricted euxassay_010975_03
TS23: hand Moderate Regionally restricted euxassay_010975_03

Specimen euxassay_010975_04: embryonic day 14.5 (more )
Structure Level Pattern Image Note
TS23: diaphragm Moderate Regionally restricted euxassay_010975_04
TS23: vertebral axis musculature Moderate Regionally restricted euxassay_010975_04
TS23: lower leg rest of mesenchyme Moderate Regionally restricted euxassay_010975_04
TS23: upper leg muscle Moderate Regionally restricted euxassay_010975_04
TS23: upper arm muscle Moderate Regionally restricted euxassay_010975_04
TS23: telencephalon mantle layer Moderate Regionally restricted euxassay_010975_04
TS23: pons mantle layer Moderate Regionally restricted euxassay_010975_04

Specimen euxassay_010975_05: embryonic day 14.5 (more )
Structure Level Pattern Image Note
TS23: diaphragm Moderate Regionally restricted euxassay_010975_05
TS23: vertebral axis musculature Moderate Regionally restricted euxassay_010975_05
TS23: upper leg muscle Moderate Regionally restricted euxassay_010975_05
TS23: lower leg rest of mesenchyme Moderate Regionally restricted euxassay_010975_05
TS23: upper arm muscle Moderate Regionally restricted euxassay_010975_05
TS23: telencephalon mantle layer Moderate Regionally restricted euxassay_010975_05
TS23: pons mantle layer Moderate Regionally restricted euxassay_010975_05
TS23: rest of cerebellum mantle layer Moderate Regionally restricted euxassay_010975_05

Specimen euxassay_010975_06: embryonic day 14.5 (more )
Structure Level Pattern Image Note
TS23: diaphragm Moderate Regionally restricted euxassay_010975_06
TS23: vertebral axis musculature Moderate Regionally restricted euxassay_010975_06
TS23: upper leg muscle Moderate Regionally restricted euxassay_010975_06
TS23: telencephalon mantle layer Moderate Regionally restricted euxassay_010975_06

Specimen euxassay_010975_07: embryonic day 14.5 (more )
Structure Level Pattern Image Note
TS23: diaphragm Moderate Regionally restricted euxassay_010975_07
TS23: vertebral axis musculature Moderate Regionally restricted euxassay_010975_07
TS23: upper leg muscle Moderate Regionally restricted euxassay_010975_07
TS23: foot Moderate Regionally restricted euxassay_010975_07
TS23: midbrain mantle layer Moderate Regionally restricted euxassay_010975_07
TS23: telencephalon mantle layer Moderate Regionally restricted euxassay_010975_07
TS23: rest of cerebellum mantle layer Weak Regionally restricted euxassay_010975_07
TS23: pons mantle layer Weak Regionally restricted euxassay_010975_07

Specimen euxassay_010975_08: embryonic day 14.5 (more )
Structure Level Pattern Image Note
TS23: diaphragm Moderate Regionally restricted euxassay_010975_08
TS23: vertebral axis musculature Moderate Regionally restricted euxassay_010975_08
TS23: upper leg muscle Moderate Regionally restricted euxassay_010975_08
TS23: foot Moderate Regionally restricted euxassay_010975_08
TS23: midbrain mantle layer Moderate Regionally restricted euxassay_010975_08
TS23: telencephalon mantle layer Moderate Regionally restricted euxassay_010975_08
TS23: rest of cerebellum mantle layer Weak Regionally restricted euxassay_010975_08
TS23: pons mantle layer Weak Regionally restricted euxassay_010975_08

Specimen euxassay_010975_09: embryonic day 14.5 (more )
Structure Level Pattern Image Note
TS23: diaphragm Moderate Regionally restricted euxassay_010975_09
TS23: vertebral axis musculature Moderate Regionally restricted euxassay_010975_09
TS23: upper leg muscle Moderate Regionally restricted euxassay_010975_09
TS23: foot Moderate Regionally restricted euxassay_010975_09
TS23: diencephalon lateral wall mantle layer Moderate Regionally restricted euxassay_010975_09
TS23: telencephalon mantle layer Moderate Regionally restricted euxassay_010975_09
TS23: midbrain mantle layer Moderate Regionally restricted euxassay_010975_09

Specimen euxassay_010975_10: embryonic day 14.5 (more )
Structure Level Pattern Image Note
TS23: diaphragm Moderate Regionally restricted euxassay_010975_10
TS23: vertebral axis musculature Moderate Regionally restricted euxassay_010975_10
TS23: upper leg muscle Moderate Regionally restricted euxassay_010975_10
TS23: diencephalon lateral wall mantle layer Moderate Regionally restricted euxassay_010975_10
TS23: telencephalon mantle layer Moderate Regionally restricted euxassay_010975_10
TS23: midbrain mantle layer Moderate Regionally restricted euxassay_010975_10
TS23: rest of cerebellum mantle layer Weak Regionally restricted euxassay_010975_10

Specimen euxassay_010975_11: embryonic day 14.5 (more )
Structure Level Pattern Image Note
TS23: diaphragm Moderate Regionally restricted euxassay_010975_11
TS23: vertebral axis musculature Moderate Regionally restricted euxassay_010975_11
TS23: diencephalon lateral wall mantle layer Moderate Regionally restricted euxassay_010975_11
TS23: telencephalon mantle layer Moderate Regionally restricted euxassay_010975_11
TS23: midbrain mantle layer Moderate Regionally restricted euxassay_010975_11
TS23: rest of cerebellum mantle layer Moderate Regionally restricted euxassay_010975_11
TS23: spinal cord mantle layer Weak Regionally restricted euxassay_010975_11

Specimen euxassay_010975_12: embryonic day 14.5 (more )
Structure Level Pattern Image Note
TS23: diaphragm Moderate Regionally restricted euxassay_010975_12
TS23: vertebral axis musculature Moderate Regionally restricted euxassay_010975_12
TS23: diencephalon lateral wall mantle layer Moderate Regionally restricted euxassay_010975_12
TS23: telencephalon mantle layer Moderate Regionally restricted euxassay_010975_12
TS23: midbrain mantle layer Moderate Regionally restricted euxassay_010975_12
TS23: spinal cord mantle layer Weak Regionally restricted euxassay_010975_12

Specimen euxassay_010975_13: embryonic day 14.5 (more )
Structure Level Pattern Image Note
TS23: diaphragm Moderate Regionally restricted euxassay_010975_13
TS23: vertebral axis musculature Moderate Regionally restricted euxassay_010975_13
TS23: tongue muscle Moderate Regionally restricted euxassay_010975_13
TS23: tail paraxial mesenchyme Moderate Regionally restricted euxassay_010975_13
TS23: diencephalon lateral wall mantle layer Moderate Regionally restricted euxassay_010975_13
TS23: telencephalon mantle layer Moderate Regionally restricted euxassay_010975_13
TS23: midbrain mantle layer Moderate Regionally restricted euxassay_010975_13
TS23: spinal cord mantle layer Weak Regionally restricted euxassay_010975_13

Specimen euxassay_010975_14: embryonic day 14.5 (more )
Structure Level Pattern Image Note
TS23: diaphragm Moderate Regionally restricted euxassay_010975_14
TS23: vertebral axis musculature Moderate Regionally restricted euxassay_010975_14
TS23: tongue muscle Moderate Regionally restricted euxassay_010975_14
TS23: tail paraxial mesenchyme Moderate Regionally restricted euxassay_010975_14
TS23: diencephalon lateral wall mantle layer Moderate Regionally restricted euxassay_010975_14
TS23: telencephalon mantle layer Moderate Regionally restricted euxassay_010975_14
TS23: midbrain mantle layer Moderate Regionally restricted euxassay_010975_14
TS23: medulla oblongata alar plate mantle layer Moderate Regionally restricted euxassay_010975_14
TS23: spinal cord mantle layer Weak Regionally restricted euxassay_010975_14

Specimen euxassay_010975_15: embryonic day 14.5 (more )
Structure Level Pattern Image Note
TS23: diaphragm Moderate Regionally restricted euxassay_010975_15
TS23: vertebral axis musculature Moderate Regionally restricted euxassay_010975_15
TS23: tongue muscle Moderate Regionally restricted euxassay_010975_15
TS23: tail paraxial mesenchyme Moderate Regionally restricted euxassay_010975_15
TS23: diencephalon lateral wall mantle layer Moderate Regionally restricted euxassay_010975_15
TS23: telencephalon mantle layer Moderate Regionally restricted euxassay_010975_15
TS23: midbrain mantle layer Moderate Regionally restricted euxassay_010975_15
TS23: pons mantle layer Moderate Regionally restricted euxassay_010975_15
TS23: rest of cerebellum mantle layer Moderate Regionally restricted euxassay_010975_15
TS23: spinal cord mantle layer Weak Regionally restricted euxassay_010975_15

Specimen euxassay_010975_16: embryonic day 14.5 (more )
Structure Level Pattern Image Note
TS23: diaphragm Moderate Regionally restricted euxassay_010975_16
TS23: vertebral axis musculature Moderate Regionally restricted euxassay_010975_16
TS23: tongue muscle Moderate Regionally restricted euxassay_010975_16
TS23: tail paraxial mesenchyme Moderate Regionally restricted euxassay_010975_16
TS23: diencephalon lateral wall mantle layer Moderate Regionally restricted euxassay_010975_16
TS23: telencephalon mantle layer Moderate Regionally restricted euxassay_010975_16
TS23: midbrain mantle layer Moderate Regionally restricted euxassay_010975_16
TS23: pons mantle layer Moderate Regionally restricted euxassay_010975_16
TS23: rest of cerebellum mantle layer Moderate Regionally restricted euxassay_010975_16
TS23: spinal cord mantle layer Weak Regionally restricted euxassay_010975_16

Specimen euxassay_010975_17: embryonic day 14.5 (more )
Structure Level Pattern Image Note
TS23: diaphragm Moderate Regionally restricted euxassay_010975_17
TS23: vertebral axis musculature Moderate Regionally restricted euxassay_010975_17
TS23: tongue muscle Moderate Regionally restricted euxassay_010975_17
TS23: tail paraxial mesenchyme Moderate Regionally restricted euxassay_010975_17
TS23: diencephalon lateral wall mantle layer Moderate Regionally restricted euxassay_010975_17
TS23: telencephalon mantle layer Moderate Regionally restricted euxassay_010975_17
TS23: midbrain mantle layer Moderate Regionally restricted euxassay_010975_17
TS23: pons mantle layer Moderate Regionally restricted euxassay_010975_17
TS23: rest of cerebellum mantle layer Moderate Regionally restricted euxassay_010975_17
TS23: medulla oblongata alar plate mantle layer Moderate Regionally restricted euxassay_010975_17
TS23: spinal cord mantle layer Weak Regionally restricted euxassay_010975_17

Specimen euxassay_010975_18: embryonic day 14.5 (more )
Structure Level Pattern Image Note
TS23: diaphragm Moderate Regionally restricted euxassay_010975_18
TS23: vertebral axis musculature Moderate Regionally restricted euxassay_010975_18
TS23: tongue muscle Moderate Regionally restricted euxassay_010975_18
TS23: tail paraxial mesenchyme Moderate Regionally restricted euxassay_010975_18
TS23: diencephalon lateral wall mantle layer Moderate Regionally restricted euxassay_010975_18
TS23: telencephalon mantle layer Moderate Regionally restricted euxassay_010975_18
TS23: midbrain mantle layer Moderate Regionally restricted euxassay_010975_18
TS23: pons mantle layer Weak Regionally restricted euxassay_010975_18
TS23: rest of cerebellum mantle layer Weak Regionally restricted euxassay_010975_18
TS23: spinal cord mantle layer Weak Regionally restricted euxassay_010975_18

Specimen euxassay_010975_19: embryonic day 14.5 (more )
Structure Level Pattern Image Note
TS23: diaphragm Moderate Regionally restricted euxassay_010975_19
TS23: vertebral axis musculature Moderate Regionally restricted euxassay_010975_19
TS23: tongue muscle Moderate Regionally restricted euxassay_010975_19
TS23: tail paraxial mesenchyme Moderate Regionally restricted euxassay_010975_19
TS23: diencephalon lateral wall mantle layer Moderate Regionally restricted euxassay_010975_19
TS23: telencephalon mantle layer Moderate Regionally restricted euxassay_010975_19
TS23: midbrain mantle layer Moderate Regionally restricted euxassay_010975_19
TS23: pons mantle layer Moderate Regionally restricted euxassay_010975_19
TS23: rest of cerebellum mantle layer Moderate Regionally restricted euxassay_010975_19

Specimen euxassay_010975_20: embryonic day 14.5 (more )
Structure Level Pattern Image Note
TS23: diaphragm Moderate Regionally restricted euxassay_010975_20
TS23: vertebral axis musculature Moderate Regionally restricted euxassay_010975_20
TS23: tongue muscle Weak Regionally restricted euxassay_010975_20
TS23: tail paraxial mesenchyme Moderate Regionally restricted euxassay_010975_20
TS23: telencephalon mantle layer Moderate Regionally restricted euxassay_010975_20
TS23: midbrain mantle layer Moderate Regionally restricted euxassay_010975_20
TS23: diencephalon lateral wall mantle layer Moderate Regionally restricted euxassay_010975_20
TS23: pons mantle layer Weak Regionally restricted euxassay_010975_20
TS23: rest of cerebellum mantle layer Weak Regionally restricted euxassay_010975_20

Specimen euxassay_010975_21: embryonic day 14.5 (more )
Structure Level Pattern Image Note
TS23: diaphragm Moderate Regionally restricted euxassay_010975_21
TS23: vertebral axis musculature Moderate Regionally restricted euxassay_010975_21
TS23: tongue muscle Weak Regionally restricted euxassay_010975_21
TS23: tail paraxial mesenchyme Moderate Regionally restricted euxassay_010975_21
TS23: telencephalon mantle layer Moderate Regionally restricted euxassay_010975_21
TS23: midbrain mantle layer Moderate Regionally restricted euxassay_010975_21
TS23: pons mantle layer Moderate Regionally restricted euxassay_010975_21
TS23: rest of cerebellum mantle layer Moderate Regionally restricted euxassay_010975_21

Specimen euxassay_010975_22: embryonic day 14.5 (more )
Structure Level Pattern Image Note
TS23: diaphragm Moderate Regionally restricted euxassay_010975_22
TS23: vertebral axis musculature Moderate Regionally restricted euxassay_010975_22
TS23: foot Moderate Regionally restricted euxassay_010975_22
TS23: upper leg muscle Moderate Regionally restricted euxassay_010975_22
TS23: tail paraxial mesenchyme Moderate Regionally restricted euxassay_010975_22
TS23: telencephalon mantle layer Moderate Regionally restricted euxassay_010975_22
TS23: rest of cerebellum mantle layer Moderate Regionally restricted euxassay_010975_22
TS23: pons mantle layer Moderate Regionally restricted euxassay_010975_22

Specimen euxassay_010975_23: embryonic day 14.5 (more )
Structure Level Pattern Image Note
TS23: diaphragm Moderate Regionally restricted euxassay_010975_23
TS23: vertebral axis musculature Moderate Regionally restricted euxassay_010975_23
TS23: upper leg muscle Moderate Regionally restricted euxassay_010975_23
TS23: foot Moderate Regionally restricted euxassay_010975_23
TS23: tail paraxial mesenchyme Moderate Regionally restricted euxassay_010975_23
TS23: telencephalon mantle layer Moderate Regionally restricted euxassay_010975_23

Specimen euxassay_010975_24: embryonic day 14.5 (more )
Structure Level Pattern Image Note
TS23: diaphragm Moderate Regionally restricted euxassay_010975_24
TS23: vertebral axis musculature Moderate Regionally restricted euxassay_010975_24
TS23: foot Moderate Regionally restricted euxassay_010975_24
TS23: upper leg muscle Moderate Regionally restricted euxassay_010975_24
TS23: upper arm muscle Moderate Regionally restricted euxassay_010975_24
TS23: tail paraxial mesenchyme Moderate Regionally restricted euxassay_010975_24
TS23: telencephalon mantle layer Moderate Regionally restricted euxassay_010975_24


Contributing Projects:
Mouse Genome Database (MGD), Gene Expression Database (GXD), Mouse Models of Human Cancer database (MMHCdb) (formerly Mouse Tumor Biology (MTB)), Gene Ontology (GO)
Citing These Resources
Funding Information
Warranty Disclaimer, Privacy Notice, Licensing, & Copyright
Send questions and comments to User Support.
last database update
01/28/2026
MGI 6.24
The Jackson Laboratory