About   Help   FAQ
Gene Expression Data
Assay Details
Assay
Reference: J:153498 Diez-Roux G, et al., A high-resolution anatomical atlas of the transcriptome in the mouse embryo. PLoS Biol. 2011;9(1):e1000582
Assay type: RNA in situ
MGI Accession ID: MGI:4825769
Gene symbol: Kif5c
Gene name: kinesin family member 5C
Probe: T63400
Probe preparation: Antisense labelled with digoxigenin RNA
Visualized with: Alkaline phosphatase
Assay notes: Cryosections of fresh frozen material were fixed in 4% paraformaldehyde for 20 min. before further processing. A tyramide-biotin/streptavidin amplification step was included in the in situ hybridization procedure.
Results
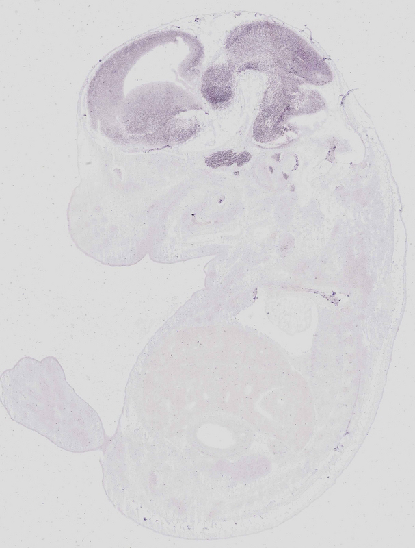
Specimen euxassay_015929_01: embryonic day 14.5 (more )
Structure Level Pattern Image Note
TS23: neural retina Strong Regionally restricted euxassay_015929_01
TS23: telencephalon Moderate Regionally restricted euxassay_015929_01

Specimen euxassay_015929_02: embryonic day 14.5 (more )
Structure Level Pattern Image Note
TS23: neural retina Strong Regionally restricted euxassay_015929_02
TS23: telencephalon Moderate Regionally restricted euxassay_015929_02

Specimen euxassay_015929_03: embryonic day 14.5 (more )
Structure Level Pattern Image Note
TS23: neural retina Moderate Regionally restricted euxassay_015929_03
TS23: trigeminal ganglion Strong Regionally restricted euxassay_015929_03
TS23: hindbrain Moderate Regionally restricted euxassay_015929_03
TS23: telencephalon Moderate Regionally restricted euxassay_015929_03

Specimen euxassay_015929_04: embryonic day 14.5 (more )
Structure Level Pattern Image Note
TS23: trigeminal ganglion Strong Regionally restricted euxassay_015929_04
TS23: facial ganglion Strong Regionally restricted euxassay_015929_04
TS23: hindbrain Moderate Regionally restricted euxassay_015929_04
TS23: telencephalon Moderate Regionally restricted euxassay_015929_04
TS23: midbrain Moderate Regionally restricted euxassay_015929_04

Specimen euxassay_015929_05: embryonic day 14.5 (more )
Structure Level Pattern Image Note
TS23: trigeminal ganglion Moderate Regionally restricted euxassay_015929_05
TS23: facial ganglion Moderate Regionally restricted euxassay_015929_05
TS23: midbrain Moderate Regionally restricted euxassay_015929_05
TS23: telencephalon Moderate Regionally restricted euxassay_015929_05
TS23: hindbrain Moderate Regionally restricted euxassay_015929_05

Specimen euxassay_015929_06: embryonic day 14.5 (more )
Structure Level Pattern Image Note
TS23: trigeminal ganglion Strong Regionally restricted euxassay_015929_06
TS23: vestibulo-cochlear ganglion Weak Regionally restricted euxassay_015929_06
TS23: midbrain Moderate Regionally restricted euxassay_015929_06
TS23: hindbrain Moderate Regionally restricted euxassay_015929_06
TS23: telencephalon Moderate Regionally restricted euxassay_015929_06
TS23: diencephalon Moderate Regionally restricted euxassay_015929_06

Specimen euxassay_015929_07: embryonic day 14.5 (more )
Structure Level Pattern Image Note
TS23: vestibulo-cochlear ganglion Weak Regionally restricted euxassay_015929_07
TS23: glossopharyngeal ganglion Weak Regionally restricted euxassay_015929_07
TS23: trigeminal ganglion Moderate Regionally restricted euxassay_015929_07
TS23: midbrain Moderate Regionally restricted euxassay_015929_07
TS23: hindbrain Moderate Regionally restricted euxassay_015929_07
TS23: telencephalon Moderate Regionally restricted euxassay_015929_07
TS23: diencephalon Moderate Regionally restricted euxassay_015929_07

Specimen euxassay_015929_08: embryonic day 14.5 (more )
Structure Level Pattern Image Note
TS23: glossopharyngeal ganglion Weak Regionally restricted euxassay_015929_08
TS23: vestibulo-cochlear ganglion Weak Regionally restricted euxassay_015929_08
TS23: trigeminal ganglion Strong Regionally restricted euxassay_015929_08
TS23: olfactory epithelium Strong Regionally restricted euxassay_015929_08
TS23: midbrain Moderate Regionally restricted euxassay_015929_08
TS23: hindbrain Moderate Regionally restricted euxassay_015929_08
TS23: telencephalon Moderate Regionally restricted euxassay_015929_08
TS23: diencephalon Moderate Regionally restricted euxassay_015929_08

Specimen euxassay_015929_09: embryonic day 14.5 (more )
Structure Level Pattern Image Note
TS23: trigeminal nerve Strong Regionally restricted euxassay_015929_09
TS23: trigeminal ganglion Strong Regionally restricted euxassay_015929_09
TS23: dorsal root ganglion Moderate Regionally restricted euxassay_015929_09
TS23: olfactory epithelium Strong Regionally restricted euxassay_015929_09
TS23: cervical ganglion Weak Regionally restricted euxassay_015929_09
TS23: midbrain Moderate Regionally restricted euxassay_015929_09
TS23: hindbrain Moderate Regionally restricted euxassay_015929_09
TS23: telencephalon Moderate Regionally restricted euxassay_015929_09
TS23: diencephalon Moderate Regionally restricted euxassay_015929_09

Specimen euxassay_015929_10: embryonic day 14.5 (more )
Structure Level Pattern Image Note
TS23: dorsal root ganglion Moderate Regionally restricted euxassay_015929_10
TS23: olfactory epithelium Moderate Regionally restricted euxassay_015929_10
TS23: spinal cord Moderate Regionally restricted euxassay_015929_10
TS23: hindbrain Moderate Regionally restricted euxassay_015929_10
TS23: midbrain Moderate Regionally restricted euxassay_015929_10
TS23: telencephalon Moderate Regionally restricted euxassay_015929_10
TS23: diencephalon Moderate Regionally restricted euxassay_015929_10

Specimen euxassay_015929_11: embryonic day 14.5 (more )
Structure Level Pattern Image Note
TS23: dorsal root ganglion Moderate Regionally restricted euxassay_015929_11
TS23: olfactory epithelium Moderate Regionally restricted euxassay_015929_11
TS23: spinal cord Moderate Regionally restricted euxassay_015929_11
TS23: midbrain Moderate Regionally restricted euxassay_015929_11
TS23: hindbrain Moderate Regionally restricted euxassay_015929_11
TS23: telencephalon Moderate Regionally restricted euxassay_015929_11
TS23: diencephalon Moderate Regionally restricted euxassay_015929_11

Specimen euxassay_015929_12: embryonic day 14.5 (more )
Structure Level Pattern Image Note
TS23: dorsal root ganglion Moderate Regionally restricted euxassay_015929_12
TS23: olfactory epithelium Strong Regionally restricted euxassay_015929_12
TS23: vomeronasal organ Weak Regionally restricted euxassay_015929_12
TS23: spinal cord Moderate Regionally restricted euxassay_015929_12
TS23: midbrain Moderate Regionally restricted euxassay_015929_12
TS23: hindbrain Moderate Regionally restricted euxassay_015929_12
TS23: telencephalon Moderate Regionally restricted euxassay_015929_12
TS23: diencephalon Moderate Regionally restricted euxassay_015929_12

Specimen euxassay_015929_13: embryonic day 14.5 (more )
Structure Level Pattern Image Note
TS23: olfactory epithelium Strong Regionally restricted euxassay_015929_13
TS23: midbrain Moderate Regionally restricted euxassay_015929_13
TS23: hindbrain Moderate Regionally restricted euxassay_015929_13
TS23: telencephalon Moderate Regionally restricted euxassay_015929_13
TS23: diencephalon Moderate Regionally restricted euxassay_015929_13
TS23: spinal cord Moderate Regionally restricted euxassay_015929_13

Specimen euxassay_015929_14: embryonic day 14.5 (more )
Structure Level Pattern Image Note
TS23: dorsal root ganglion Moderate Regionally restricted euxassay_015929_14
TS23: olfactory epithelium Strong Regionally restricted euxassay_015929_14
TS23: vomeronasal organ Moderate Regionally restricted euxassay_015929_14
TS23: midbrain Moderate Regionally restricted euxassay_015929_14
TS23: hindbrain Moderate Regionally restricted euxassay_015929_14
TS23: telencephalon Moderate Regionally restricted euxassay_015929_14
TS23: diencephalon Moderate Regionally restricted euxassay_015929_14
TS23: spinal cord Moderate Regionally restricted euxassay_015929_14

Specimen euxassay_015929_15: embryonic day 14.5 (more )
Structure Level Pattern Image Note
TS23: dorsal root ganglion Moderate Regionally restricted euxassay_015929_15
TS23: olfactory epithelium Moderate Regionally restricted euxassay_015929_15
TS23: midbrain Moderate Regionally restricted euxassay_015929_15
TS23: hindbrain Moderate Regionally restricted euxassay_015929_15
TS23: telencephalon Moderate Regionally restricted euxassay_015929_15
TS23: diencephalon Moderate Regionally restricted euxassay_015929_15

Specimen euxassay_015929_16: embryonic day 14.5 (more )
Structure Level Pattern Image Note
TS23: trigeminal nerve Strong Regionally restricted euxassay_015929_16
TS23: trigeminal ganglion Strong Regionally restricted euxassay_015929_16
TS23: dorsal root ganglion Moderate Regionally restricted euxassay_015929_16
TS23: olfactory epithelium Strong Regionally restricted euxassay_015929_16
TS23: cervico-thoracic ganglion Weak Regionally restricted euxassay_015929_16
TS23: midbrain Moderate Regionally restricted euxassay_015929_16
TS23: hindbrain Moderate Regionally restricted euxassay_015929_16
TS23: telencephalon Moderate Regionally restricted euxassay_015929_16
TS23: diencephalon Moderate Regionally restricted euxassay_015929_16

Specimen euxassay_015929_17: embryonic day 14.5 (more )
Structure Level Pattern Image Note
TS23: vestibulo-cochlear ganglion Weak Regionally restricted euxassay_015929_17
TS23: glossopharyngeal ganglion Weak Regionally restricted euxassay_015929_17
TS23: trigeminal ganglion Strong Regionally restricted euxassay_015929_17
TS23: midbrain Moderate Regionally restricted euxassay_015929_17
TS23: hindbrain Moderate Regionally restricted euxassay_015929_17
TS23: telencephalon Moderate Regionally restricted euxassay_015929_17
TS23: diencephalon Moderate Regionally restricted euxassay_015929_17

Specimen euxassay_015929_18: embryonic day 14.5 (more )
Structure Level Pattern Image Note
TS23: trigeminal ganglion Moderate Regionally restricted euxassay_015929_18
TS23: vestibulo-cochlear ganglion Weak Regionally restricted euxassay_015929_18
TS23: glossopharyngeal ganglion Weak Regionally restricted euxassay_015929_18
TS23: hindbrain Moderate Regionally restricted euxassay_015929_18
TS23: telencephalon Moderate Regionally restricted euxassay_015929_18
TS23: midbrain Moderate Regionally restricted euxassay_015929_18

Specimen euxassay_015929_19: embryonic day 14.5 (more )
Structure Level Pattern Image Note
TS23: trigeminal ganglion Strong Regionally restricted euxassay_015929_19
TS23: facial ganglion Strong Regionally restricted euxassay_015929_19
TS23: vestibulo-cochlear ganglion Moderate Regionally restricted euxassay_015929_19
TS23: hindbrain Moderate Regionally restricted euxassay_015929_19
TS23: telencephalon Moderate Regionally restricted euxassay_015929_19

Specimen euxassay_015929_20: embryonic day 14.5 (more )
Structure Level Pattern Image Note
TS23: trigeminal ganglion Strong Regionally restricted euxassay_015929_20
TS23: facial ganglion Strong Regionally restricted euxassay_015929_20
TS23: telencephalon Moderate Regionally restricted euxassay_015929_20
TS23: hindbrain Moderate Regionally restricted euxassay_015929_20

Specimen euxassay_015929_21: embryonic day 14.5 (more )
Structure Level Pattern Image Note
TS23: trigeminal ganglion Strong Regionally restricted euxassay_015929_21
TS23: facial ganglion Strong Regionally restricted euxassay_015929_21
TS23: telencephalon Moderate Regionally restricted euxassay_015929_21

Specimen euxassay_015929_22: embryonic day 14.5 (more )
Structure Level Pattern Image Note
TS23: trigeminal ganglion Moderate Regionally restricted euxassay_015929_22
TS23: telencephalon Moderate Regionally restricted euxassay_015929_22

Specimen euxassay_015929_23: embryonic day 14.5 (more )
Structure Level Pattern Image Note
TS23: neural retina Strong Regionally restricted euxassay_015929_23
TS23: telencephalon Moderate Regionally restricted euxassay_015929_23


Contributing Projects:
Mouse Genome Database (MGD), Gene Expression Database (GXD), Mouse Models of Human Cancer database (MMHCdb) (formerly Mouse Tumor Biology (MTB)), Gene Ontology (GO)
Citing These Resources
Funding Information
Warranty Disclaimer, Privacy Notice, Licensing, & Copyright
Send questions and comments to User Support.
last database update
01/20/2026
MGI 6.24
The Jackson Laboratory