About   Help   FAQ
Gene Expression Data
Assay Details
Assay
Reference: J:153498 Diez-Roux G, et al., A high-resolution anatomical atlas of the transcriptome in the mouse embryo. PLoS Biol. 2011;9(1):e1000582
Assay type: RNA in situ
MGI Accession ID: MGI:4825763
Gene symbol: Kif2c
Gene name: kinesin family member 2C
Probe: MGC clone 11883
Probe preparation: Antisense labelled with digoxigenin RNA
Visualized with: Alkaline phosphatase
Assay notes: Cryosections of fresh frozen material were fixed in 4% paraformaldehyde for 20 min. before further processing. A tyramide-biotin/streptavidin amplification step was included in the in situ hybridization procedure.
Results
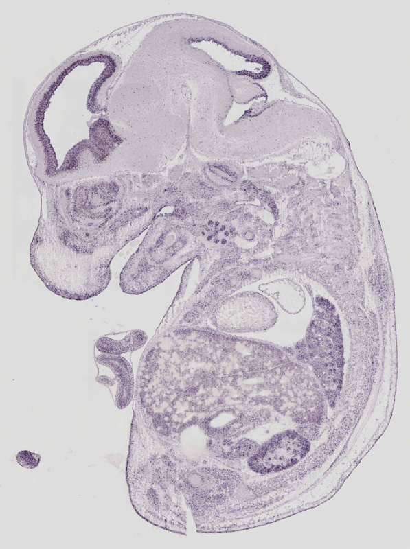
Specimen euxassay_003601_01: embryonic day 14.5 (more )
Structure Level Pattern Image Note
TS23: vertebral axis musculature Moderate Regionally restricted euxassay_003601_01
TS23: liver Moderate Regionally restricted euxassay_003601_01
TS23: retina Moderate Regionally restricted euxassay_003601_01
TS23: pharyngo-tympanic tube Moderate Regionally restricted euxassay_003601_01
TS23: telencephalon ventricular layer Moderate Regionally restricted euxassay_003601_01
TS23: forebrain Moderate Single cells euxassay_003601_01

Specimen euxassay_003601_02: embryonic day 14.5 (more )
Structure Level Pattern Image Note
TS23: vertebral axis musculature Moderate Regionally restricted euxassay_003601_02
TS23: liver Moderate Regionally restricted euxassay_003601_02
TS23: retina Moderate Regionally restricted euxassay_003601_02
TS23: pharyngo-tympanic tube Moderate Regionally restricted euxassay_003601_02
TS23: telencephalon ventricular layer Moderate Regionally restricted euxassay_003601_02
TS23: forebrain Moderate Single cells euxassay_003601_02

Specimen euxassay_003601_03: embryonic day 14.5 (more )
Structure Level Pattern Image Note
TS23: vertebral axis musculature Moderate Regionally restricted euxassay_003601_03
TS23: liver Moderate Regionally restricted euxassay_003601_03
TS23: retina Moderate Regionally restricted euxassay_003601_03
TS23: limb Moderate Regionally restricted euxassay_003601_03
TS23: pharyngo-tympanic tube Moderate Regionally restricted euxassay_003601_03
TS23: orbito-sphenoid Moderate Regionally restricted euxassay_003601_03
TS23: telencephalon ventricular layer Moderate Regionally restricted euxassay_003601_03
TS23: forebrain Moderate Single cells euxassay_003601_03
TS23: 4th ventricle Moderate Regionally restricted euxassay_003601_03

Specimen euxassay_003601_04: embryonic day 14.5 (more )
Structure Level Pattern Image Note
TS23: vertebral axis musculature Moderate Regionally restricted euxassay_003601_04
TS23: liver Moderate Regionally restricted euxassay_003601_04
TS23: retina Moderate Regionally restricted euxassay_003601_04
TS23: vibrissa Strong Regionally restricted euxassay_003601_04
TS23: limb Moderate Regionally restricted euxassay_003601_04
TS23: orbito-sphenoid Moderate Regionally restricted euxassay_003601_04
TS23: telencephalon ventricular layer Moderate Regionally restricted euxassay_003601_04
TS23: forebrain Moderate Single cells euxassay_003601_04
TS23: 4th ventricle Moderate Regionally restricted euxassay_003601_04
TS23: hindbrain Moderate Single cells euxassay_003601_04

Specimen euxassay_003601_05: embryonic day 14.5 (more )
Structure Level Pattern Image Note
TS23: vertebral axis musculature Moderate Regionally restricted euxassay_003601_05
TS23: lung Moderate Regionally restricted euxassay_003601_05
TS23: liver Moderate Regionally restricted euxassay_003601_05
TS23: vibrissa Strong Regionally restricted euxassay_003601_05
TS23: limb Moderate Regionally restricted euxassay_003601_05
TS23: orbito-sphenoid Moderate Regionally restricted euxassay_003601_05
TS23: telencephalon ventricular layer Moderate Regionally restricted euxassay_003601_05
TS23: forebrain Moderate Single cells euxassay_003601_05
TS23: 4th ventricle Moderate Regionally restricted euxassay_003601_05
TS23: hindbrain Moderate Single cells euxassay_003601_05

Specimen euxassay_003601_06: embryonic day 14.5 (more )
Structure Level Pattern Image Note
TS23: vertebral axis musculature Moderate Regionally restricted euxassay_003601_06
TS23: lung Moderate Regionally restricted euxassay_003601_06
TS23: liver Moderate Regionally restricted euxassay_003601_06
TS23: vibrissa Strong Regionally restricted euxassay_003601_06
TS23: hindlimb Moderate Regionally restricted euxassay_003601_06
TS23: orbito-sphenoid Moderate Regionally restricted euxassay_003601_06
TS23: telencephalon ventricular layer Moderate Regionally restricted euxassay_003601_06
TS23: forebrain Moderate Single cells euxassay_003601_06
TS23: midbrain Moderate Single cells euxassay_003601_06
TS23: 4th ventricle Moderate Regionally restricted euxassay_003601_06
TS23: hindbrain Moderate Single cells euxassay_003601_06

Specimen euxassay_003601_07: embryonic day 14.5 (more )
Structure Level Pattern Image Note
TS23: vertebral axis musculature Moderate Regionally restricted euxassay_003601_07
TS23: lung Moderate Regionally restricted euxassay_003601_07
TS23: liver Moderate Regionally restricted euxassay_003601_07
TS23: vibrissa Strong Regionally restricted euxassay_003601_07
TS23: hindlimb Moderate Regionally restricted euxassay_003601_07
TS23: upper jaw molar Moderate Regionally restricted euxassay_003601_07
TS23: lower jaw molar Moderate Regionally restricted euxassay_003601_07
TS23: telencephalon ventricular layer Moderate Regionally restricted euxassay_003601_07
TS23: forebrain Moderate Single cells euxassay_003601_07
TS23: midbrain Moderate Single cells euxassay_003601_07
TS23: 4th ventricle Moderate Regionally restricted euxassay_003601_07
TS23: hindbrain Moderate Single cells euxassay_003601_07

Specimen euxassay_003601_08: embryonic day 14.5 (more )
Structure Level Pattern Image Note
TS23: vertebral axis musculature Moderate Regionally restricted euxassay_003601_08
TS23: lung Moderate Regionally restricted euxassay_003601_08
TS23: liver Moderate Regionally restricted euxassay_003601_08
TS23: vibrissa Strong Regionally restricted euxassay_003601_08
TS23: hindlimb Moderate Regionally restricted euxassay_003601_08
TS23: upper jaw molar Moderate Regionally restricted euxassay_003601_08
TS23: lower jaw molar Moderate Regionally restricted euxassay_003601_08
TS23: submandibular gland primordium Strong Regionally restricted euxassay_003601_08
TS23: testis Moderate Regionally restricted euxassay_003601_08
TS23: olfactory epithelium Moderate Regionally restricted euxassay_003601_08
TS23: telencephalon ventricular layer Moderate Regionally restricted euxassay_003601_08
TS23: forebrain Moderate Single cells euxassay_003601_08
TS23: midbrain Moderate Single cells euxassay_003601_08
TS23: midbrain ventricular layer Moderate Regionally restricted euxassay_003601_08
TS23: 4th ventricle Moderate Regionally restricted euxassay_003601_08
TS23: hindbrain Moderate Single cells euxassay_003601_08

Specimen euxassay_003601_09: embryonic day 14.5 (more )
Structure Level Pattern Image Note
TS23: vertebral axis musculature Moderate Regionally restricted euxassay_003601_09
TS23: lung Moderate Regionally restricted euxassay_003601_09
TS23: liver Moderate Regionally restricted euxassay_003601_09
TS23: hindlimb Moderate Regionally restricted euxassay_003601_09
TS23: submandibular gland primordium Strong Regionally restricted euxassay_003601_09
TS23: testis Moderate Regionally restricted euxassay_003601_09
TS23: metanephros Moderate Regionally restricted euxassay_003601_09
TS23: midgut Moderate Regionally restricted euxassay_003601_09
TS23: olfactory epithelium Moderate Regionally restricted euxassay_003601_09
TS23: telencephalon ventricular layer Moderate Regionally restricted euxassay_003601_09
TS23: forebrain Moderate Single cells euxassay_003601_09
TS23: midbrain Moderate Single cells euxassay_003601_09
TS23: midbrain ventricular layer Moderate Regionally restricted euxassay_003601_09
TS23: 4th ventricle Moderate Regionally restricted euxassay_003601_09
TS23: hindbrain Moderate Single cells euxassay_003601_09

Specimen euxassay_003601_10: embryonic day 14.5 (more )
Structure Level Pattern Image Note
TS23: vertebral axis musculature Moderate Regionally restricted euxassay_003601_10
TS23: lung Moderate Regionally restricted euxassay_003601_10
TS23: liver Moderate Regionally restricted euxassay_003601_10
TS23: submandibular gland primordium Strong Regionally restricted euxassay_003601_10
TS23: testis Moderate Regionally restricted euxassay_003601_10
TS23: metanephros Moderate Regionally restricted euxassay_003601_10
TS23: midgut Moderate Regionally restricted euxassay_003601_10
TS23: pancreas Moderate Regionally restricted euxassay_003601_10
TS23: olfactory epithelium Moderate Regionally restricted euxassay_003601_10
TS23: telencephalon ventricular layer Moderate Regionally restricted euxassay_003601_10
TS23: forebrain Moderate Single cells euxassay_003601_10
TS23: diencephalon lateral wall ventricular layer Moderate Regionally restricted euxassay_003601_10
TS23: midbrain Moderate Single cells euxassay_003601_10
TS23: midbrain ventricular layer Moderate Regionally restricted euxassay_003601_10
TS23: 4th ventricle Moderate Regionally restricted euxassay_003601_10
TS23: hindbrain Moderate Single cells euxassay_003601_10

Specimen euxassay_003601_11: embryonic day 14.5 (more )
Structure Level Pattern Image Note
TS23: vertebral axis musculature Moderate Regionally restricted euxassay_003601_11
TS23: lung Moderate Regionally restricted euxassay_003601_11
TS23: liver Moderate Regionally restricted euxassay_003601_11
TS23: submandibular gland primordium Moderate Regionally restricted euxassay_003601_11
TS23: metanephros Moderate Regionally restricted euxassay_003601_11
TS23: midgut Moderate Regionally restricted euxassay_003601_11
TS23: pancreas Moderate Regionally restricted euxassay_003601_11
TS23: olfactory epithelium Moderate Regionally restricted euxassay_003601_11
TS23: tongue Moderate Regionally restricted euxassay_003601_11
TS23: telencephalon ventricular layer Moderate Regionally restricted euxassay_003601_11
TS23: forebrain Moderate Single cells euxassay_003601_11
TS23: diencephalon lateral wall ventricular layer Moderate Regionally restricted euxassay_003601_11
TS23: midbrain Moderate Single cells euxassay_003601_11
TS23: midbrain ventricular layer Moderate Regionally restricted euxassay_003601_11
TS23: 4th ventricle Moderate Regionally restricted euxassay_003601_11
TS23: spinal cord Moderate Single cells euxassay_003601_11
TS23: hindbrain Moderate Single cells euxassay_003601_11

Specimen euxassay_003601_12: embryonic day 14.5 (more )
Structure Level Pattern Image Note
TS23: vertebral axis musculature Moderate Regionally restricted euxassay_003601_12
TS23: lung Moderate Regionally restricted euxassay_003601_12
TS23: liver Moderate Regionally restricted euxassay_003601_12
TS23: upper jaw incisor Strong Regionally restricted euxassay_003601_12
TS23: lower jaw incisor Strong Regionally restricted euxassay_003601_12
TS23: metanephros Moderate Regionally restricted euxassay_003601_12
TS23: midgut Moderate Regionally restricted euxassay_003601_12
TS23: glans of male genital tubercle Moderate Regionally restricted euxassay_003601_12
TS23: pancreas Moderate Regionally restricted euxassay_003601_12
TS23: olfactory epithelium Moderate Regionally restricted euxassay_003601_12
TS23: nasal cavity respiratory epithelium Moderate Regionally restricted euxassay_003601_12
TS23: tongue Moderate Regionally restricted euxassay_003601_12
TS23: telencephalon ventricular layer Moderate Regionally restricted euxassay_003601_12
TS23: forebrain Moderate Single cells euxassay_003601_12
TS23: diencephalon lateral wall ventricular layer Moderate Regionally restricted euxassay_003601_12
TS23: midbrain Moderate Single cells euxassay_003601_12
TS23: midbrain ventricular layer Moderate Regionally restricted euxassay_003601_12
TS23: 4th ventricle Moderate Regionally restricted euxassay_003601_12
TS23: hindbrain Moderate Single cells euxassay_003601_12
TS23: spinal cord Moderate Single cells euxassay_003601_12

Specimen euxassay_003601_13: embryonic day 14.5 (more )
Structure Level Pattern Image Note
TS23: vertebral axis musculature Moderate Regionally restricted euxassay_003601_13
TS23: lung Moderate Regionally restricted euxassay_003601_13
TS23: liver Moderate Regionally restricted euxassay_003601_13
TS23: upper jaw incisor Strong Regionally restricted euxassay_003601_13
TS23: lower jaw incisor Strong Regionally restricted euxassay_003601_13
TS23: metanephros Moderate Regionally restricted euxassay_003601_13
TS23: thymus primordium Moderate Regionally restricted euxassay_003601_13
TS23: thyroid gland Moderate Regionally restricted euxassay_003601_13
TS23: bladder Moderate Regionally restricted euxassay_003601_13
TS23: midgut Moderate Regionally restricted euxassay_003601_13
TS23: glans of male genital tubercle Moderate Regionally restricted euxassay_003601_13
TS23: nasal cavity respiratory epithelium Moderate Regionally restricted euxassay_003601_13
TS23: olfactory epithelium Moderate Regionally restricted euxassay_003601_13
TS23: tongue Moderate Regionally restricted euxassay_003601_13
TS23: telencephalon ventricular layer Moderate Regionally restricted euxassay_003601_13
TS23: forebrain Moderate Single cells euxassay_003601_13
TS23: diencephalon lateral wall ventricular layer Moderate Regionally restricted euxassay_003601_13
TS23: midbrain Moderate Single cells euxassay_003601_13
TS23: midbrain ventricular layer Moderate Regionally restricted euxassay_003601_13
TS23: 4th ventricle Moderate Regionally restricted euxassay_003601_13
TS23: spinal cord Moderate Single cells euxassay_003601_13
TS23: hindbrain Moderate Single cells euxassay_003601_13

Specimen euxassay_003601_14: embryonic day 14.5 (more )
Structure Level Pattern Image Note
TS23: vertebral axis musculature Moderate Regionally restricted euxassay_003601_14
TS23: lung Moderate Regionally restricted euxassay_003601_14
TS23: liver Moderate Regionally restricted euxassay_003601_14
TS23: upper jaw incisor Moderate Regionally restricted euxassay_003601_14
TS23: lower jaw incisor Moderate Regionally restricted euxassay_003601_14
TS23: thymus primordium Moderate Regionally restricted euxassay_003601_14
TS23: bladder Moderate Regionally restricted euxassay_003601_14
TS23: midgut Moderate Regionally restricted euxassay_003601_14
TS23: glans of male genital tubercle Moderate Regionally restricted euxassay_003601_14
TS23: nasal cavity respiratory epithelium Moderate Regionally restricted euxassay_003601_14
TS23: tongue Moderate Regionally restricted euxassay_003601_14
TS23: telencephalon ventricular layer Moderate Regionally restricted euxassay_003601_14
TS23: forebrain Moderate Single cells euxassay_003601_14
TS23: diencephalon lateral wall ventricular layer Moderate Regionally restricted euxassay_003601_14
TS23: midbrain Moderate Single cells euxassay_003601_14
TS23: midbrain ventricular layer Moderate Regionally restricted euxassay_003601_14
TS23: 4th ventricle Moderate Regionally restricted euxassay_003601_14
TS23: spinal cord Moderate Single cells euxassay_003601_14
TS23: hindbrain Moderate Single cells euxassay_003601_14

Specimen euxassay_003601_15: embryonic day 14.5 (more )
Structure Level Pattern Image Note
TS23: vertebral axis musculature Moderate Regionally restricted euxassay_003601_15
TS23: liver Moderate Regionally restricted euxassay_003601_15
TS23: thymus primordium Moderate Regionally restricted euxassay_003601_15
TS23: bladder Moderate Regionally restricted euxassay_003601_15
TS23: esophagus Moderate Regionally restricted euxassay_003601_15
TS23: midgut Moderate Regionally restricted euxassay_003601_15
TS23: glans of male genital tubercle Moderate Regionally restricted euxassay_003601_15
TS23: nasal cavity respiratory epithelium Moderate Regionally restricted euxassay_003601_15
TS23: olfactory epithelium Moderate Regionally restricted euxassay_003601_15
TS23: tongue Moderate Regionally restricted euxassay_003601_15
TS23: telencephalon ventricular layer Moderate Regionally restricted euxassay_003601_15
TS23: forebrain Moderate Single cells euxassay_003601_15
TS23: diencephalon lateral wall ventricular layer Moderate Regionally restricted euxassay_003601_15
TS23: midbrain Moderate Single cells euxassay_003601_15
TS23: midbrain ventricular layer Moderate Regionally restricted euxassay_003601_15
TS23: spinal cord Moderate Single cells euxassay_003601_15
TS23: hindbrain Moderate Single cells euxassay_003601_15

Specimen euxassay_003601_16: embryonic day 14.5 (more )
Structure Level Pattern Image Note
TS23: vertebral axis musculature Moderate Regionally restricted euxassay_003601_16
TS23: lung Moderate Regionally restricted euxassay_003601_16
TS23: liver Moderate Regionally restricted euxassay_003601_16
TS23: upper jaw incisor Moderate Regionally restricted euxassay_003601_16
TS23: lower jaw incisor Moderate Regionally restricted euxassay_003601_16
TS23: thymus primordium Moderate Regionally restricted euxassay_003601_16
TS23: bladder Moderate Regionally restricted euxassay_003601_16
TS23: midgut Moderate Regionally restricted euxassay_003601_16
TS23: glans of male genital tubercle Moderate Regionally restricted euxassay_003601_16
TS23: nasal cavity respiratory epithelium Moderate Regionally restricted euxassay_003601_16
TS23: olfactory epithelium Moderate Regionally restricted euxassay_003601_16
TS23: tongue Moderate Regionally restricted euxassay_003601_16
TS23: telencephalon ventricular layer Moderate Regionally restricted euxassay_003601_16
TS23: forebrain Moderate Single cells euxassay_003601_16
TS23: midbrain Moderate Single cells euxassay_003601_16
TS23: midbrain ventricular layer Moderate Regionally restricted euxassay_003601_16
TS23: 4th ventricle Moderate Regionally restricted euxassay_003601_16
TS23: spinal cord Moderate Single cells euxassay_003601_16
TS23: hindbrain Moderate Single cells euxassay_003601_16

Specimen euxassay_003601_17: embryonic day 14.5 (more )
Structure Level Pattern Image Note
TS23: vertebral axis musculature Moderate Regionally restricted euxassay_003601_17
TS23: lung Moderate Regionally restricted euxassay_003601_17
TS23: liver Moderate Regionally restricted euxassay_003601_17
TS23: upper jaw incisor Strong Regionally restricted euxassay_003601_17
TS23: lower jaw incisor Strong Regionally restricted euxassay_003601_17
TS23: thymus primordium Strong Regionally restricted euxassay_003601_17
TS23: thyroid gland Moderate Regionally restricted euxassay_003601_17
TS23: bladder Moderate Regionally restricted euxassay_003601_17
TS23: midgut Moderate Regionally restricted euxassay_003601_17
TS23: glans of male genital tubercle Moderate Regionally restricted euxassay_003601_17
TS23: nasal cavity respiratory epithelium Moderate Regionally restricted euxassay_003601_17
TS23: olfactory epithelium Moderate Regionally restricted euxassay_003601_17
TS23: tongue Moderate Regionally restricted euxassay_003601_17
TS23: telencephalon ventricular layer Moderate Regionally restricted euxassay_003601_17
TS23: forebrain Moderate Single cells euxassay_003601_17
TS23: midbrain Moderate Single cells euxassay_003601_17
TS23: midbrain ventricular layer Moderate Regionally restricted euxassay_003601_17
TS23: 4th ventricle Moderate Regionally restricted euxassay_003601_17
TS23: spinal cord Moderate Single cells euxassay_003601_17
TS23: hindbrain Moderate Single cells euxassay_003601_17

Specimen euxassay_003601_18: embryonic day 14.5 (more )
Structure Level Pattern Image Note
TS23: vertebral axis musculature Moderate Regionally restricted euxassay_003601_18
TS23: lung Moderate Regionally restricted euxassay_003601_18
TS23: liver Moderate Regionally restricted euxassay_003601_18
TS23: upper jaw incisor Moderate Regionally restricted euxassay_003601_18
TS23: lower jaw incisor Moderate Regionally restricted euxassay_003601_18
TS23: submandibular gland primordium Moderate Regionally restricted euxassay_003601_18
TS23: midgut Moderate Regionally restricted euxassay_003601_18
TS23: glans of male genital tubercle Moderate Regionally restricted euxassay_003601_18
TS23: nasal cavity respiratory epithelium Moderate Regionally restricted euxassay_003601_18
TS23: olfactory epithelium Moderate Regionally restricted euxassay_003601_18
TS23: tongue Moderate Regionally restricted euxassay_003601_18
TS23: telencephalon ventricular layer Moderate Regionally restricted euxassay_003601_18
TS23: forebrain Moderate Single cells euxassay_003601_18
TS23: midbrain Moderate Single cells euxassay_003601_18
TS23: midbrain ventricular layer Moderate Regionally restricted euxassay_003601_18
TS23: 4th ventricle Moderate Regionally restricted euxassay_003601_18
TS23: spinal cord Moderate Single cells euxassay_003601_18
TS23: hindbrain Moderate Single cells euxassay_003601_18

Specimen euxassay_003601_19: embryonic day 14.5 (more )
Structure Level Pattern Image Note
TS23: vertebral axis musculature Moderate Regionally restricted euxassay_003601_19
TS23: lung Moderate Regionally restricted euxassay_003601_19
TS23: liver Moderate Regionally restricted euxassay_003601_19
TS23: upper jaw molar Moderate Regionally restricted euxassay_003601_19
TS23: lower jaw molar Moderate Regionally restricted euxassay_003601_19
TS23: submandibular gland primordium Strong Regionally restricted euxassay_003601_19
TS23: metanephros Moderate Regionally restricted euxassay_003601_19
TS23: glans of male genital tubercle Moderate Regionally restricted euxassay_003601_19
TS23: nasal cavity respiratory epithelium Moderate Regionally restricted euxassay_003601_19
TS23: olfactory epithelium Moderate Regionally restricted euxassay_003601_19
TS23: tongue Moderate Regionally restricted euxassay_003601_19
TS23: telencephalon ventricular layer Moderate Regionally restricted euxassay_003601_19
TS23: forebrain Moderate Single cells euxassay_003601_19
TS23: midbrain Moderate Single cells euxassay_003601_19
TS23: 4th ventricle Moderate Regionally restricted euxassay_003601_19
TS23: hindbrain Moderate Single cells euxassay_003601_19
TS23: spinal cord Moderate Single cells euxassay_003601_19

Specimen euxassay_003601_20: embryonic day 14.5 (more )
Structure Level Pattern Image Note
TS23: vertebral axis musculature Moderate Regionally restricted euxassay_003601_20
TS23: lung Moderate Regionally restricted euxassay_003601_20
TS23: liver Moderate Regionally restricted euxassay_003601_20
TS23: vibrissa Strong Regionally restricted euxassay_003601_20
TS23: upper jaw molar Moderate Regionally restricted euxassay_003601_20
TS23: lower jaw molar Moderate Regionally restricted euxassay_003601_20
TS23: submandibular gland primordium Strong Regionally restricted euxassay_003601_20
TS23: metanephros Moderate Regionally restricted euxassay_003601_20
TS23: olfactory epithelium Moderate Regionally restricted euxassay_003601_20
TS23: telencephalon ventricular layer Moderate Regionally restricted euxassay_003601_20
TS23: forebrain Moderate Single cells euxassay_003601_20
TS23: midbrain Moderate Single cells euxassay_003601_20
TS23: 4th ventricle Moderate Regionally restricted euxassay_003601_20
TS23: hindbrain Moderate Single cells euxassay_003601_20

Specimen euxassay_003601_21: embryonic day 14.5 (more )
Structure Level Pattern Image Note
TS23: vertebral axis musculature Moderate Regionally restricted euxassay_003601_21
TS23: lung Moderate Regionally restricted euxassay_003601_21
TS23: liver Moderate Regionally restricted euxassay_003601_21
TS23: vibrissa Strong Regionally restricted euxassay_003601_21
TS23: hindlimb Moderate Regionally restricted euxassay_003601_21
TS23: upper jaw molar Moderate Regionally restricted euxassay_003601_21
TS23: lower jaw molar Moderate Regionally restricted euxassay_003601_21
TS23: submandibular gland primordium Strong Regionally restricted euxassay_003601_21
TS23: metanephros Moderate Regionally restricted euxassay_003601_21
TS23: testis Moderate Regionally restricted euxassay_003601_21
TS23: olfactory epithelium Moderate Regionally restricted euxassay_003601_21
TS23: telencephalon ventricular layer Moderate Regionally restricted euxassay_003601_21
TS23: forebrain Moderate Single cells euxassay_003601_21
TS23: midbrain Moderate Single cells euxassay_003601_21
TS23: 4th ventricle Moderate Regionally restricted euxassay_003601_21
TS23: hindbrain Moderate Single cells euxassay_003601_21

Specimen euxassay_003601_22: embryonic day 14.5 (more )
Structure Level Pattern Image Note
TS23: vertebral axis musculature Moderate Regionally restricted euxassay_003601_22
TS23: lung Moderate Regionally restricted euxassay_003601_22
TS23: liver Moderate Regionally restricted euxassay_003601_22
TS23: vibrissa Strong Regionally restricted euxassay_003601_22
TS23: hindlimb Moderate Regionally restricted euxassay_003601_22
TS23: metanephros Moderate Regionally restricted euxassay_003601_22
TS23: orbito-sphenoid Moderate Regionally restricted euxassay_003601_22
TS23: telencephalon ventricular layer Moderate Regionally restricted euxassay_003601_22
TS23: forebrain Moderate Single cells euxassay_003601_22
TS23: 4th ventricle Moderate Regionally restricted euxassay_003601_22

Specimen euxassay_003601_23: embryonic day 14.5 (more )
Structure Level Pattern Image Note
TS23: vertebral axis musculature Moderate Regionally restricted euxassay_003601_23
TS23: lung Moderate Regionally restricted euxassay_003601_23
TS23: liver Moderate Regionally restricted euxassay_003601_23
TS23: retina Moderate Regionally restricted euxassay_003601_23
TS23: vibrissa Moderate Regionally restricted euxassay_003601_23
TS23: hindlimb Moderate Regionally restricted euxassay_003601_23
TS23: metanephros Moderate Regionally restricted euxassay_003601_23
TS23: testis Moderate Regionally restricted euxassay_003601_23
TS23: pharyngo-tympanic tube Moderate Regionally restricted euxassay_003601_23
TS23: orbito-sphenoid Moderate Regionally restricted euxassay_003601_23
TS23: telencephalon ventricular layer Moderate Regionally restricted euxassay_003601_23
TS23: forebrain Moderate Single cells euxassay_003601_23
TS23: 4th ventricle Moderate Regionally restricted euxassay_003601_23

Specimen euxassay_003601_24: embryonic day 14.5 (more )
Structure Level Pattern Image Note
TS23: vertebral axis musculature Moderate Regionally restricted euxassay_003601_24
TS23: lung Moderate Regionally restricted euxassay_003601_24
TS23: liver Moderate Regionally restricted euxassay_003601_24
TS23: retina Moderate Regionally restricted euxassay_003601_24
TS23: vibrissa Moderate Regionally restricted euxassay_003601_24
TS23: hindlimb Moderate Regionally restricted euxassay_003601_24
TS23: orbito-sphenoid Moderate Regionally restricted euxassay_003601_24
TS23: telencephalon ventricular layer Moderate Regionally restricted euxassay_003601_24
TS23: forebrain Moderate Single cells euxassay_003601_24


Contributing Projects:
Mouse Genome Database (MGD), Gene Expression Database (GXD), Mouse Models of Human Cancer database (MMHCdb) (formerly Mouse Tumor Biology (MTB)), Gene Ontology (GO)
Citing These Resources
Funding Information
Warranty Disclaimer, Privacy Notice, Licensing, & Copyright
Send questions and comments to User Support.
last database update
01/20/2026
MGI 6.24
The Jackson Laboratory