About   Help   FAQ
Gene Expression Data
Assay Details
Assay
Reference: J:153498 Diez-Roux G, et al., A high-resolution anatomical atlas of the transcriptome in the mouse embryo. PLoS Biol. 2011;9(1):e1000582
Assay type: RNA in situ
MGI Accession ID: MGI:4825741
Gene symbol: Kdelr2
Gene name: KDEL (Lys-Asp-Glu-Leu) endoplasmic reticulum protein retention receptor 2
Probe: MGC clone 6366
Probe preparation: Antisense labelled with digoxigenin RNA
Visualized with: Alkaline phosphatase
Assay notes: Cryosections of fresh frozen material were fixed in 4% paraformaldehyde for 20 min. before further processing. A tyramide-biotin/streptavidin amplification step was included in the in situ hybridization procedure.
Results
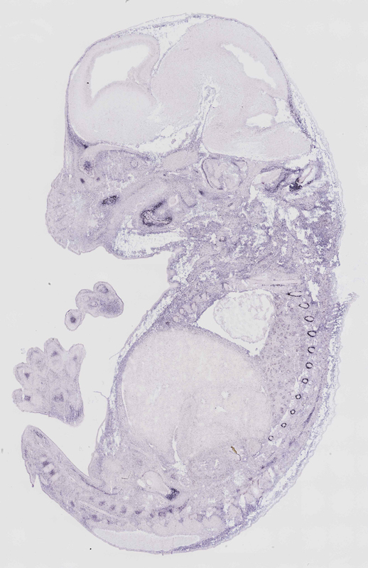
Specimen euxassay_004155_01: embryonic day 14.5 (more )
Structure Level Pattern Image Note
TS23: cranium Moderate Regionally restricted euxassay_004155_01
TS23: leg Moderate Regionally restricted euxassay_004155_01
TS23: hand Moderate Regionally restricted euxassay_004155_01
TS23: radius Moderate Regionally restricted euxassay_004155_01
TS23: ulna Moderate Regionally restricted euxassay_004155_01
TS23: humerus Moderate Regionally restricted euxassay_004155_01

Specimen euxassay_004155_02: embryonic day 14.5 (more )
Structure Level Pattern Image Note
TS23: mandible Moderate Regionally restricted euxassay_004155_02
TS23: orbito-sphenoid Moderate Regionally restricted euxassay_004155_02
TS23: rib Strong Regionally restricted euxassay_004155_02
TS23: cranium Moderate Regionally restricted euxassay_004155_02
TS23: leg Moderate Regionally restricted euxassay_004155_02
TS23: hand Moderate Regionally restricted euxassay_004155_02
TS23: radius Moderate Regionally restricted euxassay_004155_02
TS23: ulna Moderate Regionally restricted euxassay_004155_02
TS23: humerus Moderate Regionally restricted euxassay_004155_02

Specimen euxassay_004155_03: embryonic day 14.5 (more )
Structure Level Pattern Image Note
TS23: mandible Moderate Regionally restricted euxassay_004155_03
TS23: orbito-sphenoid Moderate Regionally restricted euxassay_004155_03
TS23: rib Strong Regionally restricted euxassay_004155_03
TS23: cranium Moderate Regionally restricted euxassay_004155_03
TS23: leg Moderate Regionally restricted euxassay_004155_03
TS23: hand Moderate Regionally restricted euxassay_004155_03

Specimen euxassay_004155_04: embryonic day 14.5 (more )
Structure Level Pattern Image Note
TS23: palatal shelf Moderate Regionally restricted euxassay_004155_04
TS23: mandible Moderate Regionally restricted euxassay_004155_04
TS23: orbito-sphenoid Moderate Regionally restricted euxassay_004155_04
TS23: rib Strong Regionally restricted euxassay_004155_04
TS23: cranium Moderate Regionally restricted euxassay_004155_04
TS23: hand Moderate Regionally restricted euxassay_004155_04
TS23: fibula Moderate Regionally restricted euxassay_004155_04
TS23: tibia Moderate Regionally restricted euxassay_004155_04

Specimen euxassay_004155_05: embryonic day 14.5 (more )
Structure Level Pattern Image Note
TS23: palatal shelf Moderate Regionally restricted euxassay_004155_05
TS23: mandible Moderate Regionally restricted euxassay_004155_05
TS23: orbito-sphenoid Moderate Regionally restricted euxassay_004155_05
TS23: rib Strong Regionally restricted euxassay_004155_05
TS23: otic capsule Moderate Regionally restricted euxassay_004155_05
TS23: cranium Moderate Regionally restricted euxassay_004155_05
TS23: hand Moderate Regionally restricted euxassay_004155_05
TS23: femur Moderate Regionally restricted euxassay_004155_05
TS23: fibula Moderate Regionally restricted euxassay_004155_05
TS23: tibia Moderate Regionally restricted euxassay_004155_05

Specimen euxassay_004155_06: embryonic day 14.5 (more )
Structure Level Pattern Image Note
TS23: mandible Moderate Regionally restricted euxassay_004155_06
TS23: palatal shelf Moderate Regionally restricted euxassay_004155_06
TS23: orbito-sphenoid Moderate Regionally restricted euxassay_004155_06
TS23: rib Strong Regionally restricted euxassay_004155_06
TS23: otic capsule Moderate Regionally restricted euxassay_004155_06
TS23: fibula Moderate Regionally restricted euxassay_004155_06
TS23: tibia Moderate Regionally restricted euxassay_004155_06
TS23: femur Moderate Regionally restricted euxassay_004155_06
TS23: foot Moderate Regionally restricted euxassay_004155_06

Specimen euxassay_004155_07: embryonic day 14.5 (more )
Structure Level Pattern Image Note
TS23: mandible Moderate Regionally restricted euxassay_004155_07
TS23: palatal shelf Moderate Regionally restricted euxassay_004155_07
TS23: orbito-sphenoid Moderate Regionally restricted euxassay_004155_07
TS23: rib Strong Regionally restricted euxassay_004155_07
TS23: otic capsule Moderate Regionally restricted euxassay_004155_07
TS23: turbinate bone primordium Moderate Regionally restricted euxassay_004155_07
TS23: foot Moderate Regionally restricted euxassay_004155_07
TS23: femur Moderate Regionally restricted euxassay_004155_07

Specimen euxassay_004155_08: embryonic day 14.5 (more )
Structure Level Pattern Image Note
TS23: mandible Moderate Regionally restricted euxassay_004155_08
TS23: palatal shelf Moderate Regionally restricted euxassay_004155_08
TS23: orbito-sphenoid Moderate Regionally restricted euxassay_004155_08
TS23: rib Strong Regionally restricted euxassay_004155_08
TS23: otic capsule Moderate Regionally restricted euxassay_004155_08
TS23: turbinate bone primordium Moderate Regionally restricted euxassay_004155_08
TS23: clavicle Strong Regionally restricted euxassay_004155_08
TS23: axial skeleton cervical region Moderate Regionally restricted euxassay_004155_08
TS23: axial skeleton thoracic region Moderate Regionally restricted euxassay_004155_08
TS23: foot Moderate Regionally restricted euxassay_004155_08
TS23: femur Moderate Regionally restricted euxassay_004155_08

Specimen euxassay_004155_09: embryonic day 14.5 (more )
Structure Level Pattern Image Note
TS23: mandible Moderate Regionally restricted euxassay_004155_09
TS23: palatal shelf Moderate Regionally restricted euxassay_004155_09
TS23: rib Moderate Regionally restricted euxassay_004155_09
TS23: turbinate bone primordium Moderate Regionally restricted euxassay_004155_09
TS23: clavicle Strong Regionally restricted euxassay_004155_09
TS23: foot Moderate Regionally restricted euxassay_004155_09

Specimen euxassay_004155_10: embryonic day 14.5 (more )
Structure Level Pattern Image Note
TS23: mandible Moderate Regionally restricted euxassay_004155_10
TS23: palatal shelf Moderate Regionally restricted euxassay_004155_10
TS23: rib Moderate Regionally restricted euxassay_004155_10
TS23: turbinate bone primordium Moderate Regionally restricted euxassay_004155_10
TS23: foot Moderate Regionally restricted euxassay_004155_10

Specimen euxassay_004155_11: embryonic day 14.5 (more )
Structure Level Pattern Image Note
TS23: mandible Moderate Regionally restricted euxassay_004155_11
TS23: palatal shelf Moderate Regionally restricted euxassay_004155_11
TS23: rib Moderate Regionally restricted euxassay_004155_11
TS23: turbinate bone primordium Moderate Regionally restricted euxassay_004155_11
TS23: axial skeleton cervical region Moderate Regionally restricted euxassay_004155_11
TS23: axial skeleton thoracic region Moderate Regionally restricted euxassay_004155_11
TS23: axial skeleton lumbar region Moderate Regionally restricted euxassay_004155_11
TS23: foot Moderate Regionally restricted euxassay_004155_11

Specimen euxassay_004155_12: embryonic day 14.5 (more )
Structure Level Pattern Image Note
TS23: mandible Moderate Regionally restricted euxassay_004155_12
TS23: palatal shelf Moderate Regionally restricted euxassay_004155_12
TS23: sternum Moderate Regionally restricted euxassay_004155_12
TS23: turbinate bone primordium Moderate Regionally restricted euxassay_004155_12
TS23: axial skeleton cervical region Moderate Regionally restricted euxassay_004155_12
TS23: axial skeleton thoracic region Moderate Regionally restricted euxassay_004155_12

Specimen euxassay_004155_13: embryonic day 14.5 (more )
Structure Level Pattern Image Note
TS23: palatal shelf Moderate Regionally restricted euxassay_004155_13
TS23: mandible Moderate Regionally restricted euxassay_004155_13
TS23: sternum Moderate Regionally restricted euxassay_004155_13
TS23: rib Moderate Regionally restricted euxassay_004155_13
TS23: turbinate bone primordium Moderate Regionally restricted euxassay_004155_13
TS23: axial skeleton cervical region Moderate Regionally restricted euxassay_004155_13
TS23: axial skeleton lumbar region Moderate Regionally restricted euxassay_004155_13
TS23: axial skeleton thoracic region Moderate Regionally restricted euxassay_004155_13

Specimen euxassay_004155_14: embryonic day 14.5 (more )
Structure Level Pattern Image Note
TS23: palatal shelf Moderate Regionally restricted euxassay_004155_14
TS23: mandible Moderate Regionally restricted euxassay_004155_14
TS23: rib Moderate Regionally restricted euxassay_004155_14
TS23: turbinate bone primordium Moderate Regionally restricted euxassay_004155_14
TS23: axial skeleton cervical region Moderate Regionally restricted euxassay_004155_14
TS23: axial skeleton lumbar region Moderate Regionally restricted euxassay_004155_14
TS23: axial skeleton sacral region Moderate Regionally restricted euxassay_004155_14
TS23: axial skeleton thoracic region Moderate Regionally restricted euxassay_004155_14

Specimen euxassay_004155_15: embryonic day 14.5 (more )
Structure Level Pattern Image Note
TS23: palatal shelf Moderate Regionally restricted euxassay_004155_15
TS23: mandible Moderate Regionally restricted euxassay_004155_15
TS23: rib Moderate Regionally restricted euxassay_004155_15
TS23: turbinate bone primordium Moderate Regionally restricted euxassay_004155_15
TS23: axial skeleton cervical region Moderate Regionally restricted euxassay_004155_15
TS23: axial skeleton lumbar region Moderate Regionally restricted euxassay_004155_15
TS23: axial skeleton sacral region Moderate Regionally restricted euxassay_004155_15
TS23: axial skeleton thoracic region Moderate Regionally restricted euxassay_004155_15

Specimen euxassay_004155_16: embryonic day 14.5 (more )
Structure Level Pattern Image Note
TS23: palatal shelf Moderate Regionally restricted euxassay_004155_16
TS23: mandible Moderate Regionally restricted euxassay_004155_16
TS23: orbito-sphenoid Moderate Regionally restricted euxassay_004155_16
TS23: rib Moderate Regionally restricted euxassay_004155_16
TS23: turbinate bone primordium Moderate Regionally restricted euxassay_004155_16
TS23: clavicle Strong Regionally restricted euxassay_004155_16
TS23: axial skeleton cervical region Moderate Regionally restricted euxassay_004155_16
TS23: axial skeleton lumbar region Moderate Regionally restricted euxassay_004155_16
TS23: axial skeleton sacral region Moderate Regionally restricted euxassay_004155_16
TS23: axial skeleton thoracic region Moderate Regionally restricted euxassay_004155_16
TS23: axial skeleton tail region Moderate Regionally restricted euxassay_004155_16

Specimen euxassay_004155_17: embryonic day 14.5 (more )
Structure Level Pattern Image Note
TS23: palatal shelf Moderate Regionally restricted euxassay_004155_17
TS23: mandible Moderate Regionally restricted euxassay_004155_17
TS23: orbito-sphenoid Moderate Regionally restricted euxassay_004155_17
TS23: rib Moderate Regionally restricted euxassay_004155_17
TS23: otic capsule Moderate Regionally restricted euxassay_004155_17
TS23: turbinate bone primordium Moderate Regionally restricted euxassay_004155_17
TS23: clavicle Strong Regionally restricted euxassay_004155_17
TS23: axial skeleton cervical region Moderate Regionally restricted euxassay_004155_17
TS23: axial skeleton lumbar region Moderate Regionally restricted euxassay_004155_17
TS23: axial skeleton sacral region Moderate Regionally restricted euxassay_004155_17
TS23: axial skeleton thoracic region Moderate Regionally restricted euxassay_004155_17
TS23: axial skeleton tail region Moderate Regionally restricted euxassay_004155_17
TS23: foot Moderate Regionally restricted euxassay_004155_17
TS23: hand Moderate Regionally restricted euxassay_004155_17

Specimen euxassay_004155_18: embryonic day 14.5 (more )
Structure Level Pattern Image Note
TS23: palatal shelf Moderate Regionally restricted euxassay_004155_18
TS23: mandible Moderate Regionally restricted euxassay_004155_18
TS23: orbito-sphenoid Moderate Regionally restricted euxassay_004155_18
TS23: rib Strong Regionally restricted euxassay_004155_18
TS23: otic capsule Moderate Regionally restricted euxassay_004155_18
TS23: turbinate bone primordium Moderate Regionally restricted euxassay_004155_18
TS23: axial skeleton cervical region Moderate Regionally restricted euxassay_004155_18
TS23: axial skeleton lumbar region Moderate Regionally restricted euxassay_004155_18
TS23: axial skeleton sacral region Moderate Regionally restricted euxassay_004155_18
TS23: axial skeleton thoracic region Moderate Regionally restricted euxassay_004155_18
TS23: axial skeleton tail region Moderate Regionally restricted euxassay_004155_18
TS23: foot Moderate Regionally restricted euxassay_004155_18
TS23: hand Moderate Regionally restricted euxassay_004155_18

Specimen euxassay_004155_19: embryonic day 14.5 (more )
Structure Level Pattern Image Note
TS23: palatal shelf Moderate Regionally restricted euxassay_004155_19
TS23: mandible Moderate Regionally restricted euxassay_004155_19
TS23: orbito-sphenoid Moderate Regionally restricted euxassay_004155_19
TS23: rib Strong Regionally restricted euxassay_004155_19
TS23: otic capsule Moderate Regionally restricted euxassay_004155_19
TS23: turbinate bone primordium Moderate Regionally restricted euxassay_004155_19
TS23: axial skeleton lumbar region Moderate Regionally restricted euxassay_004155_19
TS23: axial skeleton sacral region Moderate Regionally restricted euxassay_004155_19
TS23: axial skeleton thoracic region Moderate Regionally restricted euxassay_004155_19
TS23: axial skeleton tail region Moderate Regionally restricted euxassay_004155_19
TS23: hand Moderate Regionally restricted euxassay_004155_19
TS23: foot Moderate Regionally restricted euxassay_004155_19

Specimen euxassay_004155_20: embryonic day 14.5 (more )
Structure Level Pattern Image Note
TS23: mandible Weak Regionally restricted euxassay_004155_20
TS23: orbito-sphenoid Moderate Regionally restricted euxassay_004155_20
TS23: rib Moderate Regionally restricted euxassay_004155_20

Specimen euxassay_004155_21: embryonic day 14.5 (more )
Structure Level Pattern Image Note
TS23: orbito-sphenoid Moderate Regionally restricted euxassay_004155_21
TS23: rib Strong Regionally restricted euxassay_004155_21


Contributing Projects:
Mouse Genome Database (MGD), Gene Expression Database (GXD), Mouse Models of Human Cancer database (MMHCdb) (formerly Mouse Tumor Biology (MTB)), Gene Ontology (GO)
Citing These Resources
Funding Information
Warranty Disclaimer, Privacy Notice, Licensing, & Copyright
Send questions and comments to User Support.
last database update
10/07/2025
MGI 6.24
The Jackson Laboratory