About   Help   FAQ
Gene Expression Data
Assay Details
Assay
Reference: J:153498 Diez-Roux G, et al., A high-resolution anatomical atlas of the transcriptome in the mouse embryo. PLoS Biol. 2011;9(1):e1000582
Assay type: RNA in situ
MGI Accession ID: MGI:4825726
Gene symbol: Kcnmb1
Gene name: potassium large conductance calcium-activated channel, subfamily M, beta member 1
Probe: T30070
Probe preparation: Antisense labelled with digoxigenin RNA
Visualized with: Alkaline phosphatase
Assay notes: Cryosections of fresh frozen material were fixed in 4% paraformaldehyde for 20 min. before further processing. A tyramide-biotin/streptavidin amplification step was included in the in situ hybridization procedure.
Results
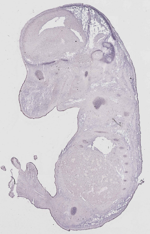
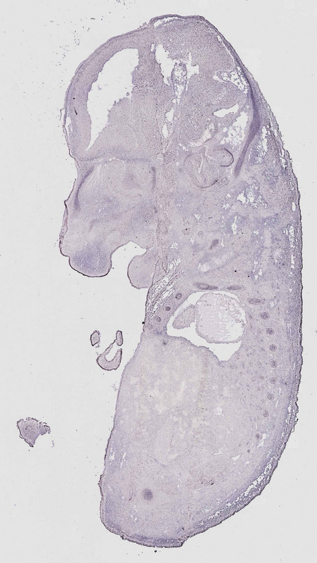
Specimen euxassay_011986_01: embryonic day 14.5 (more )
Structure Level Pattern Image Note
TS23: temporal bone petrous part Moderate Regionally restricted euxassay_011986_01
TS23: vault of skull Moderate Regionally restricted euxassay_011986_01
TS23: rib Moderate Regionally restricted euxassay_011986_01
TS23: humerus Moderate Regionally restricted euxassay_011986_01
TS23: fibula Moderate Regionally restricted euxassay_011986_01
TS23: tibia Moderate Regionally restricted euxassay_011986_01
TS23: femur Moderate Regionally restricted euxassay_011986_01

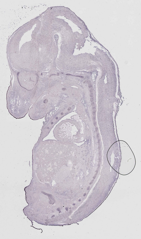
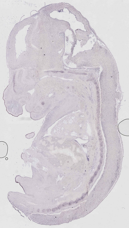
Specimen euxassay_011986_02: embryonic day 14.5 (more )
Structure Level Pattern Image Note
TS23: temporal bone petrous part Moderate Regionally restricted euxassay_011986_02
TS23: orbito-sphenoid Moderate Regionally restricted euxassay_011986_02
TS23: basioccipital bone Moderate Regionally restricted euxassay_011986_02
TS23: vault of skull Moderate Regionally restricted euxassay_011986_02
TS23: rib Moderate Regionally restricted euxassay_011986_02
TS23: humerus Moderate Regionally restricted euxassay_011986_02
TS23: scapula Moderate Regionally restricted euxassay_011986_02
TS23: fibula Moderate Regionally restricted euxassay_011986_02
TS23: tibia Moderate Regionally restricted euxassay_011986_02
TS23: femur Moderate Regionally restricted euxassay_011986_02

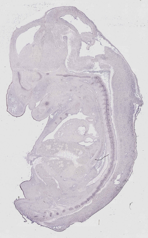
Specimen euxassay_011986_03: embryonic day 14.5 (more )
Structure Level Pattern Image Note
TS23: basioccipital bone Moderate Regionally restricted euxassay_011986_03
TS23: temporal bone petrous part Moderate Regionally restricted euxassay_011986_03
TS23: orbito-sphenoid Moderate Regionally restricted euxassay_011986_03
TS23: rib Moderate Regionally restricted euxassay_011986_03
TS23: humerus Moderate Regionally restricted euxassay_011986_03
TS23: scapula Moderate Regionally restricted euxassay_011986_03
TS23: femur Moderate Regionally restricted euxassay_011986_03
TS23: fibula Moderate Regionally restricted euxassay_011986_03
TS23: tibia Moderate Regionally restricted euxassay_011986_03

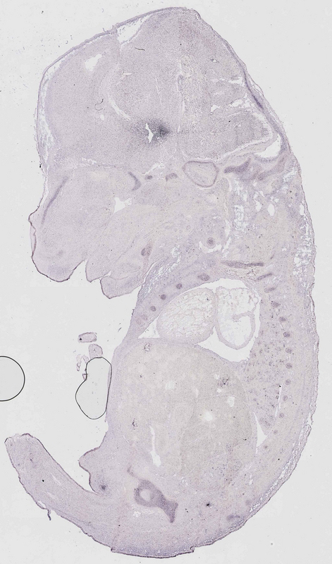
Specimen euxassay_011986_04: embryonic day 14.5 (more )
Structure Level Pattern Image Note
TS23: orbito-sphenoid Moderate Regionally restricted euxassay_011986_04
TS23: temporal bone petrous part Moderate Regionally restricted euxassay_011986_04
TS23: basioccipital bone Moderate Regionally restricted euxassay_011986_04
TS23: Meckel's cartilage Moderate Regionally restricted euxassay_011986_04
TS23: rib Moderate Regionally restricted euxassay_011986_04
TS23: humerus Moderate Regionally restricted euxassay_011986_04
TS23: scapula Moderate Regionally restricted euxassay_011986_04
TS23: tarsus Moderate Regionally restricted euxassay_011986_04
TS23: femur Moderate Regionally restricted euxassay_011986_04

Specimen euxassay_011986_05: embryonic day 14.5 (more )
Structure Level Pattern Image Note
TS23: basioccipital bone Moderate Regionally restricted euxassay_011986_05
TS23: orbito-sphenoid Moderate Regionally restricted euxassay_011986_05
TS23: temporal bone petrous part Moderate Regionally restricted euxassay_011986_05
TS23: Meckel's cartilage Moderate Regionally restricted euxassay_011986_05
TS23: rib Moderate Regionally restricted euxassay_011986_05
TS23: femur Moderate Regionally restricted euxassay_011986_05
TS23: hindlimb digit 4 phalanx Moderate Regionally restricted euxassay_011986_05
TS23: hindlimb digit 3 phalanx Moderate Regionally restricted euxassay_011986_05
TS23: hindlimb digit 2 phalanx Moderate Regionally restricted euxassay_011986_05
TS23: hindlimb digit 1 phalanx Moderate Regionally restricted euxassay_011986_05

Specimen euxassay_011986_06: embryonic day 14.5 (more )
Structure Level Pattern Image Note
TS23: orbito-sphenoid Moderate Regionally restricted euxassay_011986_06
TS23: Meckel's cartilage Moderate Regionally restricted euxassay_011986_06
TS23: rib Moderate Regionally restricted euxassay_011986_06
TS23: femur Moderate Regionally restricted euxassay_011986_06

Specimen euxassay_011986_07: embryonic day 14.5 (more )
Structure Level Pattern Image Note
TS23: orbito-sphenoid Moderate Regionally restricted euxassay_011986_07
TS23: otic capsule Moderate Regionally restricted euxassay_011986_07
TS23: Meckel's cartilage Moderate Regionally restricted euxassay_011986_07
TS23: rib Moderate Regionally restricted euxassay_011986_07
TS23: axial skeleton Moderate Regionally restricted euxassay_011986_07
TS23: femur Moderate Regionally restricted euxassay_011986_07

Specimen euxassay_011986_08: embryonic day 14.5 (more )
Structure Level Pattern Image Note
TS23: orbito-sphenoid Moderate Regionally restricted euxassay_011986_08
TS23: basisphenoid bone Moderate Regionally restricted euxassay_011986_08
TS23: otic capsule Moderate Regionally restricted euxassay_011986_08
TS23: Meckel's cartilage Moderate Regionally restricted euxassay_011986_08
TS23: rib Moderate Regionally restricted euxassay_011986_08
TS23: axial skeleton Moderate Regionally restricted euxassay_011986_08

Specimen euxassay_011986_09: embryonic day 14.5 (more )
Structure Level Pattern Image Note
TS23: basisphenoid bone Moderate Regionally restricted euxassay_011986_09
TS23: orbito-sphenoid Moderate Regionally restricted euxassay_011986_09
TS23: otic capsule Moderate Regionally restricted euxassay_011986_09
TS23: turbinate bone primordium Moderate Regionally restricted euxassay_011986_09
TS23: Meckel's cartilage Moderate Regionally restricted euxassay_011986_09
TS23: rib Moderate Regionally restricted euxassay_011986_09
TS23: axial skeleton Moderate Regionally restricted euxassay_011986_09
TS23: pelvic girdle skeleton Moderate Regionally restricted euxassay_011986_09

Specimen euxassay_011986_10: embryonic day 14.5 (more )
Structure Level Pattern Image Note
TS23: basisphenoid bone Moderate Regionally restricted euxassay_011986_10
TS23: turbinate bone primordium Moderate Regionally restricted euxassay_011986_10
TS23: Meckel's cartilage Moderate Regionally restricted euxassay_011986_10
TS23: rib Moderate Regionally restricted euxassay_011986_10
TS23: axial skeleton Moderate Regionally restricted euxassay_011986_10
TS23: pelvic girdle skeleton Moderate Regionally restricted euxassay_011986_10

Specimen euxassay_011986_11: embryonic day 14.5 (more )
Structure Level Pattern Image Note
TS23: basisphenoid bone Moderate Regionally restricted euxassay_011986_11
TS23: turbinate bone primordium Moderate Regionally restricted euxassay_011986_11
TS23: Meckel's cartilage Moderate Regionally restricted euxassay_011986_11
TS23: rib Moderate Regionally restricted euxassay_011986_11
TS23: axial skeleton Moderate Regionally restricted euxassay_011986_11

Specimen euxassay_011986_12: embryonic day 14.5 (more )
Structure Level Pattern Image Note
TS23: basisphenoid bone Moderate Regionally restricted euxassay_011986_12
TS23: turbinate bone primordium Moderate Regionally restricted euxassay_011986_12
TS23: Meckel's cartilage Moderate Regionally restricted euxassay_011986_12
TS23: axial skeleton Moderate Regionally restricted euxassay_011986_12

Specimen euxassay_011986_13: embryonic day 14.5 (more )
Structure Level Pattern Image Note
TS23: basisphenoid bone Moderate Regionally restricted euxassay_011986_13
TS23: naris Moderate Regionally restricted euxassay_011986_13
TS23: Meckel's cartilage Moderate Regionally restricted euxassay_011986_13
TS23: axial skeleton Moderate Regionally restricted euxassay_011986_13

Specimen euxassay_011986_14: embryonic day 14.5 (more )
Structure Level Pattern Image Note
TS23: basisphenoid bone Moderate Regionally restricted euxassay_011986_14
TS23: turbinate bone primordium Moderate Regionally restricted euxassay_011986_14
TS23: naris Moderate Regionally restricted euxassay_011986_14
TS23: Meckel's cartilage Moderate Regionally restricted euxassay_011986_14
TS23: rib Moderate Regionally restricted euxassay_011986_14
TS23: axial skeleton Moderate Regionally restricted euxassay_011986_14

Specimen euxassay_011986_15: embryonic day 14.5 (more )
Structure Level Pattern Image Note
TS23: basisphenoid bone Moderate Regionally restricted euxassay_011986_15
TS23: nasal septum Moderate Regionally restricted euxassay_011986_15
TS23: Meckel's cartilage Moderate Regionally restricted euxassay_011986_15
TS23: rib Moderate Regionally restricted euxassay_011986_15
TS23: axial skeleton Moderate Regionally restricted euxassay_011986_15

Specimen euxassay_011986_16: embryonic day 14.5 (more )
Structure Level Pattern Image Note
TS23: basisphenoid bone Moderate Regionally restricted euxassay_011986_16
TS23: basioccipital bone Moderate Regionally restricted euxassay_011986_16
TS23: otic capsule Moderate Regionally restricted euxassay_011986_16
TS23: naris Moderate Regionally restricted euxassay_011986_16
TS23: turbinate bone primordium Moderate Regionally restricted euxassay_011986_16
TS23: Meckel's cartilage Moderate Regionally restricted euxassay_011986_16
TS23: rib Moderate Regionally restricted euxassay_011986_16
TS23: pelvic girdle skeleton Moderate Regionally restricted euxassay_011986_16

Specimen euxassay_011986_17: embryonic day 14.5 (more )
Structure Level Pattern Image Note
TS23: basioccipital bone Moderate Regionally restricted euxassay_011986_17
TS23: turbinate bone primordium Moderate Regionally restricted euxassay_011986_17
TS23: naris Moderate Regionally restricted euxassay_011986_17
TS23: Meckel's cartilage Moderate Regionally restricted euxassay_011986_17
TS23: rib Moderate Regionally restricted euxassay_011986_17
TS23: femur Moderate Regionally restricted euxassay_011986_17

Specimen euxassay_011986_18: embryonic day 14.5 (more )
Structure Level Pattern Image Note
TS23: basioccipital bone Moderate Regionally restricted euxassay_011986_18
TS23: temporal bone petrous part Moderate Regionally restricted euxassay_011986_18
TS23: turbinate bone primordium Moderate Regionally restricted euxassay_011986_18
TS23: rib Moderate Regionally restricted euxassay_011986_18
TS23: femur Moderate Regionally restricted euxassay_011986_18

Specimen euxassay_011986_19: embryonic day 14.5 (more )
Structure Level Pattern Image Note
TS23: basioccipital bone Moderate Regionally restricted euxassay_011986_19
TS23: temporal bone petrous part Moderate Regionally restricted euxassay_011986_19
TS23: turbinate bone primordium Moderate Regionally restricted euxassay_011986_19
TS23: Meckel's cartilage Moderate Regionally restricted euxassay_011986_19
TS23: rib Moderate Regionally restricted euxassay_011986_19
TS23: femur Moderate Regionally restricted euxassay_011986_19

Specimen euxassay_011986_20: embryonic day 14.5 (more )
Structure Level Pattern Image Note
TS23: orbito-sphenoid Moderate Regionally restricted euxassay_011986_20
TS23: basioccipital bone Moderate Regionally restricted euxassay_011986_20
TS23: temporal bone petrous part Moderate Regionally restricted euxassay_011986_20
TS23: turbinate bone primordium Moderate Regionally restricted euxassay_011986_20
TS23: Meckel's cartilage Moderate Regionally restricted euxassay_011986_20
TS23: rib Moderate Regionally restricted euxassay_011986_20
TS23: scapula Moderate Regionally restricted euxassay_011986_20
TS23: humerus Moderate Regionally restricted euxassay_011986_20
TS23: femur Moderate Regionally restricted euxassay_011986_20

Specimen euxassay_011986_21: embryonic day 14.5 (more )
Structure Level Pattern Image Note
TS23: basioccipital bone Moderate Regionally restricted euxassay_011986_21
TS23: temporal bone petrous part Moderate Regionally restricted euxassay_011986_21
TS23: orbito-sphenoid Moderate Regionally restricted euxassay_011986_21
TS23: turbinate bone primordium Moderate Regionally restricted euxassay_011986_21
TS23: Meckel's cartilage Moderate Regionally restricted euxassay_011986_21
TS23: rib Moderate Regionally restricted euxassay_011986_21
TS23: humerus Moderate Regionally restricted euxassay_011986_21
TS23: scapula Moderate Regionally restricted euxassay_011986_21
TS23: femur Moderate Regionally restricted euxassay_011986_21

Specimen euxassay_011986_22: embryonic day 14.5 (more )
Structure Level Pattern Image Note
TS23: basioccipital bone Moderate Regionally restricted euxassay_011986_22
TS23: temporal bone petrous part Moderate Regionally restricted euxassay_011986_22
TS23: orbito-sphenoid Moderate Regionally restricted euxassay_011986_22
TS23: Meckel's cartilage Moderate Regionally restricted euxassay_011986_22
TS23: rib Moderate Regionally restricted euxassay_011986_22
TS23: humerus Moderate Regionally restricted euxassay_011986_22
TS23: scapula Moderate Regionally restricted euxassay_011986_22
TS23: femur Moderate Regionally restricted euxassay_011986_22

Specimen euxassay_011986_23: embryonic day 14.5 (more )
Structure Level Pattern Image Note
TS23: orbito-sphenoid Moderate Regionally restricted euxassay_011986_23
TS23: temporal bone petrous part Moderate Regionally restricted euxassay_011986_23
TS23: basioccipital bone Moderate Regionally restricted euxassay_011986_23
TS23: rib Moderate Regionally restricted euxassay_011986_23
TS23: humerus Moderate Regionally restricted euxassay_011986_23
TS23: fibula Moderate Regionally restricted euxassay_011986_23
TS23: tibia Moderate Regionally restricted euxassay_011986_23
TS23: femur Moderate Regionally restricted euxassay_011986_23

Specimen euxassay_011986_24: embryonic day 14.5 (more )
Structure Level Pattern Image Note
TS23: basioccipital bone Moderate Regionally restricted euxassay_011986_24
TS23: orbito-sphenoid Moderate Regionally restricted euxassay_011986_24
TS23: humerus Moderate Regionally restricted euxassay_011986_24
TS23: fibula Moderate Regionally restricted euxassay_011986_24
TS23: tibia Moderate Regionally restricted euxassay_011986_24
TS23: femur Moderate Regionally restricted euxassay_011986_24
TS23: hindlimb digit 3 phalanx Moderate Regionally restricted euxassay_011986_24
TS23: hindlimb digit 2 phalanx Moderate Regionally restricted euxassay_011986_24
TS23: hindlimb digit 4 phalanx Moderate Regionally restricted euxassay_011986_24


Contributing Projects:
Mouse Genome Database (MGD), Gene Expression Database (GXD), Mouse Models of Human Cancer database (MMHCdb) (formerly Mouse Tumor Biology (MTB)), Gene Ontology (GO)
Citing These Resources
Funding Information
Warranty Disclaimer, Privacy Notice, Licensing, & Copyright
Send questions and comments to User Support.
last database update
03/24/2026
MGI 6.24
The Jackson Laboratory