About   Help   FAQ
Gene Expression Data
Assay Details
Assay
Reference: J:153498 Diez-Roux G, et al., A high-resolution anatomical atlas of the transcriptome in the mouse embryo. PLoS Biol. 2011;9(1):e1000582
Assay type: RNA in situ
MGI Accession ID: MGI:4825720
Gene symbol: Kcnj16
Gene name: potassium inwardly-rectifying channel, subfamily J, member 16
Probe: IMAGE clone 572121
Probe preparation: Antisense labelled with digoxigenin RNA
Visualized with: Alkaline phosphatase
Assay notes: Cryosections of fresh frozen material were fixed in 4% paraformaldehyde for 20 min. before further processing. A tyramide-biotin/streptavidin amplification step was included in the in situ hybridization procedure.
Results
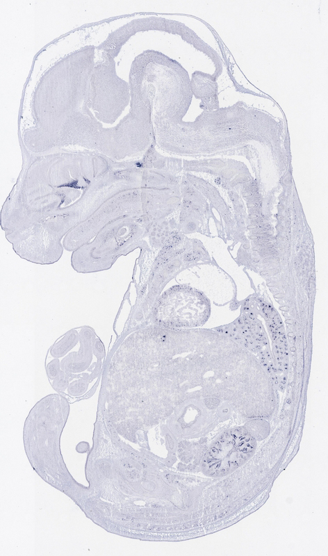
Specimen euxassay_000169_10: embryonic day 14.5 (more )
Structure Level Pattern Image Note
TS23: early nephron Strong Uniform euxassay_000169_10
TS23: maturing glomerular tuft Strong Uniform euxassay_000169_10

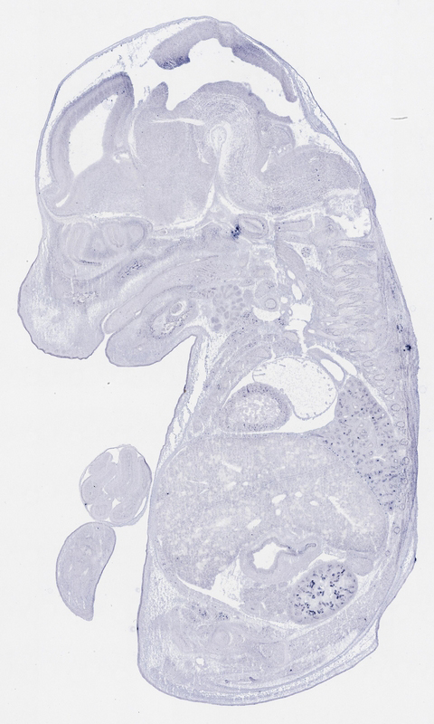
Specimen euxassay_000169_11: embryonic day 14.5 (more )
Structure Level Pattern Image Note
TS23: maturing glomerular tuft Strong Uniform euxassay_000169_11
TS23: early nephron Strong Uniform euxassay_000169_11

Specimen euxassay_000169_12: embryonic day 14.5 (more )
Structure Level Pattern Image Note
TS23: midbrain floor plate Strong Uniform euxassay_000169_12
TS23: maturing glomerular tuft Strong Uniform euxassay_000169_12
TS23: early nephron Strong Uniform euxassay_000169_12

Specimen euxassay_000169_13: embryonic day 14.5 (more )
Structure Level Pattern Image Note
TS23: midbrain floor plate Strong Uniform euxassay_000169_13
TS23: medulla oblongata floor plate Strong Uniform euxassay_000169_13
TS23: metencephalon floor plate Strong Uniform euxassay_000169_13

Specimen euxassay_000169_14: embryonic day 14.5 (more )
Note: Additional information for this specimen was included in the Eurexpress data submission file.
Structure Level Pattern Image Note
TS23: medulla oblongata floor plate Strong Uniform euxassay_000169_14
TS23: spinal cord floor plate Strong Regionally restricted euxassay_000169_14 cervical spinal cord


Contributing Projects:
Mouse Genome Database (MGD), Gene Expression Database (GXD), Mouse Models of Human Cancer database (MMHCdb) (formerly Mouse Tumor Biology (MTB)), Gene Ontology (GO)
Citing These Resources
Funding Information
Warranty Disclaimer, Privacy Notice, Licensing, & Copyright
Send questions and comments to User Support.
last database update
12/30/2025
MGI 6.24
The Jackson Laboratory