About   Help   FAQ
Gene Expression Data
Assay Details
Assay
Reference: J:153498 Diez-Roux G, et al., A high-resolution anatomical atlas of the transcriptome in the mouse embryo. PLoS Biol. 2011;9(1):e1000582
Assay type: RNA in situ
MGI Accession ID: MGI:4825717
Gene symbol: Kcnj14
Gene name: potassium inwardly-rectifying channel, subfamily J, member 14
Probe: MGC clone 25490
Probe preparation: Antisense labelled with digoxigenin RNA
Visualized with: Alkaline phosphatase
Assay notes: Cryosections of fresh frozen material were fixed in 4% paraformaldehyde for 20 min. before further processing. A tyramide-biotin/streptavidin amplification step was included in the in situ hybridization procedure.
Results
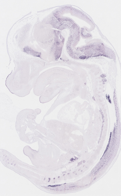
Specimen euxassay_002989_01: embryonic day 14.5 (more )
Structure Level Pattern Image Note
TS23: lower eyelid Moderate Regionally restricted euxassay_002989_01
TS23: upper eyelid Moderate Regionally restricted euxassay_002989_01

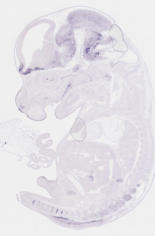
Specimen euxassay_002989_02: embryonic day 14.5 (more )
Structure Level Pattern Image Note
TS23: telencephalon mantle layer Moderate Regionally restricted euxassay_002989_02
TS23: lower eyelid Moderate Regionally restricted euxassay_002989_02
TS23: upper eyelid Moderate Regionally restricted euxassay_002989_02
TS23: neural retina Moderate Regionally restricted euxassay_002989_02

Specimen euxassay_002989_03: embryonic day 14.5 (more )
Structure Level Pattern Image Note
TS23: telencephalon mantle layer Moderate Regionally restricted euxassay_002989_03
TS23: trigeminal ganglion Moderate Regionally restricted euxassay_002989_03
TS23: upper eyelid Moderate Regionally restricted euxassay_002989_03
TS23: lower eyelid Moderate Regionally restricted euxassay_002989_03
TS23: neural retina Moderate Regionally restricted euxassay_002989_03

Specimen euxassay_002989_04: embryonic day 14.5 (more )
Structure Level Pattern Image Note
TS23: telencephalon mantle layer Strong Regionally restricted euxassay_002989_04
TS23: hindbrain Moderate Regionally restricted euxassay_002989_04
TS23: trigeminal ganglion Moderate Regionally restricted euxassay_002989_04
TS23: facial ganglion Moderate Regionally restricted euxassay_002989_04
TS23: upper eyelid Moderate Regionally restricted euxassay_002989_04
TS23: lower eyelid Moderate Regionally restricted euxassay_002989_04
TS23: neural retina Moderate Regionally restricted euxassay_002989_04

Specimen euxassay_002989_05: embryonic day 14.5 (more )
Structure Level Pattern Image Note
TS23: telencephalon mantle layer Strong Regionally restricted euxassay_002989_05
TS23: hindbrain Moderate Regionally restricted euxassay_002989_05
TS23: trigeminal ganglion Moderate Regionally restricted euxassay_002989_05

Specimen euxassay_002989_06: embryonic day 14.5 (more )
Structure Level Pattern Image Note
TS23: telencephalon mantle layer Strong Regionally restricted euxassay_002989_06
TS23: midbrain Moderate Regionally restricted euxassay_002989_06
TS23: hindbrain Moderate Regionally restricted euxassay_002989_06
TS23: trigeminal ganglion Moderate Regionally restricted euxassay_002989_06
TS23: glossopharyngeal ganglion Moderate Regionally restricted euxassay_002989_06

Specimen euxassay_002989_07: embryonic day 14.5 (more )
Structure Level Pattern Image Note
TS23: telencephalon mantle layer Strong Regionally restricted euxassay_002989_07
TS23: midbrain Moderate Regionally restricted euxassay_002989_07
TS23: hindbrain Moderate Regionally restricted euxassay_002989_07
TS23: dorsal root ganglion Moderate Regionally restricted euxassay_002989_07
TS23: glossopharyngeal ganglion Moderate Regionally restricted euxassay_002989_07
TS23: trigeminal ganglion Moderate Regionally restricted euxassay_002989_07
TS23: upper lip Moderate Regionally restricted euxassay_002989_07

Specimen euxassay_002989_08: embryonic day 14.5 (more )
Structure Level Pattern Image Note
TS23: telencephalon mantle layer Strong Regionally restricted euxassay_002989_08
TS23: diencephalon Moderate Regionally restricted euxassay_002989_08
TS23: hindbrain Moderate Regionally restricted euxassay_002989_08
TS23: midbrain Moderate Regionally restricted euxassay_002989_08
TS23: ventral grey horn Moderate Regionally restricted euxassay_002989_08
TS23: dorsal root ganglion Moderate Regionally restricted euxassay_002989_08
TS23: trigeminal ganglion Moderate Regionally restricted euxassay_002989_08
TS23: vagus ganglion Moderate Regionally restricted euxassay_002989_08
TS23: upper jaw molar Weak Regionally restricted euxassay_002989_08
TS23: lower jaw molar Weak Regionally restricted euxassay_002989_08

Specimen euxassay_002989_09: embryonic day 14.5 (more )
Structure Level Pattern Image Note
TS23: telencephalon mantle layer Moderate Regionally restricted euxassay_002989_09
TS23: diencephalon Moderate Regionally restricted euxassay_002989_09
TS23: midbrain Moderate Regionally restricted euxassay_002989_09
TS23: hindbrain Moderate Regionally restricted euxassay_002989_09
TS23: ventral grey horn Moderate Regionally restricted euxassay_002989_09
TS23: dorsal root ganglion Moderate Regionally restricted euxassay_002989_09
TS23: trigeminal ganglion Moderate Regionally restricted euxassay_002989_09
TS23: cervical ganglion Moderate Regionally restricted euxassay_002989_09
TS23: adrenal gland Weak Regionally restricted euxassay_002989_09

Specimen euxassay_002989_10: embryonic day 14.5 (more )
Structure Level Pattern Image Note
TS23: telencephalon mantle layer Moderate Regionally restricted euxassay_002989_10
TS23: diencephalon Moderate Regionally restricted euxassay_002989_10
TS23: hindbrain Moderate Regionally restricted euxassay_002989_10
TS23: midbrain Moderate Regionally restricted euxassay_002989_10
TS23: ventral grey horn Strong Regionally restricted euxassay_002989_10
TS23: dorsal root ganglion Moderate Regionally restricted euxassay_002989_10
TS23: cervico-thoracic ganglion Moderate Regionally restricted euxassay_002989_10
TS23: upper jaw molar Weak Regionally restricted euxassay_002989_10
TS23: adrenal gland Weak Regionally restricted euxassay_002989_10

Specimen euxassay_002989_11: embryonic day 14.5 (more )
Structure Level Pattern Image Note
TS23: telencephalon mantle layer Moderate Regionally restricted euxassay_002989_11
TS23: diencephalon Moderate Regionally restricted euxassay_002989_11
TS23: hindbrain Moderate Regionally restricted euxassay_002989_11
TS23: midbrain Moderate Regionally restricted euxassay_002989_11
TS23: ventral grey horn Strong Regionally restricted euxassay_002989_11
TS23: dorsal root ganglion Moderate Regionally restricted euxassay_002989_11
TS23: adrenal gland Moderate Regionally restricted euxassay_002989_11
TS23: pancreas Moderate Regionally restricted euxassay_002989_11

Specimen euxassay_002989_12: embryonic day 14.5 (more )
Structure Level Pattern Image Note
TS23: olfactory cortex marginal layer Strong Regionally restricted euxassay_002989_12
TS23: telencephalon mantle layer Strong Regionally restricted euxassay_002989_12
TS23: diencephalon Moderate Regionally restricted euxassay_002989_12
TS23: hindbrain Moderate Regionally restricted euxassay_002989_12
TS23: midbrain Moderate Regionally restricted euxassay_002989_12
TS23: ventral grey horn Strong Regionally restricted euxassay_002989_12
TS23: dorsal root ganglion Weak Regionally restricted euxassay_002989_12
TS23: adrenal gland Moderate Regionally restricted euxassay_002989_12
TS23: pancreas Moderate Regionally restricted euxassay_002989_12

Specimen euxassay_002989_13: embryonic day 14.5 (more )
Structure Level Pattern Image Note
TS23: olfactory cortex marginal layer Strong Regionally restricted euxassay_002989_13
TS23: telencephalon mantle layer Strong Regionally restricted euxassay_002989_13
TS23: midbrain Moderate Regionally restricted euxassay_002989_13
TS23: hindbrain Moderate Regionally restricted euxassay_002989_13
TS23: diencephalon Moderate Regionally restricted euxassay_002989_13
TS23: ventral grey horn Strong Regionally restricted euxassay_002989_13
TS23: pancreas Moderate Regionally restricted euxassay_002989_13

Specimen euxassay_002989_14: embryonic day 14.5 (more )
Structure Level Pattern Image Note
TS23: olfactory cortex marginal layer Strong Regionally restricted euxassay_002989_14
TS23: telencephalon mantle layer Strong Regionally restricted euxassay_002989_14
TS23: midbrain Moderate Regionally restricted euxassay_002989_14
TS23: hindbrain Moderate Regionally restricted euxassay_002989_14
TS23: diencephalon Moderate Regionally restricted euxassay_002989_14
TS23: ventral grey horn Strong Regionally restricted euxassay_002989_14
TS23: thoracic ganglion Moderate Regionally restricted euxassay_002989_14

Specimen euxassay_002989_15: embryonic day 14.5 (more )
Structure Level Pattern Image Note
TS23: telencephalon mantle layer Strong Regionally restricted euxassay_002989_15
TS23: midbrain Moderate Regionally restricted euxassay_002989_15
TS23: hindbrain Moderate Regionally restricted euxassay_002989_15
TS23: diencephalon Moderate Regionally restricted euxassay_002989_15
TS23: ventral grey horn Strong Regionally restricted euxassay_002989_15
TS23: dorsal root ganglion Weak Regionally restricted euxassay_002989_15
TS23: thoracic ganglion Moderate Regionally restricted euxassay_002989_15

Specimen euxassay_002989_16: embryonic day 14.5 (more )
Structure Level Pattern Image Note
TS23: olfactory cortex marginal layer Strong Regionally restricted euxassay_002989_16
TS23: telencephalon mantle layer Strong Regionally restricted euxassay_002989_16
TS23: midbrain Moderate Regionally restricted euxassay_002989_16
TS23: hindbrain Moderate Regionally restricted euxassay_002989_16
TS23: diencephalon Moderate Regionally restricted euxassay_002989_16
TS23: ventral grey horn Strong Regionally restricted euxassay_002989_16
TS23: dorsal root ganglion Moderate Regionally restricted euxassay_002989_16
TS23: cervico-thoracic ganglion Moderate Regionally restricted euxassay_002989_16
TS23: cervical ganglion Moderate Regionally restricted euxassay_002989_16

Specimen euxassay_002989_17: embryonic day 14.5 (more )
Structure Level Pattern Image Note
TS23: olfactory cortex marginal layer Strong Regionally restricted euxassay_002989_17
TS23: telencephalon mantle layer Strong Regionally restricted euxassay_002989_17
TS23: midbrain Moderate Regionally restricted euxassay_002989_17
TS23: hindbrain Moderate Regionally restricted euxassay_002989_17
TS23: diencephalon Moderate Regionally restricted euxassay_002989_17
TS23: ventral grey horn Strong Regionally restricted euxassay_002989_17
TS23: dorsal root ganglion Moderate Regionally restricted euxassay_002989_17
TS23: vagus ganglion Moderate Regionally restricted euxassay_002989_17

Specimen euxassay_002989_18: embryonic day 14.5 (more )
Structure Level Pattern Image Note
TS23: olfactory cortex marginal layer Strong Regionally restricted euxassay_002989_18
TS23: telencephalon mantle layer Strong Regionally restricted euxassay_002989_18
TS23: diencephalon Moderate Regionally restricted euxassay_002989_18
TS23: hindbrain Moderate Regionally restricted euxassay_002989_18
TS23: midbrain Moderate Regionally restricted euxassay_002989_18
TS23: ventral grey horn Strong Regionally restricted euxassay_002989_18
TS23: dorsal root ganglion Moderate Regionally restricted euxassay_002989_18
TS23: trigeminal ganglion Moderate Regionally restricted euxassay_002989_18
TS23: glossopharyngeal ganglion Moderate Regionally restricted euxassay_002989_18

Specimen euxassay_002989_19: embryonic day 14.5 (more )
Structure Level Pattern Image Note
TS23: olfactory cortex marginal layer Strong Regionally restricted euxassay_002989_19
TS23: telencephalon mantle layer Strong Regionally restricted euxassay_002989_19
TS23: hindbrain Moderate Regionally restricted euxassay_002989_19
TS23: midbrain Moderate Regionally restricted euxassay_002989_19
TS23: diencephalon Moderate Regionally restricted euxassay_002989_19
TS23: dorsal root ganglion Weak Regionally restricted euxassay_002989_19
TS23: trigeminal ganglion Moderate Regionally restricted euxassay_002989_19
TS23: upper jaw molar Weak Regionally restricted euxassay_002989_19
TS23: lower jaw molar Weak Regionally restricted euxassay_002989_19

Specimen euxassay_002989_20: embryonic day 14.5 (more )
Structure Level Pattern Image Note
TS23: telencephalon mantle layer Strong Regionally restricted euxassay_002989_20
TS23: hindbrain Moderate Regionally restricted euxassay_002989_20
TS23: trigeminal ganglion Moderate Regionally restricted euxassay_002989_20
TS23: lower jaw molar Weak Regionally restricted euxassay_002989_20

Specimen euxassay_002989_21: embryonic day 14.5 (more )
Structure Level Pattern Image Note
TS23: telencephalon mantle layer Strong Regionally restricted euxassay_002989_21
TS23: hindbrain Moderate Regionally restricted euxassay_002989_21
TS23: trigeminal ganglion Moderate Regionally restricted euxassay_002989_21
TS23: facial ganglion Moderate Regionally restricted euxassay_002989_21
TS23: upper jaw molar Weak Regionally restricted euxassay_002989_21

Specimen euxassay_002989_22: embryonic day 14.5 (more )
Structure Level Pattern Image Note
TS23: telencephalon mantle layer Strong Regionally restricted euxassay_002989_22
TS23: trigeminal ganglion Moderate Regionally restricted euxassay_002989_22
TS23: facial ganglion Moderate Regionally restricted euxassay_002989_22

Specimen euxassay_002989_23: embryonic day 14.5 (more )
Structure Level Pattern Image Note
TS23: telencephalon mantle layer Strong Regionally restricted euxassay_002989_23
TS23: trigeminal ganglion Moderate Regionally restricted euxassay_002989_23

Specimen euxassay_002989_24: embryonic day 14.5 (more )
Structure Level Pattern Image Note
TS23: telencephalon mantle layer Strong Regionally restricted euxassay_002989_24
TS23: neural retina Moderate Regionally restricted euxassay_002989_24


Contributing Projects:
Mouse Genome Database (MGD), Gene Expression Database (GXD), Mouse Models of Human Cancer database (MMHCdb) (formerly Mouse Tumor Biology (MTB)), Gene Ontology (GO)
Citing These Resources
Funding Information
Warranty Disclaimer, Privacy Notice, Licensing, & Copyright
Send questions and comments to User Support.
last database update
03/24/2026
MGI 6.24
The Jackson Laboratory