About   Help   FAQ
Gene Expression Data
Assay Details
Assay
Reference: J:153498 Diez-Roux G, et al., A high-resolution anatomical atlas of the transcriptome in the mouse embryo. PLoS Biol. 2011;9(1):e1000582
Assay type: RNA in situ
MGI Accession ID: MGI:4825677
Gene symbol: Jam3
Gene name: junction adhesion molecule 3
Probe: IMAGE clone 1121556
Probe preparation: Antisense labelled with digoxigenin RNA
Visualized with: Alkaline phosphatase
Assay notes: Cryosections of fresh frozen material were fixed in 4% paraformaldehyde for 20 min. before further processing. A tyramide-biotin/streptavidin amplification step was included in the in situ hybridization procedure.
Results
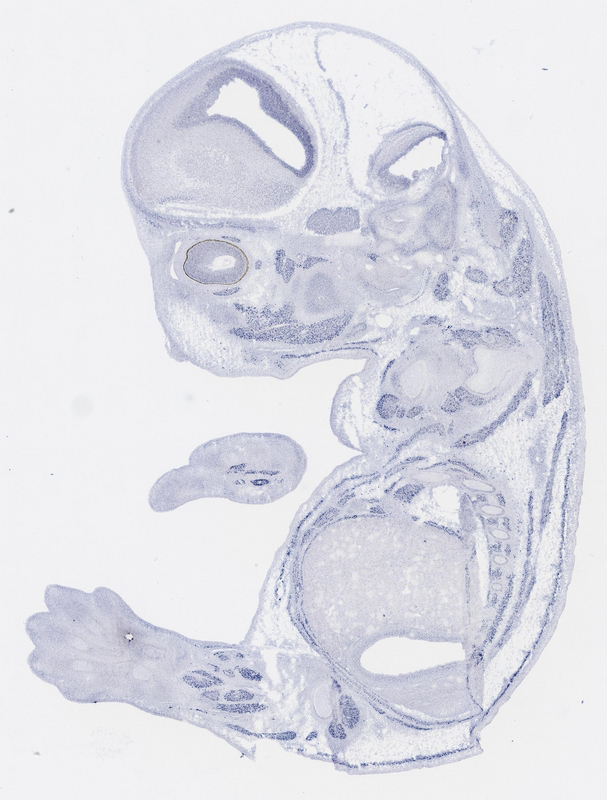
Specimen euxassay_000180_01: embryonic day 14.5 (more )
Note: Additional information for this specimen was included in the Eurexpress data submission file.
Structure Level Pattern Image Note
TS23: vertebral axis musculature Moderate Regionally restricted euxassay_000180_01
TS23: limb Moderate Regionally restricted euxassay_000180_01
TS23: limb musculature Present euxassay_000180_01
TS23: telencephalon ventricular layer Moderate Regionally restricted euxassay_000180_01
TS23: head mesenchyme Moderate Regionally restricted euxassay_000180_01
TS23: chondrocranium Weak Regionally restricted euxassay_000180_01

Specimen euxassay_000180_02: embryonic day 14.5 (more )
Note: Additional information for this specimen was included in the Eurexpress data submission file.
Structure Level Pattern Image Note
TS23: vertebral axis musculature Moderate Regionally restricted euxassay_000180_02
TS23: limb Moderate Regionally restricted euxassay_000180_02
TS23: limb musculature Present euxassay_000180_02
TS23: telencephalon ventricular layer Moderate Regionally restricted euxassay_000180_02
TS23: head mesenchyme Moderate Regionally restricted euxassay_000180_02
TS23: chondrocranium Weak Regionally restricted euxassay_000180_02

Specimen euxassay_000180_03: embryonic day 14.5 (more )
Note: Additional information for this specimen was included in the Eurexpress data submission file.
Structure Level Pattern Image Note
TS23: vertebral axis musculature Moderate Regionally restricted euxassay_000180_03
TS23: limb Moderate Regionally restricted euxassay_000180_03
TS23: limb musculature Present euxassay_000180_03
TS23: telencephalon ventricular layer Moderate Regionally restricted euxassay_000180_03
TS23: metencephalon rest of alar plate ventricular layer Moderate Regionally restricted euxassay_000180_03
TS23: diaphragm Moderate Regionally restricted euxassay_000180_03
TS23: head mesenchyme Moderate Regionally restricted euxassay_000180_03
TS23: chondrocranium Weak Regionally restricted euxassay_000180_03

Specimen euxassay_000180_04: embryonic day 14.5 (more )
Note: Additional information for this specimen was included in the Eurexpress data submission file.
Structure Level Pattern Image Note
TS23: vertebral axis musculature Moderate Regionally restricted euxassay_000180_04
TS23: limb Moderate Regionally restricted euxassay_000180_04
TS23: limb musculature Present euxassay_000180_04
TS23: telencephalon ventricular layer Moderate Regionally restricted euxassay_000180_04
TS23: metencephalon rest of alar plate ventricular layer Moderate Regionally restricted euxassay_000180_04
TS23: diaphragm Moderate Regionally restricted euxassay_000180_04
TS23: head mesenchyme Moderate Regionally restricted euxassay_000180_04
TS23: chondrocranium Weak Regionally restricted euxassay_000180_04

Specimen euxassay_000180_05: embryonic day 14.5 (more )
Note: Additional information for this specimen was included in the Eurexpress data submission file.
Structure Level Pattern Image Note
TS23: vertebral axis musculature Moderate Regionally restricted euxassay_000180_05
TS23: limb Moderate Regionally restricted euxassay_000180_05
TS23: limb musculature Present euxassay_000180_05
TS23: telencephalon ventricular layer Moderate Regionally restricted euxassay_000180_05
TS23: metencephalon rest of alar plate ventricular layer Moderate Regionally restricted euxassay_000180_05
TS23: diaphragm Moderate Regionally restricted euxassay_000180_05
TS23: head mesenchyme Moderate Regionally restricted euxassay_000180_05
TS23: chondrocranium Weak Regionally restricted euxassay_000180_05

Specimen euxassay_000180_06: embryonic day 14.5 (more )
Note: Additional information for this specimen was included in the Eurexpress data submission file.
Structure Level Pattern Image Note
TS23: vertebral axis musculature Moderate Regionally restricted euxassay_000180_06
TS23: limb Moderate Regionally restricted euxassay_000180_06
TS23: limb musculature Present euxassay_000180_06
TS23: telencephalon ventricular layer Moderate Regionally restricted euxassay_000180_06
TS23: metencephalon rest of alar plate ventricular layer Moderate Regionally restricted euxassay_000180_06
TS23: diaphragm Moderate Regionally restricted euxassay_000180_06
TS23: head mesenchyme Moderate Regionally restricted euxassay_000180_06
TS23: chondrocranium Weak Regionally restricted euxassay_000180_06

Specimen euxassay_000180_07: embryonic day 14.5 (more )
Note: Additional information for this specimen was included in the Eurexpress data submission file.
Structure Level Pattern Image Note
TS23: vertebral axis musculature Moderate Regionally restricted euxassay_000180_07
TS23: limb Moderate Regionally restricted euxassay_000180_07
TS23: limb musculature Present euxassay_000180_07
TS23: telencephalon ventricular layer Moderate Regionally restricted euxassay_000180_07
TS23: metencephalon rest of alar plate ventricular layer Moderate Regionally restricted euxassay_000180_07
TS23: diaphragm Moderate Regionally restricted euxassay_000180_07
TS23: head mesenchyme Moderate Regionally restricted euxassay_000180_07

Specimen euxassay_000180_08: embryonic day 14.5 (more )
Structure Level Pattern Image Note
TS23: vertebral axis musculature Moderate Regionally restricted euxassay_000180_08
TS23: telencephalon ventricular layer Moderate Regionally restricted euxassay_000180_08
TS23: metencephalon rest of alar plate ventricular layer Moderate Regionally restricted euxassay_000180_08
TS23: midbrain ventricular layer Weak Regionally restricted euxassay_000180_08
TS23: midbrain mantle layer Weak Regionally restricted euxassay_000180_08
TS23: diaphragm Moderate Regionally restricted euxassay_000180_08
TS23: head mesenchyme Moderate Regionally restricted euxassay_000180_08

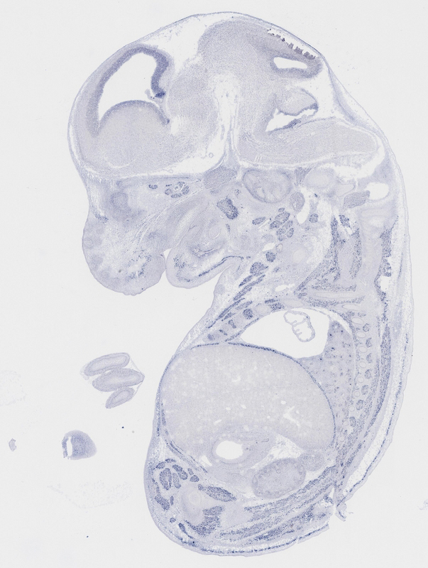
Specimen euxassay_000180_09: embryonic day 14.5 (more )
Structure Level Pattern Image Note
TS23: vertebral axis musculature Moderate Regionally restricted euxassay_000180_09
TS23: telencephalon ventricular layer Moderate Regionally restricted euxassay_000180_09
TS23: metencephalon rest of alar plate ventricular layer Moderate Regionally restricted euxassay_000180_09
TS23: pons ventricular layer Moderate Regionally restricted euxassay_000180_09
TS23: medulla oblongata basal plate ventricular layer Moderate Regionally restricted euxassay_000180_09
TS23: medulla oblongata alar plate ventricular layer Moderate Regionally restricted euxassay_000180_09
TS23: midbrain ventricular layer Weak Regionally restricted euxassay_000180_09
TS23: midbrain mantle layer Weak Regionally restricted euxassay_000180_09
TS23: diaphragm Moderate Regionally restricted euxassay_000180_09
TS23: head mesenchyme Moderate Regionally restricted euxassay_000180_09

Specimen euxassay_000180_10: embryonic day 14.5 (more )
Structure Level Pattern Image Note
TS23: vertebral axis musculature Moderate Regionally restricted euxassay_000180_10
TS23: telencephalon ventricular layer Moderate Regionally restricted euxassay_000180_10
TS23: pons ventricular layer Moderate Regionally restricted euxassay_000180_10
TS23: metencephalon rest of alar plate ventricular layer Moderate Regionally restricted euxassay_000180_10
TS23: medulla oblongata basal plate ventricular layer Moderate Regionally restricted euxassay_000180_10
TS23: medulla oblongata basal plate mantle layer Moderate Regionally restricted euxassay_000180_10
TS23: medulla oblongata alar plate ventricular layer Moderate Regionally restricted euxassay_000180_10
TS23: midbrain ventricular layer Weak Regionally restricted euxassay_000180_10
TS23: diaphragm Weak Regionally restricted euxassay_000180_10
TS23: head mesenchyme Moderate Regionally restricted euxassay_000180_10

Specimen euxassay_000180_11: embryonic day 14.5 (more )
Structure Level Pattern Image Note
TS23: vertebral axis musculature Moderate Regionally restricted euxassay_000180_11
TS23: olfactory cortex ventricular layer Moderate Regionally restricted euxassay_000180_11
TS23: telencephalon ventricular layer Moderate Regionally restricted euxassay_000180_11
TS23: pons ventricular layer Moderate Regionally restricted euxassay_000180_11
TS23: medulla oblongata basal plate ventricular layer Weak Regionally restricted euxassay_000180_11
TS23: medulla oblongata alar plate ventricular layer Weak Regionally restricted euxassay_000180_11
TS23: midbrain ventricular layer Weak Regionally restricted euxassay_000180_11
TS23: diencephalon lateral wall ventricular layer Moderate Regionally restricted euxassay_000180_11
TS23: hypothalamus ventricular layer Moderate Regionally restricted euxassay_000180_11
TS23: diaphragm Weak Regionally restricted euxassay_000180_11
TS23: head mesenchyme Moderate Regionally restricted euxassay_000180_11

Specimen euxassay_000180_12: embryonic day 14.5 (more )
Structure Level Pattern Image Note
TS23: vertebral axis musculature Moderate Regionally restricted euxassay_000180_12
TS23: telencephalon ventricular layer Moderate Regionally restricted euxassay_000180_12
TS23: pons ventricular layer Moderate Regionally restricted euxassay_000180_12
TS23: medulla oblongata basal plate ventricular layer Moderate Regionally restricted euxassay_000180_12
TS23: midbrain ventricular layer Weak Regionally restricted euxassay_000180_12
TS23: diencephalon lateral wall ventricular layer Moderate Regionally restricted euxassay_000180_12
TS23: hypothalamus ventricular layer Moderate Regionally restricted euxassay_000180_12
TS23: diaphragm Weak Regionally restricted euxassay_000180_12
TS23: head mesenchyme Moderate Regionally restricted euxassay_000180_12
TS23: tongue Weak Regionally restricted euxassay_000180_12

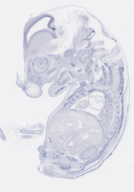
Specimen euxassay_000180_13: embryonic day 14.5 (more )
Structure Level Pattern Image Note
TS23: vertebral axis musculature Moderate Regionally restricted euxassay_000180_13
TS23: telencephalon ventricular layer Moderate Regionally restricted euxassay_000180_13
TS23: pons ventricular layer Moderate Regionally restricted euxassay_000180_13
TS23: medulla oblongata basal plate ventricular layer Moderate Regionally restricted euxassay_000180_13
TS23: medulla oblongata alar plate ventricular layer Moderate Regionally restricted euxassay_000180_13
TS23: spinal cord mantle layer Moderate Regionally restricted euxassay_000180_13
TS23: midbrain ventricular layer Weak Regionally restricted euxassay_000180_13
TS23: hypothalamus ventricular layer Moderate Regionally restricted euxassay_000180_13
TS23: diencephalon lateral wall ventricular layer Moderate Regionally restricted euxassay_000180_13
TS23: diencephalon lateral wall mantle layer Moderate Regionally restricted euxassay_000180_13
TS23: tongue Weak Regionally restricted euxassay_000180_13
TS23: tail mesenchyme Moderate Regionally restricted euxassay_000180_13

Specimen euxassay_000180_14: embryonic day 14.5 (more )
Structure Level Pattern Image Note
TS23: vertebral axis musculature Moderate Regionally restricted euxassay_000180_14
TS23: telencephalon ventricular layer Moderate Regionally restricted euxassay_000180_14
TS23: metencephalon rest of alar plate ventricular layer Weak Regionally restricted euxassay_000180_14
TS23: medulla oblongata basal plate ventricular layer Weak Regionally restricted euxassay_000180_14
TS23: medulla oblongata alar plate ventricular layer Weak Regionally restricted euxassay_000180_14
TS23: spinal cord mantle layer Moderate Regionally restricted euxassay_000180_14
TS23: midbrain ventricular layer Weak Regionally restricted euxassay_000180_14
TS23: hypothalamus ventricular layer Moderate Regionally restricted euxassay_000180_14
TS23: diencephalon lateral wall ventricular layer Moderate Regionally restricted euxassay_000180_14
TS23: head mesenchyme Moderate Regionally restricted euxassay_000180_14
TS23: tongue Moderate Regionally restricted euxassay_000180_14
TS23: tail mesenchyme Moderate Regionally restricted euxassay_000180_14

Specimen euxassay_000180_15: embryonic day 14.5 (more )
Structure Level Pattern Image Note
TS23: vertebral axis musculature Moderate Regionally restricted euxassay_000180_15
TS23: telencephalon ventricular layer Moderate Regionally restricted euxassay_000180_15
TS23: medulla oblongata basal plate ventricular layer Weak Regionally restricted euxassay_000180_15
TS23: medulla oblongata alar plate ventricular layer Weak Regionally restricted euxassay_000180_15
TS23: spinal cord mantle layer Moderate Regionally restricted euxassay_000180_15
TS23: midbrain ventricular layer Weak Regionally restricted euxassay_000180_15
TS23: hypothalamus ventricular layer Weak Regionally restricted euxassay_000180_15
TS23: head mesenchyme Moderate Regionally restricted euxassay_000180_15
TS23: tongue Moderate Regionally restricted euxassay_000180_15
TS23: tail mesenchyme Moderate Regionally restricted euxassay_000180_15

Specimen euxassay_000180_16: embryonic day 14.5 (more )
Structure Level Pattern Image Note
TS23: vertebral axis musculature Moderate Regionally restricted euxassay_000180_16
TS23: telencephalon ventricular layer Moderate Regionally restricted euxassay_000180_16
TS23: olfactory cortex ventricular layer Moderate Regionally restricted euxassay_000180_16
TS23: metencephalon rest of alar plate ventricular layer Weak Regionally restricted euxassay_000180_16
TS23: medulla oblongata basal plate ventricular layer Weak Regionally restricted euxassay_000180_16
TS23: medulla oblongata alar plate ventricular layer Weak Regionally restricted euxassay_000180_16
TS23: medulla oblongata basal plate mantle layer Weak Regionally restricted euxassay_000180_16
TS23: midbrain ventricular layer Weak Regionally restricted euxassay_000180_16
TS23: head mesenchyme Moderate Regionally restricted euxassay_000180_16
TS23: tail mesenchyme Moderate Regionally restricted euxassay_000180_16

Specimen euxassay_000180_17: embryonic day 14.5 (more )
Structure Level Pattern Image Note
TS23: vertebral axis musculature Moderate Regionally restricted euxassay_000180_17
TS23: olfactory cortex ventricular layer Moderate Regionally restricted euxassay_000180_17
TS23: telencephalon ventricular layer Moderate Regionally restricted euxassay_000180_17
TS23: metencephalon rest of alar plate ventricular layer Weak Regionally restricted euxassay_000180_17
TS23: medulla oblongata alar plate ventricular layer Weak Regionally restricted euxassay_000180_17
TS23: medulla oblongata basal plate mantle layer Weak Regionally restricted euxassay_000180_17
TS23: medulla oblongata basal plate ventricular layer Weak Regionally restricted euxassay_000180_17
TS23: midbrain mantle layer Weak Regionally restricted euxassay_000180_17
TS23: head mesenchyme Moderate Regionally restricted euxassay_000180_17
TS23: tail mesenchyme Moderate Regionally restricted euxassay_000180_17

Specimen euxassay_000180_18: embryonic day 14.5 (more )
Structure Level Pattern Image Note
TS23: vertebral axis musculature Moderate Regionally restricted euxassay_000180_18
TS23: olfactory cortex ventricular layer Moderate Regionally restricted euxassay_000180_18
TS23: telencephalon ventricular layer Moderate Regionally restricted euxassay_000180_18
TS23: metencephalon rest of alar plate ventricular layer Moderate Regionally restricted euxassay_000180_18
TS23: midbrain mantle layer Weak Regionally restricted euxassay_000180_18
TS23: head mesenchyme Moderate Regionally restricted euxassay_000180_18
TS23: tail mesenchyme Moderate Regionally restricted euxassay_000180_18

Specimen euxassay_000180_19: embryonic day 14.5 (more )
Structure Level Pattern Image Note
TS23: cerebral cortex Strong Uniform euxassay_000180_19
TS23: vertebral axis musculature Moderate Regionally restricted euxassay_000180_19
TS23: telencephalon ventricular layer Moderate Regionally restricted euxassay_000180_19
TS23: metencephalon rest of alar plate ventricular layer Moderate Regionally restricted euxassay_000180_19
TS23: diaphragm Weak Regionally restricted euxassay_000180_19
TS23: head mesenchyme Moderate Regionally restricted euxassay_000180_19

Specimen euxassay_000180_20: embryonic day 14.5 (more )
Structure Level Pattern Image Note
TS23: vertebral axis musculature Moderate Regionally restricted euxassay_000180_20
TS23: telencephalon ventricular layer Moderate Regionally restricted euxassay_000180_20
TS23: metencephalon rest of alar plate ventricular layer Moderate Regionally restricted euxassay_000180_20
TS23: diaphragm Moderate Regionally restricted euxassay_000180_20
TS23: head mesenchyme Moderate Regionally restricted euxassay_000180_20

Specimen euxassay_000180_21: embryonic day 14.5 (more )
Structure Level Pattern Image Note
TS23: vertebral axis musculature Moderate Regionally restricted euxassay_000180_21
TS23: telencephalon ventricular layer Moderate Regionally restricted euxassay_000180_21
TS23: metencephalon rest of alar plate ventricular layer Moderate Regionally restricted euxassay_000180_21
TS23: diaphragm Moderate Regionally restricted euxassay_000180_21
TS23: head mesenchyme Moderate Regionally restricted euxassay_000180_21
TS23: chondrocranium Weak Regionally restricted euxassay_000180_21

Specimen euxassay_000180_22: embryonic day 14.5 (more )
Note: Additional information for this specimen was included in the Eurexpress data submission file.
Structure Level Pattern Image Note
TS23: vertebral axis musculature Moderate Regionally restricted euxassay_000180_22
TS23: limb Moderate Regionally restricted euxassay_000180_22
TS23: limb musculature Present euxassay_000180_22
TS23: telencephalon ventricular layer Moderate Regionally restricted euxassay_000180_22
TS23: metencephalon rest of alar plate ventricular layer Moderate Regionally restricted euxassay_000180_22
TS23: diaphragm Moderate Regionally restricted euxassay_000180_22
TS23: head mesenchyme Moderate Regionally restricted euxassay_000180_22
TS23: chondrocranium Weak Regionally restricted euxassay_000180_22

Specimen euxassay_000180_23: embryonic day 14.5 (more )
Note: Additional information for this specimen was included in the Eurexpress data submission file.
Structure Level Pattern Image Note
TS23: vertebral axis musculature Moderate Regionally restricted euxassay_000180_23
TS23: limb Moderate Regionally restricted euxassay_000180_23
TS23: limb musculature Present euxassay_000180_23
TS23: telencephalon ventricular layer Moderate Regionally restricted euxassay_000180_23
TS23: diaphragm Moderate Regionally restricted euxassay_000180_23
TS23: head mesenchyme Moderate Regionally restricted euxassay_000180_23
TS23: chondrocranium Weak Regionally restricted euxassay_000180_23

Specimen euxassay_000180_24: embryonic day 14.5 (more )
Note: Additional information for this specimen was included in the Eurexpress data submission file.
Structure Level Pattern Image Note
TS23: vertebral axis musculature Moderate Regionally restricted euxassay_000180_24
TS23: limb Moderate Regionally restricted euxassay_000180_24
TS23: limb musculature Present euxassay_000180_24
TS23: diaphragm Moderate Regionally restricted euxassay_000180_24
TS23: head mesenchyme Moderate Regionally restricted euxassay_000180_24
TS23: tongue Weak Regionally restricted euxassay_000180_24
TS23: chondrocranium Weak Regionally restricted euxassay_000180_24


Contributing Projects:
Mouse Genome Database (MGD), Gene Expression Database (GXD), Mouse Models of Human Cancer database (MMHCdb) (formerly Mouse Tumor Biology (MTB)), Gene Ontology (GO)
Citing These Resources
Funding Information
Warranty Disclaimer, Privacy Notice, Licensing, & Copyright
Send questions and comments to User Support.
last database update
01/06/2026
MGI 6.24
The Jackson Laboratory