About   Help   FAQ
Gene Expression Data
Assay Details
Assay
Reference: J:153498 Diez-Roux G, et al., A high-resolution anatomical atlas of the transcriptome in the mouse embryo. PLoS Biol. 2011;9(1):e1000582
Assay type: RNA in situ
MGI Accession ID: MGI:4825674
Gene symbol: Jak1
Gene name: Janus kinase 1
Probe: MGC clone 37919
Probe preparation: Antisense labelled with digoxigenin RNA
Visualized with: Alkaline phosphatase
Assay notes: Cryosections of fresh frozen material were fixed in 4% paraformaldehyde for 20 min. before further processing. A tyramide-biotin/streptavidin amplification step was included in the in situ hybridization procedure.
Results
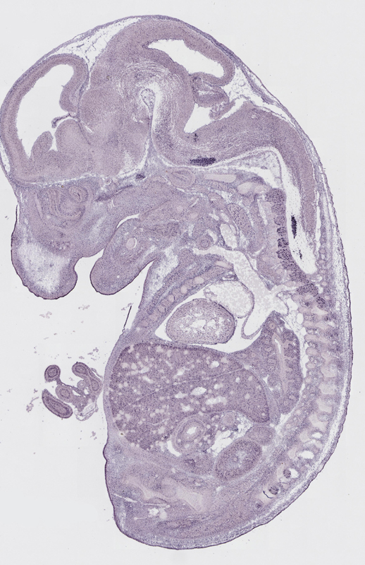
Specimen euxassay_003142_07: embryonic day 14.5 (more )
Note: Additional information for this specimen was included in the Eurexpress data submission file.
Structure Level Pattern Image Note
TS23: metencephalon basal plate Strong Regionally restricted euxassay_003142_07 trigeminal motor nucleus

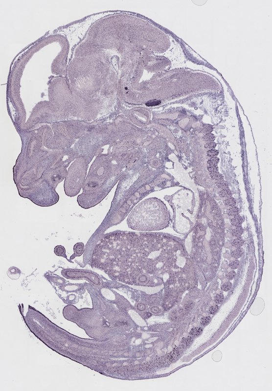
Specimen euxassay_003142_08: embryonic day 14.5 (more )
Note: Additional information for this specimen was included in the Eurexpress data submission file.
Structure Level Pattern Image Note
TS23: metencephalon basal plate Strong Regionally restricted euxassay_003142_08 trigeminal motor nucleus

Specimen euxassay_003142_09: embryonic day 14.5 (more )
Note: Additional information for this specimen was included in the Eurexpress data submission file.
Structure Level Pattern Image Note
TS23: medulla oblongata basal plate Strong Regionally restricted euxassay_003142_09 facial motor nucleus

Specimen euxassay_003142_10: embryonic day 14.5 (more )
Note: Additional information for this specimen was included in the Eurexpress data submission file.
Structure Level Pattern Image Note
TS23: medulla oblongata basal plate Strong Regionally restricted euxassay_003142_10 facial motor nucleus

Specimen euxassay_003142_11: embryonic day 14.5 (more )
Structure Level Pattern Image Note
TS23: ventral grey horn Strong Regionally restricted euxassay_003142_11

Specimen euxassay_003142_12: embryonic day 14.5 (more )
Structure Level Pattern Image Note
TS23: ventral grey horn Strong Regionally restricted euxassay_003142_12

Specimen euxassay_003142_13: embryonic day 14.5 (more )
Structure Level Pattern Image Note
TS23: ventral grey horn Strong Regionally restricted euxassay_003142_13

Specimen euxassay_003142_14: embryonic day 14.5 (more )
Structure Level Pattern Image Note
TS23: ventral grey horn Strong Regionally restricted euxassay_003142_14

Specimen euxassay_003142_15: embryonic day 14.5 (more )
Structure Level Pattern Image Note
TS23: ventral grey horn Strong Regionally restricted euxassay_003142_15

Specimen euxassay_003142_16: embryonic day 14.5 (more )
Note: Additional information for this specimen was included in the Eurexpress data submission file.
Structure Level Pattern Image Note
TS23: medulla oblongata basal plate Strong Regionally restricted euxassay_003142_16 facial motor nucleus
TS23: ventral grey horn Strong Regionally restricted euxassay_003142_16

Specimen euxassay_003142_17: embryonic day 14.5 (more )
Note: Additional information for this specimen was included in the Eurexpress data submission file.
Structure Level Pattern Image Note
TS23: medulla oblongata basal plate Strong Regionally restricted euxassay_003142_17 facial motor nucleus

Specimen euxassay_003142_18: embryonic day 14.5 (more )
Note: Additional information for this specimen was included in the Eurexpress data submission file.
Structure Level Pattern Image Note
TS23: metencephalon basal plate Strong Regionally restricted euxassay_003142_18 trigeminal motor nucleus


Contributing Projects:
Mouse Genome Database (MGD), Gene Expression Database (GXD), Mouse Models of Human Cancer database (MMHCdb) (formerly Mouse Tumor Biology (MTB)), Gene Ontology (GO)
Citing These Resources
Funding Information
Warranty Disclaimer, Privacy Notice, Licensing, & Copyright
Send questions and comments to User Support.
last database update
01/06/2026
MGI 6.24
The Jackson Laboratory