About   Help   FAQ
Gene Expression Data
Assay Details
Assay
Reference: J:153498 Diez-Roux G, et al., A high-resolution anatomical atlas of the transcriptome in the mouse embryo. PLoS Biol. 2011;9(1):e1000582
Assay type: RNA in situ
MGI Accession ID: MGI:4825658
Gene symbol: Itgb8
Gene name: integrin beta 8
Probe: T37760
Probe preparation: Antisense labelled with digoxigenin RNA
Visualized with: Alkaline phosphatase
Assay notes: Cryosections of fresh frozen material were fixed in 4% paraformaldehyde for 20 min. before further processing. A tyramide-biotin/streptavidin amplification step was included in the in situ hybridization procedure.
Results
Specimen euxassay_011385_01: embryonic day 14.5 (more )
Structure Level Pattern Image Note
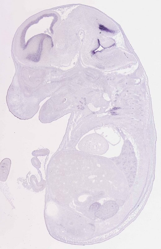
TS23: telencephalon ventricular layer Moderate Regionally restricted euxassay_011385_01

Specimen euxassay_011385_02: embryonic day 14.5 (more )
Structure Level Pattern Image Note
TS23: telencephalon ventricular layer Moderate Regionally restricted euxassay_011385_02
TS23: brachial plexus Moderate Regionally restricted euxassay_011385_02

Specimen euxassay_011385_03: embryonic day 14.5 (more )
Structure Level Pattern Image Note
TS23: telencephalon ventricular layer Moderate Regionally restricted euxassay_011385_03
TS23: rest of cerebellum ventricular layer Strong Regionally restricted euxassay_011385_03
TS23: pons ventricular layer Strong Regionally restricted euxassay_011385_03
TS23: brachial plexus Strong Regionally restricted euxassay_011385_03
TS23: hindlimb digit 2 phalanx Weak Regionally restricted euxassay_011385_03
TS23: hindlimb digit 3 phalanx Weak Regionally restricted euxassay_011385_03
TS23: hindlimb digit 4 phalanx Weak Regionally restricted euxassay_011385_03
TS23: vibrissa Weak Regionally restricted euxassay_011385_03

Specimen euxassay_011385_04: embryonic day 14.5 (more )
Structure Level Pattern Image Note
TS23: telencephalon ventricular layer Strong Regionally restricted euxassay_011385_04
TS23: rest of cerebellum ventricular layer Strong Regionally restricted euxassay_011385_04
TS23: pons ventricular layer Strong Regionally restricted euxassay_011385_04
TS23: brachial plexus Strong Regionally restricted euxassay_011385_04
TS23: vibrissa Moderate Regionally restricted euxassay_011385_04

Specimen euxassay_011385_05: embryonic day 14.5 (more )
Structure Level Pattern Image Note
TS23: telencephalon ventricular layer Moderate Regionally restricted euxassay_011385_05
TS23: rest of cerebellum ventricular layer Strong Regionally restricted euxassay_011385_05
TS23: pons ventricular layer Strong Regionally restricted euxassay_011385_05
TS23: brachial plexus Strong Regionally restricted euxassay_011385_05
TS23: testis Weak Regionally restricted euxassay_011385_05
TS23: hindlimb digit 1 phalanx Weak Regionally restricted euxassay_011385_05
TS23: hindlimb digit 2 phalanx Weak Regionally restricted euxassay_011385_05
TS23: hindlimb digit 3 phalanx Weak Regionally restricted euxassay_011385_05
TS23: hindlimb digit 4 phalanx Weak Regionally restricted euxassay_011385_05
TS23: hindlimb digit 5 phalanx Weak Regionally restricted euxassay_011385_05
TS23: vibrissa Moderate Regionally restricted euxassay_011385_05
TS23: optic nerve Weak Regionally restricted euxassay_011385_05

Specimen euxassay_011385_06: embryonic day 14.5 (more )
Structure Level Pattern Image Note
TS23: telencephalon ventricular layer Strong Regionally restricted euxassay_011385_06
TS23: medulla oblongata alar plate ventricular layer Strong Regionally restricted euxassay_011385_06
TS23: pons ventricular layer Strong Regionally restricted euxassay_011385_06
TS23: rest of cerebellum ventricular layer Strong Regionally restricted euxassay_011385_06
TS23: brachial plexus Strong Regionally restricted euxassay_011385_06
TS23: testis Weak Regionally restricted euxassay_011385_06
TS23: vibrissa Moderate Regionally restricted euxassay_011385_06
TS23: optic nerve Weak Regionally restricted euxassay_011385_06

Specimen euxassay_011385_07: embryonic day 14.5 (more )
Structure Level Pattern Image Note
TS23: telencephalon ventricular layer Strong Regionally restricted euxassay_011385_07
TS23: medulla oblongata alar plate ventricular layer Strong Regionally restricted euxassay_011385_07
TS23: rest of cerebellum ventricular layer Strong Regionally restricted euxassay_011385_07
TS23: pons ventricular layer Strong Regionally restricted euxassay_011385_07
TS23: brachial plexus Strong Regionally restricted euxassay_011385_07
TS23: testis Weak Regionally restricted euxassay_011385_07
TS23: vibrissa Weak Regionally restricted euxassay_011385_07
TS23: optic nerve Weak Regionally restricted euxassay_011385_07

Specimen euxassay_011385_08: embryonic day 14.5 (more )
Structure Level Pattern Image Note
TS23: telencephalon ventricular layer Strong Regionally restricted euxassay_011385_08
TS23: midbrain ventricular layer Strong Regionally restricted euxassay_011385_08
TS23: medulla oblongata alar plate ventricular layer Strong Regionally restricted euxassay_011385_08
TS23: rest of cerebellum ventricular layer Strong Regionally restricted euxassay_011385_08
TS23: pons ventricular layer Strong Regionally restricted euxassay_011385_08
TS23: brachial plexus Strong Regionally restricted euxassay_011385_08
TS23: submandibular gland primordium Weak Regionally restricted euxassay_011385_08
TS23: testis Weak Regionally restricted euxassay_011385_08
TS23: optic nerve Weak Regionally restricted euxassay_011385_08

Specimen euxassay_011385_09: embryonic day 14.5 (more )
Structure Level Pattern Image Note
TS23: telencephalon ventricular layer Strong Regionally restricted euxassay_011385_09
TS23: midbrain ventricular layer Strong Regionally restricted euxassay_011385_09
TS23: pons ventricular layer Strong Regionally restricted euxassay_011385_09
TS23: rest of cerebellum ventricular layer Strong Regionally restricted euxassay_011385_09
TS23: medulla oblongata alar plate ventricular layer Strong Regionally restricted euxassay_011385_09
TS23: brachial plexus Strong Regionally restricted euxassay_011385_09
TS23: submandibular gland primordium Weak Regionally restricted euxassay_011385_09
TS23: testis Weak Regionally restricted euxassay_011385_09
TS23: optic nerve Weak Regionally restricted euxassay_011385_09

Specimen euxassay_011385_10: embryonic day 14.5 (more )
Structure Level Pattern Image Note
TS23: telencephalon ventricular layer Strong Regionally restricted euxassay_011385_10
TS23: midbrain ventricular layer Strong Regionally restricted euxassay_011385_10
TS23: medulla oblongata alar plate ventricular layer Strong Regionally restricted euxassay_011385_10
TS23: rest of cerebellum ventricular layer Strong Regionally restricted euxassay_011385_10
TS23: pons ventricular layer Strong Regionally restricted euxassay_011385_10
TS23: heart valve Weak Regionally restricted euxassay_011385_10
TS23: axial skeleton tail region Moderate Regionally restricted euxassay_011385_10
TS23: optic nerve Weak Regionally restricted euxassay_011385_10

Specimen euxassay_011385_11: embryonic day 14.5 (more )
Structure Level Pattern Image Note
TS23: telencephalon ventricular layer Strong Regionally restricted euxassay_011385_11
TS23: midbrain ventricular layer Strong Regionally restricted euxassay_011385_11
TS23: diencephalon lateral wall ventricular layer Strong Regionally restricted euxassay_011385_11
TS23: pons ventricular layer Strong Regionally restricted euxassay_011385_11
TS23: rest of cerebellum ventricular layer Strong Regionally restricted euxassay_011385_11
TS23: medulla oblongata basal plate ventricular layer Strong Regionally restricted euxassay_011385_11
TS23: medulla oblongata alar plate ventricular layer Strong Regionally restricted euxassay_011385_11
TS23: heart valve Weak Regionally restricted euxassay_011385_11
TS23: axial skeleton tail region Moderate Regionally restricted euxassay_011385_11

Specimen euxassay_011385_12: embryonic day 14.5 (more )
Structure Level Pattern Image Note
TS23: diencephalon lateral wall ventricular layer Strong Regionally restricted euxassay_011385_12
TS23: telencephalon ventricular layer Strong Regionally restricted euxassay_011385_12
TS23: midbrain ventricular layer Strong Regionally restricted euxassay_011385_12
TS23: pons ventricular layer Strong Regionally restricted euxassay_011385_12
TS23: rest of cerebellum ventricular layer Strong Regionally restricted euxassay_011385_12
TS23: medulla oblongata basal plate ventricular layer Strong Regionally restricted euxassay_011385_12
TS23: medulla oblongata alar plate ventricular layer Strong Regionally restricted euxassay_011385_12
TS23: spinal cord ventricular layer Strong Regionally restricted euxassay_011385_12
TS23: heart valve Weak Regionally restricted euxassay_011385_12
TS23: axial skeleton tail region Moderate Regionally restricted euxassay_011385_12
TS23: nasal cavity Moderate Regionally restricted euxassay_011385_12

Specimen euxassay_011385_13: embryonic day 14.5 (more )
Structure Level Pattern Image Note
TS23: diencephalon lateral wall ventricular layer Strong Regionally restricted euxassay_011385_13
TS23: telencephalon ventricular layer Strong Regionally restricted euxassay_011385_13
TS23: midbrain ventricular layer Strong Regionally restricted euxassay_011385_13
TS23: pons ventricular layer Strong Regionally restricted euxassay_011385_13
TS23: rest of cerebellum ventricular layer Strong Regionally restricted euxassay_011385_13
TS23: medulla oblongata basal plate ventricular layer Strong Regionally restricted euxassay_011385_13
TS23: medulla oblongata alar plate ventricular layer Strong Regionally restricted euxassay_011385_13
TS23: spinal cord ventricular layer Strong Regionally restricted euxassay_011385_13
TS23: heart valve Weak Regionally restricted euxassay_011385_13
TS23: axial skeleton tail region Moderate Regionally restricted euxassay_011385_13
TS23: nasal cavity Moderate Regionally restricted euxassay_011385_13

Specimen euxassay_011385_14: embryonic day 14.5 (more )
Structure Level Pattern Image Note
TS23: diencephalon lateral wall ventricular layer Strong Regionally restricted euxassay_011385_14
TS23: telencephalon ventricular layer Strong Regionally restricted euxassay_011385_14
TS23: midbrain ventricular layer Strong Regionally restricted euxassay_011385_14
TS23: medulla oblongata basal plate ventricular layer Strong Regionally restricted euxassay_011385_14
TS23: medulla oblongata alar plate ventricular layer Strong Regionally restricted euxassay_011385_14
TS23: rest of cerebellum ventricular layer Strong Regionally restricted euxassay_011385_14
TS23: pons ventricular layer Strong Regionally restricted euxassay_011385_14
TS23: spinal cord ventricular layer Strong Regionally restricted euxassay_011385_14
TS23: heart valve Weak Regionally restricted euxassay_011385_14
TS23: axial skeleton tail region Moderate Regionally restricted euxassay_011385_14
TS23: nasal cavity Moderate Regionally restricted euxassay_011385_14

Specimen euxassay_011385_15: embryonic day 14.5 (more )
Structure Level Pattern Image Note
TS23: diencephalon lateral wall ventricular layer Strong Regionally restricted euxassay_011385_15
TS23: telencephalon ventricular layer Strong Regionally restricted euxassay_011385_15
TS23: midbrain ventricular layer Strong Regionally restricted euxassay_011385_15
TS23: medulla oblongata alar plate ventricular layer Strong Regionally restricted euxassay_011385_15
TS23: rest of cerebellum ventricular layer Strong Regionally restricted euxassay_011385_15
TS23: pons ventricular layer Strong Regionally restricted euxassay_011385_15
TS23: spinal cord ventricular layer Strong Regionally restricted euxassay_011385_15
TS23: axial skeleton tail region Moderate Regionally restricted euxassay_011385_15
TS23: nasal cavity Moderate Regionally restricted euxassay_011385_15
TS23: optic chiasma Weak Regionally restricted euxassay_011385_15

Specimen euxassay_011385_16: embryonic day 14.5 (more )
Structure Level Pattern Image Note
TS23: telencephalon ventricular layer Strong Regionally restricted euxassay_011385_16
TS23: midbrain ventricular layer Strong Regionally restricted euxassay_011385_16
TS23: medulla oblongata alar plate ventricular layer Strong Regionally restricted euxassay_011385_16
TS23: rest of cerebellum ventricular layer Strong Regionally restricted euxassay_011385_16
TS23: pons ventricular layer Strong Regionally restricted euxassay_011385_16
TS23: submandibular gland primordium Weak Regionally restricted euxassay_011385_16
TS23: optic nerve Weak Regionally restricted euxassay_011385_16

Specimen euxassay_011385_17: embryonic day 14.5 (more )
Structure Level Pattern Image Note
TS23: telencephalon ventricular layer Moderate Regionally restricted euxassay_011385_17
TS23: midbrain ventricular layer Strong Regionally restricted euxassay_011385_17
TS23: pons ventricular layer Strong Regionally restricted euxassay_011385_17
TS23: rest of cerebellum ventricular layer Strong Regionally restricted euxassay_011385_17
TS23: medulla oblongata alar plate ventricular layer Strong Regionally restricted euxassay_011385_17
TS23: submandibular gland primordium Weak Regionally restricted euxassay_011385_17
TS23: axial skeleton Moderate Regionally restricted euxassay_011385_17
TS23: optic nerve Weak Regionally restricted euxassay_011385_17

Specimen euxassay_011385_18: embryonic day 14.5 (more )
Structure Level Pattern Image Note
TS23: telencephalon ventricular layer Moderate Regionally restricted euxassay_011385_18
TS23: midbrain ventricular layer Strong Regionally restricted euxassay_011385_18
TS23: medulla oblongata alar plate ventricular layer Strong Regionally restricted euxassay_011385_18
TS23: rest of cerebellum ventricular layer Strong Regionally restricted euxassay_011385_18
TS23: pons ventricular layer Strong Regionally restricted euxassay_011385_18
TS23: submandibular gland primordium Weak Regionally restricted euxassay_011385_18
TS23: optic nerve Weak Regionally restricted euxassay_011385_18

Specimen euxassay_011385_19: embryonic day 14.5 (more )
Structure Level Pattern Image Note
TS23: telencephalon ventricular layer Moderate Regionally restricted euxassay_011385_19
TS23: pons ventricular layer Strong Regionally restricted euxassay_011385_19
TS23: rest of cerebellum ventricular layer Strong Regionally restricted euxassay_011385_19
TS23: medulla oblongata basal plate ventricular layer Strong Regionally restricted euxassay_011385_19
TS23: medulla oblongata alar plate ventricular layer Strong Regionally restricted euxassay_011385_19
TS23: submandibular gland primordium Weak Regionally restricted euxassay_011385_19
TS23: testis Weak Regionally restricted euxassay_011385_19

Specimen euxassay_011385_20: embryonic day 14.5 (more )
Structure Level Pattern Image Note
TS23: telencephalon ventricular layer Moderate Regionally restricted euxassay_011385_20
TS23: pons ventricular layer Strong Regionally restricted euxassay_011385_20
TS23: rest of cerebellum ventricular layer Strong Regionally restricted euxassay_011385_20
TS23: submandibular gland primordium Weak Regionally restricted euxassay_011385_20
TS23: testis Weak Regionally restricted euxassay_011385_20
TS23: hindlimb digit 3 phalanx Weak Regionally restricted euxassay_011385_20
TS23: hindlimb digit 4 phalanx Weak Regionally restricted euxassay_011385_20
TS23: hindlimb digit 5 phalanx Weak Regionally restricted euxassay_011385_20
TS23: vibrissa Weak Regionally restricted euxassay_011385_20

Specimen euxassay_011385_21: embryonic day 14.5 (more )
Structure Level Pattern Image Note
TS23: telencephalon ventricular layer Moderate Regionally restricted euxassay_011385_21
TS23: pons ventricular layer Strong Regionally restricted euxassay_011385_21
TS23: rest of cerebellum ventricular layer Strong Regionally restricted euxassay_011385_21
TS23: testis Weak Regionally restricted euxassay_011385_21
TS23: hindlimb digit 2 phalanx Weak Regionally restricted euxassay_011385_21
TS23: hindlimb digit 3 phalanx Weak Regionally restricted euxassay_011385_21
TS23: hindlimb digit 4 phalanx Weak Regionally restricted euxassay_011385_21
TS23: hindlimb digit 5 phalanx Weak Regionally restricted euxassay_011385_21
TS23: vibrissa Weak Regionally restricted euxassay_011385_21

Specimen euxassay_011385_22: embryonic day 14.5 (more )
Structure Level Pattern Image Note
TS23: telencephalon ventricular layer Moderate Regionally restricted euxassay_011385_22
TS23: rest of cerebellum ventricular layer Strong Regionally restricted euxassay_011385_22
TS23: pons ventricular layer Strong Regionally restricted euxassay_011385_22
TS23: testis Weak Regionally restricted euxassay_011385_22
TS23: hindlimb digit 5 phalanx Weak Regionally restricted euxassay_011385_22
TS23: hindlimb digit 4 phalanx Weak Regionally restricted euxassay_011385_22
TS23: hindlimb digit 3 phalanx Weak Regionally restricted euxassay_011385_22
TS23: hindlimb digit 2 phalanx Weak Regionally restricted euxassay_011385_22
TS23: hindlimb digit 1 phalanx Weak Regionally restricted euxassay_011385_22
TS23: vibrissa Weak Regionally restricted euxassay_011385_22

Specimen euxassay_011385_23: embryonic day 14.5 (more )
Structure Level Pattern Image Note
TS23: telencephalon ventricular layer Moderate Regionally restricted euxassay_011385_23
TS23: testis Weak Regionally restricted euxassay_011385_23
TS23: vibrissa Weak Regionally restricted euxassay_011385_23


Contributing Projects:
Mouse Genome Database (MGD), Gene Expression Database (GXD), Mouse Models of Human Cancer database (MMHCdb) (formerly Mouse Tumor Biology (MTB)), Gene Ontology (GO)
Citing These Resources
Funding Information
Warranty Disclaimer, Privacy Notice, Licensing, & Copyright
Send questions and comments to User Support.
last database update
12/30/2025
MGI 6.24
The Jackson Laboratory