About   Help   FAQ
Gene Expression Data
Assay Details
Assay
Reference: J:153498 Diez-Roux G, et al., A high-resolution anatomical atlas of the transcriptome in the mouse embryo. PLoS Biol. 2011;9(1):e1000582
Assay type: RNA in situ
MGI Accession ID: MGI:4825656
Gene symbol: Itgb6
Gene name: integrin beta 6
Probe: MGC clone 54526
Probe preparation: Antisense labelled with digoxigenin RNA
Visualized with: Alkaline phosphatase
Assay notes: Cryosections of fresh frozen material were fixed in 4% paraformaldehyde for 20 min. before further processing. A tyramide-biotin/streptavidin amplification step was included in the in situ hybridization procedure.
Results
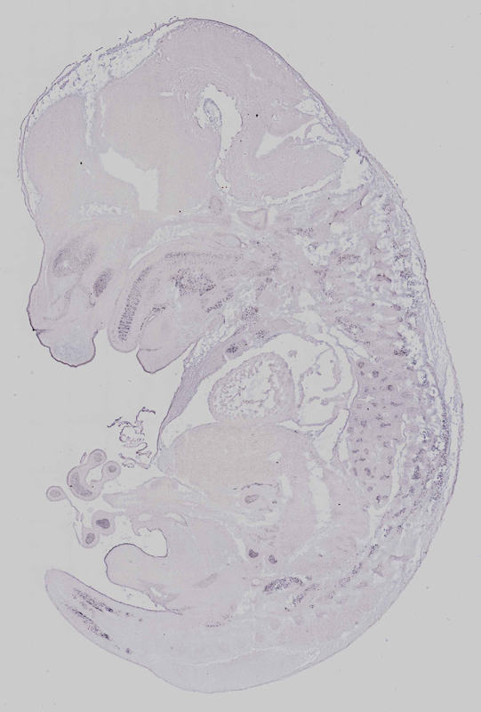
Specimen euxassay_005620_01: embryonic day 14.5 (more )
Structure Level Pattern Image Note
TS23: vertebral axis musculature Moderate Regionally restricted euxassay_005620_01
TS23: diaphragm Moderate Regionally restricted euxassay_005620_01
TS23: stomach Moderate Regionally restricted euxassay_005620_01
TS23: foot Moderate Regionally restricted euxassay_005620_01
TS23: arm Moderate Regionally restricted euxassay_005620_01
TS23: lung Moderate Regionally restricted euxassay_005620_01

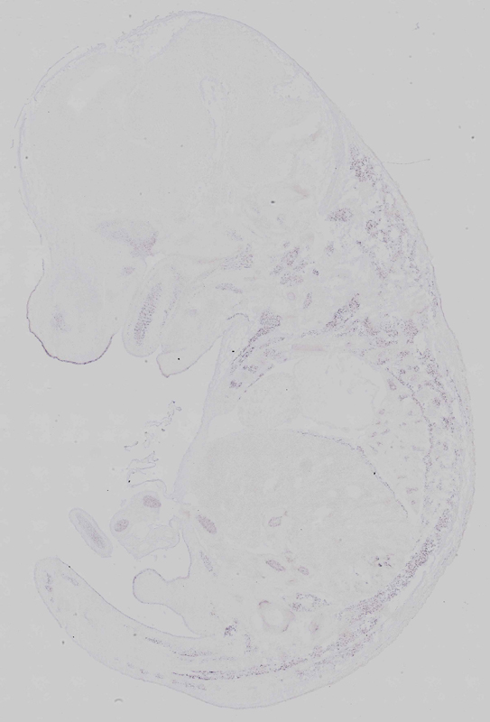
Specimen euxassay_005620_02: embryonic day 14.5 (more )
Structure Level Pattern Image Note
TS23: vertebral axis musculature Moderate Regionally restricted euxassay_005620_02
TS23: diaphragm Moderate Regionally restricted euxassay_005620_02
TS23: stomach Moderate Regionally restricted euxassay_005620_02
TS23: arm Moderate Regionally restricted euxassay_005620_02
TS23: lower leg Moderate Regionally restricted euxassay_005620_02
TS23: upper leg Moderate Regionally restricted euxassay_005620_02
TS23: lung Moderate Regionally restricted euxassay_005620_02

Specimen euxassay_005620_03: embryonic day 14.5 (more )
Structure Level Pattern Image Note
TS23: vertebral axis musculature Moderate Regionally restricted euxassay_005620_03
TS23: diaphragm Moderate Regionally restricted euxassay_005620_03
TS23: stomach Moderate Regionally restricted euxassay_005620_03
TS23: hand Moderate Regionally restricted euxassay_005620_03
TS23: leg Moderate Regionally restricted euxassay_005620_03
TS23: lung Moderate Regionally restricted euxassay_005620_03

Specimen euxassay_005620_04: embryonic day 14.5 (more )
Structure Level Pattern Image Note
TS23: diaphragm Moderate Regionally restricted euxassay_005620_04
TS23: vertebral axis musculature Moderate Regionally restricted euxassay_005620_04
TS23: stomach Moderate Regionally restricted euxassay_005620_04
TS23: lower leg Moderate Regionally restricted euxassay_005620_04
TS23: upper leg Moderate Regionally restricted euxassay_005620_04
TS23: hand Moderate Regionally restricted euxassay_005620_04
TS23: lung Moderate Regionally restricted euxassay_005620_04

Specimen euxassay_005620_05: embryonic day 14.5 (more )
Structure Level Pattern Image Note
TS23: diaphragm Moderate Regionally restricted euxassay_005620_05
TS23: vertebral axis musculature Moderate Regionally restricted euxassay_005620_05
TS23: stomach Strong Regionally restricted euxassay_005620_05
TS23: hand Moderate Regionally restricted euxassay_005620_05
TS23: lung Moderate Regionally restricted euxassay_005620_05

Specimen euxassay_005620_06: embryonic day 14.5 (more )
Structure Level Pattern Image Note
TS23: diaphragm Moderate Regionally restricted euxassay_005620_06
TS23: vertebral axis musculature Moderate Regionally restricted euxassay_005620_06
TS23: stomach Strong Regionally restricted euxassay_005620_06
TS23: hand Moderate Regionally restricted euxassay_005620_06
TS23: lung Moderate Regionally restricted euxassay_005620_06

Specimen euxassay_005620_07: embryonic day 14.5 (more )
Structure Level Pattern Image Note
TS23: vertebral axis musculature Moderate Regionally restricted euxassay_005620_07
TS23: stomach Moderate Regionally restricted euxassay_005620_07
TS23: foot Moderate Regionally restricted euxassay_005620_07
TS23: lung Moderate Regionally restricted euxassay_005620_07

Specimen euxassay_005620_08: embryonic day 14.5 (more )
Structure Level Pattern Image Note
TS23: vertebral axis musculature Moderate Regionally restricted euxassay_005620_08
TS23: stomach Moderate Regionally restricted euxassay_005620_08
TS23: foot Moderate Regionally restricted euxassay_005620_08
TS23: lung Moderate Regionally restricted euxassay_005620_08

Specimen euxassay_005620_09: embryonic day 14.5 (more )
Structure Level Pattern Image Note
TS23: vertebral axis musculature Moderate Regionally restricted euxassay_005620_09
TS23: midgut Moderate Regionally restricted euxassay_005620_09
TS23: stomach Moderate Regionally restricted euxassay_005620_09
TS23: lung Moderate Regionally restricted euxassay_005620_09

Specimen euxassay_005620_10: embryonic day 14.5 (more )
Structure Level Pattern Image Note
TS23: vertebral axis musculature Moderate Regionally restricted euxassay_005620_10
TS23: midgut Moderate Regionally restricted euxassay_005620_10
TS23: tail mesenchyme Moderate Regionally restricted euxassay_005620_10
TS23: lung Moderate Regionally restricted euxassay_005620_10

Specimen euxassay_005620_11: embryonic day 14.5 (more )
Structure Level Pattern Image Note
TS23: vertebral axis musculature Moderate Regionally restricted euxassay_005620_11
TS23: midgut Moderate Regionally restricted euxassay_005620_11
TS23: tail mesenchyme Moderate Regionally restricted euxassay_005620_11
TS23: lung Moderate Regionally restricted euxassay_005620_11

Specimen euxassay_005620_12: embryonic day 14.5 (more )
Structure Level Pattern Image Note
TS23: vertebral axis musculature Moderate Regionally restricted euxassay_005620_12
TS23: tongue muscle Moderate Regionally restricted euxassay_005620_12
TS23: midgut Moderate Regionally restricted euxassay_005620_12
TS23: rectum Moderate Regionally restricted euxassay_005620_12
TS23: bladder Moderate Regionally restricted euxassay_005620_12
TS23: tail mesenchyme Moderate Regionally restricted euxassay_005620_12
TS23: lung Moderate Regionally restricted euxassay_005620_12

Specimen euxassay_005620_13: embryonic day 14.5 (more )
Structure Level Pattern Image Note
TS23: vertebral axis musculature Moderate Regionally restricted euxassay_005620_13
TS23: tongue muscle Moderate Regionally restricted euxassay_005620_13
TS23: midgut Moderate Regionally restricted euxassay_005620_13
TS23: tail mesenchyme Moderate Regionally restricted euxassay_005620_13
TS23: lung Moderate Regionally restricted euxassay_005620_13

Specimen euxassay_005620_14: embryonic day 14.5 (more )
Structure Level Pattern Image Note
TS23: vertebral axis musculature Moderate Regionally restricted euxassay_005620_14
TS23: diaphragm Weak Regionally restricted euxassay_005620_14
TS23: tongue muscle Moderate Regionally restricted euxassay_005620_14
TS23: midgut Moderate Regionally restricted euxassay_005620_14
TS23: tail mesenchyme Moderate Regionally restricted euxassay_005620_14
TS23: lung Moderate Regionally restricted euxassay_005620_14

Specimen euxassay_005620_15: embryonic day 14.5 (more )
Structure Level Pattern Image Note
TS23: vertebral axis musculature Moderate Regionally restricted euxassay_005620_15
TS23: diaphragm Moderate Regionally restricted euxassay_005620_15
TS23: tongue muscle Moderate Regionally restricted euxassay_005620_15
TS23: midgut Moderate Regionally restricted euxassay_005620_15
TS23: tail mesenchyme Moderate Regionally restricted euxassay_005620_15
TS23: lung Moderate Regionally restricted euxassay_005620_15

Specimen euxassay_005620_16: embryonic day 14.5 (more )
Structure Level Pattern Image Note
TS23: vertebral axis musculature Moderate Regionally restricted euxassay_005620_16
TS23: diaphragm Moderate Regionally restricted euxassay_005620_16
TS23: midgut Moderate Regionally restricted euxassay_005620_16
TS23: tail mesenchyme Moderate Regionally restricted euxassay_005620_16
TS23: lung Moderate Regionally restricted euxassay_005620_16

Specimen euxassay_005620_17: embryonic day 14.5 (more )
Structure Level Pattern Image Note
TS23: diaphragm Moderate Regionally restricted euxassay_005620_17
TS23: vertebral axis musculature Moderate Regionally restricted euxassay_005620_17
TS23: midgut Moderate Regionally restricted euxassay_005620_17
TS23: tail mesenchyme Moderate Regionally restricted euxassay_005620_17
TS23: lung Moderate Regionally restricted euxassay_005620_17

Specimen euxassay_005620_18: embryonic day 14.5 (more )
Structure Level Pattern Image Note
TS23: diaphragm Moderate Regionally restricted euxassay_005620_18
TS23: vertebral axis musculature Moderate Regionally restricted euxassay_005620_18
TS23: tail mesenchyme Moderate Regionally restricted euxassay_005620_18
TS23: lung Moderate Regionally restricted euxassay_005620_18

Specimen euxassay_005620_19: embryonic day 14.5 (more )
Structure Level Pattern Image Note
TS23: diaphragm Moderate Regionally restricted euxassay_005620_19
TS23: vertebral axis musculature Moderate Regionally restricted euxassay_005620_19
TS23: lung Moderate Regionally restricted euxassay_005620_19

Specimen euxassay_005620_20: embryonic day 14.5 (more )
Structure Level Pattern Image Note
TS23: diaphragm Moderate Regionally restricted euxassay_005620_20
TS23: vertebral axis musculature Moderate Regionally restricted euxassay_005620_20

Specimen euxassay_005620_21: embryonic day 14.5 (more )
Structure Level Pattern Image Note
TS23: diaphragm Moderate Regionally restricted euxassay_005620_21
TS23: vertebral axis musculature Moderate Regionally restricted euxassay_005620_21
TS23: foot Moderate Regionally restricted euxassay_005620_21
TS23: upper leg Moderate Regionally restricted euxassay_005620_21
TS23: lower leg Moderate Regionally restricted euxassay_005620_21

Specimen euxassay_005620_22: embryonic day 14.5 (more )
Structure Level Pattern Image Note
TS23: diaphragm Moderate Regionally restricted euxassay_005620_22
TS23: vertebral axis musculature Moderate Regionally restricted euxassay_005620_22
TS23: upper leg Moderate Regionally restricted euxassay_005620_22
TS23: foot Moderate Regionally restricted euxassay_005620_22


Contributing Projects:
Mouse Genome Database (MGD), Gene Expression Database (GXD), Mouse Models of Human Cancer database (MMHCdb) (formerly Mouse Tumor Biology (MTB)), Gene Ontology (GO)
Citing These Resources
Funding Information
Warranty Disclaimer, Privacy Notice, Licensing, & Copyright
Send questions and comments to User Support.
last database update
01/06/2026
MGI 6.24
The Jackson Laboratory