About   Help   FAQ
Gene Expression Data
Assay Details
Assay
Reference: J:153498 Diez-Roux G, et al., A high-resolution anatomical atlas of the transcriptome in the mouse embryo. PLoS Biol. 2011;9(1):e1000582
Assay type: RNA in situ
MGI Accession ID: MGI:4825654
Gene symbol: Itgb3
Gene name: integrin beta 3
Probe: T36532
Probe preparation: Antisense labelled with digoxigenin RNA
Visualized with: Alkaline phosphatase
Assay notes: Cryosections of fresh frozen material were fixed in 4% paraformaldehyde for 20 min. before further processing. A tyramide-biotin/streptavidin amplification step was included in the in situ hybridization procedure.
Results
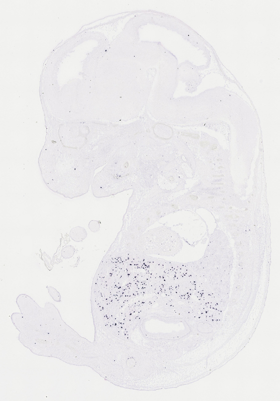
Specimen euxassay_009585_01: embryonic day 14.5 (more )
Structure Level Pattern Image Note
TS23: liver Strong Spotted euxassay_009585_01

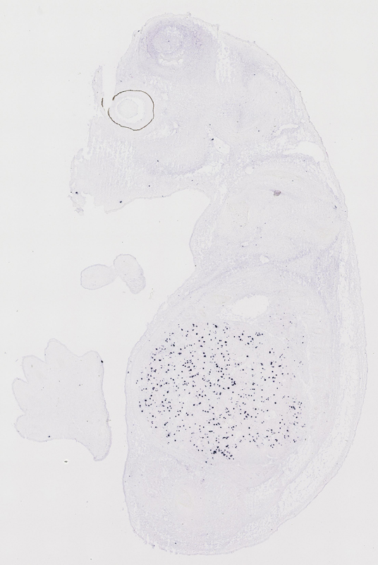
Specimen euxassay_009585_02: embryonic day 14.5 (more )
Structure Level Pattern Image Note
TS23: liver Strong Spotted euxassay_009585_02

Specimen euxassay_009585_03: embryonic day 14.5 (more )
Structure Level Pattern Image Note
TS23: liver Strong Spotted euxassay_009585_03

Specimen euxassay_009585_04: embryonic day 14.5 (more )
Structure Level Pattern Image Note
TS23: liver Strong Spotted euxassay_009585_04

Specimen euxassay_009585_05: embryonic day 14.5 (more )
Structure Level Pattern Image Note
TS23: liver Strong Spotted euxassay_009585_05

Specimen euxassay_009585_06: embryonic day 14.5 (more )
Structure Level Pattern Image Note
TS23: liver Strong Spotted euxassay_009585_06

Specimen euxassay_009585_07: embryonic day 14.5 (more )
Structure Level Pattern Image Note
TS23: liver Strong Spotted euxassay_009585_07

Specimen euxassay_009585_08: embryonic day 14.5 (more )
Structure Level Pattern Image Note
TS23: liver Strong Spotted euxassay_009585_08

Specimen euxassay_009585_09: embryonic day 14.5 (more )
Structure Level Pattern Image Note
TS23: liver Strong Spotted euxassay_009585_09
TS23: midgut Weak Regionally restricted euxassay_009585_09

Specimen euxassay_009585_10: embryonic day 14.5 (more )
Structure Level Pattern Image Note
TS23: liver Strong Spotted euxassay_009585_10
TS23: midgut Weak Regionally restricted euxassay_009585_10

Specimen euxassay_009585_11: embryonic day 14.5 (more )
Structure Level Pattern Image Note
TS23: liver Strong Spotted euxassay_009585_11
TS23: midgut Weak Regionally restricted euxassay_009585_11

Specimen euxassay_009585_12: embryonic day 14.5 (more )
Structure Level Pattern Image Note
TS23: liver Strong Spotted euxassay_009585_12
TS23: midgut Weak Regionally restricted euxassay_009585_12

Specimen euxassay_009585_13: embryonic day 14.5 (more )
Structure Level Pattern Image Note
TS23: liver Strong Spotted euxassay_009585_13
TS23: bladder Weak Regionally restricted euxassay_009585_13
TS23: midgut Weak Regionally restricted euxassay_009585_13

Specimen euxassay_009585_14: embryonic day 14.5 (more )
Structure Level Pattern Image Note
TS23: liver Strong Spotted euxassay_009585_14
TS23: bladder Weak Regionally restricted euxassay_009585_14
TS23: midgut Weak Regionally restricted euxassay_009585_14

Specimen euxassay_009585_15: embryonic day 14.5 (more )
Structure Level Pattern Image Note
TS23: liver Strong Spotted euxassay_009585_15
TS23: bladder Weak Regionally restricted euxassay_009585_15
TS23: midgut Weak Regionally restricted euxassay_009585_15

Specimen euxassay_009585_16: embryonic day 14.5 (more )
Structure Level Pattern Image Note
TS23: liver Strong Spotted euxassay_009585_16
TS23: bladder Weak Regionally restricted euxassay_009585_16
TS23: midgut Weak Regionally restricted euxassay_009585_16

Specimen euxassay_009585_17: embryonic day 14.5 (more )
Structure Level Pattern Image Note
TS23: liver Strong Spotted euxassay_009585_17
TS23: bladder Weak Regionally restricted euxassay_009585_17
TS23: midgut Weak Regionally restricted euxassay_009585_17

Specimen euxassay_009585_18: embryonic day 14.5 (more )
Structure Level Pattern Image Note
TS23: liver Strong Spotted euxassay_009585_18
TS23: midgut Weak Regionally restricted euxassay_009585_18

Specimen euxassay_009585_19: embryonic day 14.5 (more )
Structure Level Pattern Image Note
TS23: liver Strong Spotted euxassay_009585_19
TS23: midgut Weak Regionally restricted euxassay_009585_19

Specimen euxassay_009585_20: embryonic day 14.5 (more )
Structure Level Pattern Image Note
TS23: liver Strong Spotted euxassay_009585_20

Specimen euxassay_009585_21: embryonic day 14.5 (more )
Structure Level Pattern Image Note
TS23: liver Strong Spotted euxassay_009585_21

Specimen euxassay_009585_22: embryonic day 14.5 (more )
Structure Level Pattern Image Note
TS23: liver Strong Spotted euxassay_009585_22

Specimen euxassay_009585_23: embryonic day 14.5 (more )
Structure Level Pattern Image Note
TS23: liver Strong Spotted euxassay_009585_23


Contributing Projects:
Mouse Genome Database (MGD), Gene Expression Database (GXD), Mouse Models of Human Cancer database (MMHCdb) (formerly Mouse Tumor Biology (MTB)), Gene Ontology (GO)
Citing These Resources
Funding Information
Warranty Disclaimer, Privacy Notice, Licensing, & Copyright
Send questions and comments to User Support.
last database update
01/20/2026
MGI 6.24
The Jackson Laboratory