About   Help   FAQ
Gene Expression Data
Assay Details
Assay
Reference: J:153498 Diez-Roux G, et al., A high-resolution anatomical atlas of the transcriptome in the mouse embryo. PLoS Biol. 2011;9(1):e1000582
Assay type: RNA in situ
MGI Accession ID: MGI:4825653
Gene symbol: Itgb1bp2
Gene name: integrin beta 1 binding protein 2
Probe: MGC clone 41122
Probe preparation: Antisense labelled with digoxigenin RNA
Visualized with: Alkaline phosphatase
Assay notes: Cryosections of fresh frozen material were fixed in 4% paraformaldehyde for 20 min. before further processing. A tyramide-biotin/streptavidin amplification step was included in the in situ hybridization procedure.
Results
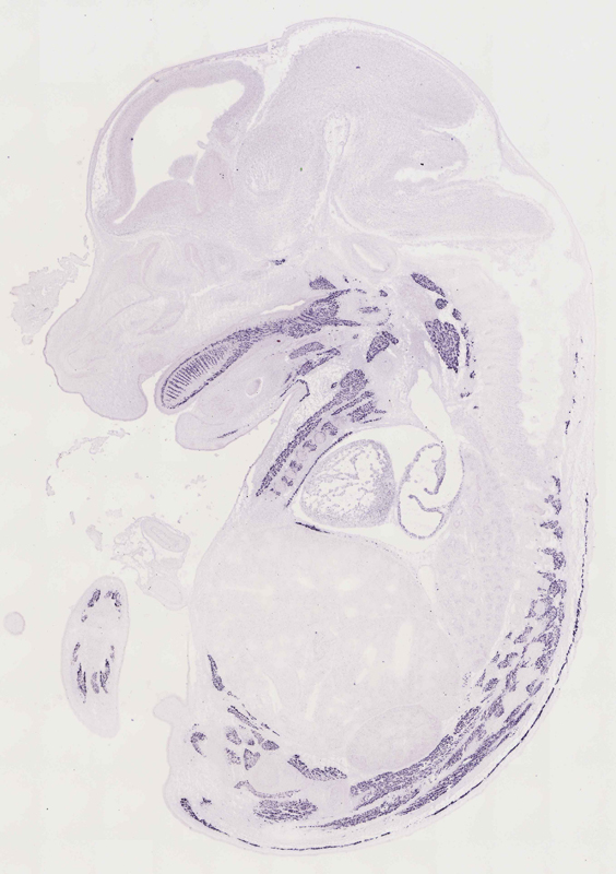
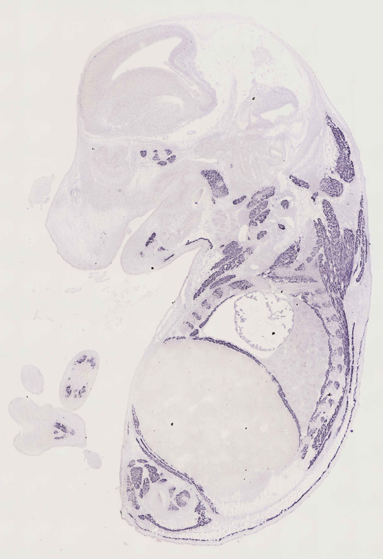
Specimen euxassay_006801_01: embryonic day 14.5 (more )
Structure Level Pattern Image Note
TS23: vertebral axis musculature Strong Regionally restricted euxassay_006801_01
TS23: upper leg muscle Strong Regionally restricted euxassay_006801_01
TS23: lower leg rest of mesenchyme Strong Regionally restricted euxassay_006801_01
TS23: knee rest of mesenchyme Strong Regionally restricted euxassay_006801_01
TS23: hip rest of mesenchyme Strong Regionally restricted euxassay_006801_01
TS23: elbow rest of mesenchyme Strong Regionally restricted euxassay_006801_01
TS23: forearm rest of mesenchyme Strong Regionally restricted euxassay_006801_01
TS23: shoulder rest of mesenchyme Strong Regionally restricted euxassay_006801_01
TS23: upper arm muscle Strong Regionally restricted euxassay_006801_01
TS23: diaphragm Strong Regionally restricted euxassay_006801_01

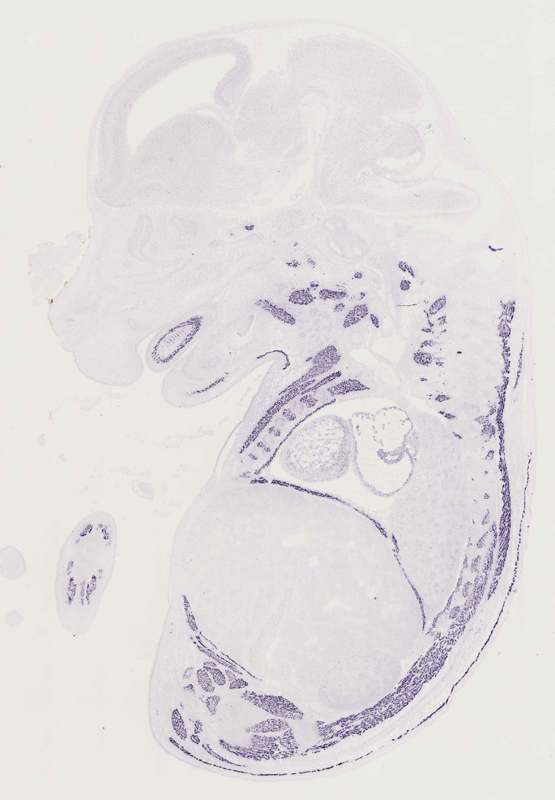
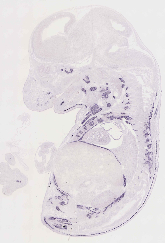
Specimen euxassay_006801_02: embryonic day 14.5 (more )
Structure Level Pattern Image Note
TS23: vertebral axis musculature Strong Regionally restricted euxassay_006801_02
TS23: upper leg muscle Strong Regionally restricted euxassay_006801_02
TS23: lower leg rest of mesenchyme Strong Regionally restricted euxassay_006801_02
TS23: knee rest of mesenchyme Strong Regionally restricted euxassay_006801_02
TS23: hip rest of mesenchyme Strong Regionally restricted euxassay_006801_02
TS23: elbow rest of mesenchyme Strong Regionally restricted euxassay_006801_02
TS23: forearm rest of mesenchyme Strong Regionally restricted euxassay_006801_02
TS23: shoulder rest of mesenchyme Strong Regionally restricted euxassay_006801_02
TS23: upper arm muscle Strong Regionally restricted euxassay_006801_02
TS23: hand mesenchyme Strong Regionally restricted euxassay_006801_02
TS23: diaphragm Strong Regionally restricted euxassay_006801_02

Specimen euxassay_006801_03: embryonic day 14.5 (more )
Structure Level Pattern Image Note
TS23: vertebral axis musculature Strong Regionally restricted euxassay_006801_03
TS23: upper leg muscle Strong Regionally restricted euxassay_006801_03
TS23: lower leg rest of mesenchyme Strong Regionally restricted euxassay_006801_03
TS23: knee rest of mesenchyme Strong Regionally restricted euxassay_006801_03
TS23: hip rest of mesenchyme Strong Regionally restricted euxassay_006801_03
TS23: elbow rest of mesenchyme Strong Regionally restricted euxassay_006801_03
TS23: forearm rest of mesenchyme Strong Regionally restricted euxassay_006801_03
TS23: shoulder rest of mesenchyme Strong Regionally restricted euxassay_006801_03
TS23: upper arm rest of mesenchyme Strong Regionally restricted euxassay_006801_03
TS23: hand mesenchyme Strong Regionally restricted euxassay_006801_03
TS23: diaphragm Strong Regionally restricted euxassay_006801_03

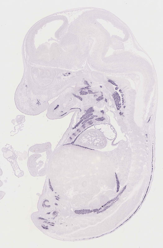
Specimen euxassay_006801_04: embryonic day 14.5 (more )
Structure Level Pattern Image Note
TS23: vertebral axis musculature Strong Regionally restricted euxassay_006801_04
TS23: upper leg muscle Strong Regionally restricted euxassay_006801_04
TS23: lower leg rest of mesenchyme Strong Regionally restricted euxassay_006801_04
TS23: knee rest of mesenchyme Strong Regionally restricted euxassay_006801_04
TS23: hip rest of mesenchyme Strong Regionally restricted euxassay_006801_04
TS23: diaphragm Strong Regionally restricted euxassay_006801_04

Specimen euxassay_006801_05: embryonic day 14.5 (more )
Structure Level Pattern Image Note
TS23: vertebral axis musculature Strong Regionally restricted euxassay_006801_05
TS23: upper leg muscle Strong Regionally restricted euxassay_006801_05
TS23: lower leg rest of mesenchyme Strong Regionally restricted euxassay_006801_05
TS23: knee rest of mesenchyme Strong Regionally restricted euxassay_006801_05
TS23: hip rest of mesenchyme Strong Regionally restricted euxassay_006801_05
TS23: diaphragm Strong Regionally restricted euxassay_006801_05

Specimen euxassay_006801_06: embryonic day 14.5 (more )
Structure Level Pattern Image Note
TS23: vertebral axis musculature Strong Regionally restricted euxassay_006801_06
TS23: upper leg muscle Strong Regionally restricted euxassay_006801_06
TS23: lower leg rest of mesenchyme Strong Regionally restricted euxassay_006801_06
TS23: knee rest of mesenchyme Strong Regionally restricted euxassay_006801_06
TS23: hip rest of mesenchyme Strong Regionally restricted euxassay_006801_06
TS23: tarsus rest of mesenchyme Strong Regionally restricted euxassay_006801_06
TS23: diaphragm Strong Regionally restricted euxassay_006801_06

Specimen euxassay_006801_07: embryonic day 14.5 (more )
Structure Level Pattern Image Note
TS23: vertebral axis musculature Strong Regionally restricted euxassay_006801_07
TS23: upper leg muscle Strong Regionally restricted euxassay_006801_07
TS23: lower leg rest of mesenchyme Strong Regionally restricted euxassay_006801_07
TS23: knee rest of mesenchyme Strong Regionally restricted euxassay_006801_07
TS23: hip rest of mesenchyme Strong Regionally restricted euxassay_006801_07
TS23: tarsus rest of mesenchyme Strong Regionally restricted euxassay_006801_07
TS23: diaphragm Strong Regionally restricted euxassay_006801_07

Specimen euxassay_006801_08: embryonic day 14.5 (more )
Structure Level Pattern Image Note
TS23: vertebral axis musculature Strong Regionally restricted euxassay_006801_08
TS23: upper leg muscle Strong Regionally restricted euxassay_006801_08
TS23: lower leg rest of mesenchyme Strong Regionally restricted euxassay_006801_08
TS23: knee rest of mesenchyme Strong Regionally restricted euxassay_006801_08
TS23: tarsus rest of mesenchyme Strong Regionally restricted euxassay_006801_08
TS23: hip rest of mesenchyme Strong Regionally restricted euxassay_006801_08
TS23: diaphragm Strong Regionally restricted euxassay_006801_08

Specimen euxassay_006801_09: embryonic day 14.5 (more )
Structure Level Pattern Image Note
TS23: vertebral axis musculature Strong Regionally restricted euxassay_006801_09
TS23: diaphragm Strong Regionally restricted euxassay_006801_09

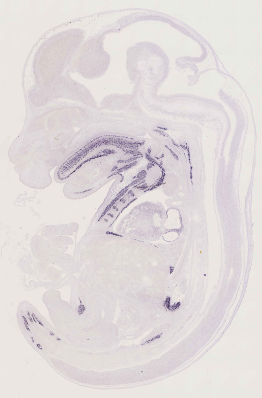
Specimen euxassay_006801_10: embryonic day 14.5 (more )
Structure Level Pattern Image Note
TS23: vertebral axis musculature Strong Regionally restricted euxassay_006801_10
TS23: tail paraxial mesenchyme Strong Regionally restricted euxassay_006801_10
TS23: diaphragm Strong Regionally restricted euxassay_006801_10

Specimen euxassay_006801_11: embryonic day 14.5 (more )
Structure Level Pattern Image Note
TS23: vertebral axis musculature Strong Regionally restricted euxassay_006801_11
TS23: tail paraxial mesenchyme Strong Regionally restricted euxassay_006801_11
TS23: diaphragm Strong Regionally restricted euxassay_006801_11

Specimen euxassay_006801_12: embryonic day 14.5 (more )
Structure Level Pattern Image Note
TS23: vertebral axis musculature Strong Regionally restricted euxassay_006801_12
TS23: tail paraxial mesenchyme Strong Regionally restricted euxassay_006801_12
TS23: diaphragm Strong Regionally restricted euxassay_006801_12
TS23: tongue muscle Strong Regionally restricted euxassay_006801_12

Specimen euxassay_006801_13: embryonic day 14.5 (more )
Structure Level Pattern Image Note
TS23: vertebral axis musculature Strong Regionally restricted euxassay_006801_13
TS23: tail paraxial mesenchyme Strong Regionally restricted euxassay_006801_13
TS23: diaphragm Strong Regionally restricted euxassay_006801_13
TS23: tongue muscle Strong Regionally restricted euxassay_006801_13

Specimen euxassay_006801_14: embryonic day 14.5 (more )
Structure Level Pattern Image Note
TS23: vertebral axis musculature Strong Regionally restricted euxassay_006801_14
TS23: tail paraxial mesenchyme Strong Regionally restricted euxassay_006801_14
TS23: tongue muscle Strong Regionally restricted euxassay_006801_14

Specimen euxassay_006801_15: embryonic day 14.5 (more )
Structure Level Pattern Image Note
TS23: vertebral axis musculature Strong Regionally restricted euxassay_006801_15
TS23: tail paraxial mesenchyme Strong Regionally restricted euxassay_006801_15
TS23: tongue muscle Strong Regionally restricted euxassay_006801_15

Specimen euxassay_006801_16: embryonic day 14.5 (more )
Structure Level Pattern Image Note
TS23: vertebral axis musculature Strong Regionally restricted euxassay_006801_16
TS23: tail paraxial mesenchyme Strong Regionally restricted euxassay_006801_16
TS23: tongue muscle Strong Regionally restricted euxassay_006801_16

Specimen euxassay_006801_17: embryonic day 14.5 (more )
Structure Level Pattern Image Note
TS23: vertebral axis musculature Strong Regionally restricted euxassay_006801_17
TS23: tail paraxial mesenchyme Strong Regionally restricted euxassay_006801_17
TS23: tongue muscle Strong Regionally restricted euxassay_006801_17

Specimen euxassay_006801_18: embryonic day 14.5 (more )
Structure Level Pattern Image Note
TS23: vertebral axis musculature Strong Regionally restricted euxassay_006801_18
TS23: tail paraxial mesenchyme Strong Regionally restricted euxassay_006801_18
TS23: diaphragm Strong Regionally restricted euxassay_006801_18
TS23: tongue muscle Strong Regionally restricted euxassay_006801_18

Specimen euxassay_006801_19: embryonic day 14.5 (more )
Structure Level Pattern Image Note
TS23: vertebral axis musculature Strong Regionally restricted euxassay_006801_19
TS23: tail paraxial mesenchyme Strong Regionally restricted euxassay_006801_19
TS23: diaphragm Strong Regionally restricted euxassay_006801_19
TS23: tongue muscle Strong Regionally restricted euxassay_006801_19

Specimen euxassay_006801_20: embryonic day 14.5 (more )
Structure Level Pattern Image Note
TS23: vertebral axis musculature Strong Regionally restricted euxassay_006801_20
TS23: tail paraxial mesenchyme Strong Regionally restricted euxassay_006801_20
TS23: diaphragm Strong Regionally restricted euxassay_006801_20

Specimen euxassay_006801_21: embryonic day 14.5 (more )
Structure Level Pattern Image Note
TS23: vertebral axis musculature Strong Regionally restricted euxassay_006801_21
TS23: upper leg muscle Strong Regionally restricted euxassay_006801_21
TS23: lower leg rest of mesenchyme Strong Regionally restricted euxassay_006801_21
TS23: knee rest of mesenchyme Strong Regionally restricted euxassay_006801_21
TS23: hip rest of mesenchyme Strong Regionally restricted euxassay_006801_21
TS23: tarsus rest of mesenchyme Strong Regionally restricted euxassay_006801_21
TS23: diaphragm Strong Regionally restricted euxassay_006801_21

Specimen euxassay_006801_22: embryonic day 14.5 (more )
Structure Level Pattern Image Note
TS23: vertebral axis musculature Strong Regionally restricted euxassay_006801_22
TS23: upper leg muscle Strong Regionally restricted euxassay_006801_22
TS23: lower leg rest of mesenchyme Strong Regionally restricted euxassay_006801_22
TS23: knee rest of mesenchyme Strong Regionally restricted euxassay_006801_22
TS23: hip rest of mesenchyme Strong Regionally restricted euxassay_006801_22
TS23: tarsus rest of mesenchyme Strong Regionally restricted euxassay_006801_22
TS23: diaphragm Strong Regionally restricted euxassay_006801_22

Specimen euxassay_006801_23: embryonic day 14.5 (more )
Structure Level Pattern Image Note
TS23: vertebral axis musculature Strong Regionally restricted euxassay_006801_23
TS23: upper leg muscle Strong Regionally restricted euxassay_006801_23
TS23: lower leg rest of mesenchyme Strong Regionally restricted euxassay_006801_23
TS23: knee rest of mesenchyme Strong Regionally restricted euxassay_006801_23
TS23: hip rest of mesenchyme Strong Regionally restricted euxassay_006801_23
TS23: tarsus rest of mesenchyme Strong Regionally restricted euxassay_006801_23
TS23: diaphragm Strong Regionally restricted euxassay_006801_23

Specimen euxassay_006801_24: embryonic day 14.5 (more )
Structure Level Pattern Image Note
TS23: vertebral axis musculature Strong Regionally restricted euxassay_006801_24
TS23: tarsus rest of mesenchyme Strong Regionally restricted euxassay_006801_24
TS23: hip rest of mesenchyme Strong Regionally restricted euxassay_006801_24
TS23: knee rest of mesenchyme Strong Regionally restricted euxassay_006801_24
TS23: lower leg rest of mesenchyme Strong Regionally restricted euxassay_006801_24
TS23: upper leg muscle Strong Regionally restricted euxassay_006801_24
TS23: diaphragm Strong Regionally restricted euxassay_006801_24


Contributing Projects:
Mouse Genome Database (MGD), Gene Expression Database (GXD), Mouse Models of Human Cancer database (MMHCdb) (formerly Mouse Tumor Biology (MTB)), Gene Ontology (GO)
Citing These Resources
Funding Information
Warranty Disclaimer, Privacy Notice, Licensing, & Copyright
Send questions and comments to User Support.
last database update
01/28/2026
MGI 6.24
The Jackson Laboratory