About   Help   FAQ
Gene Expression Data
Assay Details
Assay
Reference: J:153498 Diez-Roux G, et al., A high-resolution anatomical atlas of the transcriptome in the mouse embryo. PLoS Biol. 2011;9(1):e1000582
Assay type: RNA in situ
MGI Accession ID: MGI:4825640
Gene symbol: Itga2b
Gene name: integrin alpha 2b
Probe: T63033
Probe preparation: Antisense labelled with digoxigenin RNA
Visualized with: Alkaline phosphatase
Assay notes: Cryosections of fresh frozen material were fixed in 4% paraformaldehyde for 20 min. before further processing. A tyramide-biotin/streptavidin amplification step was included in the in situ hybridization procedure.
Results
Specimen euxassay_015882_01: embryonic day 14.5 (more )
Structure Level Pattern Image Note
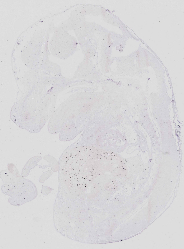
TS23: liver lobe Strong Spotted euxassay_015882_01

Specimen euxassay_015882_02: embryonic day 14.5 (more )
Structure Level Pattern Image Note
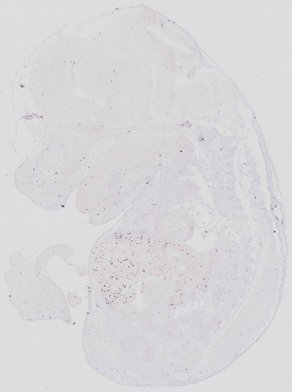
TS23: liver lobe Strong Spotted euxassay_015882_02

Specimen euxassay_015882_03: embryonic day 14.5 (more )
Structure Level Pattern Image Note
TS23: liver lobe Strong Spotted euxassay_015882_03

Specimen euxassay_015882_04: embryonic day 14.5 (more )
Structure Level Pattern Image Note
TS23: liver lobe Strong Spotted euxassay_015882_04

Specimen euxassay_015882_05: embryonic day 14.5 (more )
Structure Level Pattern Image Note
TS23: liver lobe Strong Spotted euxassay_015882_05

Specimen euxassay_015882_06: embryonic day 14.5 (more )
Structure Level Pattern Image Note
TS23: liver lobe Strong Spotted euxassay_015882_06

Specimen euxassay_015882_07: embryonic day 14.5 (more )
Structure Level Pattern Image Note
TS23: liver lobe Strong Spotted euxassay_015882_07

Specimen euxassay_015882_08: embryonic day 14.5 (more )
Structure Level Pattern Image Note
TS23: liver lobe Strong Spotted euxassay_015882_08

Specimen euxassay_015882_09: embryonic day 14.5 (more )
Structure Level Pattern Image Note
TS23: liver lobe Strong Spotted euxassay_015882_09

Specimen euxassay_015882_10: embryonic day 14.5 (more )
Structure Level Pattern Image Note
TS23: liver lobe Strong Spotted euxassay_015882_10

Specimen euxassay_015882_11: embryonic day 14.5 (more )
Structure Level Pattern Image Note
TS23: liver lobe Strong Spotted euxassay_015882_11

Specimen euxassay_015882_12: embryonic day 14.5 (more )
Structure Level Pattern Image Note
TS23: liver lobe Strong Spotted euxassay_015882_12

Specimen euxassay_015882_13: embryonic day 14.5 (more )
Structure Level Pattern Image Note
TS23: liver lobe Strong Spotted euxassay_015882_13

Specimen euxassay_015882_14: embryonic day 14.5 (more )
Structure Level Pattern Image Note
TS23: liver lobe Strong Spotted euxassay_015882_14

Specimen euxassay_015882_15: embryonic day 14.5 (more )
Structure Level Pattern Image Note
TS23: liver lobe Strong Spotted euxassay_015882_15

Specimen euxassay_015882_16: embryonic day 14.5 (more )
Structure Level Pattern Image Note
TS23: liver lobe Strong Spotted euxassay_015882_16

Specimen euxassay_015882_17: embryonic day 14.5 (more )
Structure Level Pattern Image Note
TS23: liver lobe Strong Spotted euxassay_015882_17

Specimen euxassay_015882_18: embryonic day 14.5 (more )
Structure Level Pattern Image Note
TS23: liver lobe Strong Spotted euxassay_015882_18

Specimen euxassay_015882_19: embryonic day 14.5 (more )
Structure Level Pattern Image Note
TS23: liver lobe Strong Spotted euxassay_015882_19

Specimen euxassay_015882_20: embryonic day 14.5 (more )
Structure Level Pattern Image Note
TS23: liver lobe Strong Spotted euxassay_015882_20

Specimen euxassay_015882_21: embryonic day 14.5 (more )
Structure Level Pattern Image Note
TS23: liver lobe Strong Spotted euxassay_015882_21

Specimen euxassay_015882_22: embryonic day 14.5 (more )
Structure Level Pattern Image Note
TS23: liver lobe Strong Spotted euxassay_015882_22


Contributing Projects:
Mouse Genome Database (MGD), Gene Expression Database (GXD), Mouse Models of Human Cancer database (MMHCdb) (formerly Mouse Tumor Biology (MTB)), Gene Ontology (GO)
Citing These Resources
Funding Information
Warranty Disclaimer, Privacy Notice, Licensing, & Copyright
Send questions and comments to User Support.
last database update
12/30/2025
MGI 6.24
The Jackson Laboratory