About   Help   FAQ
Gene Expression Data
Assay Details
Assay
Reference: J:153498 Diez-Roux G, et al., A high-resolution anatomical atlas of the transcriptome in the mouse embryo. PLoS Biol. 2011;9(1):e1000582
Assay type: RNA in situ
MGI Accession ID: MGI:4825605
Gene symbol: Insrr
Gene name: insulin receptor-related receptor
Probe: EH3320 probe 3258
Probe preparation: Antisense labelled with digoxigenin RNA
Visualized with: Alkaline phosphatase
Assay notes: Cryosections of fresh frozen material were fixed in 4% paraformaldehyde for 20 min. before further processing. A tyramide-biotin/streptavidin amplification step was included in the in situ hybridization procedure.
Results
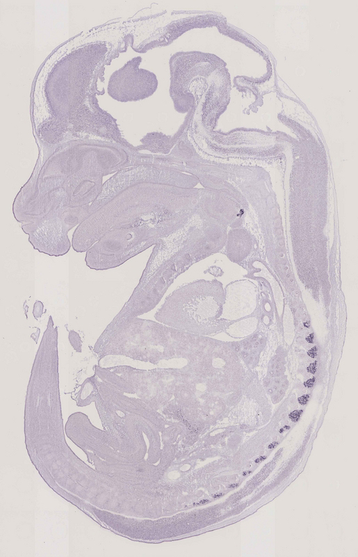
Specimen euxassay_011054_05: embryonic day 14.5 (more )
Structure Level Pattern Image Note
TS23: trigeminal ganglion Strong Single cells euxassay_011054_05

Specimen euxassay_011054_06: embryonic day 14.5 (more )
Structure Level Pattern Image Note
TS23: trigeminal ganglion Strong Single cells euxassay_011054_06

Specimen euxassay_011054_07: embryonic day 14.5 (more )
Structure Level Pattern Image Note
TS23: trigeminal ganglion Strong Single cells euxassay_011054_07

Specimen euxassay_011054_08: embryonic day 14.5 (more )
Structure Level Pattern Image Note
TS23: trigeminal ganglion Strong Single cells euxassay_011054_08
TS23: glossopharyngeal ganglion Strong Single cells euxassay_011054_08

Specimen euxassay_011054_09: embryonic day 14.5 (more )
Structure Level Pattern Image Note
TS23: trigeminal ganglion Strong Single cells euxassay_011054_09
TS23: glossopharyngeal ganglion Strong Single cells euxassay_011054_09
TS23: dorsal root ganglion Strong Single cells euxassay_011054_09

Specimen euxassay_011054_10: embryonic day 14.5 (more )
Structure Level Pattern Image Note
TS23: trigeminal ganglion Strong Single cells euxassay_011054_10
TS23: dorsal root ganglion Strong Single cells euxassay_011054_10
TS23: pancreas Strong Single cells euxassay_011054_10
TS23: medullary renal tubule Moderate Regionally restricted euxassay_011054_10

Specimen euxassay_011054_11: embryonic day 14.5 (more )
Structure Level Pattern Image Note
TS23: trigeminal ganglion Strong Single cells euxassay_011054_11
TS23: dorsal root ganglion Strong Single cells euxassay_011054_11
TS23: pancreas Strong Single cells euxassay_011054_11
TS23: medullary renal tubule Moderate Regionally restricted euxassay_011054_11

Specimen euxassay_011054_12: embryonic day 14.5 (more )
Structure Level Pattern Image Note
TS23: dorsal root ganglion Strong Single cells euxassay_011054_12
TS23: pancreas Strong Single cells euxassay_011054_12
TS23: medullary renal tubule Moderate Regionally restricted euxassay_011054_12

Specimen euxassay_011054_13: embryonic day 14.5 (more )
Structure Level Pattern Image Note
TS23: dorsal root ganglion Strong Single cells euxassay_011054_13
TS23: pancreas Strong Single cells euxassay_011054_13

Specimen euxassay_011054_14: embryonic day 14.5 (more )
Structure Level Pattern Image Note
TS23: dorsal root ganglion Strong Single cells euxassay_011054_14
TS23: pancreas Strong Single cells euxassay_011054_14

Specimen euxassay_011054_17: embryonic day 14.5 (more )
Structure Level Pattern Image Note
TS23: dorsal root ganglion Strong Single cells euxassay_011054_17

Specimen euxassay_011054_18: embryonic day 14.5 (more )
Structure Level Pattern Image Note
TS23: dorsal root ganglion Strong Single cells euxassay_011054_18
TS23: pancreas Strong Single cells euxassay_011054_18

Specimen euxassay_011054_19: embryonic day 14.5 (more )
Structure Level Pattern Image Note
TS23: trigeminal ganglion Strong Single cells euxassay_011054_19
TS23: dorsal root ganglion Strong Single cells euxassay_011054_19

Specimen euxassay_011054_20: embryonic day 14.5 (more )
Structure Level Pattern Image Note
TS23: trigeminal ganglion Strong Single cells euxassay_011054_20
TS23: glossopharyngeal ganglion Strong Single cells euxassay_011054_20
TS23: dorsal root ganglion Strong Single cells euxassay_011054_20

Specimen euxassay_011054_21: embryonic day 14.5 (more )
Structure Level Pattern Image Note
TS23: trigeminal ganglion Strong Single cells euxassay_011054_21
TS23: glossopharyngeal ganglion Strong Single cells euxassay_011054_21
TS23: dorsal root ganglion Strong Single cells euxassay_011054_21
TS23: medullary renal tubule Moderate Regionally restricted euxassay_011054_21

Specimen euxassay_011054_22: embryonic day 14.5 (more )
Structure Level Pattern Image Note
TS23: trigeminal ganglion Strong Single cells euxassay_011054_22
TS23: medullary renal tubule Moderate Regionally restricted euxassay_011054_22

Specimen euxassay_011054_23: embryonic day 14.5 (more )
Structure Level Pattern Image Note
TS23: trigeminal ganglion Strong Single cells euxassay_011054_23
TS23: medullary renal tubule Moderate Regionally restricted euxassay_011054_23


Contributing Projects:
Mouse Genome Database (MGD), Gene Expression Database (GXD), Mouse Models of Human Cancer database (MMHCdb) (formerly Mouse Tumor Biology (MTB)), Gene Ontology (GO)
Citing These Resources
Funding Information
Warranty Disclaimer, Privacy Notice, Licensing, & Copyright
Send questions and comments to User Support.
last database update
09/30/2025
MGI 6.24
The Jackson Laboratory