About   Help   FAQ
Gene Expression Data
Assay Details
Assay
Reference: J:153498 Diez-Roux G, et al., A high-resolution anatomical atlas of the transcriptome in the mouse embryo. PLoS Biol. 2011;9(1):e1000582
Assay type: RNA in situ
MGI Accession ID: MGI:4825595
Gene symbol: Inpp5a
Gene name: inositol polyphosphate-5-phosphatase A
Probe: T63248
Probe preparation: Antisense labelled with digoxigenin RNA
Visualized with: Alkaline phosphatase
Assay notes: Cryosections of fresh frozen material were fixed in 4% paraformaldehyde for 20 min. before further processing. A tyramide-biotin/streptavidin amplification step was included in the in situ hybridization procedure.
Results
Specimen euxassay_015905_03: embryonic day 14.5 (more )
Structure Level Pattern Image Note
TS23: orbito-sphenoid Weak Regionally restricted euxassay_015905_03

Specimen euxassay_015905_04: embryonic day 14.5 (more )
Structure Level Pattern Image Note
TS23: orbito-sphenoid Weak Regionally restricted euxassay_015905_04

Specimen euxassay_015905_05: embryonic day 14.5 (more )
Structure Level Pattern Image Note
TS23: orbito-sphenoid Weak Regionally restricted euxassay_015905_05

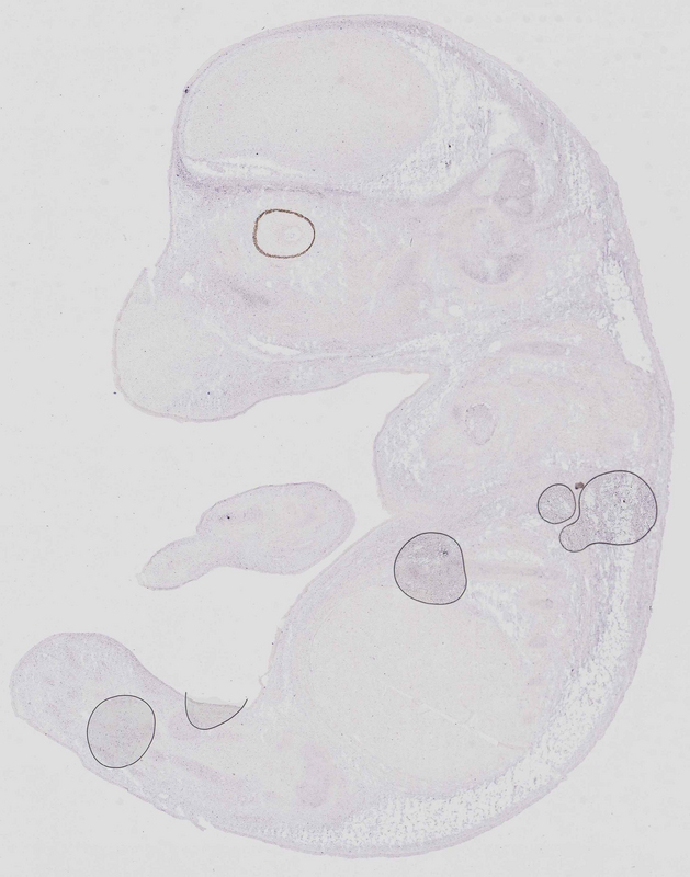
Specimen euxassay_015905_06: embryonic day 14.5 (more )
Structure Level Pattern Image Note
TS23: mandible Weak Regionally restricted euxassay_015905_06
TS23: orbito-sphenoid Weak Regionally restricted euxassay_015905_06

Specimen euxassay_015905_07: embryonic day 14.5 (more )
Structure Level Pattern Image Note
TS23: mandible Weak Regionally restricted euxassay_015905_07
TS23: maxilla Weak Regionally restricted euxassay_015905_07
TS23: orbito-sphenoid Weak Regionally restricted euxassay_015905_07

Specimen euxassay_015905_08: embryonic day 14.5 (more )
Structure Level Pattern Image Note
TS23: maxilla Weak Regionally restricted euxassay_015905_08
TS23: mandible Weak Regionally restricted euxassay_015905_08

Specimen euxassay_015905_09: embryonic day 14.5 (more )
Structure Level Pattern Image Note
TS23: maxilla Weak Regionally restricted euxassay_015905_09
TS23: mandible Weak Regionally restricted euxassay_015905_09
TS23: clavicle Weak Regionally restricted euxassay_015905_09

Specimen euxassay_015905_10: embryonic day 14.5 (more )
Structure Level Pattern Image Note
TS23: maxilla Weak Regionally restricted euxassay_015905_10
TS23: mandible Weak Regionally restricted euxassay_015905_10
TS23: clavicle Weak Regionally restricted euxassay_015905_10

Specimen euxassay_015905_11: embryonic day 14.5 (more )
Structure Level Pattern Image Note
TS23: maxilla Weak Regionally restricted euxassay_015905_11

Specimen euxassay_015905_15: embryonic day 14.5 (more )
Structure Level Pattern Image Note
TS23: clavicle Weak Regionally restricted euxassay_015905_15

Specimen euxassay_015905_16: embryonic day 14.5 (more )
Structure Level Pattern Image Note
TS23: mandible Weak Regionally restricted euxassay_015905_16
TS23: clavicle Weak Regionally restricted euxassay_015905_16

Specimen euxassay_015905_17: embryonic day 14.5 (more )
Structure Level Pattern Image Note
TS23: mandible Weak Regionally restricted euxassay_015905_17

Specimen euxassay_015905_18: embryonic day 14.5 (more )
Structure Level Pattern Image Note
TS23: mandible Weak Regionally restricted euxassay_015905_18
TS23: maxilla Weak Regionally restricted euxassay_015905_18

Specimen euxassay_015905_19: embryonic day 14.5 (more )
Structure Level Pattern Image Note
TS23: maxilla Weak Regionally restricted euxassay_015905_19
TS23: mandible Weak Regionally restricted euxassay_015905_19

Specimen euxassay_015905_20: embryonic day 14.5 (more )
Structure Level Pattern Image Note
TS23: maxilla Weak Regionally restricted euxassay_015905_20
TS23: mandible Weak Regionally restricted euxassay_015905_20

Specimen euxassay_015905_21: embryonic day 14.5 (more )
Structure Level Pattern Image Note
TS23: maxilla Weak Regionally restricted euxassay_015905_21
TS23: mandible Weak Regionally restricted euxassay_015905_21
TS23: orbito-sphenoid Weak Regionally restricted euxassay_015905_21

Specimen euxassay_015905_22: embryonic day 14.5 (more )
Structure Level Pattern Image Note
TS23: mandible Weak Regionally restricted euxassay_015905_22
TS23: orbito-sphenoid Weak Regionally restricted euxassay_015905_22

Specimen euxassay_015905_23: embryonic day 14.5 (more )
Structure Level Pattern Image Note
TS23: orbito-sphenoid Weak Regionally restricted euxassay_015905_23


Contributing Projects:
Mouse Genome Database (MGD), Gene Expression Database (GXD), Mouse Models of Human Cancer database (MMHCdb) (formerly Mouse Tumor Biology (MTB)), Gene Ontology (GO)
Citing These Resources
Funding Information
Warranty Disclaimer, Privacy Notice, Licensing, & Copyright
Send questions and comments to User Support.
last database update
01/20/2026
MGI 6.24
The Jackson Laboratory