About   Help   FAQ
Gene Expression Data
Assay Details
Assay
Reference: J:153498 Diez-Roux G, et al., A high-resolution anatomical atlas of the transcriptome in the mouse embryo. PLoS Biol. 2011;9(1):e1000582
Assay type: RNA in situ
MGI Accession ID: MGI:4825588
Gene symbol: Ina
Gene name: internexin neuronal intermediate filament protein, alpha
Probe: T31317
Probe preparation: Antisense labelled with digoxigenin RNA
Visualized with: Alkaline phosphatase
Assay notes: Cryosections of fresh frozen material were fixed in 4% paraformaldehyde for 20 min. before further processing. A tyramide-biotin/streptavidin amplification step was included in the in situ hybridization procedure.
Results
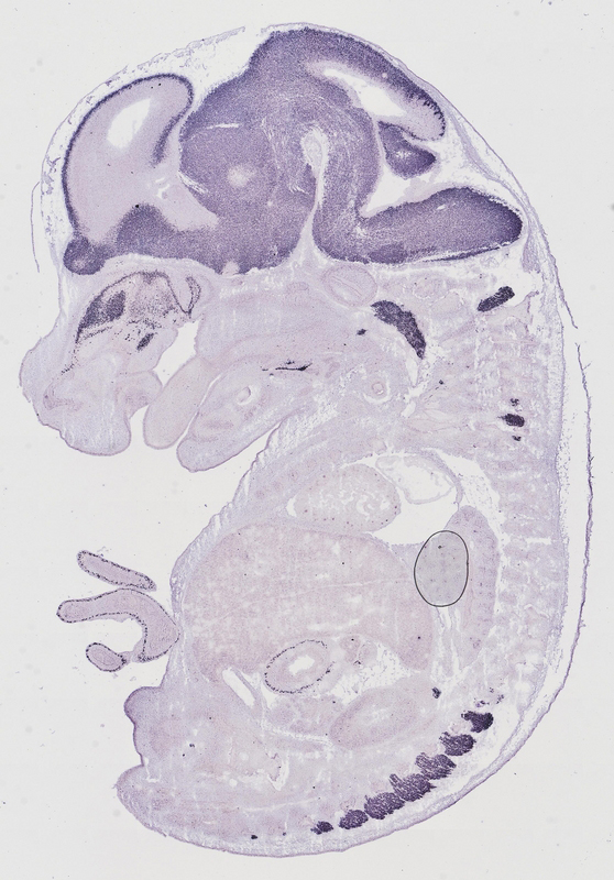
Specimen euxassay_012424_01: embryonic day 14.5 (more )
Structure Level Pattern Image Note
TS23: neural retina Strong Regionally restricted euxassay_012424_01
TS23: telencephalon mantle layer Strong Uniform euxassay_012424_01
TS23: stomach Moderate Regionally restricted euxassay_012424_01

Specimen euxassay_012424_02: embryonic day 14.5 (more )
Structure Level Pattern Image Note
TS23: neural retina Moderate Regionally restricted euxassay_012424_02
TS23: trigeminal ganglion Strong Regionally restricted euxassay_012424_02
TS23: telencephalon mantle layer Strong Uniform euxassay_012424_02
TS23: stomach Moderate Regionally restricted euxassay_012424_02

Specimen euxassay_012424_03: embryonic day 14.5 (more )
Structure Level Pattern Image Note
TS23: trigeminal ganglion Strong Regionally restricted euxassay_012424_03
TS23: telencephalon mantle layer Strong Uniform euxassay_012424_03
TS23: stomach Strong Regionally restricted euxassay_012424_03

Specimen euxassay_012424_04: embryonic day 14.5 (more )
Structure Level Pattern Image Note
TS23: trigeminal ganglion Strong Regionally restricted euxassay_012424_04
TS23: facial ganglion Strong Regionally restricted euxassay_012424_04
TS23: telencephalon mantle layer Strong Uniform euxassay_012424_04
TS23: metencephalon rest of alar plate mantle layer Strong Uniform euxassay_012424_04
TS23: stomach Strong Regionally restricted euxassay_012424_04

Specimen euxassay_012424_05: embryonic day 14.5 (more )
Structure Level Pattern Image Note
TS23: trigeminal ganglion Strong Regionally restricted euxassay_012424_05
TS23: facial ganglion Strong Regionally restricted euxassay_012424_05
TS23: telencephalon mantle layer Strong Uniform euxassay_012424_05
TS23: metencephalon rest of alar plate mantle layer Strong Uniform euxassay_012424_05
TS23: stomach Strong Regionally restricted euxassay_012424_05

Specimen euxassay_012424_06: embryonic day 14.5 (more )
Structure Level Pattern Image Note
TS23: trigeminal ganglion Strong Regionally restricted euxassay_012424_06
TS23: vestibulo-cochlear ganglion Strong Regionally restricted euxassay_012424_06
TS23: facial ganglion Strong Regionally restricted euxassay_012424_06
TS23: olfactory epithelium Strong Regionally restricted euxassay_012424_06
TS23: diencephalon lateral wall mantle layer Strong Uniform euxassay_012424_06
TS23: telencephalon mantle layer Strong Uniform euxassay_012424_06
TS23: midbrain mantle layer Strong Uniform euxassay_012424_06
TS23: pons mantle layer Strong Uniform euxassay_012424_06
TS23: metencephalon rest of alar plate mantle layer Strong Uniform euxassay_012424_06
TS23: stomach Strong Regionally restricted euxassay_012424_06

Specimen euxassay_012424_07: embryonic day 14.5 (more )
Structure Level Pattern Image Note
TS23: trigeminal ganglion Strong Regionally restricted euxassay_012424_07
TS23: facial ganglion Strong Regionally restricted euxassay_012424_07
TS23: vestibulo-cochlear ganglion Strong Regionally restricted euxassay_012424_07
TS23: olfactory epithelium Strong Regionally restricted euxassay_012424_07
TS23: midbrain mantle layer Strong Uniform euxassay_012424_07
TS23: telencephalon mantle layer Strong Uniform euxassay_012424_07
TS23: diencephalon lateral wall mantle layer Strong Uniform euxassay_012424_07
TS23: hypothalamus mantle layer Strong Uniform euxassay_012424_07
TS23: pons mantle layer Strong Uniform euxassay_012424_07
TS23: metencephalon rest of alar plate mantle layer Strong Uniform euxassay_012424_07
TS23: medulla oblongata basal plate mantle layer Strong Uniform euxassay_012424_07
TS23: stomach Strong Regionally restricted euxassay_012424_07

Specimen euxassay_012424_08: embryonic day 14.5 (more )
Structure Level Pattern Image Note
TS23: glossopharyngeal ganglion Strong Regionally restricted euxassay_012424_08
TS23: trigeminal ganglion Strong Regionally restricted euxassay_012424_08
TS23: trigeminal nerve Strong Regionally restricted euxassay_012424_08
TS23: vestibulo-cochlear ganglion Strong Regionally restricted euxassay_012424_08
TS23: dorsal root ganglion Strong Regionally restricted euxassay_012424_08
TS23: olfactory epithelium Strong Regionally restricted euxassay_012424_08
TS23: hypothalamus mantle layer Strong Uniform euxassay_012424_08
TS23: diencephalon lateral wall mantle layer Strong Uniform euxassay_012424_08
TS23: telencephalon mantle layer Strong Uniform euxassay_012424_08
TS23: midbrain mantle layer Strong Uniform euxassay_012424_08
TS23: metencephalon rest of alar plate mantle layer Strong Uniform euxassay_012424_08
TS23: pons mantle layer Strong Uniform euxassay_012424_08
TS23: medulla oblongata basal plate mantle layer Strong Uniform euxassay_012424_08
TS23: medulla oblongata alar plate mantle layer Strong Uniform euxassay_012424_08
TS23: midgut Strong Regionally restricted euxassay_012424_08
TS23: stomach Strong Regionally restricted euxassay_012424_08

Specimen euxassay_012424_09: embryonic day 14.5 (more )
Structure Level Pattern Image Note
TS23: dorsal root ganglion Strong Regionally restricted euxassay_012424_09
TS23: cervical ganglion Strong Regionally restricted euxassay_012424_09
TS23: olfactory epithelium Strong Regionally restricted euxassay_012424_09
TS23: midbrain mantle layer Strong Uniform euxassay_012424_09
TS23: telencephalon mantle layer Strong Uniform euxassay_012424_09
TS23: diencephalon lateral wall mantle layer Strong Uniform euxassay_012424_09
TS23: hypothalamus mantle layer Strong Uniform euxassay_012424_09
TS23: pons mantle layer Strong Uniform euxassay_012424_09
TS23: metencephalon rest of alar plate mantle layer Strong Uniform euxassay_012424_09
TS23: medulla oblongata basal plate mantle layer Strong Uniform euxassay_012424_09
TS23: medulla oblongata alar plate mantle layer Strong Uniform euxassay_012424_09
TS23: stomach Strong Regionally restricted euxassay_012424_09
TS23: midgut Strong Regionally restricted euxassay_012424_09

Specimen euxassay_012424_10: embryonic day 14.5 (more )
Structure Level Pattern Image Note
TS23: dorsal root ganglion Strong Regionally restricted euxassay_012424_10
TS23: cervico-thoracic ganglion Strong Regionally restricted euxassay_012424_10
TS23: olfactory epithelium Strong Regionally restricted euxassay_012424_10
TS23: vomeronasal organ Strong Regionally restricted euxassay_012424_10
TS23: midbrain mantle layer Strong Uniform euxassay_012424_10
TS23: telencephalon mantle layer Strong Uniform euxassay_012424_10
TS23: diencephalon lateral wall mantle layer Strong Uniform euxassay_012424_10
TS23: hypothalamus mantle layer Strong Uniform euxassay_012424_10
TS23: pons mantle layer Strong Uniform euxassay_012424_10
TS23: metencephalon rest of alar plate mantle layer Strong Uniform euxassay_012424_10
TS23: medulla oblongata basal plate mantle layer Strong Uniform euxassay_012424_10
TS23: spinal cord mantle layer Strong Uniform euxassay_012424_10
TS23: medulla oblongata alar plate mantle layer Strong Uniform euxassay_012424_10
TS23: midgut Strong Regionally restricted euxassay_012424_10
TS23: stomach Strong Regionally restricted euxassay_012424_10

Specimen euxassay_012424_11: embryonic day 14.5 (more )
Structure Level Pattern Image Note
TS23: cervico-thoracic ganglion Strong Regionally restricted euxassay_012424_11
TS23: midbrain mantle layer Strong Uniform euxassay_012424_11
TS23: telencephalon mantle layer Strong Uniform euxassay_012424_11
TS23: diencephalon lateral wall mantle layer Strong Uniform euxassay_012424_11
TS23: hypothalamus mantle layer Strong Uniform euxassay_012424_11
TS23: medulla oblongata basal plate mantle layer Strong Uniform euxassay_012424_11
TS23: metencephalon rest of alar plate mantle layer Strong Uniform euxassay_012424_11
TS23: pons mantle layer Strong Uniform euxassay_012424_11
TS23: spinal cord mantle layer Strong Uniform euxassay_012424_11
TS23: midgut Strong Regionally restricted euxassay_012424_11

Specimen euxassay_012424_12: embryonic day 14.5 (more )
Structure Level Pattern Image Note
TS23: thoracic ganglion Strong Regionally restricted euxassay_012424_12
TS23: vomeronasal organ Strong Regionally restricted euxassay_012424_12
TS23: olfactory epithelium Strong Regionally restricted euxassay_012424_12
TS23: midbrain mantle layer Strong Uniform euxassay_012424_12
TS23: telencephalon mantle layer Strong Uniform euxassay_012424_12
TS23: diencephalon lateral wall mantle layer Strong Uniform euxassay_012424_12
TS23: hypothalamus mantle layer Strong Uniform euxassay_012424_12
TS23: medulla oblongata basal plate mantle layer Strong Uniform euxassay_012424_12
TS23: pons mantle layer Strong Uniform euxassay_012424_12
TS23: metencephalon rest of alar plate mantle layer Strong Uniform euxassay_012424_12
TS23: spinal cord mantle layer Strong Uniform euxassay_012424_12
TS23: medulla oblongata alar plate mantle layer Strong Uniform euxassay_012424_12
TS23: midgut Strong Regionally restricted euxassay_012424_12

Specimen euxassay_012424_13: embryonic day 14.5 (more )
Structure Level Pattern Image Note
TS23: thoracic ganglion Strong Regionally restricted euxassay_012424_13
TS23: vomeronasal organ Strong Regionally restricted euxassay_012424_13
TS23: olfactory epithelium Strong Regionally restricted euxassay_012424_13
TS23: midbrain mantle layer Strong Uniform euxassay_012424_13
TS23: telencephalon mantle layer Strong Uniform euxassay_012424_13
TS23: diencephalon lateral wall mantle layer Strong Uniform euxassay_012424_13
TS23: hypothalamus mantle layer Strong Uniform euxassay_012424_13
TS23: pons mantle layer Strong Uniform euxassay_012424_13
TS23: metencephalon rest of alar plate mantle layer Strong Uniform euxassay_012424_13
TS23: spinal cord mantle layer Strong Uniform euxassay_012424_13
TS23: medulla oblongata basal plate mantle layer Strong Uniform euxassay_012424_13
TS23: stomach Strong Regionally restricted euxassay_012424_13

Specimen euxassay_012424_14: embryonic day 14.5 (more )
Structure Level Pattern Image Note
TS23: dorsal root ganglion Strong Regionally restricted euxassay_012424_14
TS23: olfactory epithelium Strong Regionally restricted euxassay_012424_14
TS23: midbrain mantle layer Strong Uniform euxassay_012424_14
TS23: telencephalon mantle layer Strong Uniform euxassay_012424_14
TS23: diencephalon lateral wall mantle layer Strong Uniform euxassay_012424_14
TS23: hypothalamus mantle layer Strong Uniform euxassay_012424_14
TS23: metencephalon rest of alar plate mantle layer Strong Uniform euxassay_012424_14
TS23: pons mantle layer Strong Uniform euxassay_012424_14
TS23: spinal cord mantle layer Strong Uniform euxassay_012424_14
TS23: medulla oblongata basal plate mantle layer Strong Uniform euxassay_012424_14
TS23: medulla oblongata alar plate mantle layer Strong Uniform euxassay_012424_14
TS23: midgut Strong Regionally restricted euxassay_012424_14

Specimen euxassay_012424_15: embryonic day 14.5 (more )
Structure Level Pattern Image Note
TS23: trigeminal nerve Strong Regionally restricted euxassay_012424_15
TS23: dorsal root ganglion Strong Regionally restricted euxassay_012424_15
TS23: olfactory epithelium Moderate Regionally restricted euxassay_012424_15
TS23: diencephalon lateral wall mantle layer Strong Uniform euxassay_012424_15
TS23: hypothalamus mantle layer Strong Uniform euxassay_012424_15
TS23: telencephalon mantle layer Strong Uniform euxassay_012424_15
TS23: midbrain mantle layer Strong Uniform euxassay_012424_15
TS23: pons mantle layer Strong Uniform euxassay_012424_15
TS23: metencephalon rest of alar plate mantle layer Strong Uniform euxassay_012424_15
TS23: medulla oblongata basal plate mantle layer Strong Uniform euxassay_012424_15
TS23: medulla oblongata alar plate mantle layer Strong Uniform euxassay_012424_15
TS23: spinal cord mantle layer Strong Uniform euxassay_012424_15
TS23: midgut Strong Regionally restricted euxassay_012424_15

Specimen euxassay_012424_16: embryonic day 14.5 (more )
Structure Level Pattern Image Note
TS23: trigeminal ganglion Strong Regionally restricted euxassay_012424_16
TS23: vestibulo-cochlear ganglion Strong Regionally restricted euxassay_012424_16
TS23: dorsal root ganglion Strong Regionally restricted euxassay_012424_16
TS23: cervical ganglion Strong Regionally restricted euxassay_012424_16
TS23: cervico-thoracic ganglion Strong Regionally restricted euxassay_012424_16
TS23: midbrain mantle layer Strong Uniform euxassay_012424_16
TS23: telencephalon mantle layer Strong Uniform euxassay_012424_16
TS23: diencephalon lateral wall mantle layer Strong Uniform euxassay_012424_16
TS23: medulla oblongata alar plate mantle layer Strong Uniform euxassay_012424_16
TS23: medulla oblongata basal plate mantle layer Strong Uniform euxassay_012424_16
TS23: metencephalon rest of alar plate mantle layer Strong Uniform euxassay_012424_16
TS23: pons mantle layer Strong Uniform euxassay_012424_16
TS23: spinal cord mantle layer Strong Uniform euxassay_012424_16
TS23: midgut Moderate Regionally restricted euxassay_012424_16

Specimen euxassay_012424_17: embryonic day 14.5 (more )
Structure Level Pattern Image Note
TS23: glossopharyngeal ganglion Strong Regionally restricted euxassay_012424_17
TS23: trigeminal ganglion Strong Regionally restricted euxassay_012424_17
TS23: vestibulo-cochlear ganglion Strong Regionally restricted euxassay_012424_17
TS23: facial ganglion Strong Regionally restricted euxassay_012424_17
TS23: dorsal root ganglion Strong Regionally restricted euxassay_012424_17
TS23: midbrain mantle layer Strong Uniform euxassay_012424_17
TS23: telencephalon mantle layer Strong Uniform euxassay_012424_17
TS23: metencephalon rest of alar plate mantle layer Strong Uniform euxassay_012424_17
TS23: pons mantle layer Strong Uniform euxassay_012424_17
TS23: medulla oblongata alar plate mantle layer Strong Uniform euxassay_012424_17
TS23: medulla oblongata basal plate mantle layer Strong Uniform euxassay_012424_17

Specimen euxassay_012424_18: embryonic day 14.5 (more )
Structure Level Pattern Image Note
TS23: trigeminal ganglion Strong Regionally restricted euxassay_012424_18
TS23: facial ganglion Strong Regionally restricted euxassay_012424_18
TS23: vestibulo-cochlear ganglion Strong Regionally restricted euxassay_012424_18
TS23: glossopharyngeal ganglion Strong Regionally restricted euxassay_012424_18
TS23: dorsal root ganglion Strong Regionally restricted euxassay_012424_18
TS23: midbrain mantle layer Strong Uniform euxassay_012424_18
TS23: telencephalon mantle layer Strong Uniform euxassay_012424_18
TS23: medulla oblongata basal plate mantle layer Strong Uniform euxassay_012424_18
TS23: pons mantle layer Strong Uniform euxassay_012424_18
TS23: metencephalon rest of alar plate mantle layer Strong Uniform euxassay_012424_18

Specimen euxassay_012424_19: embryonic day 14.5 (more )
Structure Level Pattern Image Note
TS23: facial ganglion Strong Regionally restricted euxassay_012424_19
TS23: trigeminal ganglion Strong Regionally restricted euxassay_012424_19
TS23: telencephalon mantle layer Strong Uniform euxassay_012424_19
TS23: midbrain mantle layer Strong Uniform euxassay_012424_19
TS23: metencephalon rest of alar plate mantle layer Strong Uniform euxassay_012424_19

Specimen euxassay_012424_20: embryonic day 14.5 (more )
Structure Level Pattern Image Note
TS23: neural retina Strong Regionally restricted euxassay_012424_20
TS23: trigeminal ganglion Strong Regionally restricted euxassay_012424_20
TS23: facial ganglion Strong Regionally restricted euxassay_012424_20
TS23: telencephalon mantle layer Strong Uniform euxassay_012424_20
TS23: metencephalon rest of alar plate mantle layer Strong Uniform euxassay_012424_20

Specimen euxassay_012424_21: embryonic day 14.5 (more )
Structure Level Pattern Image Note
TS23: neural retina Strong Regionally restricted euxassay_012424_21
TS23: telencephalon mantle layer Strong Uniform euxassay_012424_21
TS23: metencephalon rest of alar plate mantle layer Strong Uniform euxassay_012424_21


Contributing Projects:
Mouse Genome Database (MGD), Gene Expression Database (GXD), Mouse Models of Human Cancer database (MMHCdb) (formerly Mouse Tumor Biology (MTB)), Gene Ontology (GO)
Citing These Resources
Funding Information
Warranty Disclaimer, Privacy Notice, Licensing, & Copyright
Send questions and comments to User Support.
last database update
03/24/2026
MGI 6.24
The Jackson Laboratory