About   Help   FAQ
Gene Expression Data
Assay Details
Assay
Reference: J:153498 Diez-Roux G, et al., A high-resolution anatomical atlas of the transcriptome in the mouse embryo. PLoS Biol. 2011;9(1):e1000582
Assay type: RNA in situ
MGI Accession ID: MGI:4825555
Gene symbol: Ikzf1
Gene name: IKAROS family zinc finger 1
Probe: T55086
Probe preparation: Antisense labelled with digoxigenin RNA
Visualized with: Alkaline phosphatase
Assay notes: Cryosections of fresh frozen material were fixed in 4% paraformaldehyde for 20 min. before further processing. A tyramide-biotin/streptavidin amplification step was included in the in situ hybridization procedure.
Results
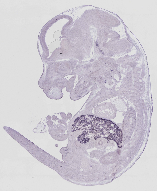
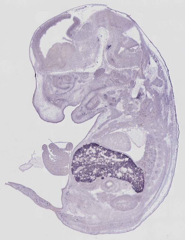
Specimen euxassay_019500_01: embryonic day 14.5 (more )
Structure Level Pattern Image Note
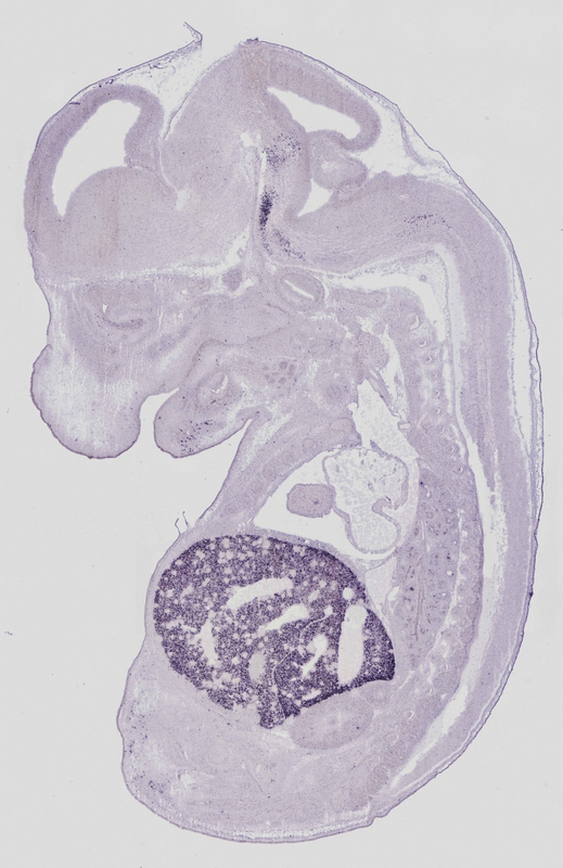
TS23: liver Strong Regionally restricted euxassay_019500_01

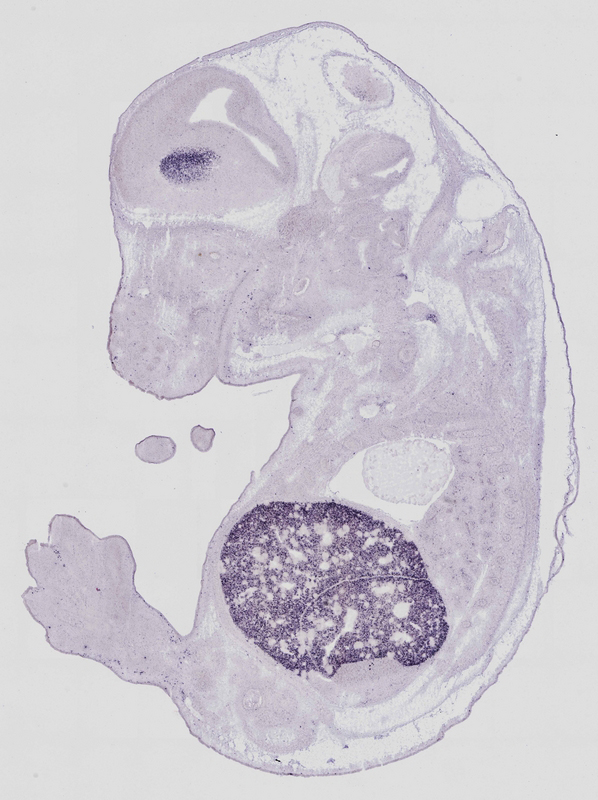
Specimen euxassay_019500_02: embryonic day 14.5 (more )
Structure Level Pattern Image Note
TS23: liver Strong Regionally restricted euxassay_019500_02

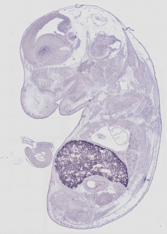
Specimen euxassay_019500_03: embryonic day 14.5 (more )
Structure Level Pattern Image Note
TS23: liver Strong Regionally restricted euxassay_019500_03

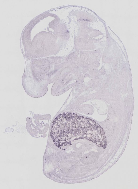
Specimen euxassay_019500_04: embryonic day 14.5 (more )
Structure Level Pattern Image Note
TS23: liver Strong Regionally restricted euxassay_019500_04
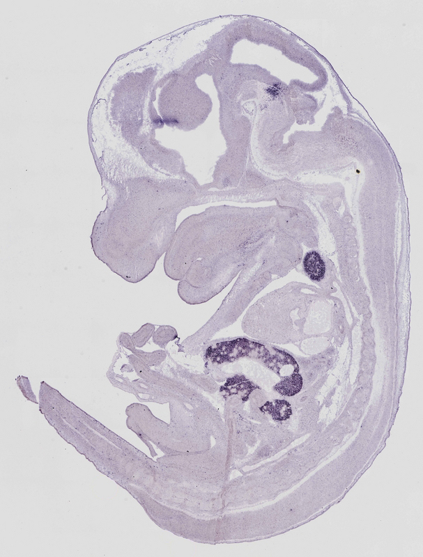
TS23: telencephalon mantle layer Strong Regionally restricted euxassay_019500_04

Specimen euxassay_019500_05: embryonic day 14.5 (more )
Structure Level Pattern Image Note
TS23: liver Strong Regionally restricted euxassay_019500_05
TS23: telencephalon mantle layer Strong Regionally restricted euxassay_019500_05

Specimen euxassay_019500_06: embryonic day 14.5 (more )
Structure Level Pattern Image Note
TS23: liver Strong Regionally restricted euxassay_019500_06
TS23: telencephalon mantle layer Strong Regionally restricted euxassay_019500_06

Specimen euxassay_019500_07: embryonic day 14.5 (more )
Structure Level Pattern Image Note
TS23: liver Strong Regionally restricted euxassay_019500_07
TS23: telencephalon mantle layer Moderate Regionally restricted euxassay_019500_07

Specimen euxassay_019500_08: embryonic day 14.5 (more )
Structure Level Pattern Image Note
TS23: liver Strong Regionally restricted euxassay_019500_08
TS23: midbrain mantle layer Moderate Regionally restricted euxassay_019500_08

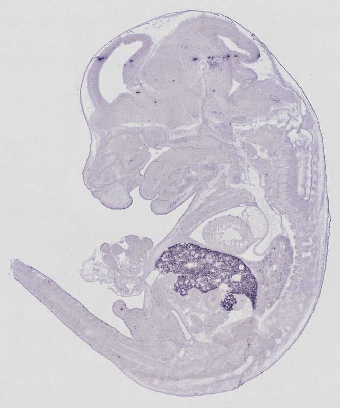
Specimen euxassay_019500_09: embryonic day 14.5 (more )
Structure Level Pattern Image Note
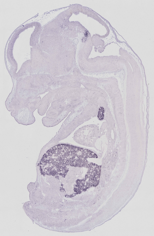
TS23: liver Strong Regionally restricted euxassay_019500_09
TS23: pons mantle layer Strong Regionally restricted euxassay_019500_09

Specimen euxassay_019500_10: embryonic day 14.5 (more )
Structure Level Pattern Image Note
TS23: liver Strong Regionally restricted euxassay_019500_10
TS23: pons mantle layer Strong Regionally restricted euxassay_019500_10

Specimen euxassay_019500_11: embryonic day 14.5 (more )
Structure Level Pattern Image Note
TS23: liver Strong Regionally restricted euxassay_019500_11
TS23: pons mantle layer Moderate Regionally restricted euxassay_019500_11
TS23: medulla oblongata basal plate mantle layer Moderate Regionally restricted euxassay_019500_11

Specimen euxassay_019500_12: embryonic day 14.5 (more )
Structure Level Pattern Image Note
TS23: liver Strong Regionally restricted euxassay_019500_12
TS23: midbrain mantle layer Strong Regionally restricted euxassay_019500_12
TS23: diencephalon lateral wall mantle layer Weak Regionally restricted euxassay_019500_12
TS23: medulla oblongata basal plate mantle layer Weak Regionally restricted euxassay_019500_12

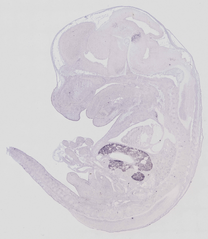
Specimen euxassay_019500_13: embryonic day 14.5 (more )
Structure Level Pattern Image Note
TS23: liver Strong Regionally restricted euxassay_019500_13
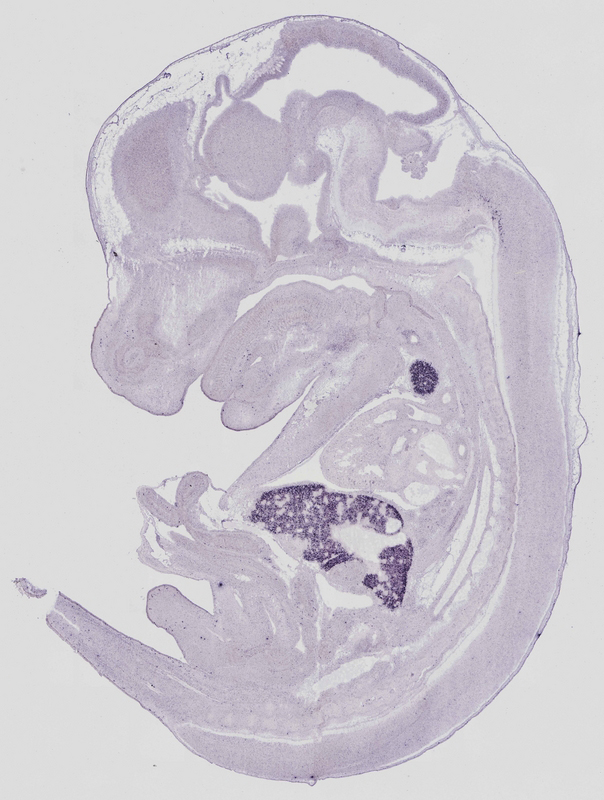
TS23: thymus primordium Strong Regionally restricted euxassay_019500_13
TS23: midbrain mantle layer Strong Regionally restricted euxassay_019500_13

Specimen euxassay_019500_14: embryonic day 14.5 (more )
Structure Level Pattern Image Note
TS23: liver Strong Regionally restricted euxassay_019500_14
TS23: thymus primordium Strong Regionally restricted euxassay_019500_14

Specimen euxassay_019500_15: embryonic day 14.5 (more )
Structure Level Pattern Image Note
TS23: liver Strong Regionally restricted euxassay_019500_15
TS23: thymus primordium Strong Regionally restricted euxassay_019500_15
TS23: diencephalon lateral wall mantle layer Weak Regionally restricted euxassay_019500_15

Specimen euxassay_019500_16: embryonic day 14.5 (more )
Structure Level Pattern Image Note
TS23: liver Strong Regionally restricted euxassay_019500_16
TS23: thymus primordium Strong Regionally restricted euxassay_019500_16
TS23: midbrain mantle layer Strong Regionally restricted euxassay_019500_16
TS23: diencephalon lateral wall mantle layer Weak Regionally restricted euxassay_019500_16

Specimen euxassay_019500_17: embryonic day 14.5 (more )
Structure Level Pattern Image Note
TS23: liver Strong Regionally restricted euxassay_019500_17
TS23: thymus primordium Strong Regionally restricted euxassay_019500_17
TS23: pons mantle layer Strong Regionally restricted euxassay_019500_17

Specimen euxassay_019500_18: embryonic day 14.5 (more )
Structure Level Pattern Image Note
TS23: liver Strong Regionally restricted euxassay_019500_18
TS23: pons mantle layer Strong Regionally restricted euxassay_019500_18
TS23: medulla oblongata basal plate mantle layer Weak Regionally restricted euxassay_019500_18

Specimen euxassay_019500_19: embryonic day 14.5 (more )
Structure Level Pattern Image Note
TS23: liver Strong Regionally restricted euxassay_019500_19
TS23: telencephalon mantle layer Moderate Regionally restricted euxassay_019500_19
TS23: diencephalon lateral wall mantle layer Moderate Regionally restricted euxassay_019500_19
TS23: pons mantle layer Moderate Regionally restricted euxassay_019500_19
TS23: medulla oblongata basal plate mantle layer Moderate Regionally restricted euxassay_019500_19

Specimen euxassay_019500_20: embryonic day 14.5 (more )
Structure Level Pattern Image Note
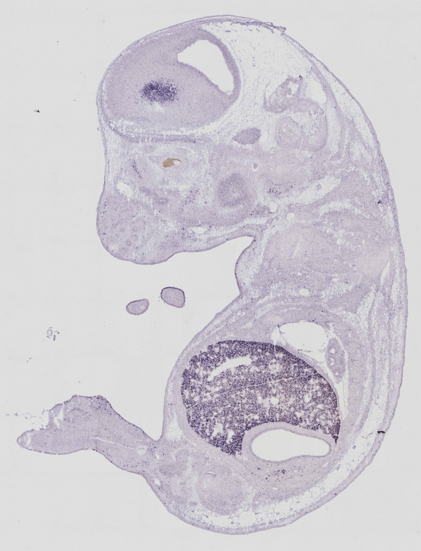
TS23: liver Strong Regionally restricted euxassay_019500_20
TS23: telencephalon mantle layer Strong Regionally restricted euxassay_019500_20
TS23: midbrain mantle layer Weak Regionally restricted euxassay_019500_20

Specimen euxassay_019500_21: embryonic day 14.5 (more )
Structure Level Pattern Image Note
TS23: liver Strong Regionally restricted euxassay_019500_21
TS23: telencephalon mantle layer Strong Regionally restricted euxassay_019500_21
TS23: midbrain mantle layer Moderate Regionally restricted euxassay_019500_21

Specimen euxassay_019500_22: embryonic day 14.5 (more )
Structure Level Pattern Image Note
TS23: liver Strong Regionally restricted euxassay_019500_22
TS23: telencephalon mantle layer Strong Regionally restricted euxassay_019500_22

Specimen euxassay_019500_23: embryonic day 14.5 (more )
Structure Level Pattern Image Note
TS23: liver Strong Regionally restricted euxassay_019500_23
TS23: telencephalon mantle layer Strong Regionally restricted euxassay_019500_23

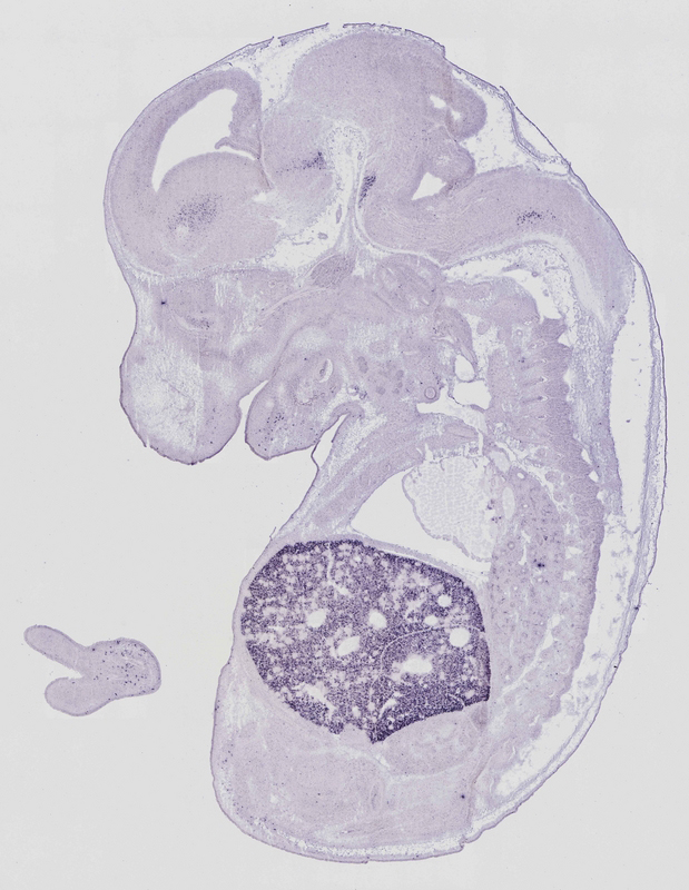
Specimen euxassay_019500_24: embryonic day 14.5 (more )
Structure Level Pattern Image Note
TS23: liver Strong Regionally restricted euxassay_019500_24


Contributing Projects:
Mouse Genome Database (MGD), Gene Expression Database (GXD), Mouse Models of Human Cancer database (MMHCdb) (formerly Mouse Tumor Biology (MTB)), Gene Ontology (GO)
Citing These Resources
Funding Information
Warranty Disclaimer, Privacy Notice, Licensing, & Copyright
Send questions and comments to User Support.
last database update
12/30/2025
MGI 6.24
The Jackson Laboratory