About   Help   FAQ
Gene Expression Data
Assay Details
Assay
Reference: J:153498 Diez-Roux G, et al., A high-resolution anatomical atlas of the transcriptome in the mouse embryo. PLoS Biol. 2011;9(1):e1000582
Assay type: RNA in situ
MGI Accession ID: MGI:4825538
Gene symbol: Igf2r
Gene name: insulin-like growth factor 2 receptor
Probe: IMAGE clone 1400527
Probe preparation: Antisense labelled with digoxigenin RNA
Visualized with: Alkaline phosphatase
Assay notes: Cryosections of fresh frozen material were fixed in 4% paraformaldehyde for 20 min. before further processing. A tyramide-biotin/streptavidin amplification step was included in the in situ hybridization procedure.
Results
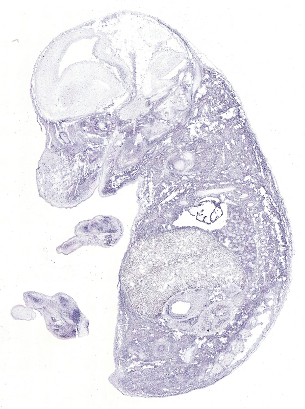
Specimen euxassay_001742_01: embryonic day 14.5 (more )
Structure Level Pattern Image Note
TS23: integumental system Moderate Regionally restricted euxassay_001742_01
TS23: sensory organ system Moderate Regionally restricted euxassay_001742_01
TS23: visceral organ system Moderate Regionally restricted euxassay_001742_01
TS23: gland Moderate Regionally restricted euxassay_001742_01

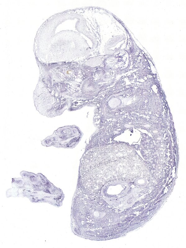
Specimen euxassay_001742_02: embryonic day 14.5 (more )
Structure Level Pattern Image Note
TS23: gland Moderate Regionally restricted euxassay_001742_02
TS23: integumental system Moderate Regionally restricted euxassay_001742_02
TS23: sensory organ system Moderate Regionally restricted euxassay_001742_02
TS23: visceral organ system Moderate Regionally restricted euxassay_001742_02

Specimen euxassay_001742_03: embryonic day 14.5 (more )
Structure Level Pattern Image Note
TS23: gland Moderate Regionally restricted euxassay_001742_03
TS23: integumental system Moderate Regionally restricted euxassay_001742_03
TS23: sensory organ system Moderate Regionally restricted euxassay_001742_03
TS23: visceral organ system Moderate Regionally restricted euxassay_001742_03

Specimen euxassay_001742_04: embryonic day 14.5 (more )
Structure Level Pattern Image Note
TS23: integumental system Moderate Regionally restricted euxassay_001742_04
TS23: gland Moderate Regionally restricted euxassay_001742_04
TS23: sensory organ system Moderate Regionally restricted euxassay_001742_04
TS23: visceral organ system Moderate Regionally restricted euxassay_001742_04

Specimen euxassay_001742_05: embryonic day 14.5 (more )
Structure Level Pattern Image Note
TS23: visceral organ system Moderate Regionally restricted euxassay_001742_05
TS23: sensory organ system Moderate Regionally restricted euxassay_001742_05
TS23: gland Moderate Regionally restricted euxassay_001742_05
TS23: integumental system Moderate Regionally restricted euxassay_001742_05
TS23: cardiovascular system Moderate Regionally restricted euxassay_001742_05

Specimen euxassay_001742_06: embryonic day 14.5 (more )
Structure Level Pattern Image Note
TS23: cardiovascular system Moderate Regionally restricted euxassay_001742_06
TS23: gland Moderate Regionally restricted euxassay_001742_06
TS23: integumental system Moderate Regionally restricted euxassay_001742_06
TS23: sensory organ system Moderate Regionally restricted euxassay_001742_06
TS23: visceral organ system Moderate Regionally restricted euxassay_001742_06

Specimen euxassay_001742_07: embryonic day 14.5 (more )
Structure Level Pattern Image Note
TS23: visceral organ system Moderate Regionally restricted euxassay_001742_07
TS23: sensory organ system Moderate Regionally restricted euxassay_001742_07
TS23: integumental system Moderate Regionally restricted euxassay_001742_07
TS23: gland Moderate Regionally restricted euxassay_001742_07
TS23: cardiovascular system Moderate Regionally restricted euxassay_001742_07
TS23: metencephalon part of 4th ventricle choroid plexus Weak Regionally restricted euxassay_001742_07
TS23: lateral ventricle choroid plexus Weak Regionally restricted euxassay_001742_07

Specimen euxassay_001742_08: embryonic day 14.5 (more )
Structure Level Pattern Image Note
TS23: cardiovascular system Moderate Regionally restricted euxassay_001742_08
TS23: gland Moderate Regionally restricted euxassay_001742_08
TS23: integumental system Moderate Regionally restricted euxassay_001742_08
TS23: sensory organ system Moderate Regionally restricted euxassay_001742_08
TS23: visceral organ system Moderate Regionally restricted euxassay_001742_08
TS23: metencephalon part of 4th ventricle choroid plexus Weak Regionally restricted euxassay_001742_08
TS23: lateral ventricle choroid plexus Weak Regionally restricted euxassay_001742_08

Specimen euxassay_001742_09: embryonic day 14.5 (more )
Structure Level Pattern Image Note
TS23: cardiovascular system Moderate Regionally restricted euxassay_001742_09
TS23: gland Moderate Regionally restricted euxassay_001742_09
TS23: integumental system Moderate Regionally restricted euxassay_001742_09
TS23: sensory organ system Moderate Regionally restricted euxassay_001742_09
TS23: visceral organ system Moderate Regionally restricted euxassay_001742_09
TS23: metencephalon part of 4th ventricle choroid plexus Weak Regionally restricted euxassay_001742_09

Specimen euxassay_001742_10: embryonic day 14.5 (more )
Structure Level Pattern Image Note
TS23: cardiovascular system Moderate Regionally restricted euxassay_001742_10
TS23: gland Moderate Regionally restricted euxassay_001742_10
TS23: sensory organ system Moderate Regionally restricted euxassay_001742_10
TS23: visceral organ system Moderate Regionally restricted euxassay_001742_10
TS23: integumental system Moderate Regionally restricted euxassay_001742_10
TS23: metencephalon part of 4th ventricle choroid plexus Weak Regionally restricted euxassay_001742_10
TS23: lateral ventricle choroid plexus Weak Regionally restricted euxassay_001742_10

Specimen euxassay_001742_11: embryonic day 14.5 (more )
Structure Level Pattern Image Note
TS23: cardiovascular system Moderate Regionally restricted euxassay_001742_11
TS23: gland Moderate Regionally restricted euxassay_001742_11
TS23: integumental system Moderate Regionally restricted euxassay_001742_11
TS23: visceral organ system Moderate Regionally restricted euxassay_001742_11
TS23: sensory organ system Moderate Regionally restricted euxassay_001742_11
TS23: metencephalon part of 4th ventricle choroid plexus Weak Regionally restricted euxassay_001742_11

Specimen euxassay_001742_12: embryonic day 14.5 (more )
Structure Level Pattern Image Note
TS23: visceral organ system Moderate Regionally restricted euxassay_001742_12
TS23: sensory organ system Moderate Regionally restricted euxassay_001742_12
TS23: gland Moderate Regionally restricted euxassay_001742_12
TS23: cardiovascular system Moderate Regionally restricted euxassay_001742_12
TS23: integumental system Moderate Regionally restricted euxassay_001742_12
TS23: metencephalon part of 4th ventricle choroid plexus Weak Regionally restricted euxassay_001742_12
TS23: lateral ventricle choroid plexus Weak Regionally restricted euxassay_001742_12

Specimen euxassay_001742_13: embryonic day 14.5 (more )
Structure Level Pattern Image Note
TS23: cardiovascular system Moderate Regionally restricted euxassay_001742_13
TS23: gland Moderate Regionally restricted euxassay_001742_13
TS23: integumental system Moderate Regionally restricted euxassay_001742_13
TS23: sensory organ system Moderate Regionally restricted euxassay_001742_13
TS23: visceral organ system Moderate Regionally restricted euxassay_001742_13
TS23: metencephalon part of 4th ventricle choroid plexus Weak Regionally restricted euxassay_001742_13
TS23: lateral ventricle choroid plexus Weak Regionally restricted euxassay_001742_13

Specimen euxassay_001742_14: embryonic day 14.5 (more )
Structure Level Pattern Image Note
TS23: cardiovascular system Moderate Regionally restricted euxassay_001742_14
TS23: gland Moderate Regionally restricted euxassay_001742_14
TS23: integumental system Moderate Regionally restricted euxassay_001742_14
TS23: sensory organ system Moderate Regionally restricted euxassay_001742_14
TS23: visceral organ system Moderate Regionally restricted euxassay_001742_14
TS23: metencephalon part of 4th ventricle choroid plexus Weak Regionally restricted euxassay_001742_14
TS23: lateral ventricle choroid plexus Weak Regionally restricted euxassay_001742_14

Specimen euxassay_001742_15: embryonic day 14.5 (more )
Structure Level Pattern Image Note
TS23: cardiovascular system Moderate Regionally restricted euxassay_001742_15
TS23: gland Moderate Regionally restricted euxassay_001742_15
TS23: integumental system Moderate Regionally restricted euxassay_001742_15
TS23: sensory organ system Moderate Regionally restricted euxassay_001742_15
TS23: visceral organ system Moderate Regionally restricted euxassay_001742_15
TS23: lateral ventricle choroid plexus Weak Regionally restricted euxassay_001742_15
TS23: metencephalon part of 4th ventricle choroid plexus Weak Regionally restricted euxassay_001742_15

Specimen euxassay_001742_16: embryonic day 14.5 (more )
Structure Level Pattern Image Note
TS23: cardiovascular system Moderate Regionally restricted euxassay_001742_16
TS23: gland Moderate Regionally restricted euxassay_001742_16
TS23: integumental system Moderate Regionally restricted euxassay_001742_16
TS23: sensory organ system Moderate Regionally restricted euxassay_001742_16
TS23: visceral organ system Moderate Regionally restricted euxassay_001742_16

Specimen euxassay_001742_17: embryonic day 14.5 (more )
Structure Level Pattern Image Note
TS23: cardiovascular system Moderate Regionally restricted euxassay_001742_17
TS23: gland Moderate Regionally restricted euxassay_001742_17
TS23: integumental system Moderate Regionally restricted euxassay_001742_17
TS23: sensory organ system Moderate Regionally restricted euxassay_001742_17
TS23: visceral organ system Moderate Regionally restricted euxassay_001742_17

Specimen euxassay_001742_18: embryonic day 14.5 (more )
Structure Level Pattern Image Note
TS23: gland Moderate Regionally restricted euxassay_001742_18
TS23: integumental system Moderate Regionally restricted euxassay_001742_18
TS23: sensory organ system Moderate Regionally restricted euxassay_001742_18
TS23: visceral organ system Moderate Regionally restricted euxassay_001742_18


Contributing Projects:
Mouse Genome Database (MGD), Gene Expression Database (GXD), Mouse Models of Human Cancer database (MMHCdb) (formerly Mouse Tumor Biology (MTB)), Gene Ontology (GO)
Citing These Resources
Funding Information
Warranty Disclaimer, Privacy Notice, Licensing, & Copyright
Send questions and comments to User Support.
last database update
01/28/2026
MGI 6.24
The Jackson Laboratory