About   Help   FAQ
Gene Expression Data
Assay Details
Assay
Reference: J:153498 Diez-Roux G, et al., A high-resolution anatomical atlas of the transcriptome in the mouse embryo. PLoS Biol. 2011;9(1):e1000582
Assay type: RNA in situ
MGI Accession ID: MGI:4825534
Gene symbol: Igf2
Gene name: insulin-like growth factor 2
Probe: MH523 probe 486
Probe preparation: Antisense labelled with digoxigenin RNA
Visualized with: Alkaline phosphatase
Assay notes: Cryosections of fresh frozen material were fixed in 4% paraformaldehyde for 20 min. before further processing. A tyramide-biotin/streptavidin amplification step was included in the in situ hybridization procedure.
Results
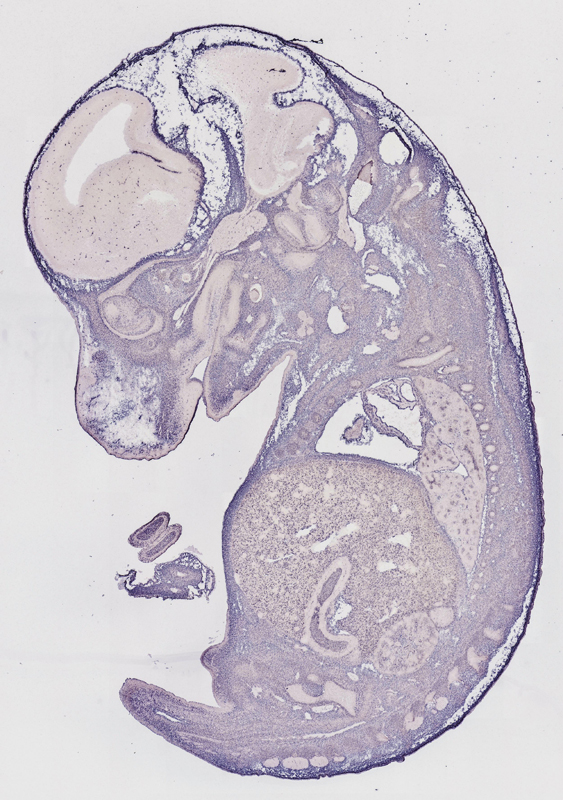
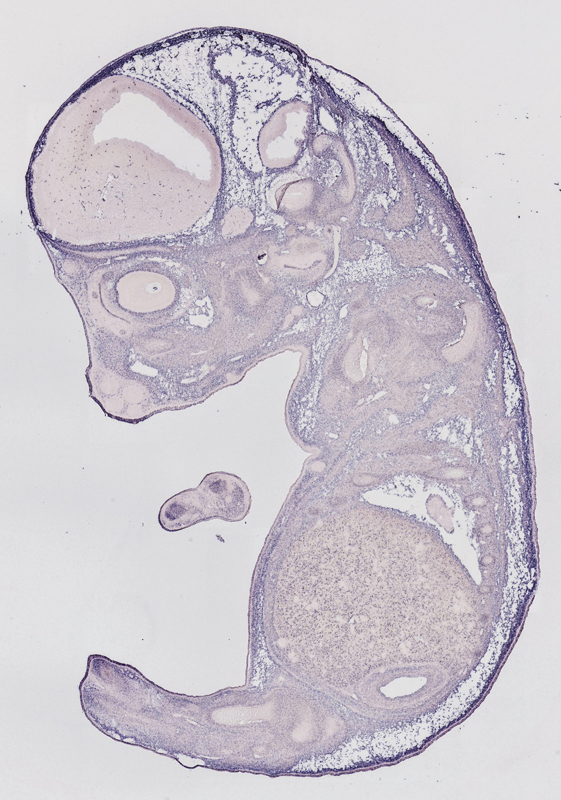
Specimen euxassay_007179_01: embryonic day 14.5 (more )
Structure Level Pattern Image Note
TS23: limb Strong Regionally restricted euxassay_007179_01
TS23: embryo mesenchyme Strong Regionally restricted euxassay_007179_01
TS23: vertebral axis musculature Strong Regionally restricted euxassay_007179_01
TS23: intraembryonic coelom Strong Regionally restricted euxassay_007179_01
TS23: skin Strong Regionally restricted euxassay_007179_01
TS23: cardiovascular system Strong Spotted euxassay_007179_01
TS23: respiratory system Strong Spotted euxassay_007179_01
TS23: liver and biliary system Strong Spotted euxassay_007179_01
TS23: urinary system Strong Regionally restricted euxassay_007179_01
TS23: reproductive system Strong Regionally restricted euxassay_007179_01
TS23: brain Strong Single cells euxassay_007179_01

Specimen euxassay_007179_02: embryonic day 14.5 (more )
Structure Level Pattern Image Note
TS23: limb Strong Regionally restricted euxassay_007179_02
TS23: embryo mesenchyme Strong Regionally restricted euxassay_007179_02
TS23: vertebral axis musculature Strong Regionally restricted euxassay_007179_02
TS23: intraembryonic coelom Strong Regionally restricted euxassay_007179_02
TS23: skin Strong Regionally restricted euxassay_007179_02
TS23: cardiovascular system Strong Spotted euxassay_007179_02
TS23: liver and biliary system Strong Spotted euxassay_007179_02
TS23: respiratory system Strong Spotted euxassay_007179_02
TS23: urinary system Strong Regionally restricted euxassay_007179_02
TS23: reproductive system Strong Regionally restricted euxassay_007179_02
TS23: brain Strong Single cells euxassay_007179_02

Specimen euxassay_007179_03: embryonic day 14.5 (more )
Structure Level Pattern Image Note
TS23: limb Strong Regionally restricted euxassay_007179_03
TS23: embryo mesenchyme Strong Regionally restricted euxassay_007179_03
TS23: vertebral axis musculature Strong Regionally restricted euxassay_007179_03
TS23: intraembryonic coelom Strong Regionally restricted euxassay_007179_03
TS23: skin Strong Regionally restricted euxassay_007179_03
TS23: respiratory system Strong Spotted euxassay_007179_03
TS23: cardiovascular system Strong Spotted euxassay_007179_03
TS23: liver and biliary system Strong Spotted euxassay_007179_03
TS23: reproductive system Strong Regionally restricted euxassay_007179_03
TS23: urinary system Strong Regionally restricted euxassay_007179_03
TS23: brain Strong Single cells euxassay_007179_03

Specimen euxassay_007179_04: embryonic day 14.5 (more )
Structure Level Pattern Image Note
TS23: limb Strong Regionally restricted euxassay_007179_04
TS23: embryo mesenchyme Strong Regionally restricted euxassay_007179_04
TS23: vertebral axis musculature Strong Regionally restricted euxassay_007179_04
TS23: intraembryonic coelom Strong Regionally restricted euxassay_007179_04
TS23: skin Strong Regionally restricted euxassay_007179_04
TS23: respiratory system Strong Spotted euxassay_007179_04
TS23: cardiovascular system Strong Spotted euxassay_007179_04
TS23: liver and biliary system Strong Spotted euxassay_007179_04
TS23: urinary system Strong Regionally restricted euxassay_007179_04
TS23: reproductive system Strong Regionally restricted euxassay_007179_04
TS23: brain Strong Single cells euxassay_007179_04

Specimen euxassay_007179_05: embryonic day 14.5 (more )
Structure Level Pattern Image Note
TS23: embryo mesenchyme Strong Regionally restricted euxassay_007179_05
TS23: vertebral axis musculature Strong Regionally restricted euxassay_007179_05
TS23: intraembryonic coelom Strong Regionally restricted euxassay_007179_05
TS23: skin Strong Regionally restricted euxassay_007179_05
TS23: respiratory system Strong Spotted euxassay_007179_05
TS23: cardiovascular system Strong Spotted euxassay_007179_05
TS23: liver and biliary system Strong Spotted euxassay_007179_05
TS23: urinary system Strong Regionally restricted euxassay_007179_05
TS23: reproductive system Strong Regionally restricted euxassay_007179_05
TS23: brain Strong Single cells euxassay_007179_05

Specimen euxassay_007179_06: embryonic day 14.5 (more )
Structure Level Pattern Image Note
TS23: embryo mesenchyme Strong Regionally restricted euxassay_007179_06
TS23: vertebral axis musculature Strong Regionally restricted euxassay_007179_06
TS23: intraembryonic coelom Strong Regionally restricted euxassay_007179_06
TS23: skin Strong Regionally restricted euxassay_007179_06
TS23: cardiovascular system Strong Spotted euxassay_007179_06
TS23: respiratory system Strong Spotted euxassay_007179_06
TS23: liver and biliary system Strong Spotted euxassay_007179_06
TS23: urinary system Strong Regionally restricted euxassay_007179_06
TS23: reproductive system Strong Regionally restricted euxassay_007179_06
TS23: alimentary system Strong Regionally restricted euxassay_007179_06
TS23: brain Strong Single cells euxassay_007179_06

Specimen euxassay_007179_07: embryonic day 14.5 (more )
Structure Level Pattern Image Note
TS23: embryo mesenchyme Strong Regionally restricted euxassay_007179_07
TS23: vertebral axis musculature Strong Regionally restricted euxassay_007179_07
TS23: tail Strong Regionally restricted euxassay_007179_07
TS23: intraembryonic coelom Strong Regionally restricted euxassay_007179_07
TS23: skin Strong Regionally restricted euxassay_007179_07
TS23: respiratory system Strong Spotted euxassay_007179_07
TS23: liver and biliary system Strong Spotted euxassay_007179_07
TS23: cardiovascular system Strong Spotted euxassay_007179_07
TS23: urinary system Strong Regionally restricted euxassay_007179_07
TS23: reproductive system Strong Regionally restricted euxassay_007179_07
TS23: alimentary system Strong Regionally restricted euxassay_007179_07
TS23: brain Strong Single cells euxassay_007179_07

Specimen euxassay_007179_08: embryonic day 14.5 (more )
Structure Level Pattern Image Note
TS23: embryo mesenchyme Strong Regionally restricted euxassay_007179_08
TS23: tail Strong Regionally restricted euxassay_007179_08
TS23: vertebral axis musculature Strong Regionally restricted euxassay_007179_08
TS23: intraembryonic coelom Strong Regionally restricted euxassay_007179_08
TS23: skin Strong Regionally restricted euxassay_007179_08
TS23: cardiovascular system Strong Spotted euxassay_007179_08
TS23: liver and biliary system Strong Spotted euxassay_007179_08
TS23: respiratory system Strong Spotted euxassay_007179_08
TS23: urinary system Strong Regionally restricted euxassay_007179_08
TS23: reproductive system Strong Regionally restricted euxassay_007179_08
TS23: alimentary system Strong Regionally restricted euxassay_007179_08
TS23: brain Strong Single cells euxassay_007179_08
TS23: spinal cord Strong Single cells euxassay_007179_08

Specimen euxassay_007179_09: embryonic day 14.5 (more )
Structure Level Pattern Image Note
TS23: embryo mesenchyme Strong Regionally restricted euxassay_007179_09
TS23: tail Strong Regionally restricted euxassay_007179_09
TS23: vertebral axis musculature Strong Regionally restricted euxassay_007179_09
TS23: intraembryonic coelom Strong Regionally restricted euxassay_007179_09
TS23: skin Strong Regionally restricted euxassay_007179_09
TS23: cardiovascular system Strong Spotted euxassay_007179_09
TS23: respiratory system Strong Spotted euxassay_007179_09
TS23: liver and biliary system Strong Spotted euxassay_007179_09
TS23: urinary system Strong Regionally restricted euxassay_007179_09
TS23: reproductive system Strong Regionally restricted euxassay_007179_09
TS23: alimentary system Strong Regionally restricted euxassay_007179_09
TS23: brain Strong Single cells euxassay_007179_09
TS23: spinal cord Strong Single cells euxassay_007179_09

Specimen euxassay_007179_10: embryonic day 14.5 (more )
Structure Level Pattern Image Note
TS23: embryo mesenchyme Strong Regionally restricted euxassay_007179_10
TS23: tail Strong Regionally restricted euxassay_007179_10
TS23: vertebral axis musculature Strong Regionally restricted euxassay_007179_10
TS23: intraembryonic coelom Strong Regionally restricted euxassay_007179_10
TS23: skin Strong Regionally restricted euxassay_007179_10
TS23: cardiovascular system Strong Spotted euxassay_007179_10
TS23: liver and biliary system Strong Spotted euxassay_007179_10
TS23: respiratory system Strong Spotted euxassay_007179_10
TS23: urinary system Strong Regionally restricted euxassay_007179_10
TS23: reproductive system Strong Regionally restricted euxassay_007179_10
TS23: alimentary system Strong Regionally restricted euxassay_007179_10
TS23: brain Strong Single cells euxassay_007179_10
TS23: spinal cord Strong Single cells euxassay_007179_10

Specimen euxassay_007179_11: embryonic day 14.5 (more )
Structure Level Pattern Image Note
TS23: embryo mesenchyme Strong Regionally restricted euxassay_007179_11
TS23: tail Strong Regionally restricted euxassay_007179_11
TS23: vertebral axis musculature Strong Regionally restricted euxassay_007179_11
TS23: intraembryonic coelom Strong Regionally restricted euxassay_007179_11
TS23: skin Strong Regionally restricted euxassay_007179_11
TS23: cardiovascular system Strong Spotted euxassay_007179_11
TS23: liver and biliary system Strong Spotted euxassay_007179_11
TS23: respiratory system Strong Spotted euxassay_007179_11
TS23: urinary system Strong Regionally restricted euxassay_007179_11
TS23: reproductive system Strong Regionally restricted euxassay_007179_11
TS23: alimentary system Strong Regionally restricted euxassay_007179_11
TS23: spinal cord Strong Single cells euxassay_007179_11
TS23: brain Strong Single cells euxassay_007179_11

Specimen euxassay_007179_12: embryonic day 14.5 (more )
Structure Level Pattern Image Note
TS23: embryo mesenchyme Strong Regionally restricted euxassay_007179_12
TS23: tail Strong Regionally restricted euxassay_007179_12
TS23: vertebral axis musculature Strong Regionally restricted euxassay_007179_12
TS23: intraembryonic coelom Strong Regionally restricted euxassay_007179_12
TS23: skin Strong Regionally restricted euxassay_007179_12
TS23: cardiovascular system Strong Spotted euxassay_007179_12
TS23: respiratory system Strong Spotted euxassay_007179_12
TS23: liver and biliary system Strong Spotted euxassay_007179_12
TS23: urinary system Strong Regionally restricted euxassay_007179_12
TS23: reproductive system Strong Regionally restricted euxassay_007179_12
TS23: alimentary system Strong Regionally restricted euxassay_007179_12
TS23: brain Strong Single cells euxassay_007179_12
TS23: spinal cord Strong Single cells euxassay_007179_12

Specimen euxassay_007179_13: embryonic day 14.5 (more )
Structure Level Pattern Image Note
TS23: embryo mesenchyme Strong Regionally restricted euxassay_007179_13
TS23: tail Strong Regionally restricted euxassay_007179_13
TS23: vertebral axis musculature Strong Regionally restricted euxassay_007179_13
TS23: intraembryonic coelom Strong Regionally restricted euxassay_007179_13
TS23: skin Strong Regionally restricted euxassay_007179_13
TS23: cardiovascular system Strong Spotted euxassay_007179_13
TS23: liver and biliary system Strong Spotted euxassay_007179_13
TS23: respiratory system Strong Spotted euxassay_007179_13
TS23: urinary system Strong Regionally restricted euxassay_007179_13
TS23: reproductive system Strong Regionally restricted euxassay_007179_13
TS23: alimentary system Strong Regionally restricted euxassay_007179_13
TS23: brain Strong Single cells euxassay_007179_13
TS23: spinal cord Strong Single cells euxassay_007179_13

Specimen euxassay_007179_14: embryonic day 14.5 (more )
Structure Level Pattern Image Note
TS23: embryo mesenchyme Strong Regionally restricted euxassay_007179_14
TS23: vertebral axis musculature Strong Regionally restricted euxassay_007179_14
TS23: intraembryonic coelom Strong Regionally restricted euxassay_007179_14
TS23: skin Strong Regionally restricted euxassay_007179_14
TS23: respiratory system Strong Spotted euxassay_007179_14
TS23: liver and biliary system Strong Spotted euxassay_007179_14
TS23: cardiovascular system Strong Spotted euxassay_007179_14
TS23: urinary system Strong Regionally restricted euxassay_007179_14
TS23: reproductive system Strong Regionally restricted euxassay_007179_14
TS23: alimentary system Strong Regionally restricted euxassay_007179_14
TS23: brain Strong Single cells euxassay_007179_14
TS23: spinal cord Strong Single cells euxassay_007179_14

Specimen euxassay_007179_15: embryonic day 14.5 (more )
Structure Level Pattern Image Note
TS23: embryo mesenchyme Strong Regionally restricted euxassay_007179_15
TS23: vertebral axis musculature Strong Regionally restricted euxassay_007179_15
TS23: intraembryonic coelom Strong Regionally restricted euxassay_007179_15
TS23: skin Strong Regionally restricted euxassay_007179_15
TS23: respiratory system Strong Spotted euxassay_007179_15
TS23: cardiovascular system Strong Spotted euxassay_007179_15
TS23: liver and biliary system Strong Spotted euxassay_007179_15
TS23: urinary system Strong Regionally restricted euxassay_007179_15
TS23: reproductive system Strong Regionally restricted euxassay_007179_15
TS23: alimentary system Strong Regionally restricted euxassay_007179_15
TS23: brain Strong Single cells euxassay_007179_15
TS23: spinal cord Strong Single cells euxassay_007179_15

Specimen euxassay_007179_16: embryonic day 14.5 (more )
Structure Level Pattern Image Note
TS23: embryo mesenchyme Strong Regionally restricted euxassay_007179_16
TS23: vertebral axis musculature Strong Regionally restricted euxassay_007179_16
TS23: intraembryonic coelom Strong Regionally restricted euxassay_007179_16
TS23: skin Strong Regionally restricted euxassay_007179_16
TS23: cardiovascular system Strong Spotted euxassay_007179_16
TS23: liver and biliary system Strong Spotted euxassay_007179_16
TS23: respiratory system Strong Spotted euxassay_007179_16
TS23: urinary system Strong Regionally restricted euxassay_007179_16
TS23: reproductive system Strong Regionally restricted euxassay_007179_16
TS23: alimentary system Strong Regionally restricted euxassay_007179_16
TS23: brain Strong Single cells euxassay_007179_16
TS23: spinal cord Strong Single cells euxassay_007179_16

Specimen euxassay_007179_17: embryonic day 14.5 (more )
Structure Level Pattern Image Note
TS23: embryo mesenchyme Strong Regionally restricted euxassay_007179_17
TS23: vertebral axis musculature Strong Regionally restricted euxassay_007179_17
TS23: intraembryonic coelom Strong Regionally restricted euxassay_007179_17
TS23: skin Strong Regionally restricted euxassay_007179_17
TS23: cardiovascular system Strong Spotted euxassay_007179_17
TS23: respiratory system Strong Spotted euxassay_007179_17
TS23: liver and biliary system Strong Spotted euxassay_007179_17
TS23: urinary system Strong Regionally restricted euxassay_007179_17
TS23: reproductive system Strong Regionally restricted euxassay_007179_17
TS23: alimentary system Strong Regionally restricted euxassay_007179_17
TS23: brain Strong Single cells euxassay_007179_17
TS23: spinal cord Strong Single cells euxassay_007179_17

Specimen euxassay_007179_18: embryonic day 14.5 (more )
Structure Level Pattern Image Note
TS23: embryo mesenchyme Strong Regionally restricted euxassay_007179_18
TS23: vertebral axis musculature Strong Regionally restricted euxassay_007179_18
TS23: limb Strong Regionally restricted euxassay_007179_18
TS23: intraembryonic coelom Strong Regionally restricted euxassay_007179_18
TS23: skin Strong Regionally restricted euxassay_007179_18
TS23: cardiovascular system Strong Spotted euxassay_007179_18
TS23: liver and biliary system Strong Spotted euxassay_007179_18
TS23: respiratory system Strong Spotted euxassay_007179_18
TS23: urinary system Strong Regionally restricted euxassay_007179_18
TS23: reproductive system Strong Regionally restricted euxassay_007179_18
TS23: alimentary system Strong Regionally restricted euxassay_007179_18
TS23: brain Strong Single cells euxassay_007179_18
TS23: spinal cord Strong Single cells euxassay_007179_18

Specimen euxassay_007179_19: embryonic day 14.5 (more )
Structure Level Pattern Image Note
TS23: limb Strong Regionally restricted euxassay_007179_19
TS23: embryo mesenchyme Strong Regionally restricted euxassay_007179_19
TS23: vertebral axis musculature Strong Regionally restricted euxassay_007179_19
TS23: intraembryonic coelom Strong Regionally restricted euxassay_007179_19
TS23: skin Strong Regionally restricted euxassay_007179_19
TS23: cardiovascular system Strong Spotted euxassay_007179_19
TS23: liver and biliary system Strong Spotted euxassay_007179_19
TS23: respiratory system Strong Spotted euxassay_007179_19
TS23: urinary system Strong Regionally restricted euxassay_007179_19
TS23: reproductive system Strong Regionally restricted euxassay_007179_19
TS23: alimentary system Strong Regionally restricted euxassay_007179_19
TS23: brain Strong Single cells euxassay_007179_19

Specimen euxassay_007179_20: embryonic day 14.5 (more )
Structure Level Pattern Image Note
TS23: limb Strong Regionally restricted euxassay_007179_20
TS23: embryo mesenchyme Strong Regionally restricted euxassay_007179_20
TS23: vertebral axis musculature Strong Regionally restricted euxassay_007179_20
TS23: intraembryonic coelom Strong Regionally restricted euxassay_007179_20
TS23: skin Strong Regionally restricted euxassay_007179_20
TS23: cardiovascular system Strong Spotted euxassay_007179_20
TS23: respiratory system Strong Spotted euxassay_007179_20
TS23: liver and biliary system Strong Spotted euxassay_007179_20
TS23: urinary system Strong Regionally restricted euxassay_007179_20
TS23: reproductive system Strong Regionally restricted euxassay_007179_20
TS23: alimentary system Strong Regionally restricted euxassay_007179_20
TS23: brain Strong Single cells euxassay_007179_20

Specimen euxassay_007179_21: embryonic day 14.5 (more )
Structure Level Pattern Image Note
TS23: limb Strong Regionally restricted euxassay_007179_21
TS23: embryo mesenchyme Strong Regionally restricted euxassay_007179_21
TS23: vertebral axis musculature Strong Regionally restricted euxassay_007179_21
TS23: intraembryonic coelom Strong Regionally restricted euxassay_007179_21
TS23: skin Strong Regionally restricted euxassay_007179_21
TS23: respiratory system Strong Spotted euxassay_007179_21
TS23: liver and biliary system Strong Spotted euxassay_007179_21
TS23: cardiovascular system Strong Spotted euxassay_007179_21
TS23: urinary system Strong Regionally restricted euxassay_007179_21
TS23: reproductive system Strong Regionally restricted euxassay_007179_21
TS23: alimentary system Strong Regionally restricted euxassay_007179_21
TS23: brain Strong Single cells euxassay_007179_21

Specimen euxassay_007179_22: embryonic day 14.5 (more )
Structure Level Pattern Image Note
TS23: limb Strong Regionally restricted euxassay_007179_22
TS23: embryo mesenchyme Strong Regionally restricted euxassay_007179_22
TS23: vertebral axis musculature Strong Regionally restricted euxassay_007179_22
TS23: intraembryonic coelom Strong Regionally restricted euxassay_007179_22
TS23: skin Strong Regionally restricted euxassay_007179_22
TS23: cardiovascular system Strong Spotted euxassay_007179_22
TS23: respiratory system Strong Spotted euxassay_007179_22
TS23: liver and biliary system Strong Spotted euxassay_007179_22
TS23: urinary system Strong Regionally restricted euxassay_007179_22
TS23: reproductive system Strong Regionally restricted euxassay_007179_22
TS23: alimentary system Strong Regionally restricted euxassay_007179_22
TS23: brain Strong Single cells euxassay_007179_22

Specimen euxassay_007179_23: embryonic day 14.5 (more )
Structure Level Pattern Image Note
TS23: limb Strong Regionally restricted euxassay_007179_23
TS23: embryo mesenchyme Strong Regionally restricted euxassay_007179_23
TS23: vertebral axis musculature Strong Regionally restricted euxassay_007179_23
TS23: intraembryonic coelom Strong Regionally restricted euxassay_007179_23
TS23: skin Strong Regionally restricted euxassay_007179_23
TS23: cardiovascular system Strong Spotted euxassay_007179_23
TS23: liver and biliary system Strong Spotted euxassay_007179_23
TS23: respiratory system Strong Spotted euxassay_007179_23
TS23: urinary system Strong Regionally restricted euxassay_007179_23
TS23: reproductive system Strong Regionally restricted euxassay_007179_23
TS23: alimentary system Strong Regionally restricted euxassay_007179_23
TS23: brain Strong Single cells euxassay_007179_23

Specimen euxassay_007179_24: embryonic day 14.5 (more )
Structure Level Pattern Image Note
TS23: limb Strong Regionally restricted euxassay_007179_24
TS23: vertebral axis musculature Strong Regionally restricted euxassay_007179_24
TS23: embryo mesenchyme Strong Regionally restricted euxassay_007179_24
TS23: intraembryonic coelom Strong Regionally restricted euxassay_007179_24
TS23: skin Strong Regionally restricted euxassay_007179_24
TS23: respiratory system Strong Spotted euxassay_007179_24
TS23: cardiovascular system Strong Spotted euxassay_007179_24
TS23: liver and biliary system Strong Spotted euxassay_007179_24
TS23: urinary system Strong Regionally restricted euxassay_007179_24
TS23: reproductive system Strong Regionally restricted euxassay_007179_24
TS23: alimentary system Strong Regionally restricted euxassay_007179_24
TS23: brain Strong Single cells euxassay_007179_24


Contributing Projects:
Mouse Genome Database (MGD), Gene Expression Database (GXD), Mouse Models of Human Cancer database (MMHCdb) (formerly Mouse Tumor Biology (MTB)), Gene Ontology (GO)
Citing These Resources
Funding Information
Warranty Disclaimer, Privacy Notice, Licensing, & Copyright
Send questions and comments to User Support.
last database update
01/06/2026
MGI 6.24
The Jackson Laboratory