About   Help   FAQ
Gene Expression Data
Assay Details
Assay
Reference: J:153498 Diez-Roux G, et al., A high-resolution anatomical atlas of the transcriptome in the mouse embryo. PLoS Biol. 2011;9(1):e1000582
Assay type: RNA in situ
MGI Accession ID: MGI:4825514
Gene symbol: Ifi30
Gene name: interferon gamma inducible protein 30
Probe: MGC clone 62543
Probe preparation: Antisense labelled with digoxigenin RNA
Visualized with: Alkaline phosphatase
Assay notes: Cryosections of fresh frozen material were fixed in 4% paraformaldehyde for 20 min. before further processing. A tyramide-biotin/streptavidin amplification step was included in the in situ hybridization procedure.
Results
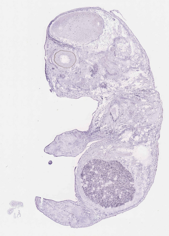
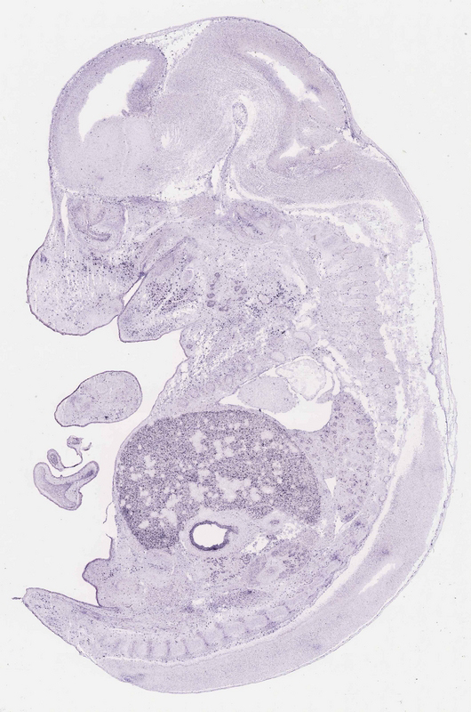
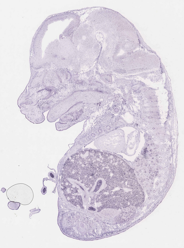
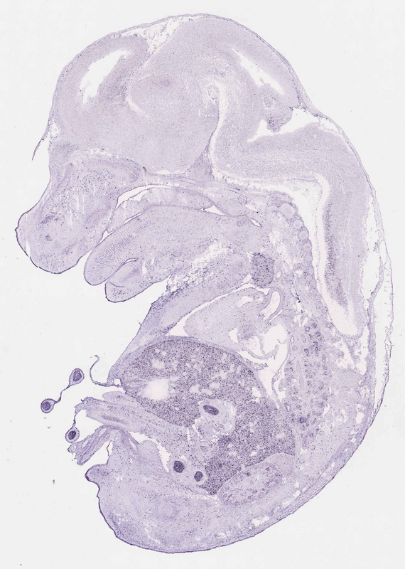
Specimen euxassay_001635_01: embryonic day 14.5 (more )
Structure Level Pattern Image Note
TS23: liver Weak Regionally restricted euxassay_001635_01
TS23: orbito-sphenoid Moderate Regionally restricted euxassay_001635_01
TS23: stomach Weak Regionally restricted euxassay_001635_01

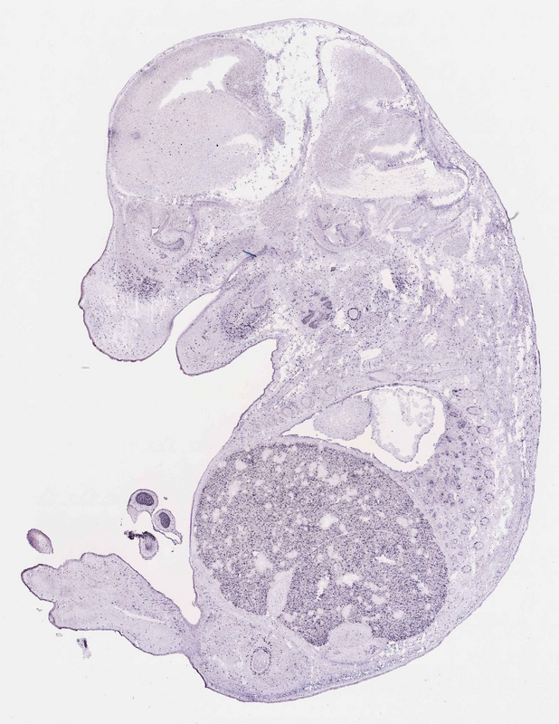
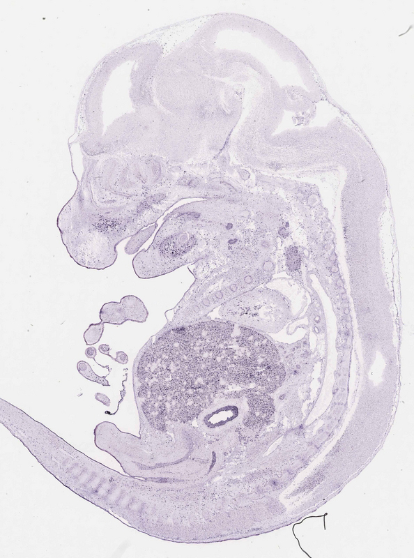
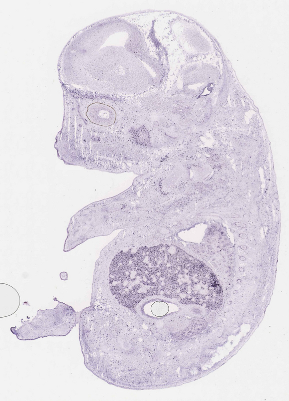
Specimen euxassay_001635_02: embryonic day 14.5 (more )
Structure Level Pattern Image Note
TS23: liver lobe Weak Regionally restricted euxassay_001635_02
TS23: stomach Moderate Regionally restricted euxassay_001635_02

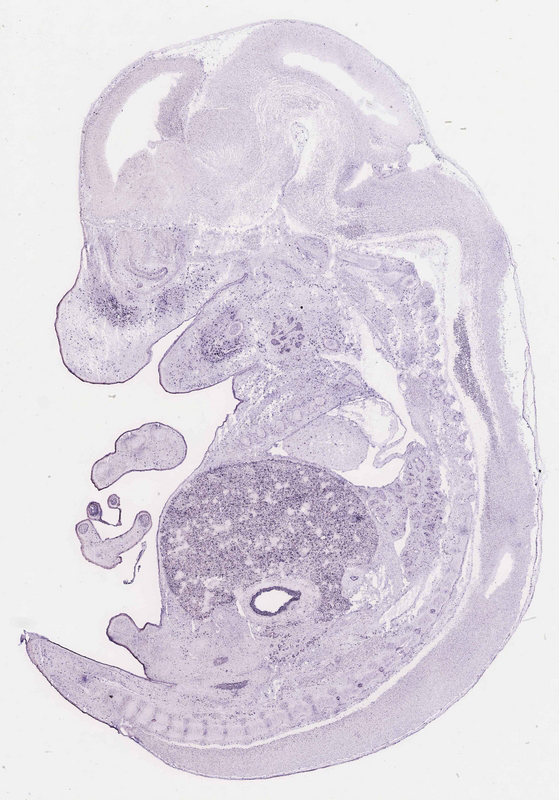
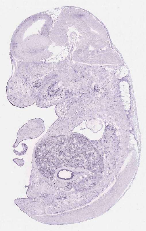
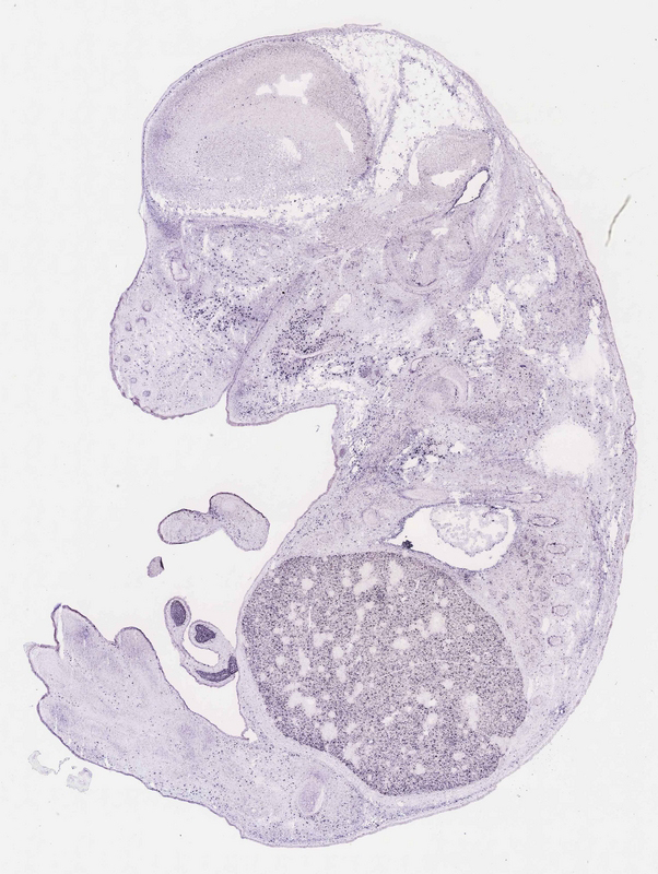
Specimen euxassay_001635_03: embryonic day 14.5 (more )
Structure Level Pattern Image Note
TS23: liver lobe Weak Regionally restricted euxassay_001635_03
TS23: stomach Moderate Regionally restricted euxassay_001635_03
TS23: submandibular gland primordium Weak Regionally restricted euxassay_001635_03

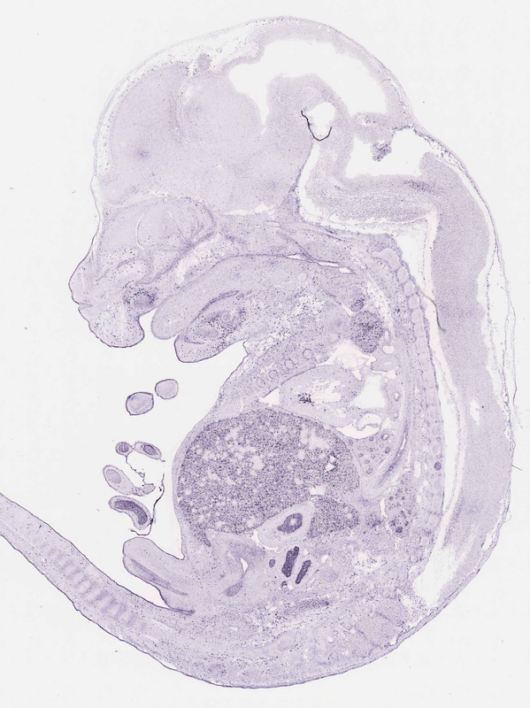
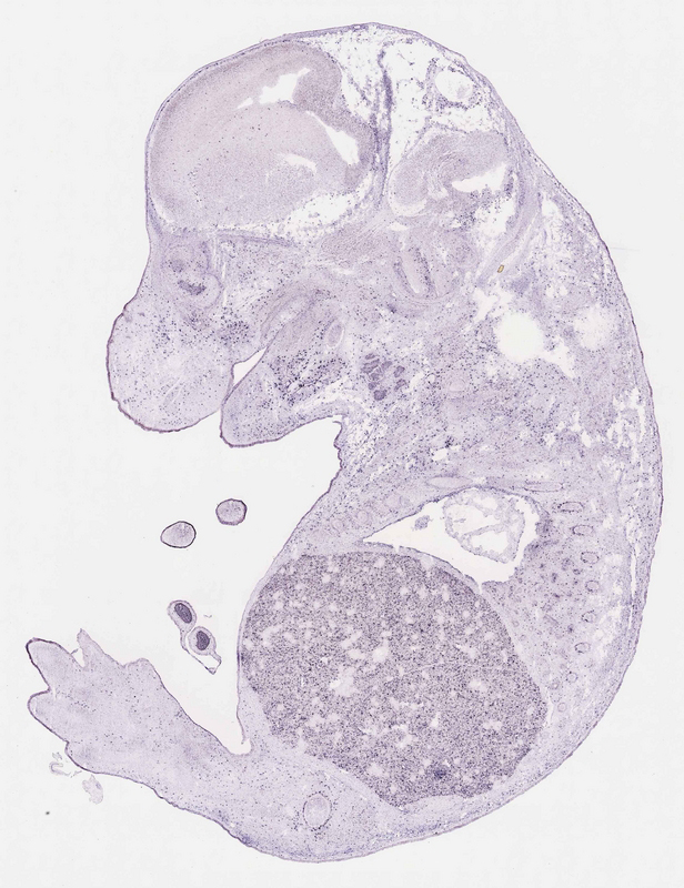
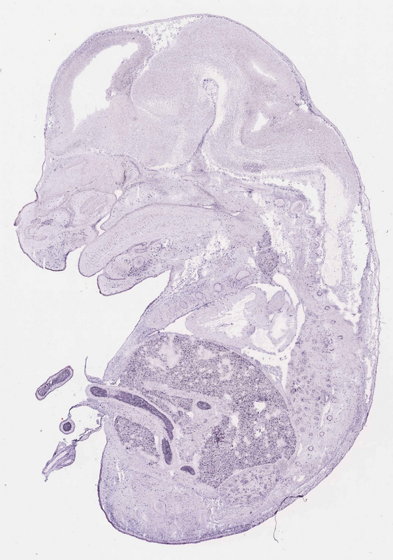
Specimen euxassay_001635_04: embryonic day 14.5 (more )
Structure Level Pattern Image Note
TS23: liver lobe Weak Regionally restricted euxassay_001635_04
TS23: stomach Moderate Regionally restricted euxassay_001635_04

Specimen euxassay_001635_05: embryonic day 14.5 (more )
Structure Level Pattern Image Note
TS23: liver lobe Weak Regionally restricted euxassay_001635_05
TS23: orbito-sphenoid Moderate Regionally restricted euxassay_001635_05
TS23: stomach Weak Regionally restricted euxassay_001635_05

Specimen euxassay_001635_06: embryonic day 14.5 (more )
Structure Level Pattern Image Note
TS23: liver lobe Weak Regionally restricted euxassay_001635_06
TS23: orbito-sphenoid Moderate Regionally restricted euxassay_001635_06
TS23: stomach Weak Regionally restricted euxassay_001635_06

Specimen euxassay_001635_07: embryonic day 14.5 (more )
Structure Level Pattern Image Note
TS23: liver lobe Weak Regionally restricted euxassay_001635_07
TS23: orbito-sphenoid Moderate Regionally restricted euxassay_001635_07
TS23: stomach Weak Regionally restricted euxassay_001635_07

Specimen euxassay_001635_08: embryonic day 14.5 (more )
Structure Level Pattern Image Note
TS23: liver lobe Weak Regionally restricted euxassay_001635_08
TS23: orbito-sphenoid Moderate Regionally restricted euxassay_001635_08
TS23: stomach Weak Regionally restricted euxassay_001635_08

Specimen euxassay_001635_09: embryonic day 14.5 (more )
Structure Level Pattern Image Note
TS23: liver lobe Weak Regionally restricted euxassay_001635_09
TS23: stomach Moderate Regionally restricted euxassay_001635_09
TS23: submandibular gland primordium Weak Regionally restricted euxassay_001635_09

Specimen euxassay_001635_10: embryonic day 14.5 (more )
Structure Level Pattern Image Note
TS23: liver lobe Weak Regionally restricted euxassay_001635_10
TS23: stomach Moderate Regionally restricted euxassay_001635_10
TS23: thymus primordium Weak Regionally restricted euxassay_001635_10

Specimen euxassay_001635_11: embryonic day 14.5 (more )
Structure Level Pattern Image Note
TS23: liver lobe Weak Regionally restricted euxassay_001635_11
TS23: stomach Moderate Regionally restricted euxassay_001635_11
TS23: midgut Moderate Regionally restricted euxassay_001635_11
TS23: hindgut Moderate Regionally restricted euxassay_001635_11
TS23: thymus primordium Weak Regionally restricted euxassay_001635_11
TS23: esophagus Weak Regionally restricted euxassay_001635_11

Specimen euxassay_001635_12: embryonic day 14.5 (more )
Structure Level Pattern Image Note
TS23: liver lobe Weak Regionally restricted euxassay_001635_12
TS23: midgut Moderate Regionally restricted euxassay_001635_12
TS23: hindgut Moderate Regionally restricted euxassay_001635_12
TS23: thymus primordium Weak Regionally restricted euxassay_001635_12
TS23: esophagus Weak Regionally restricted euxassay_001635_12

Specimen euxassay_001635_13: embryonic day 14.5 (more )
Structure Level Pattern Image Note
TS23: liver lobe Weak Regionally restricted euxassay_001635_13
TS23: midgut Moderate Regionally restricted euxassay_001635_13
TS23: hindgut Moderate Regionally restricted euxassay_001635_13
TS23: thymus primordium Weak Regionally restricted euxassay_001635_13

Specimen euxassay_001635_14: embryonic day 14.5 (more )
Structure Level Pattern Image Note
TS23: liver lobe Weak Regionally restricted euxassay_001635_14
TS23: midgut Moderate Regionally restricted euxassay_001635_14
TS23: hindgut Moderate Regionally restricted euxassay_001635_14
TS23: thymus primordium Weak Regionally restricted euxassay_001635_14

Specimen euxassay_001635_15: embryonic day 14.5 (more )
Structure Level Pattern Image Note
TS23: liver lobe Weak Regionally restricted euxassay_001635_15
TS23: foregut-midgut junction Moderate Regionally restricted euxassay_001635_15
TS23: hindgut Moderate Regionally restricted euxassay_001635_15
TS23: midgut Moderate Regionally restricted euxassay_001635_15
TS23: thymus primordium Weak Regionally restricted euxassay_001635_15

Specimen euxassay_001635_16: embryonic day 14.5 (more )
Structure Level Pattern Image Note
TS23: liver lobe Weak Regionally restricted euxassay_001635_16
TS23: midgut Moderate Regionally restricted euxassay_001635_16
TS23: hindgut Moderate Regionally restricted euxassay_001635_16

Specimen euxassay_001635_17: embryonic day 14.5 (more )
Structure Level Pattern Image Note
TS23: liver lobe Weak Regionally restricted euxassay_001635_17
TS23: midgut Moderate Regionally restricted euxassay_001635_17
TS23: submandibular gland primordium Weak Regionally restricted euxassay_001635_17

Specimen euxassay_001635_18: embryonic day 14.5 (more )
Structure Level Pattern Image Note
TS23: liver lobe Weak Regionally restricted euxassay_001635_18
TS23: midgut Moderate Regionally restricted euxassay_001635_18
TS23: submandibular gland primordium Weak Regionally restricted euxassay_001635_18

Specimen euxassay_001635_19: embryonic day 14.5 (more )
Structure Level Pattern Image Note
TS23: liver lobe Weak Regionally restricted euxassay_001635_19
TS23: orbito-sphenoid Weak Regionally restricted euxassay_001635_19
TS23: midgut Moderate Regionally restricted euxassay_001635_19
TS23: submandibular gland primordium Weak Regionally restricted euxassay_001635_19

Specimen euxassay_001635_20: embryonic day 14.5 (more )
Structure Level Pattern Image Note
TS23: liver lobe Weak Regionally restricted euxassay_001635_20
TS23: orbito-sphenoid Weak Regionally restricted euxassay_001635_20
TS23: midgut Moderate Regionally restricted euxassay_001635_20

Specimen euxassay_001635_21: embryonic day 14.5 (more )
Structure Level Pattern Image Note
TS23: liver lobe Weak Regionally restricted euxassay_001635_21
TS23: orbito-sphenoid Moderate Regionally restricted euxassay_001635_21
TS23: midgut Moderate Regionally restricted euxassay_001635_21

Specimen euxassay_001635_22: embryonic day 14.5 (more )
Structure Level Pattern Image Note
TS23: liver lobe Weak Regionally restricted euxassay_001635_22
TS23: orbito-sphenoid Moderate Regionally restricted euxassay_001635_22

Specimen euxassay_001635_23: embryonic day 14.5 (more )
Structure Level Pattern Image Note
TS23: liver lobe Weak Regionally restricted euxassay_001635_23
TS23: orbito-sphenoid Moderate Regionally restricted euxassay_001635_23


Contributing Projects:
Mouse Genome Database (MGD), Gene Expression Database (GXD), Mouse Models of Human Cancer database (MMHCdb) (formerly Mouse Tumor Biology (MTB)), Gene Ontology (GO)
Citing These Resources
Funding Information
Warranty Disclaimer, Privacy Notice, Licensing, & Copyright
Send questions and comments to User Support.
last database update
01/28/2026
MGI 6.24
The Jackson Laboratory