About   Help   FAQ
Gene Expression Data
Assay Details
Assay
Reference: J:153498 Diez-Roux G, et al., A high-resolution anatomical atlas of the transcriptome in the mouse embryo. PLoS Biol. 2011;9(1):e1000582
Assay type: RNA in situ
MGI Accession ID: MGI:4825505
Gene symbol: Ier5l
Gene name: immediate early response 5-like
Probe: MGC clone 49585
Probe preparation: Antisense labelled with digoxigenin RNA
Visualized with: Alkaline phosphatase
Assay notes: Cryosections of fresh frozen material were fixed in 4% paraformaldehyde for 20 min. before further processing. A tyramide-biotin/streptavidin amplification step was included in the in situ hybridization procedure.
Results
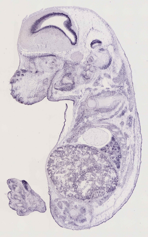
Specimen euxassay_013772_01: embryonic day 14.5 (more )
Structure Level Pattern Image Note
TS23: telencephalon ventricular layer Strong Uniform euxassay_013772_01
TS23: pharyngo-tympanic tube Moderate Regionally restricted euxassay_013772_01
TS23: neural retina Moderate Regionally restricted euxassay_013772_01
TS23: vertebral axis musculature Weak Regionally restricted euxassay_013772_01

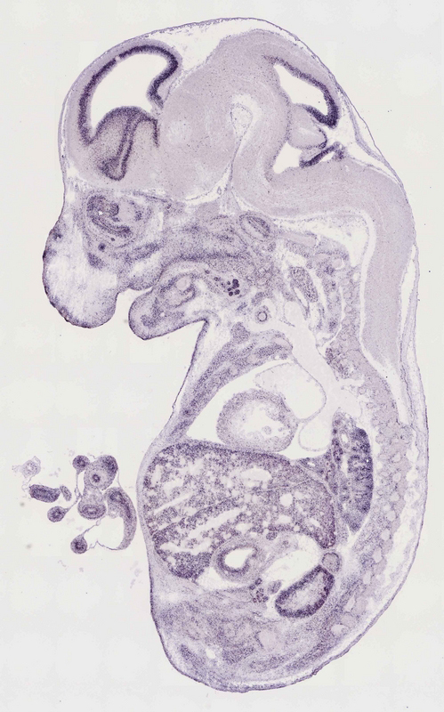
Specimen euxassay_013772_02: embryonic day 14.5 (more )
Structure Level Pattern Image Note
TS23: telencephalon ventricular layer Strong Uniform euxassay_013772_02
TS23: liver Moderate Regionally restricted euxassay_013772_02
TS23: pharyngo-tympanic tube Weak Regionally restricted euxassay_013772_02
TS23: neural retina Moderate Regionally restricted euxassay_013772_02
TS23: vertebral axis musculature Weak Regionally restricted euxassay_013772_02

Specimen euxassay_013772_03: embryonic day 14.5 (more )
Structure Level Pattern Image Note
TS23: telencephalon ventricular layer Strong Uniform euxassay_013772_03
TS23: stomach Weak Regionally restricted euxassay_013772_03
TS23: liver Moderate Regionally restricted euxassay_013772_03
TS23: pharyngo-tympanic tube Weak Regionally restricted euxassay_013772_03
TS23: neural retina Moderate Regionally restricted euxassay_013772_03
TS23: hindlimb digit 3 phalanx Moderate Regionally restricted euxassay_013772_03
TS23: hindlimb digit 2 phalanx Moderate Regionally restricted euxassay_013772_03
TS23: hindlimb digit 1 phalanx Moderate Regionally restricted euxassay_013772_03
TS23: vertebral axis musculature Weak Regionally restricted euxassay_013772_03

Specimen euxassay_013772_04: embryonic day 14.5 (more )
Structure Level Pattern Image Note
TS23: telencephalon ventricular layer Strong Uniform euxassay_013772_04
TS23: rest of cerebellum marginal layer Strong Regionally restricted euxassay_013772_04
TS23: rest of cerebellum ventricular layer Strong Regionally restricted euxassay_013772_04
TS23: lung Moderate Regionally restricted euxassay_013772_04
TS23: stomach Weak Regionally restricted euxassay_013772_04
TS23: liver Moderate Regionally restricted euxassay_013772_04
TS23: pharyngo-tympanic tube Weak Regionally restricted euxassay_013772_04
TS23: neural retina Moderate Regionally restricted euxassay_013772_04
TS23: hindlimb digit 4 phalanx Moderate Regionally restricted euxassay_013772_04
TS23: hindlimb digit 3 phalanx Moderate Regionally restricted euxassay_013772_04
TS23: hindlimb digit 2 phalanx Moderate Regionally restricted euxassay_013772_04
TS23: hindlimb digit 1 phalanx Moderate Regionally restricted euxassay_013772_04
TS23: vertebral axis musculature Weak Regionally restricted euxassay_013772_04

Specimen euxassay_013772_05: embryonic day 14.5 (more )
Structure Level Pattern Image Note
TS23: telencephalon ventricular layer Strong Uniform euxassay_013772_05
TS23: rest of cerebellum ventricular layer Strong Regionally restricted euxassay_013772_05
TS23: rest of cerebellum marginal layer Strong Regionally restricted euxassay_013772_05
TS23: lung Moderate Regionally restricted euxassay_013772_05
TS23: stomach Weak Regionally restricted euxassay_013772_05
TS23: liver Moderate Regionally restricted euxassay_013772_05
TS23: pharyngo-tympanic tube Moderate Regionally restricted euxassay_013772_05
TS23: neural retina Moderate Regionally restricted euxassay_013772_05
TS23: hindlimb digit 5 phalanx Moderate Regionally restricted euxassay_013772_05
TS23: hindlimb digit 4 phalanx Moderate Regionally restricted euxassay_013772_05
TS23: hindlimb digit 3 phalanx Moderate Regionally restricted euxassay_013772_05
TS23: vertebral axis musculature Weak Regionally restricted euxassay_013772_05

Specimen euxassay_013772_06: embryonic day 14.5 (more )
Structure Level Pattern Image Note
TS23: telencephalon ventricular layer Strong Uniform euxassay_013772_06
TS23: rest of cerebellum ventricular layer Strong Regionally restricted euxassay_013772_06
TS23: rest of cerebellum marginal layer Strong Regionally restricted euxassay_013772_06
TS23: lung Moderate Regionally restricted euxassay_013772_06
TS23: stomach Weak Regionally restricted euxassay_013772_06
TS23: liver Moderate Regionally restricted euxassay_013772_06
TS23: vibrissa Weak Regionally restricted euxassay_013772_06
TS23: testis Weak Regionally restricted euxassay_013772_06
TS23: hindlimb digit 5 phalanx Moderate Regionally restricted euxassay_013772_06
TS23: hindlimb digit 4 phalanx Moderate Regionally restricted euxassay_013772_06
TS23: vertebral axis musculature Weak Regionally restricted euxassay_013772_06

Specimen euxassay_013772_07: embryonic day 14.5 (more )
Structure Level Pattern Image Note
TS23: telencephalon ventricular layer Strong Uniform euxassay_013772_07
TS23: midbrain ventricular layer Strong Regionally restricted euxassay_013772_07
TS23: rest of cerebellum ventricular layer Strong Regionally restricted euxassay_013772_07
TS23: rest of cerebellum marginal layer Strong Regionally restricted euxassay_013772_07
TS23: metanephros Moderate Regionally restricted euxassay_013772_07
TS23: lung Moderate Regionally restricted euxassay_013772_07
TS23: stomach Weak Regionally restricted euxassay_013772_07
TS23: midgut Weak Regionally restricted euxassay_013772_07
TS23: upper jaw molar Moderate Regionally restricted euxassay_013772_07
TS23: lower jaw molar Moderate Regionally restricted euxassay_013772_07
TS23: liver Moderate Regionally restricted euxassay_013772_07
TS23: vibrissa Weak Regionally restricted euxassay_013772_07
TS23: testis Weak Regionally restricted euxassay_013772_07
TS23: vertebral axis musculature Weak Regionally restricted euxassay_013772_07

Specimen euxassay_013772_08: embryonic day 14.5 (more )
Structure Level Pattern Image Note
TS23: telencephalon ventricular layer Strong Uniform euxassay_013772_08
TS23: midbrain ventricular layer Strong Regionally restricted euxassay_013772_08
TS23: rest of cerebellum ventricular layer Strong Regionally restricted euxassay_013772_08
TS23: rest of cerebellum marginal layer Strong Regionally restricted euxassay_013772_08
TS23: submandibular gland primordium Strong Regionally restricted euxassay_013772_08
TS23: metanephros Moderate Regionally restricted euxassay_013772_08
TS23: lung Moderate Regionally restricted euxassay_013772_08
TS23: midgut Weak Regionally restricted euxassay_013772_08
TS23: stomach Weak Regionally restricted euxassay_013772_08
TS23: upper jaw molar Moderate Regionally restricted euxassay_013772_08
TS23: lower jaw molar Moderate Regionally restricted euxassay_013772_08
TS23: liver Moderate Regionally restricted euxassay_013772_08
TS23: vibrissa Weak Regionally restricted euxassay_013772_08
TS23: testis Weak Regionally restricted euxassay_013772_08
TS23: vertebral axis musculature Weak Regionally restricted euxassay_013772_08

Specimen euxassay_013772_09: embryonic day 14.5 (more )
Structure Level Pattern Image Note
TS23: telencephalon ventricular layer Strong Uniform euxassay_013772_09
TS23: rest of cerebellum ventricular layer Strong Regionally restricted euxassay_013772_09
TS23: rest of cerebellum marginal layer Strong Regionally restricted euxassay_013772_09
TS23: midbrain ventricular layer Strong Regionally restricted euxassay_013772_09
TS23: submandibular gland primordium Strong Regionally restricted euxassay_013772_09
TS23: metanephros Moderate Regionally restricted euxassay_013772_09
TS23: lung Moderate Regionally restricted euxassay_013772_09
TS23: midgut Weak Regionally restricted euxassay_013772_09
TS23: stomach Weak Regionally restricted euxassay_013772_09
TS23: upper jaw molar Moderate Regionally restricted euxassay_013772_09
TS23: lower jaw molar Moderate Regionally restricted euxassay_013772_09
TS23: liver Moderate Regionally restricted euxassay_013772_09
TS23: vibrissa Moderate Regionally restricted euxassay_013772_09
TS23: testis Weak Regionally restricted euxassay_013772_09
TS23: vertebral axis musculature Weak Regionally restricted euxassay_013772_09

Specimen euxassay_013772_10: embryonic day 14.5 (more )
Structure Level Pattern Image Note
TS23: telencephalon ventricular layer Strong Uniform euxassay_013772_10
TS23: rest of cerebellum marginal layer Strong Regionally restricted euxassay_013772_10
TS23: rest of cerebellum ventricular layer Strong Regionally restricted euxassay_013772_10
TS23: midbrain ventricular layer Strong Regionally restricted euxassay_013772_10
TS23: submandibular gland primordium Strong Regionally restricted euxassay_013772_10
TS23: metanephros Moderate Regionally restricted euxassay_013772_10
TS23: pancreas Moderate Regionally restricted euxassay_013772_10
TS23: lung Moderate Regionally restricted euxassay_013772_10
TS23: midgut Weak Regionally restricted euxassay_013772_10
TS23: stomach Weak Regionally restricted euxassay_013772_10
TS23: liver Moderate Regionally restricted euxassay_013772_10
TS23: olfactory epithelium Moderate Regionally restricted euxassay_013772_10
TS23: vibrissa Moderate Regionally restricted euxassay_013772_10
TS23: vertebral axis musculature Weak Regionally restricted euxassay_013772_10

Specimen euxassay_013772_11: embryonic day 14.5 (more )
Structure Level Pattern Image Note
TS23: telencephalon ventricular layer Strong Uniform euxassay_013772_11
TS23: midbrain ventricular layer Strong Regionally restricted euxassay_013772_11
TS23: rest of cerebellum ventricular layer Strong Regionally restricted euxassay_013772_11
TS23: rest of cerebellum marginal layer Strong Regionally restricted euxassay_013772_11
TS23: sublingual gland primordium Strong Regionally restricted euxassay_013772_11
TS23: metanephros Moderate Regionally restricted euxassay_013772_11
TS23: pancreas Moderate Regionally restricted euxassay_013772_11
TS23: lung Moderate Regionally restricted euxassay_013772_11
TS23: thyroid gland Moderate Regionally restricted euxassay_013772_11
TS23: stomach Weak Regionally restricted euxassay_013772_11
TS23: midgut Weak Regionally restricted euxassay_013772_11
TS23: liver Moderate Regionally restricted euxassay_013772_11
TS23: olfactory epithelium Moderate Regionally restricted euxassay_013772_11
TS23: vertebral axis musculature Weak Regionally restricted euxassay_013772_11

Specimen euxassay_013772_12: embryonic day 14.5 (more )
Structure Level Pattern Image Note
TS23: telencephalon ventricular layer Strong Uniform euxassay_013772_12
TS23: olfactory cortex ventricular layer Strong Uniform euxassay_013772_12
TS23: diencephalon lateral wall ventricular layer Strong Regionally restricted euxassay_013772_12
TS23: hypothalamus ventricular layer Strong Regionally restricted euxassay_013772_12
TS23: rest of cerebellum ventricular layer Strong Regionally restricted euxassay_013772_12
TS23: rest of cerebellum marginal layer Strong Regionally restricted euxassay_013772_12
TS23: midbrain ventricular layer Strong Regionally restricted euxassay_013772_12
TS23: pancreas Moderate Regionally restricted euxassay_013772_12
TS23: lung Moderate Regionally restricted euxassay_013772_12
TS23: thymus primordium Moderate Regionally restricted euxassay_013772_12
TS23: thyroid gland Moderate Regionally restricted euxassay_013772_12
TS23: midgut Weak Regionally restricted euxassay_013772_12
TS23: upper jaw incisor Moderate Regionally restricted euxassay_013772_12
TS23: lower jaw incisor Moderate Regionally restricted euxassay_013772_12
TS23: liver Moderate Regionally restricted euxassay_013772_12
TS23: olfactory epithelium Moderate Regionally restricted euxassay_013772_12
TS23: vertebral axis musculature Weak Regionally restricted euxassay_013772_12

Specimen euxassay_013772_13: embryonic day 14.5 (more )
Structure Level Pattern Image Note
TS23: olfactory cortex ventricular layer Strong Uniform euxassay_013772_13
TS23: telencephalon ventricular layer Strong Uniform euxassay_013772_13
TS23: midbrain ventricular layer Strong Regionally restricted euxassay_013772_13
TS23: diencephalon lateral wall ventricular layer Strong Regionally restricted euxassay_013772_13
TS23: hypothalamus ventricular layer Strong Regionally restricted euxassay_013772_13
TS23: pancreas Moderate Regionally restricted euxassay_013772_13
TS23: lung Moderate Regionally restricted euxassay_013772_13
TS23: thymus primordium Moderate Regionally restricted euxassay_013772_13
TS23: midgut Weak Regionally restricted euxassay_013772_13
TS23: upper jaw incisor Moderate Regionally restricted euxassay_013772_13
TS23: lower jaw incisor Moderate Regionally restricted euxassay_013772_13
TS23: esophagus Moderate Regionally restricted euxassay_013772_13
TS23: liver Moderate Regionally restricted euxassay_013772_13
TS23: olfactory epithelium Moderate Regionally restricted euxassay_013772_13
TS23: trachea Moderate Regionally restricted euxassay_013772_13
TS23: vertebral axis musculature Weak Regionally restricted euxassay_013772_13

Specimen euxassay_013772_14: embryonic day 14.5 (more )
Structure Level Pattern Image Note
TS23: telencephalon ventricular layer Strong Uniform euxassay_013772_14
TS23: olfactory cortex ventricular layer Strong Uniform euxassay_013772_14
TS23: diencephalon lateral wall ventricular layer Strong Regionally restricted euxassay_013772_14
TS23: hypothalamus ventricular layer Strong Regionally restricted euxassay_013772_14
TS23: midbrain ventricular layer Strong Regionally restricted euxassay_013772_14
TS23: rest of cerebellum ventricular layer Strong Regionally restricted euxassay_013772_14
TS23: rest of cerebellum marginal layer Strong Regionally restricted euxassay_013772_14
TS23: lung Moderate Regionally restricted euxassay_013772_14
TS23: thymus primordium Moderate Regionally restricted euxassay_013772_14
TS23: midgut Weak Regionally restricted euxassay_013772_14
TS23: upper jaw incisor Moderate Regionally restricted euxassay_013772_14
TS23: liver Moderate Regionally restricted euxassay_013772_14
TS23: olfactory epithelium Moderate Regionally restricted euxassay_013772_14
TS23: trachea Moderate Regionally restricted euxassay_013772_14
TS23: axial skeleton tail region Weak Regionally restricted euxassay_013772_14

Specimen euxassay_013772_15: embryonic day 14.5 (more )
Structure Level Pattern Image Note
TS23: midbrain ventricular layer Strong Regionally restricted euxassay_013772_15
TS23: diencephalon lateral wall ventricular layer Strong Regionally restricted euxassay_013772_15
TS23: hypothalamus ventricular layer Strong Regionally restricted euxassay_013772_15
TS23: lung Moderate Regionally restricted euxassay_013772_15
TS23: thymus primordium Moderate Regionally restricted euxassay_013772_15
TS23: thyroid gland Moderate Regionally restricted euxassay_013772_15
TS23: midgut Weak Regionally restricted euxassay_013772_15
TS23: hindgut Weak Regionally restricted euxassay_013772_15
TS23: liver Moderate Regionally restricted euxassay_013772_15
TS23: axial skeleton tail region Weak Regionally restricted euxassay_013772_15

Specimen euxassay_013772_16: embryonic day 14.5 (more )
Structure Level Pattern Image Note
TS23: telencephalon ventricular layer Strong Uniform euxassay_013772_16
TS23: rest of cerebellum marginal layer Strong Regionally restricted euxassay_013772_16
TS23: midbrain ventricular layer Strong Regionally restricted euxassay_013772_16
TS23: hypothalamus ventricular layer Strong Regionally restricted euxassay_013772_16
TS23: lung Moderate Regionally restricted euxassay_013772_16
TS23: thymus primordium Moderate Regionally restricted euxassay_013772_16
TS23: midgut Weak Regionally restricted euxassay_013772_16
TS23: lower jaw incisor Moderate Regionally restricted euxassay_013772_16
TS23: liver Moderate Regionally restricted euxassay_013772_16
TS23: olfactory epithelium Moderate Regionally restricted euxassay_013772_16
TS23: axial skeleton tail region Weak Regionally restricted euxassay_013772_16

Specimen euxassay_013772_17: embryonic day 14.5 (more )
Structure Level Pattern Image Note
TS23: telencephalon ventricular layer Strong Uniform euxassay_013772_17
TS23: midbrain ventricular layer Strong Regionally restricted euxassay_013772_17
TS23: rest of cerebellum ventricular layer Strong Regionally restricted euxassay_013772_17
TS23: rest of cerebellum marginal layer Strong Regionally restricted euxassay_013772_17
TS23: sublingual gland primordium Strong Regionally restricted euxassay_013772_17
TS23: pancreas Moderate Regionally restricted euxassay_013772_17
TS23: lung Moderate Regionally restricted euxassay_013772_17
TS23: midgut Weak Regionally restricted euxassay_013772_17
TS23: upper jaw incisor Moderate Regionally restricted euxassay_013772_17
TS23: lower jaw incisor Moderate Regionally restricted euxassay_013772_17
TS23: liver Moderate Regionally restricted euxassay_013772_17
TS23: vertebral axis musculature Weak Regionally restricted euxassay_013772_17

Specimen euxassay_013772_18: embryonic day 14.5 (more )
Structure Level Pattern Image Note
TS23: telencephalon ventricular layer Strong Uniform euxassay_013772_18
TS23: olfactory cortex ventricular layer Strong Uniform euxassay_013772_18
TS23: rest of cerebellum ventricular layer Strong Regionally restricted euxassay_013772_18
TS23: rest of cerebellum marginal layer Strong Regionally restricted euxassay_013772_18
TS23: midbrain ventricular layer Strong Regionally restricted euxassay_013772_18
TS23: sublingual gland primordium Strong Regionally restricted euxassay_013772_18
TS23: metanephros Moderate Regionally restricted euxassay_013772_18
TS23: lung Moderate Regionally restricted euxassay_013772_18
TS23: midgut Weak Regionally restricted euxassay_013772_18
TS23: liver Moderate Regionally restricted euxassay_013772_18

Specimen euxassay_013772_19: embryonic day 14.5 (more )
Structure Level Pattern Image Note
TS23: telencephalon ventricular layer Strong Uniform euxassay_013772_19
TS23: olfactory cortex ventricular layer Strong Uniform euxassay_013772_19
TS23: rest of cerebellum marginal layer Strong Regionally restricted euxassay_013772_19
TS23: rest of cerebellum ventricular layer Strong Regionally restricted euxassay_013772_19
TS23: submandibular gland primordium Strong Regionally restricted euxassay_013772_19
TS23: metanephros Moderate Regionally restricted euxassay_013772_19
TS23: lung Moderate Regionally restricted euxassay_013772_19
TS23: liver Moderate Regionally restricted euxassay_013772_19
TS23: olfactory epithelium Moderate Regionally restricted euxassay_013772_19
TS23: vertebral axis musculature Weak Regionally restricted euxassay_013772_19

Specimen euxassay_013772_20: embryonic day 14.5 (more )
Structure Level Pattern Image Note
TS23: telencephalon ventricular layer Strong Uniform euxassay_013772_20
TS23: rest of cerebellum ventricular layer Strong Regionally restricted euxassay_013772_20
TS23: rest of cerebellum marginal layer Strong Regionally restricted euxassay_013772_20
TS23: submandibular gland primordium Strong Regionally restricted euxassay_013772_20
TS23: metanephros Moderate Regionally restricted euxassay_013772_20
TS23: lung Moderate Regionally restricted euxassay_013772_20
TS23: liver Moderate Regionally restricted euxassay_013772_20
TS23: olfactory epithelium Moderate Regionally restricted euxassay_013772_20
TS23: vertebral axis musculature Weak Regionally restricted euxassay_013772_20

Specimen euxassay_013772_21: embryonic day 14.5 (more )
Structure Level Pattern Image Note
TS23: telencephalon ventricular layer Strong Uniform euxassay_013772_21
TS23: rest of cerebellum ventricular layer Strong Regionally restricted euxassay_013772_21
TS23: rest of cerebellum marginal layer Strong Regionally restricted euxassay_013772_21
TS23: metanephros Moderate Regionally restricted euxassay_013772_21
TS23: lung Moderate Regionally restricted euxassay_013772_21
TS23: upper jaw molar Moderate Regionally restricted euxassay_013772_21
TS23: lower jaw molar Moderate Regionally restricted euxassay_013772_21
TS23: liver Moderate Regionally restricted euxassay_013772_21
TS23: olfactory epithelium Moderate Regionally restricted euxassay_013772_21
TS23: testis Weak Regionally restricted euxassay_013772_21
TS23: hindlimb digit 5 phalanx Moderate Regionally restricted euxassay_013772_21
TS23: hindlimb digit 4 phalanx Moderate Regionally restricted euxassay_013772_21
TS23: hindlimb digit 3 phalanx Moderate Regionally restricted euxassay_013772_21
TS23: hindlimb digit 2 phalanx Moderate Regionally restricted euxassay_013772_21
TS23: vertebral axis musculature Weak Regionally restricted euxassay_013772_21

Specimen euxassay_013772_22: embryonic day 14.5 (more )
Structure Level Pattern Image Note
TS23: telencephalon ventricular layer Strong Uniform euxassay_013772_22
TS23: rest of cerebellum ventricular layer Strong Regionally restricted euxassay_013772_22
TS23: rest of cerebellum marginal layer Strong Regionally restricted euxassay_013772_22
TS23: metanephros Moderate Regionally restricted euxassay_013772_22
TS23: lung Moderate Regionally restricted euxassay_013772_22
TS23: upper jaw molar Moderate Regionally restricted euxassay_013772_22
TS23: liver Moderate Regionally restricted euxassay_013772_22
TS23: vibrissa Moderate Regionally restricted euxassay_013772_22
TS23: pharyngo-tympanic tube Moderate Regionally restricted euxassay_013772_22
TS23: testis Weak Regionally restricted euxassay_013772_22
TS23: hindlimb digit 5 phalanx Moderate Regionally restricted euxassay_013772_22
TS23: hindlimb digit 4 phalanx Moderate Regionally restricted euxassay_013772_22
TS23: hindlimb digit 3 phalanx Moderate Regionally restricted euxassay_013772_22
TS23: hindlimb digit 2 phalanx Moderate Regionally restricted euxassay_013772_22
TS23: vertebral axis musculature Weak Regionally restricted euxassay_013772_22

Specimen euxassay_013772_23: embryonic day 14.5 (more )
Structure Level Pattern Image Note
TS23: telencephalon ventricular layer Strong Uniform euxassay_013772_23
TS23: lung Moderate Regionally restricted euxassay_013772_23
TS23: liver Moderate Regionally restricted euxassay_013772_23
TS23: vibrissa Moderate Regionally restricted euxassay_013772_23
TS23: testis Weak Regionally restricted euxassay_013772_23
TS23: hindlimb digit 1 phalanx Moderate Regionally restricted euxassay_013772_23
TS23: vertebral axis musculature Weak Regionally restricted euxassay_013772_23

Specimen euxassay_013772_24: embryonic day 14.5 (more )
Structure Level Pattern Image Note
TS23: telencephalon ventricular layer Strong Uniform euxassay_013772_24
TS23: lung Moderate Regionally restricted euxassay_013772_24
TS23: liver Moderate Regionally restricted euxassay_013772_24
TS23: vibrissa Moderate Regionally restricted euxassay_013772_24
TS23: neural retina Moderate Regionally restricted euxassay_013772_24
TS23: hindlimb digit 1 phalanx Moderate Regionally restricted euxassay_013772_24
TS23: vertebral axis musculature Weak Regionally restricted euxassay_013772_24


Contributing Projects:
Mouse Genome Database (MGD), Gene Expression Database (GXD), Mouse Models of Human Cancer database (MMHCdb) (formerly Mouse Tumor Biology (MTB)), Gene Ontology (GO)
Citing These Resources
Funding Information
Warranty Disclaimer, Privacy Notice, Licensing, & Copyright
Send questions and comments to User Support.
last database update
12/30/2025
MGI 6.24
The Jackson Laboratory