About   Help   FAQ
Gene Expression Data
Assay Details
Assay
Reference: J:153498 Diez-Roux G, et al., A high-resolution anatomical atlas of the transcriptome in the mouse embryo. PLoS Biol. 2011;9(1):e1000582
Assay type: RNA in situ
MGI Accession ID: MGI:4825499
Gene symbol: Ide
Gene name: insulin degrading enzyme
Probe: T32045
Probe preparation: Antisense labelled with digoxigenin RNA
Visualized with: Alkaline phosphatase
Assay notes: Cryosections of fresh frozen material were fixed in 4% paraformaldehyde for 20 min. before further processing. A tyramide-biotin/streptavidin amplification step was included in the in situ hybridization procedure.
Results
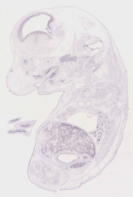
Specimen euxassay_013741_02: embryonic day 14.5 (more )
Structure Level Pattern Image Note
TS23: liver Moderate Regionally restricted euxassay_013741_02

Specimen euxassay_013741_03: embryonic day 14.5 (more )
Structure Level Pattern Image Note
TS23: liver Moderate Regionally restricted euxassay_013741_03
TS23: stomach Moderate Regionally restricted euxassay_013741_03
TS23: telencephalon ventricular layer Moderate Regionally restricted euxassay_013741_03

Specimen euxassay_013741_04: embryonic day 14.5 (more )
Structure Level Pattern Image Note
TS23: liver Moderate Regionally restricted euxassay_013741_04
TS23: stomach Moderate Regionally restricted euxassay_013741_04
TS23: mandible Moderate Regionally restricted euxassay_013741_04
TS23: vibrissa Strong Regionally restricted euxassay_013741_04
TS23: trigeminal ganglion Moderate Regionally restricted euxassay_013741_04
TS23: telencephalon ventricular layer Moderate Regionally restricted euxassay_013741_04

Specimen euxassay_013741_05: embryonic day 14.5 (more )
Structure Level Pattern Image Note
TS23: liver Strong Regionally restricted euxassay_013741_05
TS23: stomach Moderate Regionally restricted euxassay_013741_05
TS23: mandible Moderate Regionally restricted euxassay_013741_05
TS23: maxilla Moderate Regionally restricted euxassay_013741_05
TS23: rib Moderate Regionally restricted euxassay_013741_05
TS23: vibrissa Strong Regionally restricted euxassay_013741_05
TS23: trigeminal ganglion Moderate Regionally restricted euxassay_013741_05
TS23: telencephalon ventricular layer Moderate Regionally restricted euxassay_013741_05
TS23: pons ventricular layer Moderate Regionally restricted euxassay_013741_05
TS23: rest of cerebellum ventricular layer Moderate Regionally restricted euxassay_013741_05

Specimen euxassay_013741_06: embryonic day 14.5 (more )
Structure Level Pattern Image Note
TS23: liver Strong Regionally restricted euxassay_013741_06
TS23: left lung Strong Regionally restricted euxassay_013741_06
TS23: stomach Moderate Regionally restricted euxassay_013741_06
TS23: lower jaw molar Moderate Regionally restricted euxassay_013741_06
TS23: upper jaw molar Moderate Regionally restricted euxassay_013741_06
TS23: mandible Moderate Regionally restricted euxassay_013741_06
TS23: maxilla Moderate Regionally restricted euxassay_013741_06
TS23: rib Moderate Regionally restricted euxassay_013741_06
TS23: vibrissa Strong Regionally restricted euxassay_013741_06
TS23: trigeminal ganglion Moderate Regionally restricted euxassay_013741_06
TS23: telencephalon ventricular layer Moderate Regionally restricted euxassay_013741_06
TS23: pons ventricular layer Moderate Regionally restricted euxassay_013741_06
TS23: rest of cerebellum ventricular layer Moderate Regionally restricted euxassay_013741_06

Specimen euxassay_013741_07: embryonic day 14.5 (more )
Structure Level Pattern Image Note
TS23: liver Strong Regionally restricted euxassay_013741_07
TS23: left lung Strong Regionally restricted euxassay_013741_07
TS23: stomach Moderate Regionally restricted euxassay_013741_07
TS23: midgut Moderate Regionally restricted euxassay_013741_07
TS23: spleen primordium Strong Regionally restricted euxassay_013741_07
TS23: maxilla Moderate Regionally restricted euxassay_013741_07
TS23: mandible Moderate Regionally restricted euxassay_013741_07
TS23: upper jaw molar Strong Regionally restricted euxassay_013741_07
TS23: lower jaw molar Strong Regionally restricted euxassay_013741_07
TS23: rib Moderate Regionally restricted euxassay_013741_07
TS23: olfactory epithelium Moderate Regionally restricted euxassay_013741_07
TS23: vibrissa Strong Regionally restricted euxassay_013741_07
TS23: trigeminal ganglion Moderate Regionally restricted euxassay_013741_07
TS23: telencephalon ventricular layer Moderate Regionally restricted euxassay_013741_07
TS23: pons ventricular layer Moderate Regionally restricted euxassay_013741_07
TS23: rest of cerebellum ventricular layer Moderate Regionally restricted euxassay_013741_07
TS23: medulla oblongata alar plate ventricular layer Moderate Regionally restricted euxassay_013741_07

Specimen euxassay_013741_08: embryonic day 14.5 (more )
Structure Level Pattern Image Note
TS23: liver Strong Regionally restricted euxassay_013741_08
TS23: left lung Strong Regionally restricted euxassay_013741_08
TS23: stomach Moderate Regionally restricted euxassay_013741_08
TS23: midgut Moderate Regionally restricted euxassay_013741_08
TS23: renal cortex Strong Regionally restricted euxassay_013741_08
TS23: spleen primordium Strong Regionally restricted euxassay_013741_08
TS23: submandibular gland primordium Strong Regionally restricted euxassay_013741_08
TS23: mandible Moderate Regionally restricted euxassay_013741_08
TS23: lower jaw molar Moderate Regionally restricted euxassay_013741_08
TS23: maxilla Moderate Regionally restricted euxassay_013741_08
TS23: upper jaw molar Moderate Regionally restricted euxassay_013741_08
TS23: rib Moderate Regionally restricted euxassay_013741_08
TS23: olfactory epithelium Moderate Regionally restricted euxassay_013741_08
TS23: trigeminal ganglion Moderate Regionally restricted euxassay_013741_08
TS23: telencephalon ventricular layer Moderate Regionally restricted euxassay_013741_08
TS23: medulla oblongata alar plate ventricular layer Moderate Regionally restricted euxassay_013741_08
TS23: rest of cerebellum ventricular layer Moderate Regionally restricted euxassay_013741_08
TS23: pons ventricular layer Moderate Regionally restricted euxassay_013741_08

Specimen euxassay_013741_09: embryonic day 14.5 (more )
Structure Level Pattern Image Note
TS23: liver Strong Regionally restricted euxassay_013741_09
TS23: left lung Strong Regionally restricted euxassay_013741_09
TS23: midgut Strong Regionally restricted euxassay_013741_09
TS23: stomach Strong Regionally restricted euxassay_013741_09
TS23: renal cortex Strong Regionally restricted euxassay_013741_09
TS23: submandibular gland primordium Strong Regionally restricted euxassay_013741_09
TS23: mandible Moderate Regionally restricted euxassay_013741_09
TS23: maxilla Moderate Regionally restricted euxassay_013741_09
TS23: rib Moderate Regionally restricted euxassay_013741_09
TS23: olfactory epithelium Moderate Regionally restricted euxassay_013741_09
TS23: trigeminal ganglion Moderate Regionally restricted euxassay_013741_09
TS23: glossopharyngeal ganglion Moderate Regionally restricted euxassay_013741_09
TS23: vestibulo-cochlear ganglion Moderate Regionally restricted euxassay_013741_09
TS23: telencephalon ventricular layer Moderate Regionally restricted euxassay_013741_09
TS23: medulla oblongata alar plate ventricular layer Moderate Regionally restricted euxassay_013741_09
TS23: rest of cerebellum ventricular layer Moderate Regionally restricted euxassay_013741_09
TS23: pons ventricular layer Moderate Regionally restricted euxassay_013741_09

Specimen euxassay_013741_10: embryonic day 14.5 (more )
Structure Level Pattern Image Note
TS23: liver Strong Regionally restricted euxassay_013741_10
TS23: left lung Strong Regionally restricted euxassay_013741_10
TS23: stomach Strong Regionally restricted euxassay_013741_10
TS23: midgut Strong Regionally restricted euxassay_013741_10
TS23: renal cortex Strong Regionally restricted euxassay_013741_10
TS23: adrenal medulla Strong Regionally restricted euxassay_013741_10
TS23: pancreas Strong Regionally restricted euxassay_013741_10
TS23: submandibular gland primordium Strong Regionally restricted euxassay_013741_10
TS23: clavicle Strong Regionally restricted euxassay_013741_10
TS23: lower jaw incisor Strong Regionally restricted euxassay_013741_10
TS23: upper jaw incisor Strong Regionally restricted euxassay_013741_10
TS23: olfactory epithelium Moderate Regionally restricted euxassay_013741_10
TS23: anterior naris epithelium Moderate Regionally restricted euxassay_013741_10
TS23: external naris epithelium Moderate Regionally restricted euxassay_013741_10
TS23: vomeronasal organ Moderate Regionally restricted euxassay_013741_10
TS23: diencephalon lateral wall ventricular layer Moderate Regionally restricted euxassay_013741_10
TS23: telencephalon ventricular layer Moderate Regionally restricted euxassay_013741_10
TS23: midbrain ventricular layer Moderate Regionally restricted euxassay_013741_10
TS23: medulla oblongata alar plate ventricular layer Moderate Regionally restricted euxassay_013741_10
TS23: rest of cerebellum ventricular layer Moderate Regionally restricted euxassay_013741_10
TS23: pons ventricular layer Moderate Regionally restricted euxassay_013741_10
TS23: dorsal root ganglion Moderate Regionally restricted euxassay_013741_10

Specimen euxassay_013741_11: embryonic day 14.5 (more )
Structure Level Pattern Image Note
TS23: liver Strong Regionally restricted euxassay_013741_11
TS23: left lung Strong Regionally restricted euxassay_013741_11
TS23: midgut Strong Regionally restricted euxassay_013741_11
TS23: renal cortex Strong Regionally restricted euxassay_013741_11
TS23: pancreas Strong Regionally restricted euxassay_013741_11
TS23: bladder Moderate Regionally restricted euxassay_013741_11
TS23: thyroid gland Moderate Regionally restricted euxassay_013741_11
TS23: lower jaw incisor Strong Regionally restricted euxassay_013741_11
TS23: upper jaw incisor Strong Regionally restricted euxassay_013741_11
TS23: olfactory epithelium Moderate Regionally restricted euxassay_013741_11
TS23: diencephalon lateral wall ventricular layer Moderate Regionally restricted euxassay_013741_11
TS23: telencephalon ventricular layer Moderate Regionally restricted euxassay_013741_11
TS23: midbrain ventricular layer Moderate Regionally restricted euxassay_013741_11
TS23: medulla oblongata alar plate ventricular layer Moderate Regionally restricted euxassay_013741_11
TS23: rest of cerebellum ventricular layer Moderate Regionally restricted euxassay_013741_11
TS23: pons ventricular layer Moderate Regionally restricted euxassay_013741_11
TS23: dorsal root ganglion Moderate Regionally restricted euxassay_013741_11

Specimen euxassay_013741_12: embryonic day 14.5 (more )
Structure Level Pattern Image Note
TS23: liver Moderate Regionally restricted euxassay_013741_12
TS23: left lung Strong Regionally restricted euxassay_013741_12
TS23: midgut Strong Regionally restricted euxassay_013741_12
TS23: pancreas Strong Regionally restricted euxassay_013741_12
TS23: bladder Moderate Regionally restricted euxassay_013741_12
TS23: urethra Moderate Regionally restricted euxassay_013741_12 Originally this result was annotated to a male-specific term, but as the specimen was not sexed, it is likely the data annotator intended to use a non-sex specific term.
TS23: thymus primordium Strong Regionally restricted euxassay_013741_12
TS23: thyroid gland Moderate Regionally restricted euxassay_013741_12
TS23: diencephalon lateral wall ventricular layer Moderate Regionally restricted euxassay_013741_12
TS23: telencephalon ventricular layer Moderate Regionally restricted euxassay_013741_12
TS23: midbrain ventricular layer Moderate Regionally restricted euxassay_013741_12
TS23: medulla oblongata alar plate ventricular layer Moderate Regionally restricted euxassay_013741_12
TS23: rest of cerebellum ventricular layer Moderate Regionally restricted euxassay_013741_12
TS23: pons ventricular layer Moderate Regionally restricted euxassay_013741_12
TS23: ventral grey horn Moderate Regionally restricted euxassay_013741_12
TS23: dorsal root ganglion Moderate Regionally restricted euxassay_013741_12

Specimen euxassay_013741_13: embryonic day 14.5 (more )
Structure Level Pattern Image Note
TS23: liver Moderate Regionally restricted euxassay_013741_13
TS23: left lung Strong Regionally restricted euxassay_013741_13
TS23: midgut Strong Regionally restricted euxassay_013741_13
TS23: rectum Strong Regionally restricted euxassay_013741_13
TS23: pancreas Strong Regionally restricted euxassay_013741_13
TS23: bladder Moderate Regionally restricted euxassay_013741_13
TS23: urethra Moderate Regionally restricted euxassay_013741_13 Originally this result was annotated to a male-specific term, but as the specimen was not sexed, it is likely the data annotator intended to use a non-sex specific term.
TS23: thymus primordium Strong Regionally restricted euxassay_013741_13
TS23: esophagus Moderate Regionally restricted euxassay_013741_13
TS23: olfactory epithelium Moderate Regionally restricted euxassay_013741_13
TS23: anterior naris epithelium Moderate Regionally restricted euxassay_013741_13
TS23: vomeronasal organ Moderate Regionally restricted euxassay_013741_13
TS23: diencephalon lateral wall ventricular layer Moderate Regionally restricted euxassay_013741_13
TS23: telencephalon ventricular layer Moderate Regionally restricted euxassay_013741_13
TS23: midbrain ventricular layer Moderate Regionally restricted euxassay_013741_13
TS23: medulla oblongata alar plate ventricular layer Moderate Regionally restricted euxassay_013741_13
TS23: medulla oblongata basal plate ventricular layer Moderate Regionally restricted euxassay_013741_13
TS23: rest of cerebellum ventricular layer Moderate Regionally restricted euxassay_013741_13
TS23: pons ventricular layer Moderate Regionally restricted euxassay_013741_13
TS23: spinal cord ventricular layer Moderate Regionally restricted euxassay_013741_13
TS23: ventral grey horn Moderate Regionally restricted euxassay_013741_13

Specimen euxassay_013741_14: embryonic day 14.5 (more )
Structure Level Pattern Image Note
TS23: liver Moderate Regionally restricted euxassay_013741_14
TS23: midgut Strong Regionally restricted euxassay_013741_14
TS23: pancreas Strong Regionally restricted euxassay_013741_14
TS23: thymus primordium Strong Regionally restricted euxassay_013741_14
TS23: lower jaw incisor Strong Regionally restricted euxassay_013741_14
TS23: upper jaw incisor Strong Regionally restricted euxassay_013741_14
TS23: trachea Moderate Regionally restricted euxassay_013741_14
TS23: esophagus Moderate Regionally restricted euxassay_013741_14
TS23: anterior naris epithelium Moderate Regionally restricted euxassay_013741_14
TS23: external naris epithelium Moderate Regionally restricted euxassay_013741_14
TS23: olfactory epithelium Moderate Regionally restricted euxassay_013741_14
TS23: telencephalon ventricular layer Moderate Regionally restricted euxassay_013741_14
TS23: midbrain ventricular layer Moderate Regionally restricted euxassay_013741_14
TS23: diencephalon lateral wall ventricular layer Moderate Regionally restricted euxassay_013741_14
TS23: medulla oblongata alar plate ventricular layer Moderate Regionally restricted euxassay_013741_14
TS23: medulla oblongata basal plate ventricular layer Moderate Regionally restricted euxassay_013741_14
TS23: rest of cerebellum ventricular layer Moderate Regionally restricted euxassay_013741_14
TS23: pons ventricular layer Moderate Regionally restricted euxassay_013741_14
TS23: spinal cord ventricular layer Moderate Regionally restricted euxassay_013741_14

Specimen euxassay_013741_15: embryonic day 14.5 (more )
Structure Level Pattern Image Note
TS23: liver Moderate Regionally restricted euxassay_013741_15
TS23: right lung Strong Regionally restricted euxassay_013741_15
TS23: midgut Strong Regionally restricted euxassay_013741_15
TS23: pancreas Strong Regionally restricted euxassay_013741_15
TS23: thymus primordium Strong Regionally restricted euxassay_013741_15
TS23: lower jaw incisor Strong Regionally restricted euxassay_013741_15
TS23: upper jaw incisor Strong Regionally restricted euxassay_013741_15
TS23: trachea Moderate Regionally restricted euxassay_013741_15
TS23: olfactory epithelium Moderate Regionally restricted euxassay_013741_15
TS23: telencephalon ventricular layer Moderate Regionally restricted euxassay_013741_15
TS23: midbrain ventricular layer Moderate Regionally restricted euxassay_013741_15
TS23: medulla oblongata alar plate ventricular layer Moderate Regionally restricted euxassay_013741_15
TS23: medulla oblongata basal plate ventricular layer Moderate Regionally restricted euxassay_013741_15
TS23: rest of cerebellum ventricular layer Moderate Regionally restricted euxassay_013741_15
TS23: pons ventricular layer Moderate Regionally restricted euxassay_013741_15
TS23: spinal cord ventricular layer Moderate Regionally restricted euxassay_013741_15
TS23: dorsal root ganglion Moderate Regionally restricted euxassay_013741_15

Specimen euxassay_013741_16: embryonic day 14.5 (more )
Structure Level Pattern Image Note
TS23: liver Strong Regionally restricted euxassay_013741_16
TS23: right lung Strong Regionally restricted euxassay_013741_16
TS23: midgut Strong Regionally restricted euxassay_013741_16
TS23: renal cortex Strong Regionally restricted euxassay_013741_16
TS23: pancreas Strong Regionally restricted euxassay_013741_16
TS23: thymus primordium Strong Regionally restricted euxassay_013741_16
TS23: thyroid gland Moderate Regionally restricted euxassay_013741_16
TS23: submandibular gland primordium Strong Regionally restricted euxassay_013741_16
TS23: maxilla Moderate Regionally restricted euxassay_013741_16
TS23: mandible Moderate Regionally restricted euxassay_013741_16
TS23: olfactory epithelium Moderate Regionally restricted euxassay_013741_16
TS23: telencephalon ventricular layer Moderate Regionally restricted euxassay_013741_16
TS23: midbrain ventricular layer Moderate Regionally restricted euxassay_013741_16
TS23: medulla oblongata alar plate ventricular layer Moderate Regionally restricted euxassay_013741_16
TS23: medulla oblongata basal plate ventricular layer Moderate Regionally restricted euxassay_013741_16
TS23: rest of cerebellum ventricular layer Moderate Regionally restricted euxassay_013741_16
TS23: pons ventricular layer Moderate Regionally restricted euxassay_013741_16
TS23: ventral grey horn Moderate Regionally restricted euxassay_013741_16
TS23: dorsal root ganglion Moderate Regionally restricted euxassay_013741_16

Specimen euxassay_013741_17: embryonic day 14.5 (more )
Structure Level Pattern Image Note
TS23: liver Strong Regionally restricted euxassay_013741_17
TS23: right lung Strong Regionally restricted euxassay_013741_17
TS23: renal cortex Strong Regionally restricted euxassay_013741_17
TS23: adrenal medulla Strong Regionally restricted euxassay_013741_17
TS23: thyroid gland Moderate Regionally restricted euxassay_013741_17
TS23: submandibular gland primordium Strong Regionally restricted euxassay_013741_17
TS23: clavicle Strong Regionally restricted euxassay_013741_17
TS23: mandible Moderate Regionally restricted euxassay_013741_17
TS23: maxilla Moderate Regionally restricted euxassay_013741_17
TS23: olfactory epithelium Moderate Regionally restricted euxassay_013741_17
TS23: vibrissa Strong Regionally restricted euxassay_013741_17
TS23: trigeminal ganglion Moderate Regionally restricted euxassay_013741_17
TS23: telencephalon ventricular layer Moderate Regionally restricted euxassay_013741_17
TS23: midbrain ventricular layer Moderate Regionally restricted euxassay_013741_17
TS23: medulla oblongata alar plate ventricular layer Moderate Regionally restricted euxassay_013741_17
TS23: medulla oblongata basal plate ventricular layer Moderate Regionally restricted euxassay_013741_17
TS23: rest of cerebellum ventricular layer Moderate Regionally restricted euxassay_013741_17
TS23: pons ventricular layer Moderate Regionally restricted euxassay_013741_17
TS23: ventral grey horn Moderate Regionally restricted euxassay_013741_17
TS23: dorsal root ganglion Moderate Regionally restricted euxassay_013741_17

Specimen euxassay_013741_18: embryonic day 14.5 (more )
Structure Level Pattern Image Note
TS23: liver Strong Regionally restricted euxassay_013741_18
TS23: right lung Strong Regionally restricted euxassay_013741_18
TS23: renal cortex Strong Regionally restricted euxassay_013741_18
TS23: adrenal medulla Strong Regionally restricted euxassay_013741_18
TS23: submandibular gland primordium Strong Regionally restricted euxassay_013741_18
TS23: clavicle Strong Regionally restricted euxassay_013741_18
TS23: mandible Moderate Regionally restricted euxassay_013741_18
TS23: maxilla Moderate Regionally restricted euxassay_013741_18
TS23: vibrissa Strong Regionally restricted euxassay_013741_18
TS23: trigeminal ganglion Moderate Regionally restricted euxassay_013741_18
TS23: vagus ganglion Moderate Regionally restricted euxassay_013741_18
TS23: telencephalon ventricular layer Moderate Regionally restricted euxassay_013741_18
TS23: midbrain ventricular layer Moderate Regionally restricted euxassay_013741_18
TS23: medulla oblongata alar plate ventricular layer Moderate Regionally restricted euxassay_013741_18
TS23: medulla oblongata basal plate ventricular layer Moderate Regionally restricted euxassay_013741_18
TS23: rest of cerebellum ventricular layer Moderate Regionally restricted euxassay_013741_18
TS23: pons ventricular layer Moderate Regionally restricted euxassay_013741_18
TS23: dorsal root ganglion Moderate Regionally restricted euxassay_013741_18

Specimen euxassay_013741_19: embryonic day 14.5 (more )
Structure Level Pattern Image Note
TS23: liver Strong Regionally restricted euxassay_013741_19
TS23: right lung Strong Regionally restricted euxassay_013741_19
TS23: renal cortex Strong Regionally restricted euxassay_013741_19
TS23: adrenal medulla Strong Regionally restricted euxassay_013741_19
TS23: submandibular gland primordium Strong Regionally restricted euxassay_013741_19
TS23: mandible Moderate Regionally restricted euxassay_013741_19
TS23: maxilla Moderate Regionally restricted euxassay_013741_19
TS23: upper jaw molar Strong Regionally restricted euxassay_013741_19
TS23: lower jaw molar Strong Regionally restricted euxassay_013741_19
TS23: vibrissa Strong Regionally restricted euxassay_013741_19
TS23: trigeminal ganglion Moderate Regionally restricted euxassay_013741_19
TS23: vagus ganglion Moderate Regionally restricted euxassay_013741_19
TS23: glossopharyngeal ganglion Moderate Regionally restricted euxassay_013741_19
TS23: telencephalon ventricular layer Moderate Regionally restricted euxassay_013741_19
TS23: medulla oblongata alar plate ventricular layer Moderate Regionally restricted euxassay_013741_19
TS23: rest of cerebellum ventricular layer Moderate Regionally restricted euxassay_013741_19
TS23: pons ventricular layer Moderate Regionally restricted euxassay_013741_19
TS23: dorsal root ganglion Moderate Regionally restricted euxassay_013741_19

Specimen euxassay_013741_20: embryonic day 14.5 (more )
Structure Level Pattern Image Note
TS23: liver Strong Regionally restricted euxassay_013741_20
TS23: right lung Strong Regionally restricted euxassay_013741_20
TS23: renal cortex Strong Regionally restricted euxassay_013741_20
TS23: submandibular gland primordium Strong Regionally restricted euxassay_013741_20
TS23: maxilla Moderate Regionally restricted euxassay_013741_20
TS23: mandible Moderate Regionally restricted euxassay_013741_20
TS23: rib Moderate Regionally restricted euxassay_013741_20
TS23: vibrissa Strong Regionally restricted euxassay_013741_20
TS23: trigeminal ganglion Moderate Regionally restricted euxassay_013741_20
TS23: glossopharyngeal ganglion Moderate Regionally restricted euxassay_013741_20
TS23: vestibulo-cochlear ganglion Moderate Regionally restricted euxassay_013741_20
TS23: telencephalon ventricular layer Moderate Regionally restricted euxassay_013741_20
TS23: medulla oblongata alar plate ventricular layer Moderate Regionally restricted euxassay_013741_20
TS23: rest of cerebellum ventricular layer Moderate Regionally restricted euxassay_013741_20
TS23: pons ventricular layer Moderate Regionally restricted euxassay_013741_20
TS23: dorsal root ganglion Moderate Regionally restricted euxassay_013741_20

Specimen euxassay_013741_21: embryonic day 14.5 (more )
Structure Level Pattern Image Note
TS23: liver Strong Regionally restricted euxassay_013741_21
TS23: right lung Strong Regionally restricted euxassay_013741_21
TS23: mandible Moderate Regionally restricted euxassay_013741_21
TS23: rib Moderate Regionally restricted euxassay_013741_21
TS23: vibrissa Strong Regionally restricted euxassay_013741_21
TS23: trigeminal ganglion Moderate Regionally restricted euxassay_013741_21
TS23: telencephalon ventricular layer Moderate Regionally restricted euxassay_013741_21
TS23: medulla oblongata alar plate ventricular layer Moderate Regionally restricted euxassay_013741_21
TS23: rest of cerebellum ventricular layer Moderate Regionally restricted euxassay_013741_21
TS23: pons ventricular layer Moderate Regionally restricted euxassay_013741_21

Specimen euxassay_013741_22: embryonic day 14.5 (more )
Structure Level Pattern Image Note
TS23: liver Strong Regionally restricted euxassay_013741_22
TS23: right lung Strong Regionally restricted euxassay_013741_22
TS23: mandible Moderate Regionally restricted euxassay_013741_22
TS23: rib Moderate Regionally restricted euxassay_013741_22
TS23: trigeminal ganglion Moderate Regionally restricted euxassay_013741_22
TS23: telencephalon ventricular layer Moderate Regionally restricted euxassay_013741_22
TS23: medulla oblongata alar plate ventricular layer Moderate Regionally restricted euxassay_013741_22
TS23: rest of cerebellum ventricular layer Moderate Regionally restricted euxassay_013741_22
TS23: pons ventricular layer Moderate Regionally restricted euxassay_013741_22

Specimen euxassay_013741_23: embryonic day 14.5 (more )
Structure Level Pattern Image Note
TS23: liver Strong Regionally restricted euxassay_013741_23
TS23: right lung Strong Regionally restricted euxassay_013741_23
TS23: mandible Moderate Regionally restricted euxassay_013741_23
TS23: rib Moderate Regionally restricted euxassay_013741_23
TS23: trigeminal ganglion Moderate Regionally restricted euxassay_013741_23
TS23: telencephalon ventricular layer Moderate Regionally restricted euxassay_013741_23
TS23: rest of cerebellum ventricular layer Moderate Regionally restricted euxassay_013741_23
TS23: pons ventricular layer Moderate Regionally restricted euxassay_013741_23


Contributing Projects:
Mouse Genome Database (MGD), Gene Expression Database (GXD), Mouse Models of Human Cancer database (MMHCdb) (formerly Mouse Tumor Biology (MTB)), Gene Ontology (GO)
Citing These Resources
Funding Information
Warranty Disclaimer, Privacy Notice, Licensing, & Copyright
Send questions and comments to User Support.
last database update
03/24/2026
MGI 6.24
The Jackson Laboratory