About   Help   FAQ
Gene Expression Data
Assay Details
Assay
Reference: J:153498 Diez-Roux G, et al., A high-resolution anatomical atlas of the transcriptome in the mouse embryo. PLoS Biol. 2011;9(1):e1000582
Assay type: RNA in situ
MGI Accession ID: MGI:4825498
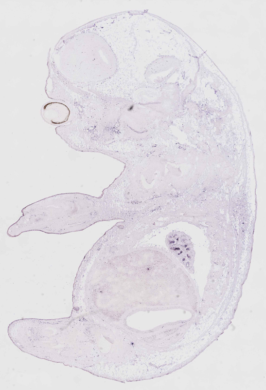
Gene symbol: Icam1
Gene name: intercellular adhesion molecule 1
Probe: MGC clone 6195
Probe preparation: Antisense labelled with digoxigenin RNA
Visualized with: Alkaline phosphatase
Assay notes: Cryosections of fresh frozen material were fixed in 4% paraformaldehyde for 20 min. before further processing. A tyramide-biotin/streptavidin amplification step was included in the in situ hybridization procedure.
Results
Specimen euxassay_006087_01: embryonic day 14.5 (more )
Structure Level Pattern Image Note
TS23: left lung Weak Regionally restricted euxassay_006087_01

Specimen euxassay_006087_02: embryonic day 14.5 (more )
Structure Level Pattern Image Note
TS23: left lung Weak Regionally restricted euxassay_006087_02

Specimen euxassay_006087_03: embryonic day 14.5 (more )
Structure Level Pattern Image Note
TS23: left lung Weak Regionally restricted euxassay_006087_03

Specimen euxassay_006087_04: embryonic day 14.5 (more )
Structure Level Pattern Image Note
TS23: left lung Weak Regionally restricted euxassay_006087_04

Specimen euxassay_006087_05: embryonic day 14.5 (more )
Structure Level Pattern Image Note
TS23: left lung Weak Regionally restricted euxassay_006087_05

Specimen euxassay_006087_06: embryonic day 14.5 (more )
Structure Level Pattern Image Note
TS23: left lung Weak Regionally restricted euxassay_006087_06

Specimen euxassay_006087_07: embryonic day 14.5 (more )
Structure Level Pattern Image Note
TS23: thymus primordium Strong Regionally restricted euxassay_006087_07
TS23: left lung Weak Regionally restricted euxassay_006087_07

Specimen euxassay_006087_08: embryonic day 14.5 (more )
Structure Level Pattern Image Note
TS23: thymus primordium Strong Regionally restricted euxassay_006087_08
TS23: left lung Weak Regionally restricted euxassay_006087_08

Specimen euxassay_006087_09: embryonic day 14.5 (more )
Structure Level Pattern Image Note
TS23: thymus primordium Strong Regionally restricted euxassay_006087_09
TS23: left lung Weak Regionally restricted euxassay_006087_09

Specimen euxassay_006087_10: embryonic day 14.5 (more )
Structure Level Pattern Image Note
TS23: thymus primordium Strong Regionally restricted euxassay_006087_10
TS23: left lung Weak Regionally restricted euxassay_006087_10

Specimen euxassay_006087_11: embryonic day 14.5 (more )
Structure Level Pattern Image Note
TS23: thymus primordium Strong Regionally restricted euxassay_006087_11
TS23: right lung Weak Regionally restricted euxassay_006087_11

Specimen euxassay_006087_12: embryonic day 14.5 (more )
Structure Level Pattern Image Note
TS23: right lung Weak Regionally restricted euxassay_006087_12

Specimen euxassay_006087_13: embryonic day 14.5 (more )
Structure Level Pattern Image Note
TS23: right lung Weak Regionally restricted euxassay_006087_13

Specimen euxassay_006087_14: embryonic day 14.5 (more )
Structure Level Pattern Image Note
TS23: right lung Weak Regionally restricted euxassay_006087_14

Specimen euxassay_006087_15: embryonic day 14.5 (more )
Structure Level Pattern Image Note
TS23: right lung Weak Regionally restricted euxassay_006087_15

Specimen euxassay_006087_16: embryonic day 14.5 (more )
Structure Level Pattern Image Note
TS23: right lung Weak Regionally restricted euxassay_006087_16

Specimen euxassay_006087_17: embryonic day 14.5 (more )
Structure Level Pattern Image Note
TS23: right lung Weak Regionally restricted euxassay_006087_17

Specimen euxassay_006087_18: embryonic day 14.5 (more )
Structure Level Pattern Image Note
TS23: right lung Weak Regionally restricted euxassay_006087_18

Specimen euxassay_006087_19: embryonic day 14.5 (more )
Structure Level Pattern Image Note
TS23: right lung Weak Regionally restricted euxassay_006087_19

Specimen euxassay_006087_20: embryonic day 14.5 (more )
Structure Level Pattern Image Note
TS23: right lung Weak Regionally restricted euxassay_006087_20


Contributing Projects:
Mouse Genome Database (MGD), Gene Expression Database (GXD), Mouse Models of Human Cancer database (MMHCdb) (formerly Mouse Tumor Biology (MTB)), Gene Ontology (GO)
Citing These Resources
Funding Information
Warranty Disclaimer, Privacy Notice, Licensing, & Copyright
Send questions and comments to User Support.
last database update
01/06/2026
MGI 6.24
The Jackson Laboratory