About   Help   FAQ
Gene Expression Data
Assay Details
Assay
Reference: J:153498 Diez-Roux G, et al., A high-resolution anatomical atlas of the transcriptome in the mouse embryo. PLoS Biol. 2011;9(1):e1000582
Assay type: RNA in situ
MGI Accession ID: MGI:4825492
Gene symbol: Iah1
Gene name: isoamyl acetate-hydrolyzing esterase 1 homolog
Probe: MGC clone 74037
Probe preparation: Antisense labelled with digoxigenin RNA
Visualized with: Alkaline phosphatase
Assay notes: Cryosections of fresh frozen material were fixed in 4% paraformaldehyde for 20 min. before further processing. A tyramide-biotin/streptavidin amplification step was included in the in situ hybridization procedure.
Results
Specimen euxassay_005176_01: embryonic day 14.5 (more )
Note: Additional information for this specimen was included in the Eurexpress data submission file.
Structure Level Pattern Image Note
TS23: brain Moderate Regionally restricted euxassay_005176_01
TS23: brain ventricular layer Present euxassay_005176_01

Specimen euxassay_005176_02: embryonic day 14.5 (more )
Note: Additional information for this specimen was included in the Eurexpress data submission file.
Structure Level Pattern Image Note
TS23: brain Moderate Regionally restricted euxassay_005176_02
TS23: brain ventricular layer Present euxassay_005176_02

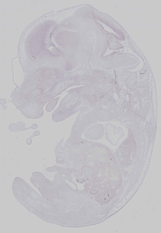
Specimen euxassay_005176_03: embryonic day 14.5 (more )
Note: Additional information for this specimen was included in the Eurexpress data submission file.
Structure Level Pattern Image Note
TS23: brain Moderate Regionally restricted euxassay_005176_03
TS23: brain ventricular layer Present euxassay_005176_03
TS23: trigeminal ganglion Moderate Regionally restricted euxassay_005176_03
TS23: metanephros Moderate Spotted euxassay_005176_03
TS23: testis Moderate Spotted euxassay_005176_03

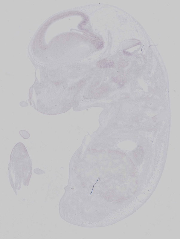
Specimen euxassay_005176_04: embryonic day 14.5 (more )
Note: Additional information for this specimen was included in the Eurexpress data submission file.
Structure Level Pattern Image Note
TS23: brain Moderate Regionally restricted euxassay_005176_04
TS23: brain ventricular layer Present euxassay_005176_04
TS23: trigeminal ganglion Moderate Regionally restricted euxassay_005176_04
TS23: testis Moderate Spotted euxassay_005176_04
TS23: metanephros Moderate Spotted euxassay_005176_04

Specimen euxassay_005176_05: embryonic day 14.5 (more )
Note: Additional information for this specimen was included in the Eurexpress data submission file.
Structure Level Pattern Image Note
TS23: brain Moderate Regionally restricted euxassay_005176_05
TS23: brain ventricular layer Present euxassay_005176_05
TS23: trigeminal ganglion Moderate Regionally restricted euxassay_005176_05
TS23: metanephros Moderate Spotted euxassay_005176_05
TS23: testis Moderate Spotted euxassay_005176_05

Specimen euxassay_005176_06: embryonic day 14.5 (more )
Note: Additional information for this specimen was included in the Eurexpress data submission file.
Structure Level Pattern Image Note
TS23: brain Moderate Regionally restricted euxassay_005176_06
TS23: brain ventricular layer Present euxassay_005176_06
TS23: vestibulo-cochlear ganglion Weak Regionally restricted euxassay_005176_06
TS23: trigeminal ganglion Moderate Regionally restricted euxassay_005176_06
TS23: metanephros Moderate Spotted euxassay_005176_06
TS23: testis Moderate Spotted euxassay_005176_06

Specimen euxassay_005176_07: embryonic day 14.5 (more )
Note: Additional information for this specimen was included in the Eurexpress data submission file.
Structure Level Pattern Image Note
TS23: brain Moderate Regionally restricted euxassay_005176_07
TS23: brain ventricular layer Present euxassay_005176_07
TS23: trigeminal ganglion Moderate Regionally restricted euxassay_005176_07
TS23: vestibulo-cochlear ganglion Weak Regionally restricted euxassay_005176_07
TS23: pancreas Moderate Regionally restricted euxassay_005176_07
TS23: metanephros Moderate Spotted euxassay_005176_07

Specimen euxassay_005176_08: embryonic day 14.5 (more )
Note: Additional information for this specimen was included in the Eurexpress data submission file.
Structure Level Pattern Image Note
TS23: brain Moderate Regionally restricted euxassay_005176_08
TS23: brain ventricular layer Present euxassay_005176_08
TS23: trigeminal ganglion Moderate Regionally restricted euxassay_005176_08
TS23: thymus primordium Moderate Regionally restricted euxassay_005176_08
TS23: thyroid gland Moderate Regionally restricted euxassay_005176_08
TS23: pancreas Moderate Regionally restricted euxassay_005176_08
TS23: metanephros Moderate Spotted euxassay_005176_08

Specimen euxassay_005176_09: embryonic day 14.5 (more )
Note: Additional information for this specimen was included in the Eurexpress data submission file.
Structure Level Pattern Image Note
TS23: brain Moderate Regionally restricted euxassay_005176_09
TS23: brain ventricular layer Present euxassay_005176_09
TS23: spinal cord Moderate Regionally restricted euxassay_005176_09 ventricular layer
TS23: thymus primordium Moderate Regionally restricted euxassay_005176_09
TS23: thyroid gland Moderate Regionally restricted euxassay_005176_09
TS23: pancreas Moderate Regionally restricted euxassay_005176_09

Specimen euxassay_005176_10: embryonic day 14.5 (more )
Note: Additional information for this specimen was included in the Eurexpress data submission file.
Structure Level Pattern Image Note
TS23: brain Moderate Regionally restricted euxassay_005176_10
TS23: brain ventricular layer Present euxassay_005176_10
TS23: thymus primordium Moderate Regionally restricted euxassay_005176_10
TS23: pancreas Moderate Regionally restricted euxassay_005176_10

Specimen euxassay_005176_11: embryonic day 14.5 (more )
Note: Additional information for this specimen was included in the Eurexpress data submission file.
Structure Level Pattern Image Note
TS23: brain Moderate Regionally restricted euxassay_005176_11
TS23: brain ventricular layer Present euxassay_005176_11
TS23: spinal cord Moderate Regionally restricted euxassay_005176_11 ventricular layer
TS23: thymus primordium Moderate Regionally restricted euxassay_005176_11
TS23: pancreas Moderate Regionally restricted euxassay_005176_11

Specimen euxassay_005176_12: embryonic day 14.5 (more )
Note: Additional information for this specimen was included in the Eurexpress data submission file.
Structure Level Pattern Image Note
TS23: brain Moderate Regionally restricted euxassay_005176_12
TS23: brain ventricular layer Present euxassay_005176_12
TS23: thymus primordium Moderate Regionally restricted euxassay_005176_12
TS23: thyroid gland Moderate Regionally restricted euxassay_005176_12

Specimen euxassay_005176_13: embryonic day 14.5 (more )
Note: Additional information for this specimen was included in the Eurexpress data submission file.
Structure Level Pattern Image Note
TS23: brain Moderate Regionally restricted euxassay_005176_13
TS23: brain ventricular layer Present euxassay_005176_13
TS23: pancreas Moderate Regionally restricted euxassay_005176_13

Specimen euxassay_005176_14: embryonic day 14.5 (more )
Note: Additional information for this specimen was included in the Eurexpress data submission file.
Structure Level Pattern Image Note
TS23: brain Moderate Regionally restricted euxassay_005176_14
TS23: brain ventricular layer Present euxassay_005176_14
TS23: pancreas Moderate Regionally restricted euxassay_005176_14
TS23: metanephros Moderate Spotted euxassay_005176_14

Specimen euxassay_005176_15: embryonic day 14.5 (more )
Note: Additional information for this specimen was included in the Eurexpress data submission file.
Structure Level Pattern Image Note
TS23: brain Moderate Regionally restricted euxassay_005176_15
TS23: brain ventricular layer Present euxassay_005176_15
TS23: pancreas Moderate Regionally restricted euxassay_005176_15
TS23: metanephros Moderate Spotted euxassay_005176_15
TS23: testis Moderate Spotted euxassay_005176_15

Specimen euxassay_005176_16: embryonic day 14.5 (more )
Note: Additional information for this specimen was included in the Eurexpress data submission file.
Structure Level Pattern Image Note
TS23: brain Moderate Regionally restricted euxassay_005176_16
TS23: brain ventricular layer Present euxassay_005176_16
TS23: trigeminal ganglion Moderate Regionally restricted euxassay_005176_16
TS23: vestibulo-cochlear ganglion Weak Regionally restricted euxassay_005176_16
TS23: glossopharyngeal ganglion Weak Regionally restricted euxassay_005176_16

Specimen euxassay_005176_17: embryonic day 14.5 (more )
Note: Additional information for this specimen was included in the Eurexpress data submission file.
Structure Level Pattern Image Note
TS23: brain Moderate Regionally restricted euxassay_005176_17
TS23: brain ventricular layer Present euxassay_005176_17
TS23: trigeminal ganglion Moderate Regionally restricted euxassay_005176_17
TS23: vestibulo-cochlear ganglion Moderate Regionally restricted euxassay_005176_17

Specimen euxassay_005176_18: embryonic day 14.5 (more )
Note: Additional information for this specimen was included in the Eurexpress data submission file.
Structure Level Pattern Image Note
TS23: brain Moderate Regionally restricted euxassay_005176_18
TS23: brain ventricular layer Present euxassay_005176_18
TS23: trigeminal ganglion Moderate Regionally restricted euxassay_005176_18

Specimen euxassay_005176_19: embryonic day 14.5 (more )
Note: Additional information for this specimen was included in the Eurexpress data submission file.
Structure Level Pattern Image Note
TS23: brain Moderate Regionally restricted euxassay_005176_19
TS23: brain ventricular layer Present euxassay_005176_19
TS23: trigeminal ganglion Moderate Regionally restricted euxassay_005176_19

Specimen euxassay_005176_20: embryonic day 14.5 (more )
Note: Additional information for this specimen was included in the Eurexpress data submission file.
Structure Level Pattern Image Note
TS23: brain Moderate Regionally restricted euxassay_005176_20
TS23: brain ventricular layer Present euxassay_005176_20

Specimen euxassay_005176_21: embryonic day 14.5 (more )
Note: Additional information for this specimen was included in the Eurexpress data submission file.
Structure Level Pattern Image Note
TS23: brain Moderate Regionally restricted euxassay_005176_21
TS23: brain ventricular layer Present euxassay_005176_21


Contributing Projects:
Mouse Genome Database (MGD), Gene Expression Database (GXD), Mouse Models of Human Cancer database (MMHCdb) (formerly Mouse Tumor Biology (MTB)), Gene Ontology (GO)
Citing These Resources
Funding Information
Warranty Disclaimer, Privacy Notice, Licensing, & Copyright
Send questions and comments to User Support.
last database update
09/30/2025
MGI 6.24
The Jackson Laboratory