About   Help   FAQ
Gene Expression Data
Assay Details
Assay
Reference: J:153498 Diez-Roux G, et al., A high-resolution anatomical atlas of the transcriptome in the mouse embryo. PLoS Biol. 2011;9(1):e1000582
Assay type: RNA in situ
MGI Accession ID: MGI:4825465
Gene symbol: Hsd3b1
Gene name: hydroxy-delta-5-steroid dehydrogenase, 3 beta- and steroid delta-isomerase 1
Probe: IMAGE clone 580893
Probe preparation: Antisense labelled with digoxigenin RNA
Visualized with: Alkaline phosphatase
Assay notes: Cryosections of fresh frozen material were fixed in 4% paraformaldehyde for 20 min. before further processing. A tyramide-biotin/streptavidin amplification step was included in the in situ hybridization procedure.
Results
Specimen euxassay_007387_03: embryonic day 14.5 (more )
Structure Level Pattern Image Note
TS23: ovary Moderate Regionally restricted euxassay_007387_03

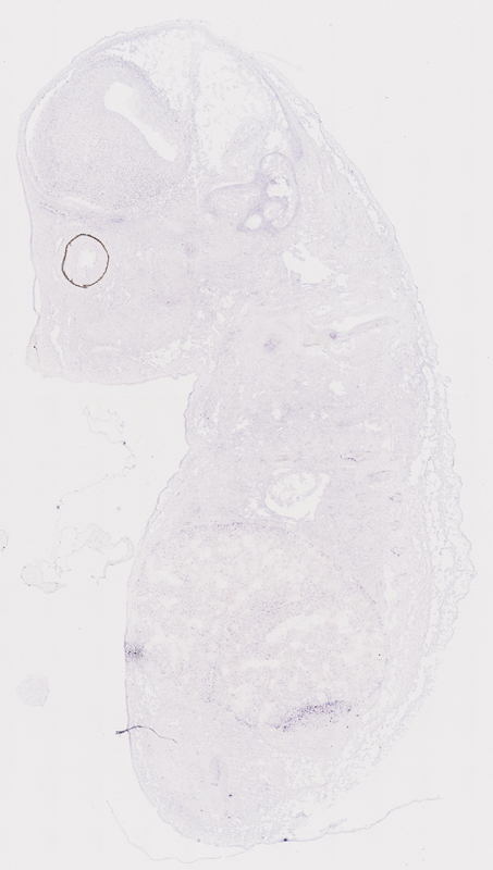
Specimen euxassay_007387_04: embryonic day 14.5 (more )
Structure Level Pattern Image Note
TS23: adrenal medulla Strong Regionally restricted euxassay_007387_04

Specimen euxassay_007387_05: embryonic day 14.5 (more )
Structure Level Pattern Image Note
TS23: adrenal medulla Strong Regionally restricted euxassay_007387_05
TS23: renal calyx Strong Regionally restricted euxassay_007387_05

Specimen euxassay_007387_06: embryonic day 14.5 (more )
Structure Level Pattern Image Note
TS23: adrenal medulla Strong Regionally restricted euxassay_007387_06
TS23: renal calyx Strong Regionally restricted euxassay_007387_06

Specimen euxassay_007387_07: embryonic day 14.5 (more )
Structure Level Pattern Image Note
TS23: adrenal medulla Strong Regionally restricted euxassay_007387_07
TS23: renal calyx Strong Regionally restricted euxassay_007387_07

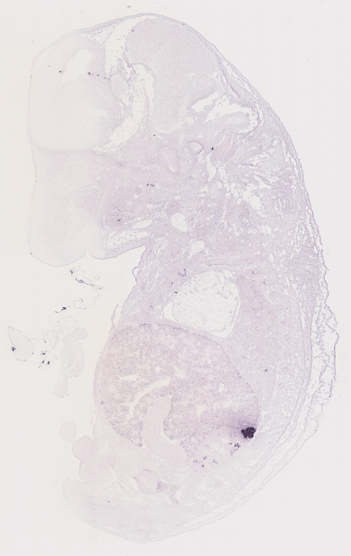
Specimen euxassay_007387_13: embryonic day 14.5 (more )
Structure Level Pattern Image Note
TS23: adrenal medulla Strong Regionally restricted euxassay_007387_13

Specimen euxassay_007387_14: embryonic day 14.5 (more )
Structure Level Pattern Image Note
TS23: adrenal medulla Strong Regionally restricted euxassay_007387_14

Specimen euxassay_007387_15: embryonic day 14.5 (more )
Structure Level Pattern Image Note
TS23: adrenal medulla Strong Regionally restricted euxassay_007387_15
TS23: renal calyx Moderate Regionally restricted euxassay_007387_15

Specimen euxassay_007387_16: embryonic day 14.5 (more )
Structure Level Pattern Image Note
TS23: renal calyx Strong Regionally restricted euxassay_007387_16
TS23: adrenal medulla Strong Regionally restricted euxassay_007387_16

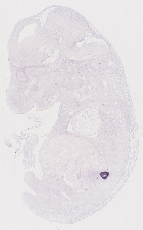
Specimen euxassay_007387_17: embryonic day 14.5 (more )
Structure Level Pattern Image Note
TS23: renal calyx Strong Regionally restricted euxassay_007387_17

Specimen euxassay_007387_18: embryonic day 14.5 (more )
Structure Level Pattern Image Note
TS23: ovary Moderate Regionally restricted euxassay_007387_18

Specimen euxassay_007387_19: embryonic day 14.5 (more )
Structure Level Pattern Image Note
TS23: ovary Moderate Regionally restricted euxassay_007387_19


Contributing Projects:
Mouse Genome Database (MGD), Gene Expression Database (GXD), Mouse Models of Human Cancer database (MMHCdb) (formerly Mouse Tumor Biology (MTB)), Gene Ontology (GO)
Citing These Resources
Funding Information
Warranty Disclaimer, Privacy Notice, Licensing, & Copyright
Send questions and comments to User Support.
last database update
12/30/2025
MGI 6.24
The Jackson Laboratory