About   Help   FAQ
Gene Expression Data
Assay Details
Assay
Reference: J:153498 Diez-Roux G, et al., A high-resolution anatomical atlas of the transcriptome in the mouse embryo. PLoS Biol. 2011;9(1):e1000582
Assay type: RNA in situ
MGI Accession ID: MGI:4825462
Gene symbol: Hsd17b2
Gene name: hydroxysteroid (17-beta) dehydrogenase 2
Probe: IMAGE clone 1888652
Probe preparation: Antisense labelled with digoxigenin RNA
Visualized with: Alkaline phosphatase
Assay notes: Cryosections of fresh frozen material were fixed in 4% paraformaldehyde for 20 min. before further processing. A tyramide-biotin/streptavidin amplification step was included in the in situ hybridization procedure.
Results
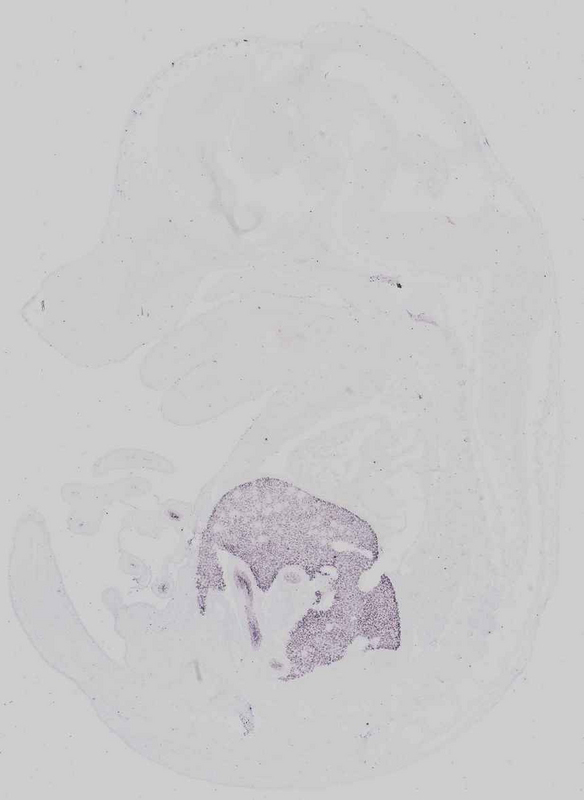
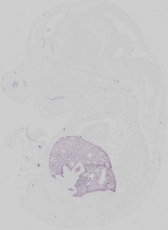
Specimen euxassay_001938_01: embryonic day 14.5 (more )
Structure Level Pattern Image Note
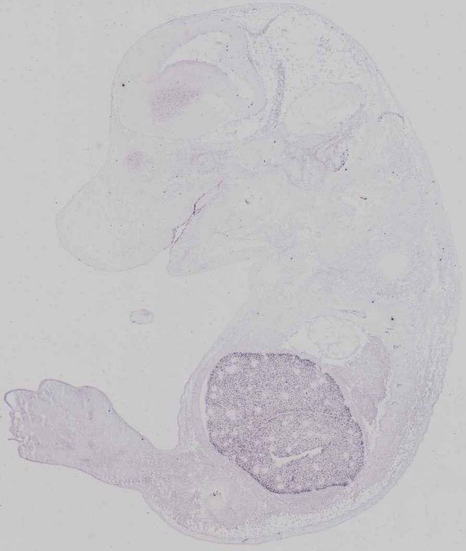
TS23: liver lobe Strong Regionally restricted euxassay_001938_01

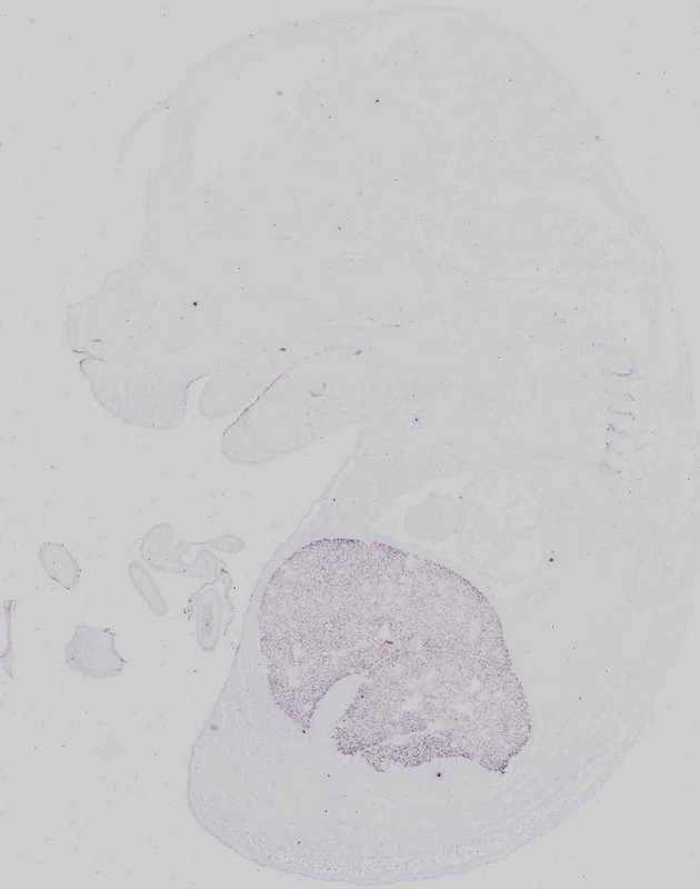
Specimen euxassay_001938_02: embryonic day 14.5 (more )
Structure Level Pattern Image Note
TS23: liver lobe Strong Regionally restricted euxassay_001938_02

Specimen euxassay_001938_03: embryonic day 14.5 (more )
Structure Level Pattern Image Note
TS23: liver lobe Strong Regionally restricted euxassay_001938_03

Specimen euxassay_001938_04: embryonic day 14.5 (more )
Structure Level Pattern Image Note
TS23: liver lobe Strong Regionally restricted euxassay_001938_04

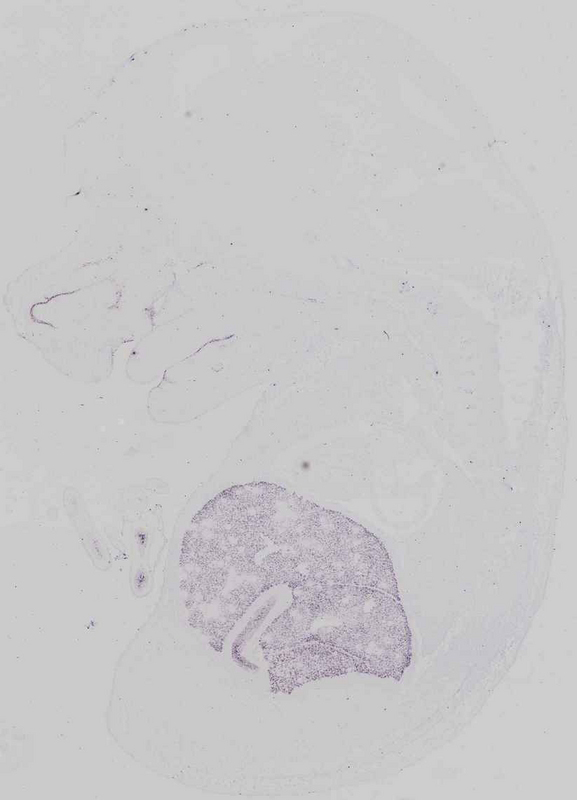
Specimen euxassay_001938_05: embryonic day 14.5 (more )
Structure Level Pattern Image Note
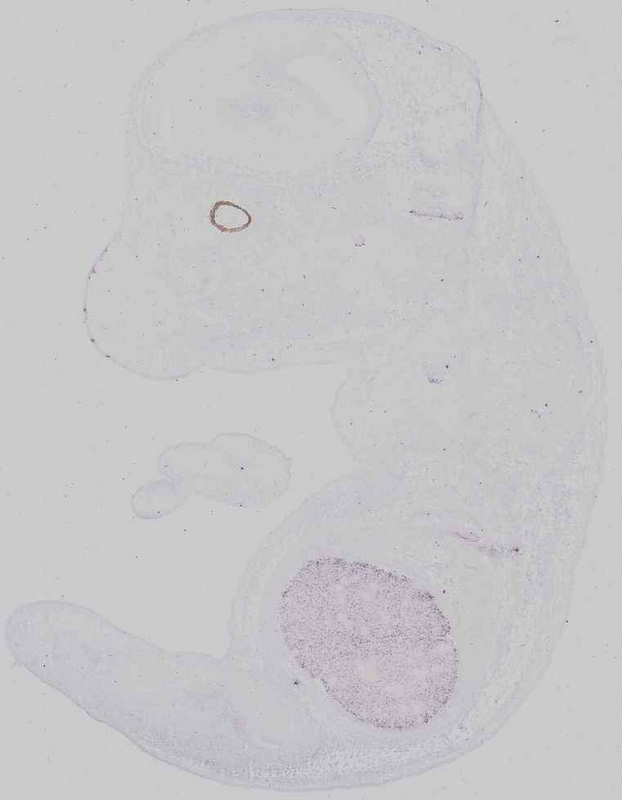
TS23: liver lobe Strong Regionally restricted euxassay_001938_05
TS23: midgut Moderate Regionally restricted euxassay_001938_05

Specimen euxassay_001938_06: embryonic day 14.5 (more )
Structure Level Pattern Image Note
TS23: liver lobe Strong Regionally restricted euxassay_001938_06
TS23: midgut Moderate Regionally restricted euxassay_001938_06

Specimen euxassay_001938_07: embryonic day 14.5 (more )
Structure Level Pattern Image Note
TS23: liver lobe Strong Regionally restricted euxassay_001938_07
TS23: midgut Moderate Regionally restricted euxassay_001938_07
TS23: hindgut Moderate Regionally restricted euxassay_001938_07

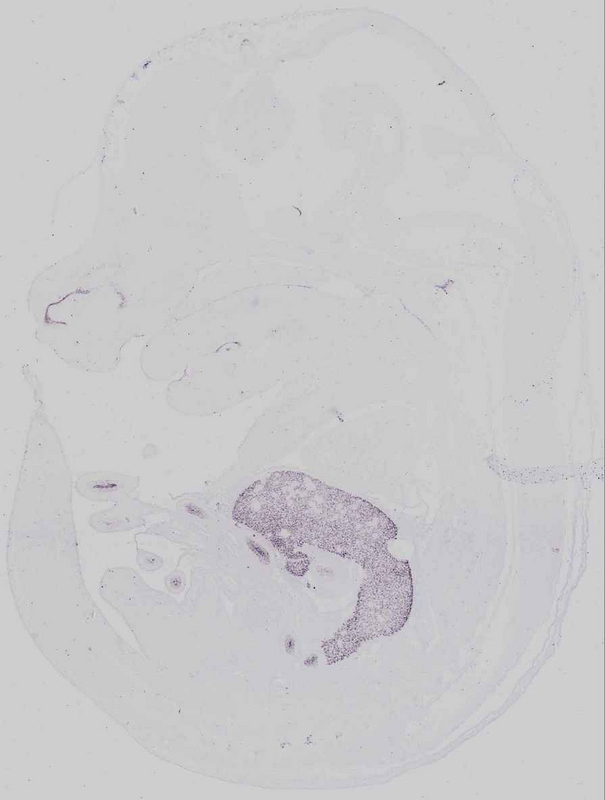
Specimen euxassay_001938_08: embryonic day 14.5 (more )
Structure Level Pattern Image Note
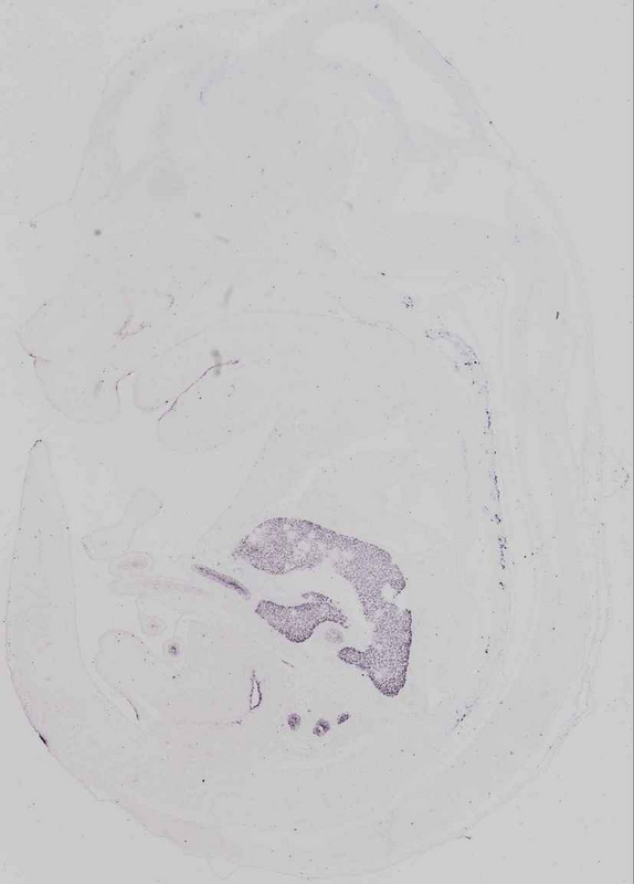
TS23: liver lobe Strong Regionally restricted euxassay_001938_08
TS23: foregut-midgut junction Moderate Regionally restricted euxassay_001938_08
TS23: midgut Moderate Regionally restricted euxassay_001938_08
TS23: rectum Moderate Regionally restricted euxassay_001938_08
TS23: hindgut Moderate Regionally restricted euxassay_001938_08
TS23: bladder Strong Regionally restricted euxassay_001938_08

Specimen euxassay_001938_09: embryonic day 14.5 (more )
Structure Level Pattern Image Note
TS23: liver lobe Strong Regionally restricted euxassay_001938_09
TS23: hindgut Moderate Regionally restricted euxassay_001938_09
TS23: midgut Moderate Regionally restricted euxassay_001938_09
TS23: foregut-midgut junction Moderate Regionally restricted euxassay_001938_09
TS23: bladder Strong Regionally restricted euxassay_001938_09

Specimen euxassay_001938_10: embryonic day 14.5 (more )
Structure Level Pattern Image Note
TS23: liver lobe Strong Regionally restricted euxassay_001938_10
TS23: midgut Moderate Regionally restricted euxassay_001938_10
TS23: hindgut Moderate Regionally restricted euxassay_001938_10
TS23: foregut-midgut junction Moderate Regionally restricted euxassay_001938_10

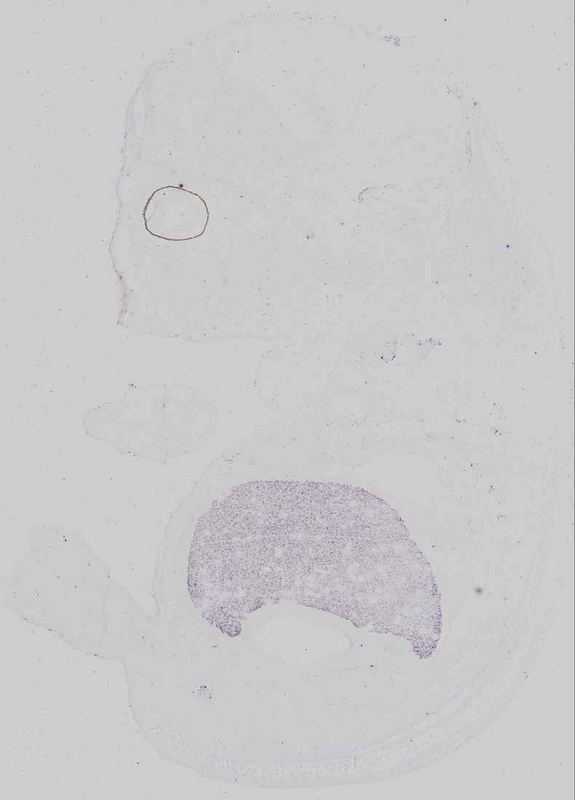
Specimen euxassay_001938_11: embryonic day 14.5 (more )
Structure Level Pattern Image Note
TS23: midgut Moderate Regionally restricted euxassay_001938_11

Specimen euxassay_001938_12: embryonic day 14.5 (more )
Structure Level Pattern Image Note
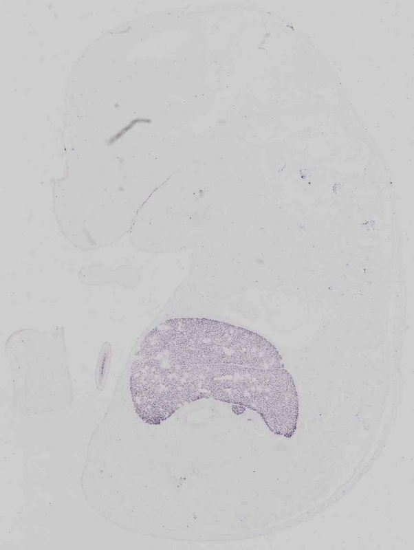
TS23: liver lobe Strong Regionally restricted euxassay_001938_12
TS23: midgut Moderate Regionally restricted euxassay_001938_12

Specimen euxassay_001938_13: embryonic day 14.5 (more )
Structure Level Pattern Image Note
TS23: liver lobe Strong Regionally restricted euxassay_001938_13
TS23: midgut Moderate Regionally restricted euxassay_001938_13

Specimen euxassay_001938_14: embryonic day 14.5 (more )
Structure Level Pattern Image Note
TS23: liver lobe Strong Regionally restricted euxassay_001938_14

Specimen euxassay_001938_15: embryonic day 14.5 (more )
Structure Level Pattern Image Note
TS23: liver lobe Strong Regionally restricted euxassay_001938_15

Specimen euxassay_001938_16: embryonic day 14.5 (more )
Structure Level Pattern Image Note
TS23: liver lobe Strong Regionally restricted euxassay_001938_16

Specimen euxassay_001938_17: embryonic day 14.5 (more )
Structure Level Pattern Image Note
TS23: liver lobe Strong Regionally restricted euxassay_001938_17

Specimen euxassay_001938_18: embryonic day 14.5 (more )
Structure Level Pattern Image Note
TS23: liver lobe Strong Regionally restricted euxassay_001938_18

Specimen euxassay_001938_19: embryonic day 14.5 (more )
Structure Level Pattern Image Note
TS23: liver lobe Strong Regionally restricted euxassay_001938_19

Specimen euxassay_001938_20: embryonic day 14.5 (more )
Structure Level Pattern Image Note
TS23: liver lobe Strong Regionally restricted euxassay_001938_20


Contributing Projects:
Mouse Genome Database (MGD), Gene Expression Database (GXD), Mouse Models of Human Cancer database (MMHCdb) (formerly Mouse Tumor Biology (MTB)), Gene Ontology (GO)
Citing These Resources
Funding Information
Warranty Disclaimer, Privacy Notice, Licensing, & Copyright
Send questions and comments to User Support.
last database update
12/30/2025
MGI 6.24
The Jackson Laboratory