About   Help   FAQ
Gene Expression Data
Assay Details
Assay
Reference: J:153498 Diez-Roux G, et al., A high-resolution anatomical atlas of the transcriptome in the mouse embryo. PLoS Biol. 2011;9(1):e1000582
Assay type: RNA in situ
MGI Accession ID: MGI:4825457
Gene symbol: Hs6st2
Gene name: heparan sulfate 6-O-sulfotransferase 2
Probe: T31908
Probe preparation: Antisense labelled with digoxigenin RNA
Visualized with: Alkaline phosphatase
Assay notes: Cryosections of fresh frozen material were fixed in 4% paraformaldehyde for 20 min. before further processing. A tyramide-biotin/streptavidin amplification step was included in the in situ hybridization procedure.
Results
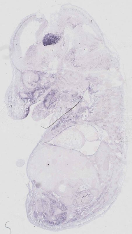
Specimen euxassay_014425_01: embryonic day 14.5 (more )
Structure Level Pattern Image Note
TS23: telencephalon mantle layer Moderate Regionally restricted euxassay_014425_01
TS23: cerebral cortex mantle layer Moderate Regionally restricted euxassay_014425_01

Specimen euxassay_014425_02: embryonic day 14.5 (more )
Structure Level Pattern Image Note
TS23: telencephalon mantle layer Moderate Regionally restricted euxassay_014425_02
TS23: hindlimb digit 1 phalanx Weak Regionally restricted euxassay_014425_02
TS23: hindlimb digit 3 phalanx Weak Regionally restricted euxassay_014425_02
TS23: hindlimb digit 2 phalanx Weak Regionally restricted euxassay_014425_02
TS23: hindlimb digit 1 metatarsal Weak Regionally restricted euxassay_014425_02
TS23: hindlimb digit 2 metatarsal Weak Regionally restricted euxassay_014425_02
TS23: hindlimb digit 3 metatarsal Weak Regionally restricted euxassay_014425_02
TS23: cerebral cortex mantle layer Moderate Regionally restricted euxassay_014425_02

Specimen euxassay_014425_03: embryonic day 14.5 (more )
Structure Level Pattern Image Note
TS23: telencephalon mantle layer Strong Regionally restricted euxassay_014425_03
TS23: rest of cerebellum mantle layer Strong Regionally restricted euxassay_014425_03
TS23: hindlimb digit 1 metatarsal Weak Regionally restricted euxassay_014425_03
TS23: hindlimb digit 2 metatarsal Weak Regionally restricted euxassay_014425_03
TS23: hindlimb digit 3 metatarsal Weak Regionally restricted euxassay_014425_03
TS23: hindlimb digit 4 metatarsal Weak Regionally restricted euxassay_014425_03
TS23: cerebral cortex mantle layer Moderate Regionally restricted euxassay_014425_03

Specimen euxassay_014425_04: embryonic day 14.5 (more )
Structure Level Pattern Image Note
TS23: telencephalon mantle layer Strong Regionally restricted euxassay_014425_04
TS23: rest of cerebellum mantle layer Strong Regionally restricted euxassay_014425_04
TS23: cerebral cortex mantle layer Moderate Regionally restricted euxassay_014425_04

Specimen euxassay_014425_05: embryonic day 14.5 (more )
Structure Level Pattern Image Note
TS23: telencephalon mantle layer Strong Regionally restricted euxassay_014425_05
TS23: pons mantle layer Strong Regionally restricted euxassay_014425_05
TS23: cerebral cortex mantle layer Moderate Regionally restricted euxassay_014425_05

Specimen euxassay_014425_06: embryonic day 14.5 (more )
Structure Level Pattern Image Note
TS23: telencephalon mantle layer Moderate Regionally restricted euxassay_014425_06
TS23: pons mantle layer Weak Regionally restricted euxassay_014425_06

Specimen euxassay_014425_07: embryonic day 14.5 (more )
Structure Level Pattern Image Note
TS23: thalamus mantle layer Strong Regionally restricted euxassay_014425_07
TS23: pons mantle layer Moderate Regionally restricted euxassay_014425_07
TS23: medulla oblongata basal plate mantle layer Weak Regionally restricted euxassay_014425_07

Specimen euxassay_014425_08: embryonic day 14.5 (more )
Structure Level Pattern Image Note
TS23: thalamus mantle layer Strong Regionally restricted euxassay_014425_08
TS23: pons mantle layer Moderate Regionally restricted euxassay_014425_08
TS23: medulla oblongata basal plate mantle layer Moderate Regionally restricted euxassay_014425_08

Specimen euxassay_014425_09: embryonic day 14.5 (more )
Note: Additional information for this specimen was included in the Eurexpress data submission file.
Structure Level Pattern Image Note
TS23: thalamus mantle layer Strong Regionally restricted euxassay_014425_09
TS23: telencephalon mantle layer Moderate Regionally restricted euxassay_014425_09
TS23: pons mantle layer Strong Regionally restricted euxassay_014425_09
TS23: medulla oblongata basal plate mantle layer Strong Regionally restricted euxassay_014425_09
TS23: midbrain mantle layer Moderate Regionally restricted euxassay_014425_09
TS23: midbrain-hindbrain junction Present euxassay_014425_09

Specimen euxassay_014425_10: embryonic day 14.5 (more )
Note: Additional information for this specimen was included in the Eurexpress data submission file.
Structure Level Pattern Image Note
TS23: telencephalon mantle layer Moderate Regionally restricted euxassay_014425_10
TS23: pons mantle layer Strong Regionally restricted euxassay_014425_10
TS23: medulla oblongata basal plate mantle layer Strong Regionally restricted euxassay_014425_10
TS23: ventral grey horn Moderate Regionally restricted euxassay_014425_10
TS23: midbrain mantle layer Strong Regionally restricted euxassay_014425_10
TS23: midbrain-hindbrain junction Present euxassay_014425_10

Specimen euxassay_014425_11: embryonic day 14.5 (more )
Note: Additional information for this specimen was included in the Eurexpress data submission file.
Structure Level Pattern Image Note
TS23: telencephalon mantle layer Moderate Regionally restricted euxassay_014425_11
TS23: pons mantle layer Strong Regionally restricted euxassay_014425_11
TS23: medulla oblongata basal plate mantle layer Strong Regionally restricted euxassay_014425_11
TS23: ventral grey horn Moderate Regionally restricted euxassay_014425_11
TS23: midbrain mantle layer Strong Regionally restricted euxassay_014425_11
TS23: midbrain-hindbrain junction Present euxassay_014425_11

Specimen euxassay_014425_12: embryonic day 14.5 (more )
Note: Additional information for this specimen was included in the Eurexpress data submission file.
Structure Level Pattern Image Note
TS23: medulla oblongata basal plate mantle layer Moderate Regionally restricted euxassay_014425_12
TS23: ventral grey horn Moderate Regionally restricted euxassay_014425_12
TS23: midbrain mantle layer Moderate Regionally restricted euxassay_014425_12
TS23: midbrain-hindbrain junction Present euxassay_014425_12

Specimen euxassay_014425_13: embryonic day 14.5 (more )
Note: Additional information for this specimen was included in the Eurexpress data submission file.
Structure Level Pattern Image Note
TS23: thalamus mantle layer Strong Regionally restricted euxassay_014425_13
TS23: telencephalon mantle layer Moderate Regionally restricted euxassay_014425_13
TS23: pons mantle layer Strong Regionally restricted euxassay_014425_13
TS23: medulla oblongata basal plate mantle layer Strong Regionally restricted euxassay_014425_13
TS23: ventral grey horn Moderate Regionally restricted euxassay_014425_13
TS23: midbrain mantle layer Moderate Regionally restricted euxassay_014425_13
TS23: midbrain-hindbrain junction Present euxassay_014425_13

Specimen euxassay_014425_14: embryonic day 14.5 (more )
Structure Level Pattern Image Note
TS23: thalamus mantle layer Strong Regionally restricted euxassay_014425_14
TS23: telencephalon mantle layer Moderate Regionally restricted euxassay_014425_14
TS23: pons mantle layer Strong Regionally restricted euxassay_014425_14
TS23: medulla oblongata basal plate mantle layer Strong Regionally restricted euxassay_014425_14
TS23: ventral grey horn Moderate Regionally restricted euxassay_014425_14

Specimen euxassay_014425_15: embryonic day 14.5 (more )
Note: Additional information for this specimen was included in the Eurexpress data submission file.
Structure Level Pattern Image Note
TS23: thalamus mantle layer Strong Regionally restricted euxassay_014425_15
TS23: pons mantle layer Strong Regionally restricted euxassay_014425_15
TS23: medulla oblongata basal plate mantle layer Moderate Regionally restricted euxassay_014425_15
TS23: ventral grey horn Moderate Regionally restricted euxassay_014425_15
TS23: midbrain mantle layer Moderate Regionally restricted euxassay_014425_15
TS23: midbrain-hindbrain junction Present euxassay_014425_15

Specimen euxassay_014425_16: embryonic day 14.5 (more )
Structure Level Pattern Image Note
TS23: pons mantle layer Strong Regionally restricted euxassay_014425_16

Specimen euxassay_014425_17: embryonic day 14.5 (more )
Structure Level Pattern Image Note
TS23: telencephalon mantle layer Strong Regionally restricted euxassay_014425_17
TS23: pons mantle layer Strong Regionally restricted euxassay_014425_17
TS23: cerebral cortex mantle layer Weak Regionally restricted euxassay_014425_17

Specimen euxassay_014425_18: embryonic day 14.5 (more )
Structure Level Pattern Image Note
TS23: telencephalon mantle layer Strong Regionally restricted euxassay_014425_18
TS23: pons mantle layer Strong Regionally restricted euxassay_014425_18
TS23: cerebral cortex mantle layer Moderate Regionally restricted euxassay_014425_18

Specimen euxassay_014425_19: embryonic day 14.5 (more )
Structure Level Pattern Image Note
TS23: telencephalon mantle layer Strong Regionally restricted euxassay_014425_19
TS23: cerebral cortex mantle layer Moderate Regionally restricted euxassay_014425_19

Specimen euxassay_014425_20: embryonic day 14.5 (more )
Structure Level Pattern Image Note
TS23: telencephalon mantle layer Moderate Regionally restricted euxassay_014425_20
TS23: cerebral cortex mantle layer Moderate Regionally restricted euxassay_014425_20

Specimen euxassay_014425_21: embryonic day 14.5 (more )
Structure Level Pattern Image Note
TS23: telencephalon mantle layer Moderate Regionally restricted euxassay_014425_21
TS23: hindlimb digit 1 metatarsal Weak Regionally restricted euxassay_014425_21
TS23: hindlimb digit 2 metatarsal Weak Regionally restricted euxassay_014425_21
TS23: hindlimb digit 3 metatarsal Weak Regionally restricted euxassay_014425_21
TS23: hindlimb digit 4 metatarsal Weak Regionally restricted euxassay_014425_21
TS23: hindlimb digit 5 metatarsal Weak Regionally restricted euxassay_014425_21
TS23: cerebral cortex mantle layer Moderate Regionally restricted euxassay_014425_21

Specimen euxassay_014425_22: embryonic day 14.5 (more )
Structure Level Pattern Image Note
TS23: hindlimb digit 1 metatarsal Weak Regionally restricted euxassay_014425_22
TS23: hindlimb digit 2 phalanx Weak Regionally restricted euxassay_014425_22
TS23: hindlimb digit 3 phalanx Weak Regionally restricted euxassay_014425_22
TS23: hindlimb digit 5 phalanx Weak Regionally restricted euxassay_014425_22
TS23: hindlimb digit 4 phalanx Weak Regionally restricted euxassay_014425_22
TS23: cerebral cortex mantle layer Moderate Regionally restricted euxassay_014425_22

Specimen euxassay_014425_23: embryonic day 14.5 (more )
Structure Level Pattern Image Note
TS23: hindlimb digit 1 metatarsal Weak Regionally restricted euxassay_014425_23
TS23: hindlimb digit 2 metatarsal Weak Regionally restricted euxassay_014425_23
TS23: hindlimb digit 3 metatarsal Weak Regionally restricted euxassay_014425_23
TS23: hindlimb digit 4 metatarsal Weak Regionally restricted euxassay_014425_23


Contributing Projects:
Mouse Genome Database (MGD), Gene Expression Database (GXD), Mouse Models of Human Cancer database (MMHCdb) (formerly Mouse Tumor Biology (MTB)), Gene Ontology (GO)
Citing These Resources
Funding Information
Warranty Disclaimer, Privacy Notice, Licensing, & Copyright
Send questions and comments to User Support.
last database update
01/06/2026
MGI 6.24
The Jackson Laboratory