About   Help   FAQ
Gene Expression Data
Assay Details
Assay
Reference: J:153498 Diez-Roux G, et al., A high-resolution anatomical atlas of the transcriptome in the mouse embryo. PLoS Biol. 2011;9(1):e1000582
Assay type: RNA in situ
MGI Accession ID: MGI:4825440
Gene symbol: Hp
Gene name: haptoglobin
Probe: IMAGE clone 1924108
Probe preparation: Antisense labelled with digoxigenin RNA
Visualized with: Alkaline phosphatase
Assay notes: Cryosections of fresh frozen material were fixed in 4% paraformaldehyde for 20 min. before further processing. A tyramide-biotin/streptavidin amplification step was included in the in situ hybridization procedure.
Results
Specimen euxassay_000646_01: embryonic day 14.5 (more )
Structure Level Pattern Image Note
TS23: adrenal gland Strong Uniform euxassay_000646_01
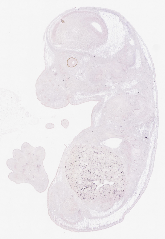
TS23: liver lobe Weak Spotted euxassay_000646_01

Specimen euxassay_000646_02: embryonic day 14.5 (more )
Structure Level Pattern Image Note
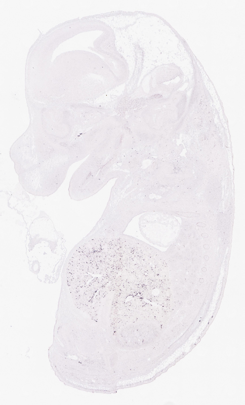
TS23: liver lobe Weak Spotted euxassay_000646_02

Specimen euxassay_000646_03: embryonic day 14.5 (more )
Structure Level Pattern Image Note
TS23: liver lobe Weak Spotted euxassay_000646_03

Specimen euxassay_000646_04: embryonic day 14.5 (more )
Structure Level Pattern Image Note
TS23: liver lobe Weak Spotted euxassay_000646_04

Specimen euxassay_000646_05: embryonic day 14.5 (more )
Structure Level Pattern Image Note
TS23: liver lobe Weak Spotted euxassay_000646_05

Specimen euxassay_000646_06: embryonic day 14.5 (more )
Structure Level Pattern Image Note
TS23: liver lobe Weak Spotted euxassay_000646_06

Specimen euxassay_000646_07: embryonic day 14.5 (more )
Structure Level Pattern Image Note
TS23: liver lobe Weak Spotted euxassay_000646_07

Specimen euxassay_000646_08: embryonic day 14.5 (more )
Structure Level Pattern Image Note
TS23: liver lobe Weak Spotted euxassay_000646_08

Specimen euxassay_000646_09: embryonic day 14.5 (more )
Structure Level Pattern Image Note
TS23: liver lobe Weak Spotted euxassay_000646_09

Specimen euxassay_000646_10: embryonic day 14.5 (more )
Structure Level Pattern Image Note
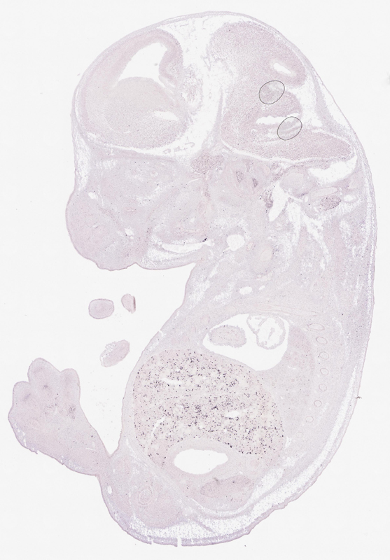
TS23: adrenal gland Strong Uniform euxassay_000646_10
TS23: liver lobe Weak Spotted euxassay_000646_10

Specimen euxassay_000646_11: embryonic day 14.5 (more )
Structure Level Pattern Image Note
TS23: adrenal gland Strong Uniform euxassay_000646_11
TS23: liver lobe Weak Spotted euxassay_000646_11

Specimen euxassay_000646_12: embryonic day 14.5 (more )
Structure Level Pattern Image Note
TS23: adrenal gland Strong Uniform euxassay_000646_12
TS23: liver lobe Weak Spotted euxassay_000646_12

Specimen euxassay_000646_13: embryonic day 14.5 (more )
Structure Level Pattern Image Note
TS23: liver lobe Weak Spotted euxassay_000646_13

Specimen euxassay_000646_14: embryonic day 14.5 (more )
Structure Level Pattern Image Note
TS23: liver lobe Weak Spotted euxassay_000646_14

Specimen euxassay_000646_15: embryonic day 14.5 (more )
Structure Level Pattern Image Note
TS23: liver lobe Weak Spotted euxassay_000646_15

Specimen euxassay_000646_16: embryonic day 14.5 (more )
Structure Level Pattern Image Note
TS23: liver lobe Weak Spotted euxassay_000646_16

Specimen euxassay_000646_17: embryonic day 14.5 (more )
Structure Level Pattern Image Note
TS23: liver lobe Weak Spotted euxassay_000646_17

Specimen euxassay_000646_18: embryonic day 14.5 (more )
Structure Level Pattern Image Note
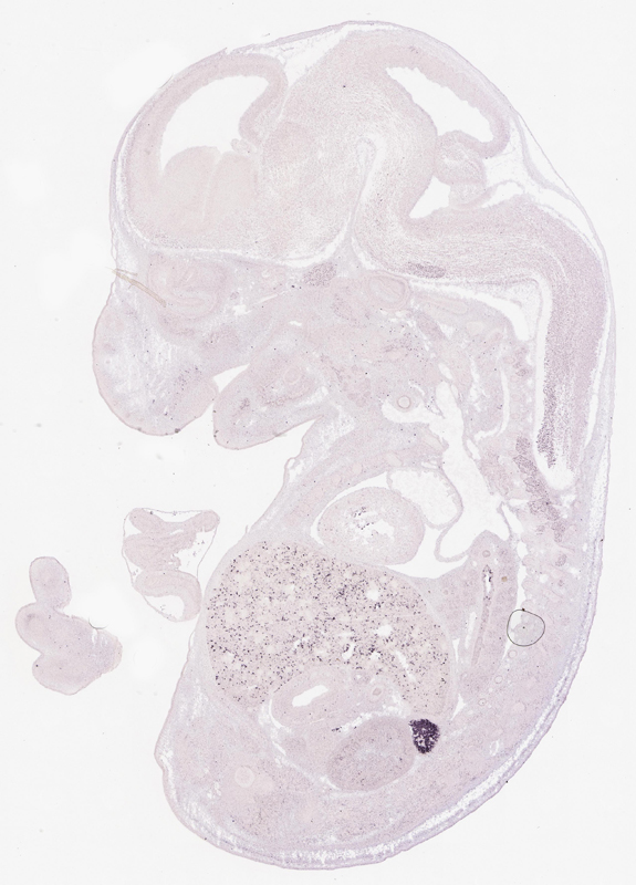
TS23: adrenal gland Strong Uniform euxassay_000646_18
TS23: liver lobe Weak Spotted euxassay_000646_18

Specimen euxassay_000646_19: embryonic day 14.5 (more )
Structure Level Pattern Image Note
TS23: adrenal gland Strong Uniform euxassay_000646_19
TS23: liver lobe Weak Spotted euxassay_000646_19

Specimen euxassay_000646_20: embryonic day 14.5 (more )
Structure Level Pattern Image Note
TS23: liver lobe Weak Spotted euxassay_000646_20

Specimen euxassay_000646_21: embryonic day 14.5 (more )
Structure Level Pattern Image Note
TS23: liver lobe Weak Spotted euxassay_000646_21

Specimen euxassay_000646_22: embryonic day 14.5 (more )
Structure Level Pattern Image Note
TS23: liver lobe Weak Spotted euxassay_000646_22

Specimen euxassay_000646_23: embryonic day 14.5 (more )
Structure Level Pattern Image Note
TS23: liver lobe Weak Spotted euxassay_000646_23

Specimen euxassay_000646_24: embryonic day 14.5 (more )
Structure Level Pattern Image Note
TS23: liver lobe Weak Spotted euxassay_000646_24


Contributing Projects:
Mouse Genome Database (MGD), Gene Expression Database (GXD), Mouse Models of Human Cancer database (MMHCdb) (formerly Mouse Tumor Biology (MTB)), Gene Ontology (GO)
Citing These Resources
Funding Information
Warranty Disclaimer, Privacy Notice, Licensing, & Copyright
Send questions and comments to User Support.
last database update
12/30/2025
MGI 6.24
The Jackson Laboratory