About   Help   FAQ
Gene Expression Data
Assay Details
Assay
Reference: J:153498 Diez-Roux G, et al., A high-resolution anatomical atlas of the transcriptome in the mouse embryo. PLoS Biol. 2011;9(1):e1000582
Assay type: RNA in situ
MGI Accession ID: MGI:4825433
Gene symbol: Hoxd10
Gene name: homeobox D10
Probe: MGC clone 18685
Probe preparation: Antisense labelled with digoxigenin RNA
Visualized with: Alkaline phosphatase
Assay notes: Cryosections of fresh frozen material were fixed in 4% paraformaldehyde for 20 min. before further processing. A tyramide-biotin/streptavidin amplification step was included in the in situ hybridization procedure.
Results
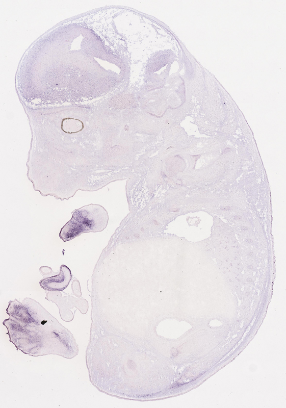
Specimen euxassay_004438_01: embryonic day 14.5 (more )
Structure Level Pattern Image Note
TS23: forelimb Moderate Regionally restricted euxassay_004438_01
TS23: hindlimb Moderate Regionally restricted euxassay_004438_01

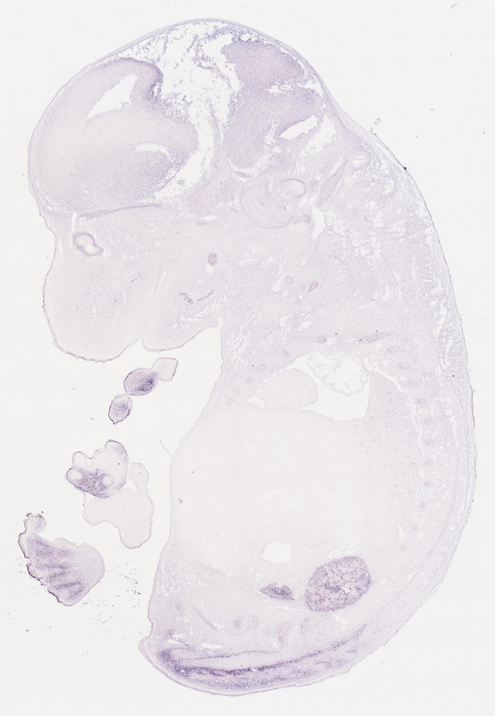
Specimen euxassay_004438_02: embryonic day 14.5 (more )
Structure Level Pattern Image Note
TS23: forelimb Moderate Regionally restricted euxassay_004438_02
TS23: hindlimb Moderate Regionally restricted euxassay_004438_02

Specimen euxassay_004438_03: embryonic day 14.5 (more )
Structure Level Pattern Image Note
TS23: forelimb Moderate Regionally restricted euxassay_004438_03
TS23: hindlimb Moderate Regionally restricted euxassay_004438_03

Specimen euxassay_004438_04: embryonic day 14.5 (more )
Structure Level Pattern Image Note
TS23: forelimb Moderate Regionally restricted euxassay_004438_04
TS23: hindlimb Moderate Regionally restricted euxassay_004438_04

Specimen euxassay_004438_05: embryonic day 14.5 (more )
Structure Level Pattern Image Note
TS23: forelimb Moderate Regionally restricted euxassay_004438_05
TS23: hindlimb Moderate Regionally restricted euxassay_004438_05
TS23: midgut Moderate Regionally restricted euxassay_004438_05

Specimen euxassay_004438_06: embryonic day 14.5 (more )
Structure Level Pattern Image Note
TS23: forelimb Moderate Regionally restricted euxassay_004438_06
TS23: hindlimb Moderate Regionally restricted euxassay_004438_06
TS23: tail Moderate Regionally restricted euxassay_004438_06
TS23: metanephros Moderate Regionally restricted euxassay_004438_06
TS23: midgut Moderate Regionally restricted euxassay_004438_06

Specimen euxassay_004438_07: embryonic day 14.5 (more )
Structure Level Pattern Image Note
TS23: forelimb Moderate Regionally restricted euxassay_004438_07
TS23: hindlimb Moderate Regionally restricted euxassay_004438_07
TS23: tail Moderate Regionally restricted euxassay_004438_07
TS23: metanephros Moderate Regionally restricted euxassay_004438_07
TS23: midgut Moderate Regionally restricted euxassay_004438_07
TS23: ureter Moderate Regionally restricted euxassay_004438_07

Specimen euxassay_004438_08: embryonic day 14.5 (more )
Structure Level Pattern Image Note
TS23: tail Moderate Regionally restricted euxassay_004438_08
TS23: hindlimb Moderate Regionally restricted euxassay_004438_08
TS23: metanephros Moderate Regionally restricted euxassay_004438_08
TS23: midgut Moderate Regionally restricted euxassay_004438_08
TS23: ureter Moderate Regionally restricted euxassay_004438_08

Specimen euxassay_004438_09: embryonic day 14.5 (more )
Structure Level Pattern Image Note
TS23: tail Moderate Regionally restricted euxassay_004438_09
TS23: spinal cord Strong Regionally restricted euxassay_004438_09
TS23: metanephros Moderate Regionally restricted euxassay_004438_09
TS23: midgut Moderate Regionally restricted euxassay_004438_09

Specimen euxassay_004438_10: embryonic day 14.5 (more )
Structure Level Pattern Image Note
TS23: tail Moderate Regionally restricted euxassay_004438_10
TS23: spinal cord Strong Regionally restricted euxassay_004438_10
TS23: metanephros Moderate Regionally restricted euxassay_004438_10

Specimen euxassay_004438_11: embryonic day 14.5 (more )
Structure Level Pattern Image Note
TS23: tail Moderate Regionally restricted euxassay_004438_11
TS23: spinal cord Strong Regionally restricted euxassay_004438_11
TS23: rectum Moderate Regionally restricted euxassay_004438_11

Specimen euxassay_004438_12: embryonic day 14.5 (more )
Structure Level Pattern Image Note
TS23: tail Moderate Regionally restricted euxassay_004438_12
TS23: spinal cord Strong Regionally restricted euxassay_004438_12
TS23: rectum Moderate Regionally restricted euxassay_004438_12
TS23: bladder Moderate Regionally restricted euxassay_004438_12

Specimen euxassay_004438_13: embryonic day 14.5 (more )
Structure Level Pattern Image Note
TS23: tail Moderate Regionally restricted euxassay_004438_13
TS23: spinal cord Strong Regionally restricted euxassay_004438_13

Specimen euxassay_004438_14: embryonic day 14.5 (more )
Structure Level Pattern Image Note
TS23: tail Moderate Regionally restricted euxassay_004438_14
TS23: spinal cord Strong Regionally restricted euxassay_004438_14

Specimen euxassay_004438_15: embryonic day 14.5 (more )
Structure Level Pattern Image Note
TS23: tail Moderate Regionally restricted euxassay_004438_15
TS23: metanephros Moderate Regionally restricted euxassay_004438_15

Specimen euxassay_004438_16: embryonic day 14.5 (more )
Structure Level Pattern Image Note
TS23: tail Moderate Regionally restricted euxassay_004438_16
TS23: metanephros Moderate Regionally restricted euxassay_004438_16

Specimen euxassay_004438_17: embryonic day 14.5 (more )
Structure Level Pattern Image Note
TS23: tail Moderate Regionally restricted euxassay_004438_17
TS23: metanephros Moderate Regionally restricted euxassay_004438_17

Specimen euxassay_004438_18: embryonic day 14.5 (more )
Structure Level Pattern Image Note
TS23: hindlimb Moderate Regionally restricted euxassay_004438_18
TS23: metanephros Moderate Regionally restricted euxassay_004438_18

Specimen euxassay_004438_19: embryonic day 14.5 (more )
Structure Level Pattern Image Note
TS23: hindlimb Moderate Regionally restricted euxassay_004438_19
TS23: metanephros Moderate Regionally restricted euxassay_004438_19

Specimen euxassay_004438_20: embryonic day 14.5 (more )
Structure Level Pattern Image Note
TS23: hindlimb Moderate Regionally restricted euxassay_004438_20

Specimen euxassay_004438_21: embryonic day 14.5 (more )
Structure Level Pattern Image Note
TS23: hindlimb Moderate Regionally restricted euxassay_004438_21

Specimen euxassay_004438_22: embryonic day 14.5 (more )
Structure Level Pattern Image Note
TS23: hindlimb Moderate Regionally restricted euxassay_004438_22

Specimen euxassay_004438_23: embryonic day 14.5 (more )
Structure Level Pattern Image Note
TS23: hindlimb Moderate Regionally restricted euxassay_004438_23
TS23: forelimb Moderate Regionally restricted euxassay_004438_23

Specimen euxassay_004438_24: embryonic day 14.5 (more )
Structure Level Pattern Image Note
TS23: hindlimb Moderate Regionally restricted euxassay_004438_24
TS23: forelimb Moderate Regionally restricted euxassay_004438_24


Contributing Projects:
Mouse Genome Database (MGD), Gene Expression Database (GXD), Mouse Models of Human Cancer database (MMHCdb) (formerly Mouse Tumor Biology (MTB)), Gene Ontology (GO)
Citing These Resources
Funding Information
Warranty Disclaimer, Privacy Notice, Licensing, & Copyright
Send questions and comments to User Support.
last database update
01/20/2026
MGI 6.24
The Jackson Laboratory