About   Help   FAQ
Gene Expression Data
Assay Details
Assay
Reference: J:153498 Diez-Roux G, et al., A high-resolution anatomical atlas of the transcriptome in the mouse embryo. PLoS Biol. 2011;9(1):e1000582
Assay type: RNA in situ
MGI Accession ID: MGI:4825421
Gene symbol: Hoxa7
Gene name: homeobox A7
Probe: IMAGE clone 2331825
Probe preparation: Antisense labelled with digoxigenin RNA
Visualized with: Alkaline phosphatase
Assay notes: Cryosections of fresh frozen material were fixed in 4% paraformaldehyde for 20 min. before further processing. A tyramide-biotin/streptavidin amplification step was included in the in situ hybridization procedure.
Results
Specimen euxassay_007231_01: embryonic day 14.5 (more )
Structure Level Pattern Image Note
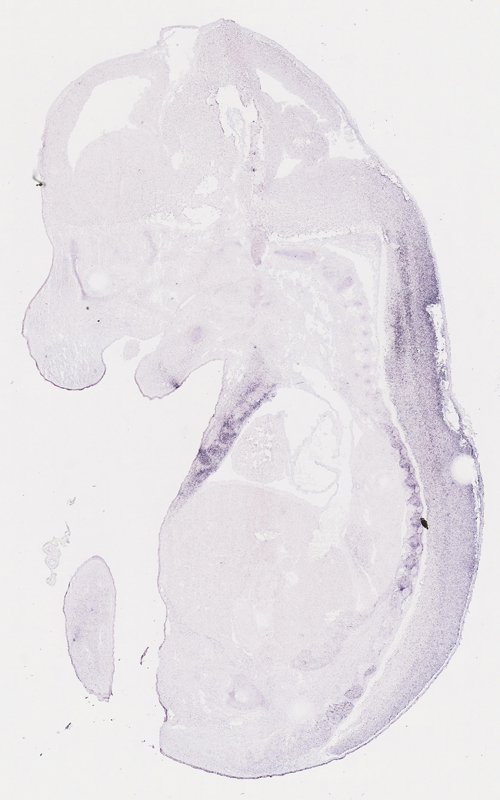
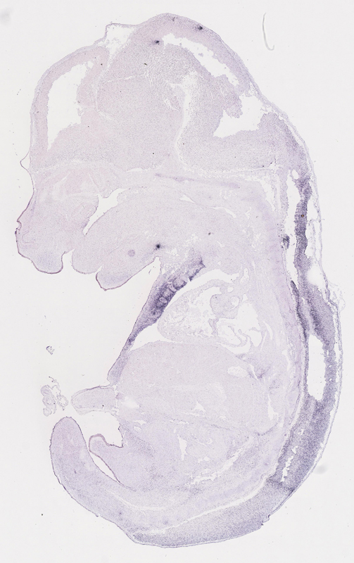
TS23: rib Moderate Regionally restricted euxassay_007231_01

Specimen euxassay_007231_02: embryonic day 14.5 (more )
Structure Level Pattern Image Note
TS23: rib Moderate Regionally restricted euxassay_007231_02

Specimen euxassay_007231_03: embryonic day 14.5 (more )
Structure Level Pattern Image Note
TS23: rib Moderate Regionally restricted euxassay_007231_03

Specimen euxassay_007231_04: embryonic day 14.5 (more )
Structure Level Pattern Image Note
TS23: rib Moderate Regionally restricted euxassay_007231_04

Specimen euxassay_007231_05: embryonic day 14.5 (more )
Structure Level Pattern Image Note
TS23: rib Moderate Regionally restricted euxassay_007231_05

Specimen euxassay_007231_06: embryonic day 14.5 (more )
Structure Level Pattern Image Note
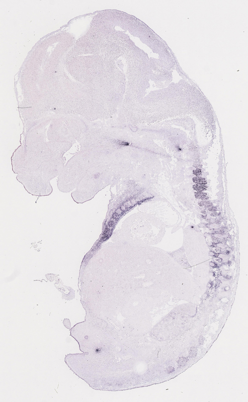
TS23: rib Moderate Regionally restricted euxassay_007231_06
TS23: spinal cord mantle layer Moderate Regionally restricted euxassay_007231_06

Specimen euxassay_007231_07: embryonic day 14.5 (more )
Structure Level Pattern Image Note
TS23: rib Moderate Regionally restricted euxassay_007231_07
TS23: spinal cord mantle layer Moderate Regionally restricted euxassay_007231_07

Specimen euxassay_007231_08: embryonic day 14.5 (more )
Structure Level Pattern Image Note
TS23: rib Moderate Regionally restricted euxassay_007231_08
TS23: spinal cord mantle layer Moderate Regionally restricted euxassay_007231_08

Specimen euxassay_007231_09: embryonic day 14.5 (more )
Structure Level Pattern Image Note
TS23: rib Moderate Regionally restricted euxassay_007231_09
TS23: spinal cord mantle layer Moderate Regionally restricted euxassay_007231_09

Specimen euxassay_007231_10: embryonic day 14.5 (more )
Structure Level Pattern Image Note
TS23: rib Moderate Regionally restricted euxassay_007231_10
TS23: spinal cord mantle layer Moderate Regionally restricted euxassay_007231_10

Specimen euxassay_007231_11: embryonic day 14.5 (more )
Structure Level Pattern Image Note
TS23: rib Moderate Regionally restricted euxassay_007231_11


Contributing Projects:
Mouse Genome Database (MGD), Gene Expression Database (GXD), Mouse Models of Human Cancer database (MMHCdb) (formerly Mouse Tumor Biology (MTB)), Gene Ontology (GO)
Citing These Resources
Funding Information
Warranty Disclaimer, Privacy Notice, Licensing, & Copyright
Send questions and comments to User Support.
last database update
01/28/2026
MGI 6.24
The Jackson Laboratory