About   Help   FAQ
Gene Expression Data
Assay Details
Assay
Reference: J:153498 Diez-Roux G, et al., A high-resolution anatomical atlas of the transcriptome in the mouse embryo. PLoS Biol. 2011;9(1):e1000582
Assay type: RNA in situ
MGI Accession ID: MGI:4825394
Gene symbol: Hmgcs2
Gene name: 3-hydroxy-3-methylglutaryl-Coenzyme A synthase 2
Probe: T31269
Probe preparation: Antisense labelled with digoxigenin RNA
Visualized with: Alkaline phosphatase
Assay notes: Cryosections of fresh frozen material were fixed in 4% paraformaldehyde for 20 min. before further processing. A tyramide-biotin/streptavidin amplification step was included in the in situ hybridization procedure.
Results
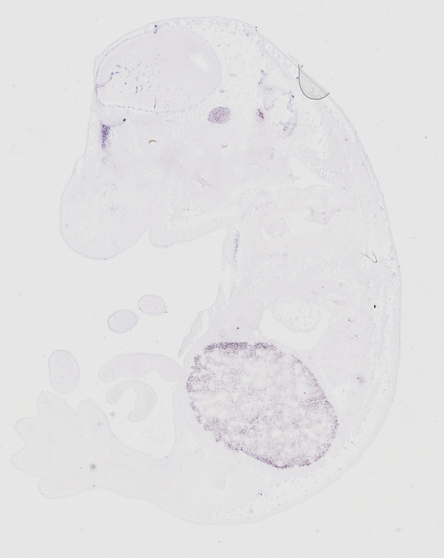
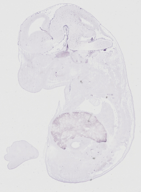
Specimen euxassay_012378_01: embryonic day 14.5 (more )
Structure Level Pattern Image Note
TS23: liver Moderate Regionally restricted euxassay_012378_01
TS23: telencephalon mantle layer Strong Single cells euxassay_012378_01
TS23: telencephalon meninges Moderate Regionally restricted euxassay_012378_01

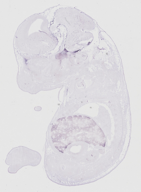
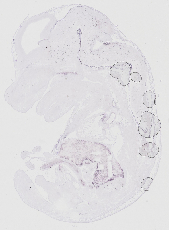
Specimen euxassay_012378_02: embryonic day 14.5 (more )
Structure Level Pattern Image Note
TS23: liver Moderate Regionally restricted euxassay_012378_02
TS23: telencephalon mantle layer Strong Single cells euxassay_012378_02
TS23: telencephalon meninges Moderate Regionally restricted euxassay_012378_02

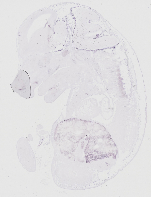
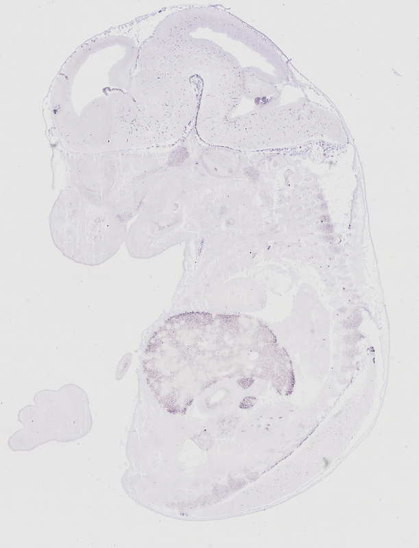
Specimen euxassay_012378_03: embryonic day 14.5 (more )
Structure Level Pattern Image Note
TS23: liver Moderate Regionally restricted euxassay_012378_03
TS23: head mesenchyme Moderate Regionally restricted euxassay_012378_03
TS23: telencephalon mantle layer Strong Single cells euxassay_012378_03
TS23: rest of cerebellum mantle layer Strong Single cells euxassay_012378_03
TS23: pons mantle layer Strong Single cells euxassay_012378_03
TS23: telencephalon meninges Moderate Regionally restricted euxassay_012378_03
TS23: hindbrain meninges Moderate Regionally restricted euxassay_012378_03
TS23: metencephalon part of 4th ventricle choroid plexus Moderate Regionally restricted euxassay_012378_03
TS23: medulla oblongata part of 4th ventricle choroid plexus Moderate Regionally restricted euxassay_012378_03

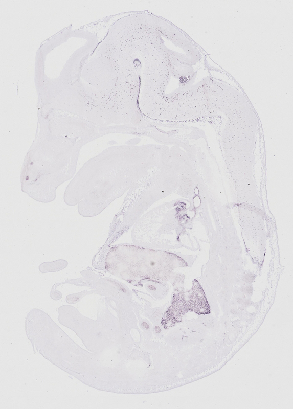
Specimen euxassay_012378_04: embryonic day 14.5 (more )
Structure Level Pattern Image Note
TS23: liver Moderate Regionally restricted euxassay_012378_04
TS23: spleen primordium Strong Regionally restricted euxassay_012378_04
TS23: trigeminal ganglion Moderate Regionally restricted euxassay_012378_04
TS23: facial ganglion Moderate Regionally restricted euxassay_012378_04
TS23: head mesenchyme Moderate Regionally restricted euxassay_012378_04
TS23: telencephalon mantle layer Strong Single cells euxassay_012378_04
TS23: midbrain mantle layer Strong Single cells euxassay_012378_04
TS23: pons mantle layer Strong Single cells euxassay_012378_04
TS23: rest of cerebellum mantle layer Strong Single cells euxassay_012378_04
TS23: telencephalon meninges Moderate Regionally restricted euxassay_012378_04
TS23: hindbrain meninges Moderate Regionally restricted euxassay_012378_04
TS23: midbrain meninges Moderate Regionally restricted euxassay_012378_04
TS23: medulla oblongata part of 4th ventricle choroid plexus Strong Regionally restricted euxassay_012378_04
TS23: metencephalon part of 4th ventricle choroid plexus Strong Regionally restricted euxassay_012378_04

Specimen euxassay_012378_05: embryonic day 14.5 (more )
Structure Level Pattern Image Note
TS23: liver Moderate Regionally restricted euxassay_012378_05
TS23: spleen primordium Strong Regionally restricted euxassay_012378_05
TS23: trigeminal ganglion Moderate Regionally restricted euxassay_012378_05
TS23: vestibulo-cochlear ganglion Moderate Regionally restricted euxassay_012378_05
TS23: head mesenchyme Moderate Regionally restricted euxassay_012378_05
TS23: telencephalon mantle layer Strong Single cells euxassay_012378_05
TS23: midbrain mantle layer Strong Single cells euxassay_012378_05
TS23: rest of cerebellum mantle layer Strong Single cells euxassay_012378_05
TS23: pons mantle layer Strong Single cells euxassay_012378_05
TS23: telencephalon meninges Strong Regionally restricted euxassay_012378_05
TS23: hindbrain meninges Strong Regionally restricted euxassay_012378_05
TS23: midbrain meninges Strong Regionally restricted euxassay_012378_05
TS23: diencephalon meninges Strong Regionally restricted euxassay_012378_05
TS23: metencephalon part of 4th ventricle choroid plexus Strong Regionally restricted euxassay_012378_05
TS23: medulla oblongata part of 4th ventricle choroid plexus Strong Regionally restricted euxassay_012378_05

Specimen euxassay_012378_06: embryonic day 14.5 (more )
Structure Level Pattern Image Note
TS23: liver Moderate Regionally restricted euxassay_012378_06
TS23: renal calyx Moderate Regionally restricted euxassay_012378_06
TS23: trigeminal ganglion Moderate Regionally restricted euxassay_012378_06
TS23: vestibulo-cochlear ganglion Moderate Regionally restricted euxassay_012378_06
TS23: head mesenchyme Moderate Regionally restricted euxassay_012378_06
TS23: trunk mesenchyme Moderate Regionally restricted euxassay_012378_06
TS23: telencephalon mantle layer Strong Single cells euxassay_012378_06
TS23: midbrain mantle layer Strong Single cells euxassay_012378_06
TS23: diencephalon lateral wall mantle layer Strong Single cells euxassay_012378_06
TS23: medulla oblongata alar plate mantle layer Strong Single cells euxassay_012378_06
TS23: medulla oblongata basal plate mantle layer Strong Single cells euxassay_012378_06
TS23: rest of cerebellum mantle layer Strong Single cells euxassay_012378_06
TS23: pons mantle layer Strong Single cells euxassay_012378_06
TS23: diencephalon meninges Strong Regionally restricted euxassay_012378_06
TS23: telencephalon meninges Strong Regionally restricted euxassay_012378_06
TS23: hindbrain meninges Strong Regionally restricted euxassay_012378_06
TS23: midbrain meninges Strong Regionally restricted euxassay_012378_06
TS23: choroid invagination Strong Regionally restricted euxassay_012378_06
TS23: medulla oblongata part of 4th ventricle choroid plexus Strong Regionally restricted euxassay_012378_06
TS23: metencephalon part of 4th ventricle choroid plexus Strong Regionally restricted euxassay_012378_06

Specimen euxassay_012378_07: embryonic day 14.5 (more )
Structure Level Pattern Image Note
TS23: liver Moderate Regionally restricted euxassay_012378_07
TS23: renal calyx Moderate Regionally restricted euxassay_012378_07
TS23: dorsal root ganglion Weak Regionally restricted euxassay_012378_07
TS23: trigeminal ganglion Moderate Regionally restricted euxassay_012378_07
TS23: vestibulo-cochlear ganglion Moderate Regionally restricted euxassay_012378_07
TS23: glossopharyngeal ganglion Moderate Regionally restricted euxassay_012378_07
TS23: trunk mesenchyme Moderate Regionally restricted euxassay_012378_07
TS23: diencephalon lateral wall mantle layer Strong Single cells euxassay_012378_07
TS23: telencephalon mantle layer Strong Single cells euxassay_012378_07
TS23: midbrain mantle layer Strong Single cells euxassay_012378_07
TS23: medulla oblongata alar plate mantle layer Strong Single cells euxassay_012378_07
TS23: medulla oblongata basal plate mantle layer Strong Single cells euxassay_012378_07
TS23: rest of cerebellum mantle layer Strong Single cells euxassay_012378_07
TS23: pons mantle layer Strong Single cells euxassay_012378_07
TS23: diencephalon meninges Strong Regionally restricted euxassay_012378_07
TS23: telencephalon meninges Strong Regionally restricted euxassay_012378_07
TS23: hindbrain meninges Strong Regionally restricted euxassay_012378_07
TS23: midbrain meninges Strong Regionally restricted euxassay_012378_07
TS23: choroid invagination Strong Regionally restricted euxassay_012378_07
TS23: medulla oblongata part of 4th ventricle choroid plexus Strong Regionally restricted euxassay_012378_07
TS23: metencephalon part of 4th ventricle choroid plexus Strong Regionally restricted euxassay_012378_07

Specimen euxassay_012378_08: embryonic day 14.5 (more )
Structure Level Pattern Image Note
TS23: liver Moderate Regionally restricted euxassay_012378_08
TS23: renal calyx Moderate Regionally restricted euxassay_012378_08
TS23: dorsal root ganglion Weak Regionally restricted euxassay_012378_08
TS23: trigeminal ganglion Moderate Regionally restricted euxassay_012378_08
TS23: glossopharyngeal ganglion Moderate Regionally restricted euxassay_012378_08
TS23: trunk mesenchyme Moderate Regionally restricted euxassay_012378_08
TS23: diencephalon lateral wall mantle layer Strong Single cells euxassay_012378_08
TS23: telencephalon mantle layer Strong Single cells euxassay_012378_08
TS23: midbrain mantle layer Strong Single cells euxassay_012378_08
TS23: medulla oblongata alar plate mantle layer Strong Single cells euxassay_012378_08
TS23: medulla oblongata basal plate mantle layer Strong Single cells euxassay_012378_08
TS23: rest of cerebellum mantle layer Strong Single cells euxassay_012378_08
TS23: pons mantle layer Strong Single cells euxassay_012378_08
TS23: spinal cord mantle layer Strong Single cells euxassay_012378_08
TS23: diencephalon meninges Strong Regionally restricted euxassay_012378_08
TS23: telencephalon meninges Strong Regionally restricted euxassay_012378_08
TS23: hindbrain meninges Strong Regionally restricted euxassay_012378_08
TS23: midbrain meninges Strong Regionally restricted euxassay_012378_08
TS23: choroid invagination Strong Regionally restricted euxassay_012378_08
TS23: medulla oblongata part of 4th ventricle choroid plexus Strong Regionally restricted euxassay_012378_08
TS23: metencephalon part of 4th ventricle choroid plexus Strong Regionally restricted euxassay_012378_08

Specimen euxassay_012378_09: embryonic day 14.5 (more )
Structure Level Pattern Image Note
TS23: liver Moderate Regionally restricted euxassay_012378_09
TS23: renal calyx Moderate Regionally restricted euxassay_012378_09
TS23: dorsal root ganglion Weak Regionally restricted euxassay_012378_09
TS23: trigeminal ganglion Moderate Regionally restricted euxassay_012378_09
TS23: trigeminal nerve Moderate Regionally restricted euxassay_012378_09
TS23: vagus ganglion Moderate Regionally restricted euxassay_012378_09
TS23: diencephalon lateral wall mantle layer Strong Single cells euxassay_012378_09
TS23: telencephalon mantle layer Strong Single cells euxassay_012378_09
TS23: midbrain mantle layer Strong Single cells euxassay_012378_09
TS23: medulla oblongata alar plate mantle layer Strong Single cells euxassay_012378_09
TS23: medulla oblongata basal plate mantle layer Strong Single cells euxassay_012378_09
TS23: rest of cerebellum mantle layer Strong Single cells euxassay_012378_09
TS23: pons mantle layer Strong Single cells euxassay_012378_09
TS23: spinal cord mantle layer Strong Single cells euxassay_012378_09
TS23: diencephalon meninges Strong Regionally restricted euxassay_012378_09
TS23: telencephalon meninges Strong Regionally restricted euxassay_012378_09
TS23: hindbrain meninges Strong Regionally restricted euxassay_012378_09
TS23: midbrain meninges Strong Regionally restricted euxassay_012378_09
TS23: spinal cord meninges Strong Regionally restricted euxassay_012378_09
TS23: choroid invagination Strong Regionally restricted euxassay_012378_09
TS23: metencephalon part of 4th ventricle choroid plexus Strong Regionally restricted euxassay_012378_09
TS23: medulla oblongata part of 4th ventricle choroid plexus Strong Regionally restricted euxassay_012378_09

Specimen euxassay_012378_10: embryonic day 14.5 (more )
Structure Level Pattern Image Note
TS23: liver Moderate Regionally restricted euxassay_012378_10
TS23: dorsal root ganglion Weak Regionally restricted euxassay_012378_10
TS23: head mesenchyme Moderate Regionally restricted euxassay_012378_10
TS23: diencephalon lateral wall mantle layer Strong Single cells euxassay_012378_10
TS23: telencephalon mantle layer Strong Single cells euxassay_012378_10
TS23: midbrain mantle layer Strong Single cells euxassay_012378_10
TS23: medulla oblongata alar plate mantle layer Strong Single cells euxassay_012378_10
TS23: medulla oblongata basal plate mantle layer Strong Single cells euxassay_012378_10
TS23: rest of cerebellum mantle layer Strong Single cells euxassay_012378_10
TS23: pons mantle layer Strong Single cells euxassay_012378_10
TS23: spinal cord mantle layer Strong Single cells euxassay_012378_10
TS23: diencephalon meninges Strong Regionally restricted euxassay_012378_10
TS23: telencephalon meninges Strong Regionally restricted euxassay_012378_10
TS23: hindbrain meninges Strong Regionally restricted euxassay_012378_10
TS23: midbrain meninges Strong Regionally restricted euxassay_012378_10
TS23: spinal cord meninges Strong Regionally restricted euxassay_012378_10
TS23: medulla oblongata part of 4th ventricle choroid plexus Strong Regionally restricted euxassay_012378_10
TS23: metencephalon part of 4th ventricle choroid plexus Strong Regionally restricted euxassay_012378_10
TS23: choroid invagination Strong Regionally restricted euxassay_012378_10

Specimen euxassay_012378_11: embryonic day 14.5 (more )
Structure Level Pattern Image Note
TS23: liver Moderate Regionally restricted euxassay_012378_11
TS23: head mesenchyme Moderate Regionally restricted euxassay_012378_11
TS23: aorta Moderate Regionally restricted euxassay_012378_11
TS23: diencephalon lateral wall mantle layer Strong Single cells euxassay_012378_11
TS23: telencephalon mantle layer Strong Single cells euxassay_012378_11
TS23: midbrain mantle layer Strong Single cells euxassay_012378_11
TS23: medulla oblongata alar plate mantle layer Strong Single cells euxassay_012378_11
TS23: medulla oblongata basal plate mantle layer Strong Single cells euxassay_012378_11
TS23: rest of cerebellum mantle layer Strong Single cells euxassay_012378_11
TS23: pons mantle layer Strong Single cells euxassay_012378_11
TS23: spinal cord mantle layer Strong Single cells euxassay_012378_11
TS23: diencephalon meninges Strong Regionally restricted euxassay_012378_11
TS23: telencephalon meninges Strong Regionally restricted euxassay_012378_11
TS23: hindbrain meninges Strong Regionally restricted euxassay_012378_11
TS23: midbrain meninges Strong Regionally restricted euxassay_012378_11
TS23: spinal cord meninges Strong Regionally restricted euxassay_012378_11
TS23: medulla oblongata part of 4th ventricle choroid plexus Strong Regionally restricted euxassay_012378_11
TS23: metencephalon part of 4th ventricle choroid plexus Strong Regionally restricted euxassay_012378_11

Specimen euxassay_012378_12: embryonic day 14.5 (more )
Structure Level Pattern Image Note
TS23: liver Moderate Regionally restricted euxassay_012378_12
TS23: head mesenchyme Moderate Regionally restricted euxassay_012378_12
TS23: heart valve Strong Regionally restricted euxassay_012378_12
TS23: aorta Moderate Regionally restricted euxassay_012378_12
TS23: diencephalon lateral wall mantle layer Strong Single cells euxassay_012378_12
TS23: telencephalon mantle layer Strong Single cells euxassay_012378_12
TS23: midbrain mantle layer Strong Single cells euxassay_012378_12
TS23: medulla oblongata alar plate mantle layer Strong Single cells euxassay_012378_12
TS23: medulla oblongata basal plate mantle layer Strong Single cells euxassay_012378_12
TS23: rest of cerebellum mantle layer Strong Single cells euxassay_012378_12
TS23: pons mantle layer Strong Single cells euxassay_012378_12
TS23: spinal cord mantle layer Strong Single cells euxassay_012378_12
TS23: diencephalon meninges Strong Regionally restricted euxassay_012378_12
TS23: telencephalon meninges Strong Regionally restricted euxassay_012378_12
TS23: hindbrain meninges Strong Regionally restricted euxassay_012378_12
TS23: midbrain meninges Strong Regionally restricted euxassay_012378_12
TS23: spinal cord meninges Strong Regionally restricted euxassay_012378_12
TS23: medulla oblongata part of 4th ventricle choroid plexus Strong Regionally restricted euxassay_012378_12
TS23: metencephalon part of 4th ventricle choroid plexus Strong Regionally restricted euxassay_012378_12

Specimen euxassay_012378_13: embryonic day 14.5 (more )
Structure Level Pattern Image Note
TS23: liver Moderate Regionally restricted euxassay_012378_13
TS23: head mesenchyme Moderate Regionally restricted euxassay_012378_13
TS23: heart valve Strong Regionally restricted euxassay_012378_13
TS23: aorta Moderate Regionally restricted euxassay_012378_13
TS23: diencephalon lateral wall mantle layer Strong Single cells euxassay_012378_13
TS23: telencephalon mantle layer Strong Single cells euxassay_012378_13
TS23: midbrain mantle layer Strong Single cells euxassay_012378_13
TS23: medulla oblongata basal plate mantle layer Strong Single cells euxassay_012378_13
TS23: medulla oblongata alar plate mantle layer Strong Single cells euxassay_012378_13
TS23: rest of cerebellum mantle layer Strong Single cells euxassay_012378_13
TS23: pons mantle layer Strong Single cells euxassay_012378_13
TS23: spinal cord mantle layer Strong Single cells euxassay_012378_13
TS23: diencephalon meninges Strong Regionally restricted euxassay_012378_13
TS23: telencephalon meninges Strong Regionally restricted euxassay_012378_13
TS23: hindbrain meninges Strong Regionally restricted euxassay_012378_13
TS23: midbrain meninges Strong Regionally restricted euxassay_012378_13
TS23: spinal cord meninges Strong Regionally restricted euxassay_012378_13
TS23: metencephalon part of 4th ventricle choroid plexus Strong Regionally restricted euxassay_012378_13
TS23: medulla oblongata part of 4th ventricle choroid plexus Strong Regionally restricted euxassay_012378_13

Specimen euxassay_012378_14: embryonic day 14.5 (more )
Structure Level Pattern Image Note
TS23: liver Moderate Regionally restricted euxassay_012378_14
TS23: dorsal root ganglion Weak Regionally restricted euxassay_012378_14
TS23: head mesenchyme Moderate Regionally restricted euxassay_012378_14
TS23: trunk mesenchyme Moderate Regionally restricted euxassay_012378_14
TS23: heart valve Strong Regionally restricted euxassay_012378_14
TS23: aorta Moderate Regionally restricted euxassay_012378_14
TS23: diencephalon lateral wall mantle layer Strong Single cells euxassay_012378_14
TS23: telencephalon mantle layer Strong Single cells euxassay_012378_14
TS23: midbrain mantle layer Strong Single cells euxassay_012378_14
TS23: medulla oblongata alar plate mantle layer Strong Single cells euxassay_012378_14
TS23: rest of cerebellum mantle layer Strong Single cells euxassay_012378_14
TS23: pons mantle layer Strong Single cells euxassay_012378_14
TS23: medulla oblongata basal plate mantle layer Strong Single cells euxassay_012378_14
TS23: spinal cord mantle layer Strong Single cells euxassay_012378_14
TS23: diencephalon meninges Strong Regionally restricted euxassay_012378_14
TS23: telencephalon meninges Strong Regionally restricted euxassay_012378_14
TS23: hindbrain meninges Strong Regionally restricted euxassay_012378_14
TS23: midbrain meninges Strong Regionally restricted euxassay_012378_14
TS23: spinal cord meninges Strong Regionally restricted euxassay_012378_14
TS23: medulla oblongata part of 4th ventricle choroid plexus Strong Regionally restricted euxassay_012378_14
TS23: metencephalon part of 4th ventricle choroid plexus Strong Regionally restricted euxassay_012378_14

Specimen euxassay_012378_15: embryonic day 14.5 (more )
Structure Level Pattern Image Note
TS23: liver Moderate Regionally restricted euxassay_012378_15
TS23: dorsal root ganglion Weak Regionally restricted euxassay_012378_15
TS23: heart valve Strong Regionally restricted euxassay_012378_15
TS23: aorta Moderate Regionally restricted euxassay_012378_15
TS23: diencephalon lateral wall mantle layer Strong Single cells euxassay_012378_15
TS23: telencephalon mantle layer Strong Single cells euxassay_012378_15
TS23: midbrain mantle layer Strong Single cells euxassay_012378_15
TS23: medulla oblongata alar plate mantle layer Strong Single cells euxassay_012378_15
TS23: medulla oblongata basal plate mantle layer Strong Single cells euxassay_012378_15
TS23: rest of cerebellum mantle layer Strong Single cells euxassay_012378_15
TS23: pons mantle layer Strong Single cells euxassay_012378_15
TS23: spinal cord mantle layer Strong Single cells euxassay_012378_15
TS23: diencephalon meninges Strong Regionally restricted euxassay_012378_15
TS23: telencephalon meninges Strong Regionally restricted euxassay_012378_15
TS23: hindbrain meninges Strong Regionally restricted euxassay_012378_15
TS23: midbrain meninges Strong Regionally restricted euxassay_012378_15
TS23: spinal cord meninges Strong Regionally restricted euxassay_012378_15
TS23: medulla oblongata part of 4th ventricle choroid plexus Strong Regionally restricted euxassay_012378_15
TS23: metencephalon part of 4th ventricle choroid plexus Strong Regionally restricted euxassay_012378_15

Specimen euxassay_012378_16: embryonic day 14.5 (more )
Structure Level Pattern Image Note
TS23: liver Moderate Regionally restricted euxassay_012378_16
TS23: renal calyx Moderate Regionally restricted euxassay_012378_16
TS23: dorsal root ganglion Weak Regionally restricted euxassay_012378_16
TS23: head mesenchyme Moderate Regionally restricted euxassay_012378_16
TS23: heart valve Strong Regionally restricted euxassay_012378_16
TS23: aorta Moderate Regionally restricted euxassay_012378_16
TS23: diencephalon lateral wall mantle layer Strong Single cells euxassay_012378_16
TS23: telencephalon mantle layer Strong Single cells euxassay_012378_16
TS23: midbrain mantle layer Strong Single cells euxassay_012378_16
TS23: medulla oblongata alar plate mantle layer Strong Single cells euxassay_012378_16
TS23: medulla oblongata basal plate mantle layer Strong Single cells euxassay_012378_16
TS23: rest of cerebellum mantle layer Strong Single cells euxassay_012378_16
TS23: pons mantle layer Strong Single cells euxassay_012378_16
TS23: spinal cord mantle layer Strong Single cells euxassay_012378_16
TS23: diencephalon meninges Strong Regionally restricted euxassay_012378_16
TS23: telencephalon meninges Strong Regionally restricted euxassay_012378_16
TS23: hindbrain meninges Strong Regionally restricted euxassay_012378_16
TS23: midbrain meninges Strong Regionally restricted euxassay_012378_16
TS23: spinal cord meninges Strong Regionally restricted euxassay_012378_16
TS23: choroid invagination Strong Regionally restricted euxassay_012378_16
TS23: medulla oblongata part of 4th ventricle choroid plexus Strong Regionally restricted euxassay_012378_16
TS23: metencephalon part of 4th ventricle choroid plexus Strong Regionally restricted euxassay_012378_16

Specimen euxassay_012378_17: embryonic day 14.5 (more )
Structure Level Pattern Image Note
TS23: liver Moderate Regionally restricted euxassay_012378_17
TS23: renal calyx Moderate Regionally restricted euxassay_012378_17
TS23: dorsal root ganglion Weak Regionally restricted euxassay_012378_17
TS23: head mesenchyme Moderate Regionally restricted euxassay_012378_17
TS23: aorta Moderate Regionally restricted euxassay_012378_17
TS23: diencephalon lateral wall mantle layer Strong Single cells euxassay_012378_17
TS23: telencephalon mantle layer Strong Single cells euxassay_012378_17
TS23: midbrain mantle layer Strong Single cells euxassay_012378_17
TS23: medulla oblongata alar plate mantle layer Strong Single cells euxassay_012378_17
TS23: medulla oblongata basal plate mantle layer Strong Single cells euxassay_012378_17
TS23: rest of cerebellum mantle layer Strong Single cells euxassay_012378_17
TS23: pons mantle layer Strong Single cells euxassay_012378_17
TS23: diencephalon meninges Strong Regionally restricted euxassay_012378_17
TS23: telencephalon meninges Strong Regionally restricted euxassay_012378_17
TS23: hindbrain meninges Strong Regionally restricted euxassay_012378_17
TS23: midbrain meninges Strong Regionally restricted euxassay_012378_17
TS23: spinal cord meninges Strong Regionally restricted euxassay_012378_17
TS23: choroid invagination Strong Regionally restricted euxassay_012378_17
TS23: medulla oblongata part of 4th ventricle choroid plexus Strong Regionally restricted euxassay_012378_17
TS23: metencephalon part of 4th ventricle choroid plexus Strong Regionally restricted euxassay_012378_17

Specimen euxassay_012378_18: embryonic day 14.5 (more )
Structure Level Pattern Image Note
TS23: liver Moderate Regionally restricted euxassay_012378_18
TS23: renal calyx Moderate Regionally restricted euxassay_012378_18
TS23: dorsal root ganglion Weak Regionally restricted euxassay_012378_18
TS23: trigeminal ganglion Moderate Regionally restricted euxassay_012378_18
TS23: head mesenchyme Moderate Regionally restricted euxassay_012378_18
TS23: diencephalon lateral wall mantle layer Strong Single cells euxassay_012378_18
TS23: telencephalon mantle layer Strong Single cells euxassay_012378_18
TS23: midbrain mantle layer Strong Single cells euxassay_012378_18
TS23: rest of cerebellum mantle layer Strong Single cells euxassay_012378_18
TS23: pons mantle layer Strong Single cells euxassay_012378_18
TS23: medulla oblongata alar plate mantle layer Strong Single cells euxassay_012378_18
TS23: medulla oblongata basal plate mantle layer Strong Single cells euxassay_012378_18
TS23: diencephalon meninges Strong Regionally restricted euxassay_012378_18
TS23: telencephalon meninges Strong Regionally restricted euxassay_012378_18
TS23: hindbrain meninges Strong Regionally restricted euxassay_012378_18
TS23: midbrain meninges Strong Regionally restricted euxassay_012378_18
TS23: medulla oblongata part of 4th ventricle choroid plexus Strong Regionally restricted euxassay_012378_18
TS23: metencephalon part of 4th ventricle choroid plexus Strong Regionally restricted euxassay_012378_18
TS23: choroid invagination Strong Regionally restricted euxassay_012378_18

Specimen euxassay_012378_19: embryonic day 14.5 (more )
Structure Level Pattern Image Note
TS23: liver Moderate Regionally restricted euxassay_012378_19
TS23: trigeminal ganglion Moderate Regionally restricted euxassay_012378_19
TS23: vestibulo-cochlear ganglion Moderate Regionally restricted euxassay_012378_19
TS23: glossopharyngeal ganglion Moderate Regionally restricted euxassay_012378_19
TS23: head mesenchyme Moderate Regionally restricted euxassay_012378_19
TS23: trunk mesenchyme Moderate Regionally restricted euxassay_012378_19
TS23: telencephalon mantle layer Strong Single cells euxassay_012378_19
TS23: rest of cerebellum mantle layer Strong Single cells euxassay_012378_19
TS23: pons mantle layer Strong Single cells euxassay_012378_19
TS23: diencephalon meninges Strong Regionally restricted euxassay_012378_19
TS23: telencephalon meninges Strong Regionally restricted euxassay_012378_19
TS23: hindbrain meninges Strong Regionally restricted euxassay_012378_19
TS23: midbrain meninges Strong Regionally restricted euxassay_012378_19
TS23: medulla oblongata part of 4th ventricle choroid plexus Strong Regionally restricted euxassay_012378_19
TS23: metencephalon part of 4th ventricle choroid plexus Strong Regionally restricted euxassay_012378_19

Specimen euxassay_012378_20: embryonic day 14.5 (more )
Structure Level Pattern Image Note
TS23: liver Moderate Regionally restricted euxassay_012378_20
TS23: trigeminal ganglion Moderate Regionally restricted euxassay_012378_20
TS23: vestibulo-cochlear ganglion Moderate Regionally restricted euxassay_012378_20
TS23: head mesenchyme Moderate Regionally restricted euxassay_012378_20
TS23: trunk mesenchyme Moderate Regionally restricted euxassay_012378_20
TS23: telencephalon mantle layer Strong Single cells euxassay_012378_20
TS23: telencephalon meninges Strong Regionally restricted euxassay_012378_20
TS23: hindbrain meninges Strong Regionally restricted euxassay_012378_20

Specimen euxassay_012378_21: embryonic day 14.5 (more )
Structure Level Pattern Image Note
TS23: liver Moderate Regionally restricted euxassay_012378_21
TS23: trigeminal ganglion Moderate Regionally restricted euxassay_012378_21
TS23: head mesenchyme Moderate Regionally restricted euxassay_012378_21
TS23: trunk mesenchyme Moderate Regionally restricted euxassay_012378_21
TS23: telencephalon mantle layer Strong Single cells euxassay_012378_21
TS23: telencephalon meninges Moderate Regionally restricted euxassay_012378_21

Specimen euxassay_012378_22: embryonic day 14.5 (more )
Structure Level Pattern Image Note
TS23: liver Moderate Regionally restricted euxassay_012378_22
TS23: head mesenchyme Moderate Regionally restricted euxassay_012378_22
TS23: trunk mesenchyme Moderate Regionally restricted euxassay_012378_22
TS23: telencephalon mantle layer Strong Single cells euxassay_012378_22
TS23: telencephalon meninges Moderate Regionally restricted euxassay_012378_22


Contributing Projects:
Mouse Genome Database (MGD), Gene Expression Database (GXD), Mouse Models of Human Cancer database (MMHCdb) (formerly Mouse Tumor Biology (MTB)), Gene Ontology (GO)
Citing These Resources
Funding Information
Warranty Disclaimer, Privacy Notice, Licensing, & Copyright
Send questions and comments to User Support.
last database update
12/30/2025
MGI 6.24
The Jackson Laboratory