About   Help   FAQ
Gene Expression Data
Assay Details
Assay
Reference: J:153498 Diez-Roux G, et al., A high-resolution anatomical atlas of the transcriptome in the mouse embryo. PLoS Biol. 2011;9(1):e1000582
Assay type: RNA in situ
MGI Accession ID: MGI:4825383
Gene symbol: Hkdc1
Gene name: hexokinase domain containing 1
Probe: MGC clone 28816
Probe preparation: Antisense labelled with digoxigenin RNA
Visualized with: Alkaline phosphatase
Assay notes: Cryosections of fresh frozen material were fixed in 4% paraformaldehyde for 20 min. before further processing. A tyramide-biotin/streptavidin amplification step was included in the in situ hybridization procedure.
Results
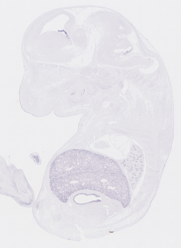
Specimen euxassay_001128_01: embryonic day 14.5 (more )
Note: Additional information for this specimen was included in the Eurexpress data submission file.
Structure Level Pattern Image Note
TS23: liver lobe Moderate Uniform euxassay_001128_01
TS23: limb Moderate Regionally restricted euxassay_001128_01
TS23: limb musculature Present euxassay_001128_01

Specimen euxassay_001128_02: embryonic day 14.5 (more )
Note: Additional information for this specimen was included in the Eurexpress data submission file.
Structure Level Pattern Image Note
TS23: liver lobe Moderate Uniform euxassay_001128_02
TS23: limb Moderate Regionally restricted euxassay_001128_02
TS23: limb musculature Present euxassay_001128_02
TS23: neural retina Weak Regionally restricted euxassay_001128_02

Specimen euxassay_001128_03: embryonic day 14.5 (more )
Note: Additional information for this specimen was included in the Eurexpress data submission file.
Structure Level Pattern Image Note
TS23: liver lobe Moderate Uniform euxassay_001128_03
TS23: stomach Weak Uniform euxassay_001128_03
TS23: limb Moderate Regionally restricted euxassay_001128_03
TS23: limb musculature Present euxassay_001128_03
TS23: neural retina Weak Regionally restricted euxassay_001128_03

Specimen euxassay_001128_04: embryonic day 14.5 (more )
Note: Additional information for this specimen was included in the Eurexpress data submission file.
Structure Level Pattern Image Note
TS23: liver lobe Moderate Uniform euxassay_001128_04
TS23: stomach Weak Uniform euxassay_001128_04
TS23: 4th ventricle Weak Regionally restricted euxassay_001128_04
TS23: choroid plexus Present euxassay_001128_04
TS23: limb Moderate Regionally restricted euxassay_001128_04
TS23: limb musculature Present euxassay_001128_04
TS23: neural retina Weak Regionally restricted euxassay_001128_04

Specimen euxassay_001128_05: embryonic day 14.5 (more )
Note: Additional information for this specimen was included in the Eurexpress data submission file.
Structure Level Pattern Image Note
TS23: liver lobe Moderate Uniform euxassay_001128_05
TS23: stomach Weak Uniform euxassay_001128_05
TS23: 4th ventricle Weak Regionally restricted euxassay_001128_05
TS23: choroid plexus Present euxassay_001128_05
TS23: limb Moderate Regionally restricted euxassay_001128_05
TS23: limb musculature Present euxassay_001128_05
TS23: neural retina Weak Regionally restricted euxassay_001128_05

Specimen euxassay_001128_06: embryonic day 14.5 (more )
Note: Additional information for this specimen was included in the Eurexpress data submission file.
Structure Level Pattern Image Note
TS23: liver lobe Moderate Uniform euxassay_001128_06
TS23: stomach Weak Uniform euxassay_001128_06
TS23: 4th ventricle Weak Regionally restricted euxassay_001128_06
TS23: choroid plexus Present euxassay_001128_06
TS23: limb Moderate Regionally restricted euxassay_001128_06
TS23: limb musculature Present euxassay_001128_06

Specimen euxassay_001128_07: embryonic day 14.5 (more )
Note: Additional information for this specimen was included in the Eurexpress data submission file.
Structure Level Pattern Image Note
TS23: liver lobe Moderate Uniform euxassay_001128_07
TS23: stomach Weak Uniform euxassay_001128_07
TS23: 4th ventricle Weak Regionally restricted euxassay_001128_07
TS23: choroid plexus Present euxassay_001128_07
TS23: lateral ventricle choroid plexus Weak Regionally restricted euxassay_001128_07
TS23: limb Weak Regionally restricted euxassay_001128_07
TS23: limb musculature Present euxassay_001128_07

Specimen euxassay_001128_08: embryonic day 14.5 (more )
Note: Additional information for this specimen was included in the Eurexpress data submission file.
Structure Level Pattern Image Note
TS23: liver lobe Moderate Uniform euxassay_001128_08
TS23: stomach Weak Uniform euxassay_001128_08
TS23: midgut Weak Uniform euxassay_001128_08
TS23: 4th ventricle Weak Regionally restricted euxassay_001128_08
TS23: choroid plexus Present euxassay_001128_08
TS23: lateral ventricle choroid plexus Weak Regionally restricted euxassay_001128_08
TS23: limb Weak Regionally restricted euxassay_001128_08
TS23: limb musculature Present euxassay_001128_08

Specimen euxassay_001128_09: embryonic day 14.5 (more )
Note: Additional information for this specimen was included in the Eurexpress data submission file.
Structure Level Pattern Image Note
TS23: liver lobe Moderate Uniform euxassay_001128_09
TS23: renal calyx Moderate Uniform euxassay_001128_09
TS23: stomach Weak Uniform euxassay_001128_09
TS23: midgut Weak Uniform euxassay_001128_09
TS23: 4th ventricle Weak Regionally restricted euxassay_001128_09
TS23: choroid plexus Present euxassay_001128_09
TS23: lateral ventricle choroid plexus Weak Regionally restricted euxassay_001128_09
TS23: limb Weak Regionally restricted euxassay_001128_09
TS23: limb musculature Present euxassay_001128_09

Specimen euxassay_001128_10: embryonic day 14.5 (more )
Note: Additional information for this specimen was included in the Eurexpress data submission file.
Structure Level Pattern Image Note
TS23: liver lobe Moderate Uniform euxassay_001128_10
TS23: renal calyx Moderate Uniform euxassay_001128_10
TS23: stomach Weak Uniform euxassay_001128_10
TS23: midgut Weak Uniform euxassay_001128_10
TS23: 4th ventricle Weak Regionally restricted euxassay_001128_10
TS23: choroid plexus Present euxassay_001128_10
TS23: lateral ventricle choroid plexus Weak Regionally restricted euxassay_001128_10

Specimen euxassay_001128_11: embryonic day 14.5 (more )
Note: Additional information for this specimen was included in the Eurexpress data submission file.
Structure Level Pattern Image Note
TS23: liver lobe Moderate Uniform euxassay_001128_11
TS23: renal calyx Moderate Uniform euxassay_001128_11
TS23: midgut Weak Uniform euxassay_001128_11
TS23: stomach Weak Uniform euxassay_001128_11
TS23: pancreas Moderate Regionally restricted euxassay_001128_11
TS23: 4th ventricle Weak Regionally restricted euxassay_001128_11
TS23: choroid plexus Present euxassay_001128_11
TS23: lateral ventricle choroid plexus Weak Regionally restricted euxassay_001128_11

Specimen euxassay_001128_12: embryonic day 14.5 (more )
Note: Additional information for this specimen was included in the Eurexpress data submission file.
Structure Level Pattern Image Note
TS23: liver lobe Moderate Uniform euxassay_001128_12
TS23: renal calyx Moderate Uniform euxassay_001128_12
TS23: midgut Weak Uniform euxassay_001128_12
TS23: stomach Weak Uniform euxassay_001128_12
TS23: pancreas Moderate Regionally restricted euxassay_001128_12
TS23: 4th ventricle Weak Regionally restricted euxassay_001128_12
TS23: choroid plexus Present euxassay_001128_12
TS23: lateral ventricle choroid plexus Weak Regionally restricted euxassay_001128_12

Specimen euxassay_001128_13: embryonic day 14.5 (more )
Structure Level Pattern Image Note
TS23: liver lobe Moderate Uniform euxassay_001128_13
TS23: renal calyx Moderate Uniform euxassay_001128_13
TS23: midgut Weak Uniform euxassay_001128_13
TS23: pancreas Moderate Regionally restricted euxassay_001128_13
TS23: pons ventricular layer Weak Regionally restricted euxassay_001128_13

Specimen euxassay_001128_14: embryonic day 14.5 (more )
Structure Level Pattern Image Note
TS23: liver lobe Moderate Uniform euxassay_001128_14
TS23: renal calyx Moderate Uniform euxassay_001128_14
TS23: midgut Weak Uniform euxassay_001128_14
TS23: pancreas Moderate Regionally restricted euxassay_001128_14
TS23: ventral grey horn Moderate Regionally restricted euxassay_001128_14
TS23: pons Moderate Regionally restricted euxassay_001128_14
TS23: midbrain ventricular layer Moderate Regionally restricted euxassay_001128_14

Specimen euxassay_001128_15: embryonic day 14.5 (more )
Note: Additional information for this specimen was included in the Eurexpress data submission file.
Structure Level Pattern Image Note
TS23: liver lobe Moderate Uniform euxassay_001128_15
TS23: midgut Weak Uniform euxassay_001128_15
TS23: ventral grey horn Moderate Regionally restricted euxassay_001128_15
TS23: 4th ventricle Weak Regionally restricted euxassay_001128_15
TS23: choroid plexus Present euxassay_001128_15
TS23: lateral ventricle choroid plexus Weak Regionally restricted euxassay_001128_15

Specimen euxassay_001128_16: embryonic day 14.5 (more )
Note: Additional information for this specimen was included in the Eurexpress data submission file.
Structure Level Pattern Image Note
TS23: liver lobe Moderate Uniform euxassay_001128_16
TS23: midgut Weak Uniform euxassay_001128_16
TS23: ventral grey horn Moderate Regionally restricted euxassay_001128_16
TS23: 4th ventricle Weak Regionally restricted euxassay_001128_16
TS23: choroid plexus Present euxassay_001128_16

Specimen euxassay_001128_17: embryonic day 14.5 (more )
Note: Additional information for this specimen was included in the Eurexpress data submission file.
Structure Level Pattern Image Note
TS23: liver lobe Moderate Uniform euxassay_001128_17
TS23: midgut Weak Uniform euxassay_001128_17
TS23: foregut-midgut junction Weak Uniform euxassay_001128_17
TS23: ventral grey horn Moderate Regionally restricted euxassay_001128_17
TS23: 4th ventricle Weak Regionally restricted euxassay_001128_17
TS23: choroid plexus Present euxassay_001128_17

Specimen euxassay_001128_18: embryonic day 14.5 (more )
Note: Additional information for this specimen was included in the Eurexpress data submission file.
Structure Level Pattern Image Note
TS23: liver lobe Moderate Uniform euxassay_001128_18
TS23: midgut Weak Uniform euxassay_001128_18
TS23: hindgut Weak Uniform euxassay_001128_18
TS23: foregut-midgut junction Weak Uniform euxassay_001128_18
TS23: pancreas Moderate Regionally restricted euxassay_001128_18
TS23: 4th ventricle Weak Regionally restricted euxassay_001128_18
TS23: choroid plexus Present euxassay_001128_18
TS23: lateral ventricle choroid plexus Weak Regionally restricted euxassay_001128_18

Specimen euxassay_001128_19: embryonic day 14.5 (more )
Note: Additional information for this specimen was included in the Eurexpress data submission file.
Structure Level Pattern Image Note
TS23: liver lobe Moderate Uniform euxassay_001128_19
TS23: midgut Weak Uniform euxassay_001128_19
TS23: hindgut Weak Uniform euxassay_001128_19
TS23: foregut-midgut junction Weak Uniform euxassay_001128_19
TS23: pancreas Moderate Regionally restricted euxassay_001128_19
TS23: 4th ventricle Weak Regionally restricted euxassay_001128_19
TS23: choroid plexus Present euxassay_001128_19
TS23: lateral ventricle choroid plexus Weak Regionally restricted euxassay_001128_19

Specimen euxassay_001128_20: embryonic day 14.5 (more )
Note: Additional information for this specimen was included in the Eurexpress data submission file.
Structure Level Pattern Image Note
TS23: liver lobe Moderate Uniform euxassay_001128_20
TS23: renal calyx Moderate Uniform euxassay_001128_20
TS23: midgut Weak Uniform euxassay_001128_20
TS23: hindgut Weak Uniform euxassay_001128_20
TS23: foregut-midgut junction Weak Uniform euxassay_001128_20
TS23: 4th ventricle Weak Regionally restricted euxassay_001128_20
TS23: choroid plexus Present euxassay_001128_20
TS23: lateral ventricle choroid plexus Weak Regionally restricted euxassay_001128_20

Specimen euxassay_001128_21: embryonic day 14.5 (more )
Note: Additional information for this specimen was included in the Eurexpress data submission file.
Structure Level Pattern Image Note
TS23: liver lobe Moderate Uniform euxassay_001128_21
TS23: renal calyx Moderate Uniform euxassay_001128_21
TS23: midgut Weak Uniform euxassay_001128_21
TS23: 4th ventricle Weak Regionally restricted euxassay_001128_21
TS23: choroid plexus Present euxassay_001128_21
TS23: lateral ventricle choroid plexus Weak Regionally restricted euxassay_001128_21

Specimen euxassay_001128_22: embryonic day 14.5 (more )
Note: Additional information for this specimen was included in the Eurexpress data submission file.
Structure Level Pattern Image Note
TS23: liver lobe Moderate Uniform euxassay_001128_22
TS23: renal calyx Moderate Uniform euxassay_001128_22
TS23: midgut Weak Uniform euxassay_001128_22
TS23: 4th ventricle Weak Regionally restricted euxassay_001128_22
TS23: choroid plexus Present euxassay_001128_22
TS23: lateral ventricle choroid plexus Weak Regionally restricted euxassay_001128_22

Specimen euxassay_001128_23: embryonic day 14.5 (more )
Note: Additional information for this specimen was included in the Eurexpress data submission file.
Structure Level Pattern Image Note
TS23: liver lobe Moderate Uniform euxassay_001128_23
TS23: renal calyx Moderate Uniform euxassay_001128_23
TS23: midgut Weak Uniform euxassay_001128_23
TS23: 4th ventricle Weak Regionally restricted euxassay_001128_23
TS23: choroid plexus Present euxassay_001128_23

Specimen euxassay_001128_24: embryonic day 14.5 (more )
Note: Additional information for this specimen was included in the Eurexpress data submission file.
Structure Level Pattern Image Note
TS23: liver lobe Moderate Uniform euxassay_001128_24
TS23: renal calyx Moderate Uniform euxassay_001128_24
TS23: 4th ventricle Weak Regionally restricted euxassay_001128_24
TS23: choroid plexus Present euxassay_001128_24


Contributing Projects:
Mouse Genome Database (MGD), Gene Expression Database (GXD), Mouse Models of Human Cancer database (MMHCdb) (formerly Mouse Tumor Biology (MTB)), Gene Ontology (GO)
Citing These Resources
Funding Information
Warranty Disclaimer, Privacy Notice, Licensing, & Copyright
Send questions and comments to User Support.
last database update
01/06/2026
MGI 6.24
The Jackson Laboratory