About   Help   FAQ
Gene Expression Data
Assay Details
Assay
Reference: J:153498 Diez-Roux G, et al., A high-resolution anatomical atlas of the transcriptome in the mouse embryo. PLoS Biol. 2011;9(1):e1000582
Assay type: RNA in situ
MGI Accession ID: MGI:4825357
Gene symbol: Herc3
Gene name: hect domain and RLD 3
Probe: IMAGE clone 597752
Probe preparation: Antisense labelled with digoxigenin RNA
Visualized with: Alkaline phosphatase
Assay notes: Cryosections of fresh frozen material were fixed in 4% paraformaldehyde for 20 min. before further processing. A tyramide-biotin/streptavidin amplification step was included in the in situ hybridization procedure.
Results
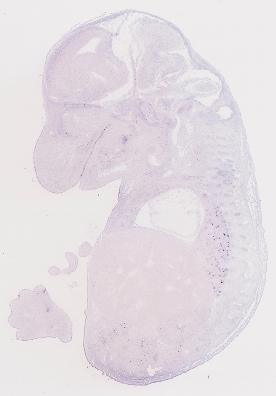
Specimen euxassay_007296_01: embryonic day 14.5 (more )
Structure Level Pattern Image Note
TS23: brain Weak Regionally restricted euxassay_007296_01
TS23: embryo mesenchyme Strong Spotted euxassay_007296_01
TS23: pharyngo-tympanic tube Strong Spotted euxassay_007296_01

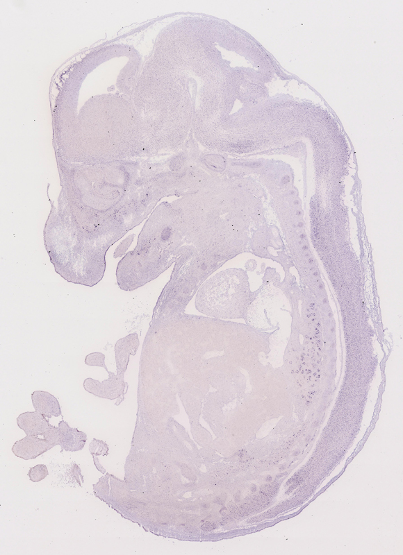
Specimen euxassay_007296_02: embryonic day 14.5 (more )
Structure Level Pattern Image Note
TS23: brain Weak Regionally restricted euxassay_007296_02
TS23: left lung Moderate Regionally restricted euxassay_007296_02
TS23: embryo mesenchyme Strong Spotted euxassay_007296_02
TS23: pharyngo-tympanic tube Strong Spotted euxassay_007296_02
TS23: Meckel's cartilage Moderate Regionally restricted euxassay_007296_02

Specimen euxassay_007296_03: embryonic day 14.5 (more )
Structure Level Pattern Image Note
TS23: brain Moderate Regionally restricted euxassay_007296_03
TS23: left lung Moderate Regionally restricted euxassay_007296_03
TS23: embryo mesenchyme Strong Spotted euxassay_007296_03
TS23: Meckel's cartilage Moderate Regionally restricted euxassay_007296_03

Specimen euxassay_007296_04: embryonic day 14.5 (more )
Structure Level Pattern Image Note
TS23: brain Moderate Regionally restricted euxassay_007296_04
TS23: left lung Moderate Regionally restricted euxassay_007296_04
TS23: embryo mesenchyme Strong Spotted euxassay_007296_04
TS23: Meckel's cartilage Weak Regionally restricted euxassay_007296_04

Specimen euxassay_007296_05: embryonic day 14.5 (more )
Structure Level Pattern Image Note
TS23: brain Moderate Regionally restricted euxassay_007296_05
TS23: left lung Moderate Regionally restricted euxassay_007296_05
TS23: embryo mesenchyme Strong Spotted euxassay_007296_05
TS23: otic capsule Strong Spotted euxassay_007296_05
TS23: Meckel's cartilage Moderate Regionally restricted euxassay_007296_05

Specimen euxassay_007296_06: embryonic day 14.5 (more )
Structure Level Pattern Image Note
TS23: brain Moderate Regionally restricted euxassay_007296_06
TS23: left lung Moderate Regionally restricted euxassay_007296_06
TS23: embryo mesenchyme Strong Spotted euxassay_007296_06
TS23: otic capsule Strong Spotted euxassay_007296_06
TS23: Meckel's cartilage Moderate Regionally restricted euxassay_007296_06
TS23: dorsal root ganglion Moderate Regionally restricted euxassay_007296_06

Specimen euxassay_007296_07: embryonic day 14.5 (more )
Structure Level Pattern Image Note
TS23: brain Moderate Regionally restricted euxassay_007296_07
TS23: left lung Moderate Regionally restricted euxassay_007296_07
TS23: embryo mesenchyme Strong Spotted euxassay_007296_07
TS23: otic capsule Strong Spotted euxassay_007296_07
TS23: Meckel's cartilage Moderate Regionally restricted euxassay_007296_07
TS23: dorsal root ganglion Moderate Regionally restricted euxassay_007296_07

Specimen euxassay_007296_08: embryonic day 14.5 (more )
Structure Level Pattern Image Note
TS23: brain Moderate Regionally restricted euxassay_007296_08
TS23: left lung Moderate Regionally restricted euxassay_007296_08
TS23: embryo mesenchyme Strong Spotted euxassay_007296_08
TS23: pituitary gland Strong Spotted euxassay_007296_08
TS23: Meckel's cartilage Moderate Regionally restricted euxassay_007296_08
TS23: dorsal root ganglion Moderate Regionally restricted euxassay_007296_08

Specimen euxassay_007296_09: embryonic day 14.5 (more )
Structure Level Pattern Image Note
TS23: brain Weak Regionally restricted euxassay_007296_09
TS23: spinal cord Weak Regionally restricted euxassay_007296_09
TS23: left lung Moderate Regionally restricted euxassay_007296_09
TS23: embryo mesenchyme Strong Spotted euxassay_007296_09
TS23: pituitary gland Strong Spotted euxassay_007296_09
TS23: Meckel's cartilage Moderate Regionally restricted euxassay_007296_09
TS23: dorsal root ganglion Weak Regionally restricted euxassay_007296_09

Specimen euxassay_007296_10: embryonic day 14.5 (more )
Structure Level Pattern Image Note
TS23: brain Moderate Regionally restricted euxassay_007296_10
TS23: spinal cord Moderate Regionally restricted euxassay_007296_10
TS23: left lung Moderate Regionally restricted euxassay_007296_10
TS23: embryo mesenchyme Strong Spotted euxassay_007296_10
TS23: pituitary gland Strong Spotted euxassay_007296_10
TS23: Meckel's cartilage Moderate Regionally restricted euxassay_007296_10

Specimen euxassay_007296_11: embryonic day 14.5 (more )
Structure Level Pattern Image Note
TS23: brain Moderate Regionally restricted euxassay_007296_11
TS23: spinal cord Moderate Regionally restricted euxassay_007296_11
TS23: right lung Moderate Regionally restricted euxassay_007296_11
TS23: embryo mesenchyme Strong Spotted euxassay_007296_11
TS23: pituitary gland Strong Spotted euxassay_007296_11
TS23: Meckel's cartilage Moderate Regionally restricted euxassay_007296_11
TS23: esophagus Moderate Regionally restricted euxassay_007296_11

Specimen euxassay_007296_12: embryonic day 14.5 (more )
Structure Level Pattern Image Note
TS23: brain Moderate Regionally restricted euxassay_007296_12
TS23: spinal cord Moderate Regionally restricted euxassay_007296_12
TS23: right lung Moderate Regionally restricted euxassay_007296_12
TS23: embryo mesenchyme Strong Spotted euxassay_007296_12
TS23: pituitary gland Strong Spotted euxassay_007296_12
TS23: Meckel's cartilage Moderate Regionally restricted euxassay_007296_12

Specimen euxassay_007296_13: embryonic day 14.5 (more )
Structure Level Pattern Image Note
TS23: brain Moderate Regionally restricted euxassay_007296_13
TS23: spinal cord Moderate Regionally restricted euxassay_007296_13
TS23: right lung Moderate Regionally restricted euxassay_007296_13
TS23: embryo mesenchyme Strong Spotted euxassay_007296_13
TS23: pituitary gland Strong Spotted euxassay_007296_13
TS23: Meckel's cartilage Moderate Regionally restricted euxassay_007296_13

Specimen euxassay_007296_14: embryonic day 14.5 (more )
Structure Level Pattern Image Note
TS23: brain Moderate Regionally restricted euxassay_007296_14
TS23: spinal cord Moderate Regionally restricted euxassay_007296_14
TS23: right lung Moderate Regionally restricted euxassay_007296_14
TS23: embryo mesenchyme Strong Spotted euxassay_007296_14
TS23: otic capsule Strong Spotted euxassay_007296_14
TS23: Meckel's cartilage Moderate Regionally restricted euxassay_007296_14
TS23: dorsal root ganglion Weak Regionally restricted euxassay_007296_14

Specimen euxassay_007296_15: embryonic day 14.5 (more )
Structure Level Pattern Image Note
TS23: brain Moderate Regionally restricted euxassay_007296_15
TS23: spinal cord Moderate Regionally restricted euxassay_007296_15
TS23: right lung Moderate Regionally restricted euxassay_007296_15
TS23: embryo mesenchyme Strong Spotted euxassay_007296_15
TS23: otic capsule Strong Spotted euxassay_007296_15
TS23: Meckel's cartilage Moderate Regionally restricted euxassay_007296_15
TS23: dorsal root ganglion Moderate Regionally restricted euxassay_007296_15

Specimen euxassay_007296_16: embryonic day 14.5 (more )
Structure Level Pattern Image Note
TS23: brain Weak Regionally restricted euxassay_007296_16
TS23: right lung Moderate Regionally restricted euxassay_007296_16
TS23: embryo mesenchyme Strong Spotted euxassay_007296_16
TS23: otic capsule Strong Spotted euxassay_007296_16
TS23: Meckel's cartilage Moderate Regionally restricted euxassay_007296_16

Specimen euxassay_007296_17: embryonic day 14.5 (more )
Structure Level Pattern Image Note
TS23: brain Weak Regionally restricted euxassay_007296_17
TS23: right lung Moderate Regionally restricted euxassay_007296_17
TS23: Meckel's cartilage Weak Regionally restricted euxassay_007296_17

Specimen euxassay_007296_18: embryonic day 14.5 (more )
Structure Level Pattern Image Note
TS23: brain Weak Regionally restricted euxassay_007296_18
TS23: right lung Moderate Regionally restricted euxassay_007296_18

Specimen euxassay_007296_19: embryonic day 14.5 (more )
Structure Level Pattern Image Note
TS23: brain Weak Regionally restricted euxassay_007296_19
TS23: right lung Moderate Regionally restricted euxassay_007296_19

Specimen euxassay_007296_20: embryonic day 14.5 (more )
Structure Level Pattern Image Note
TS23: brain Weak Regionally restricted euxassay_007296_20
TS23: right lung Moderate Regionally restricted euxassay_007296_20
TS23: pharyngo-tympanic tube Moderate Spotted euxassay_007296_20


Contributing Projects:
Mouse Genome Database (MGD), Gene Expression Database (GXD), Mouse Models of Human Cancer database (MMHCdb) (formerly Mouse Tumor Biology (MTB)), Gene Ontology (GO)
Citing These Resources
Funding Information
Warranty Disclaimer, Privacy Notice, Licensing, & Copyright
Send questions and comments to User Support.
last database update
12/30/2025
MGI 6.24
The Jackson Laboratory